Headache Horizons: Reversible Cerebral Vasoconstriction Syndrome: Presentation, Diagnosis, and Treatment of a Complex Neurovascular Disorder
Reversible cerebral vasoconstriction syndrome (RCVS), previously known as Call-Fleming syndrome, is recognized by the International Classification of Headache Disorders, 3rd edition (ICHD-3) as a secondary headache syndrome, associated with or without seizures or other focal neurologic deficits, and accompanied by a “string of beads” appearance on angiography. This cerebral vasculopathy is attributed to diffuse, noninflammatory segmental narrowing of the cerebral arteries.1,2 RCVS presents with a severe and sudden headache, referred to as a thunderclap headache.1-4 One or more of the following characteristics must be present to establish a diagnosis of RCVS: thunderclap onset; triggered by sexual activity, Valsalva maneuver, exertion, emotion, bathing, or showering; or a headache that is monophasic or recurrent up to 1 month after onset. In addition, the headache must resolve within 3 months of its onset once recognized.
RCVS is considered a secondary headache because more than half of RCVS cases are directly linked to a known causative agent, most often a postpartum state or use of a vasoactive substance (Table).2,3,5 The prevalence of marijuana-triggered RCVS has been on the rise in conjunction with the legalization of the substance in many US states.6 Although RCVS is usually a self-limited disease, with resolution of arterial abnormalities and headache in 1 to 3 months for 90% of individuals, timely diagnosis has resulted in better clinical outcomes.1,7,8

The purpose of this article is to raise awareness of this condition to help practitioners identify, diagnose, and treat RCVS quickly and effectively. Timely diagnosis and treatment or removal of the causative agent is important because 10% of individuals with RCVS develop ischemic stroke, intracranial hemorrhage, irreversible cerebral edema, convexity subarachnoid hemorrhage (SAH), or posterior reversible encephalopathy syndrome (PRES), all of which can lead to disability or death.1,2,5,8-10 Furthermore, treatment with vasoactive substances used for migraine, such as triptans or ergots, can exacerbate the condition; therefore, differentiating this headache syndrome from migraine is paramount. Early identification of RCVS also helps rule out other acute, irreversible syndromes with similar presentation and less favorable outcomes.
Case Presentation
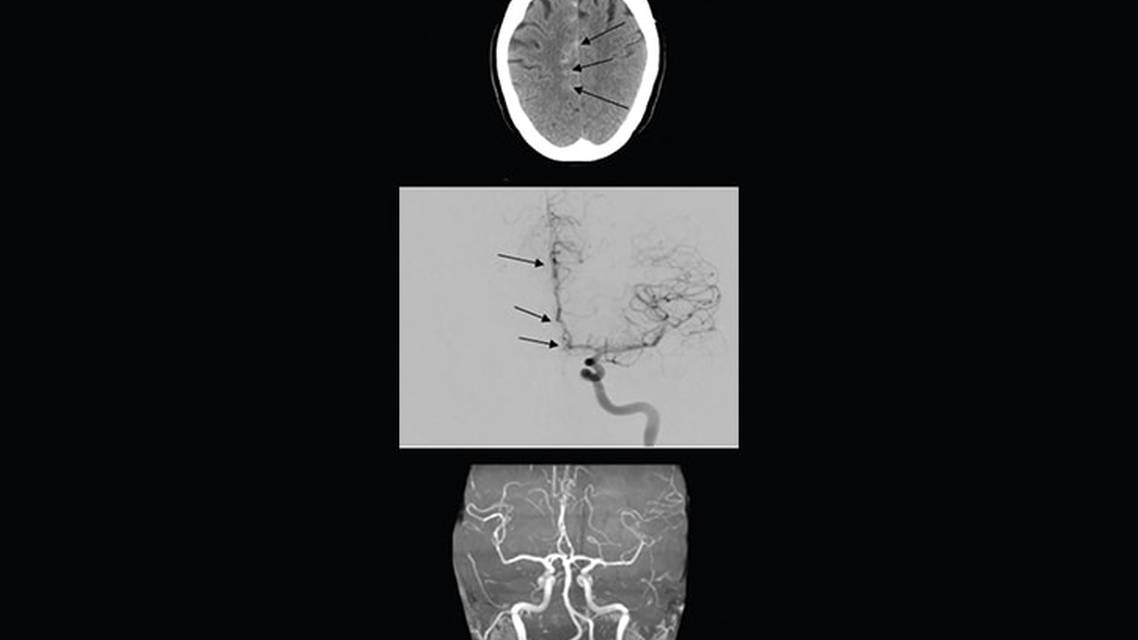
JP, age early 50s, presented to the clinic with the chief complaint of thunderclap headache 1 week after uptitration of phenelzine. JP had a medical history of panic attacks when taking a monoamine oxidase inhibitor. CT head scan showed evidence of SAH (Figure part A). Angiography showed areas of vasospasm and narrowing of the anterior cerebral artery (Figure part B). A “string of beads” appearance of the anterior cerebral artery was identified. Clinical presentation (thunderclap headache) and radiographic findings (SAH and vasoconstriction) shortly after dose increase of a monoamine oxidase inhibitor was consistent with the diagnosis of RCVS. JP scored 10/10 on the RCVS2 scale, further supporting the diagnosis.11

Phenelzine was discontinued and intravenous nicardipine was initiated, which was later converted to oral extended-release verapamil 180 mg daily. Follow-up magnetic resonance angiography 2 months after diagnosis showed normalization of blood vessels (Figure part C).
Discussion
The diagnosis of RCVS rests on the RCVS2 score in conjunction with clinical judgment. RCVS2, validated in individuals age 18 to 55 years with the first presentation of abnormal intracranial vascular imaging results, includes the presence of thunderclap headache (5 points), the absence of intracranial carotid artery involvement (0 points), the presence of vasoconstrictive trigger (3 points), female sex (1 point), and the presence of SAH (1 point). A score ≥5 is positive, 3 or 4 is equivocal, and ≤2 is negative for RCVS.11
RCVS might not always present with the classic thunderclap headache. The diagnosis of RCVS must be considered in any individual with an unusual headache or in people with cryptogenic stroke or convexity SAH, whether a headache is present or not.4
Potential diagnoses to consider when an individual presents with thunderclap headache include aneurysmal SAH, parenchymal brain hemorrhage, cerebral venous sinus thrombosis, RCVS, pituitary apoplexy, intracranial infection, carotid or vertebral artery dissection, posterior cerebral artery embolic stroke, spontaneous intracranial hypotension, retroclival hematoma, third ventricle colloid cyst, and cerebral vasculitis.3,12
RCVS might present initially with normal imaging results.8 Radiographic findings may be delayed up to a week, and maximum vasoconstriction usually is reached up to 2 weeks after symptom onset. The diagnosis of RCVS can be made with the gold standard conventional angiography when vasoconstriction begins to reverse, usually seen 3 months after symptom onset.1,9,13,14
Pathophysiology of RCVS
Underlying mechanisms of RCVS are multifactorial and poorly understood. Retrospective analysis of histopathologic specimens of decedents with RCVS has shown no evidence of arterial inflammation or infection, and major cerebral arteries were normal except for a patch of subendothelial thickening in the posterior cerebral artery.13,15,16 Although there is no specific pathology associated with RCVS, there are several underlying mechanisms that may converge, contributing to the pathophysiology of RCVS.
On radiographic imaging, RCVS demonstrates a “string of beads” appearance secondary to dysregulation of cerebral vascular tone.13,17,18 Cerebral vascular dysregulation might be caused by sympathetic overactivity, which is why RCVS may be triggered or exacerbated by substances that activate the sympathetic nervous system.2,3,13,19,20 The release of norepinephrine and neuropeptide Y from sympathetic nerve endings is thought to cause vasoconstriction, but it is unclear whether the increase in sympathetic tone is driven by secondary triggers or is a response to the blood pressure surge accompanying the severe headache.13
Cerebral vascular tone dysregulation might also be attributed to endothelial dysfunction, which can be linked to excessive oxidative stress.13,21-25 Studies have indicated that people with RCVS have lower circulating CD34+KDR+ endothelial progenitor cells (EPCs) compared with people without RCVS. It is plausible that the reduced level of EPCs is due to the increased consumption or inhibition of circulating EPCs under the increased sympathetic drive and oxidative stress present in people with RCVS.22-25
Furthermore, endothelial cell dysfunction and reactive oxygen species can cause disruption of the blood–brain barrier and predispose people with RCVS to known neurologic complications, particularly convexity SAH and PRES.13,26 In addition, the increased permeability of the blood–brain barrier might activate trigeminal nociceptors, leading to altered trigeminovascular nociception, which is proposed to contribute to the classic thunderclap headache associated with RCVS. Estrogen- and progesterone-mediated pathways also affect the blood–brain barrier, which is why RCVS predominantly affects women in middle age or in the postpartum period.13,27
Chen and Wang13 proposed a model for the pathophysiology of RCVS based on these mechanisms. The authors suggest that genetic predisposition coupled with conditions that cause excessive sympathomimetic tone—such as postpartum state, vasoactive substances, or extreme or sudden changes in temperature and emotion—trigger RCVS. When the sympathetic nervous system is activated, a sudden release of vasoconstrictors, such as catecholamines, neuropeptide Y, or endothelin-1, may cause an abrupt dysregulation of cerebral vascular tone. The impaired autoregulation may initially manifest as dilatations of distal arterioles, partially due to an exaggerated trigeminovascular reflex. The dilatation of distal arterioles, capillaries, or meningeal collaterals may abruptly stretch the perivascular nociceptive nerve fibers, causing thunderclap headaches. In addition, excessive central pulsatile flow related to blood pressure surge may cause the dysfunction of neurovascular units and increased blood–brain barrier permeability, which may also contribute to impaired cerebral vascular tone and headache. Furthermore, to counteract the excessive pulsatile flow and distal arteriole dilation, the large or medium-sized cerebral arteries constrict, manifesting as centripetal propagation of vasoconstriction during the disease course. The blood–brain barrier breakdown and excessive central pulsatile flow may lead to white matter hypodensities, as well as early complications, such as PRES, convexity SAH, or intracerebral hemorrhage.13
RCVS vs PRES
RCVS and PRES have overlapping clinical features; radiographic findings can distinguish them. Nonetheless, PRES has been described in 7% to 38% of people with RCVS, and increases the risk of ischemic stroke associated with RCVS.7,8,15,28 In addition, PRES and RCVS share common pathophysiologic mechanisms, such as blood flow dysregulation and endothelial dysfunction.1,14,29 There are several differences, however, that can help distinguish RCVS from PRES.
RCVS is caused by reversible, segmental, and multifocal vasoconstriction of cerebral arteries, classically associated with thunderclap headache with or without other neurologic symptoms. PRES is characterized by vasogenic edema that primarily is seen in the parieto-occipital regions of the brain. PRES can also occur in areas of the brain other than the posterior region and may be irreversible. With PRES, there is an acute onset of neurologic symptoms, including encephalopathy, seizures, headaches, and visual disturbances.8,14
PRES is associated with uncontrolled hypertension.9 The most common inciting events of PRES include blood pressure fluctuations and renal failure or triggers such as immunosuppressive or cytotoxic agents.28,30 Many people with PRES also have autoimmune disorders, including systemic lupus erythematosus, inflammatory bowel disease, scleroderma, rheumatoid arthritis, Sjögren syndrome, or neuromyelitis optica.31
PRES is typically associated radiographically with bilateral, asymmetric T2/fluid-attenuated inversion recovery hyperintensity in the subcortical white matter in the parieto-occipital lobes. The cortex is less often affected, generally adjacent to areas of prominent white matter involvement.31 Restricted diffusion on diffusion-weighted imaging is seen in 15% to 30% of PRES cases, indicating cytotoxic edema associated with irreversible injury and incomplete recovery.9 About 30% to 85% of PRES cases involve focal or diffuse vasoconstriction, particularly in the posterior cerebral arteries, which correlates with the presence of ischemia and cytotoxic edema.32
There are no accepted criteria for the diagnosis of PRES. The diagnosis is primarily made based on clinical and radiographic evidence and risk factors. No clinical trials on PRES have been performed. Treatment usually involves removing the offending agent and lowering blood pressure by 25% within the first hour, while avoiding rapid fluctuations and decreases to avoid ischemic events.9,28
Treatment of RCVS
In the absence of clinical trial data, RCVS treatment derives from observational data, which suggest calcium channel blockers, glucocorticoids, magnesium sulfate, and observation to be effective.3,33-37 When secondary causes of RCVS can be established, first-line treatment is recognition and removal of the causative agent and blood pressure control. Depending on comorbidities, additional treatment may be added. In people with thunderclap headache without additional complications (eg, ischemic stroke, convexity SAH), oral calcium channel blockers were shown to be effective at relieving vasospasm in most cases.33 In people with SAH and ischemic stroke, intravenous calcium channel blockers were effective in most cases.33-35 The use of calcium channel blockers has been shown to increase the risk of watershed infarction in areas of severe constriction, so administration of this agent should be done with caution.3 The rationale for their use is that calcium channel blockers counteract the influx of calcium in vascular smooth muscle cells and will improve the outcome of people with RCVS by reducing the proportion of vasospasm-induced ischemic neurologic deficits.34,36-39 Calcium channel blockers are administered to people with RCVS who are experiencing neurologic symptoms in the presence of diffuse vasospasm; monitoring for potential side effects, including hypotension, is essential.34
Studies have shown that inflammation can lead to vasospasm after convexity SAH associated with RCVS. Therefore, a short course of high-dose glucocorticoids has been observed to be an effective treatment for RCVS. Although high-dose glucocorticoids, such as methylprednisolone, have been shown to reduce the severity of vasospasm considerably, calcium channel blockers are more favored by clinicians because of the toxicity profile of glucocorticoids.33-36
Magnesium sulfate is frequently used in conjunction with calcium channel blockers, either intravenously or orally, despite a lack of data to support its use in RCVS. Magnesium sulfate is used in people who have worsening neurologic deficits during the disease course and in people whose postpartum period is an inciting event for RCVS.40-42 Magnesium is used prophylactically to prevent vasospasm in SAH, but studies have not shown substantial efficacy.40,43,44
As described, the majority of vasoconstriction and thunderclap headache cases associated with RCVS will resolve completely and spontaneously within 3 months. Nonetheless, the headache pain can be intense over the first several weeks, recurrent, and often refractory to treatment. Therefore, careful observation is considered a valid approach to treatment of nonprogressive or debilitating symptoms of RCVS. In addition, empiric treatment of RCVS is advised against; treatment should only be initiated once radiographic evidence points toward RCVS.3
Conclusion
RCVS can be a primary idiopathic headache disorder or secondary to vasoactive substances and physiologic states that increase blood pressure. The classic presentation of RCVS includes thunderclap headache or recurrent episodes of thunderclap headache with or without focal neurologic symptoms. If an individual is not experiencing any other symptoms, observation after removal of the offending agent is justified, and the majority of cases resolve spontaneously and completely within 3 months. Approximately 10% of people have progressive or severe symptoms or sequelae, including SAH, ischemic stroke, cytotoxic edema, and PRES. In the presence of worsening or disabling symptoms, treatment with calcium channel blockers is recommended. Treatment with high-dose glucocorticoids and magnesium sulfate may also offer benefit. Timely identification of RCVS and removal of the offending agent has favorable clinical outcomes. Avoiding vasoactive agents used for other headache disorders, particularly migraine, is paramount.
Ready to Claim Your Credits?
You have attempts to pass this post-test. Take your time and review carefully before submitting.
Good luck!
Recommended
- Imaging & Testing
MRI Clues to Intracranial Infection: Differentiating Bacterial, Viral, Fungal, and Parasitic CNS Disease
Márk Kozák, MD; Máté Sik, MDMárk Kozák, MD; Máté Sik, MD - Imaging & Testing
Practical MRI in Neurology: Use Cases, Technologies, and Opportunities for Outpatient Clinics
Joseph Fritz, PhD; Edmond A. Knopp, MD, DABR, FASFNRJoseph Fritz, PhD; Edmond A. Knopp, MD, DABR, FASFNR - Imaging & Testing
Artificial Intelligence in Clinical Neurology: Opportunities, Limitations, and the Path Forward
Aysha Jadran, MD; Saqib A. Chaudhry, MDAysha Jadran, MD; Saqib A. Chaudhry, MD






