Atypical Parkinsonian Syndromes
Parkinsonism is a set of hypokinetic symptoms characterized by resting tremor, rigidity, bradykinesia, and postural instability. Idiopathic parkinsonism or Parkinson disease (PD) is the most common parkinsonian syndrome with a global prevalence of 0.3% in the general population of people who are age 40 or more.1 It is important to recognize other etiologies of parkinsonian disorders to guide prognosis and treatment.
In this article, we focus on the other neurogenerative causes of parkinsonian disorders, specifically atypical parkin-sonian syndromes including progressive supranuclear palsy (PSP), multiple system atrophy (MSA; See also Adult-Onset Cerebellar Ataxias in this issue), and corticobasal degeneration (CBD). Parkinsonism is a shared feature among these disorders, yet each syndrome has characteristic features that are atypical for PD in timing, symptoms, and signs.2 It remains challenging to correctly diagnose these syndromes consistently considering their similar presentations. The goal of this article is to review key clinical history and examination findings that will help the neurologist distinguish PD from atypical parkinsonian syndromes and explore ancillary tests that may help support the diagnosis (Table).

PSP
Red Flags for PSP in Clinical History
PSP has a prevalence of 3 to 7 per 100,000 adults3,4 and is characterized by parkinsonism with prominent ophthalmoparesis and early postural instability and falls. People with PSP may report episodes of falls early in the course of their disease, typically occurring in the first 2 years; whereas, in PD, falls occur later.2 In particular, owing to the more prominent downgaze paresis compared with upgaze paresis, the typical person with PSP will report more difficulty going downstairs or going downhill. Compared with PD, those with PSP also develop earlier bulbar dysfunction including dysarthria and dysphagia. In addition, people with PSP often have a pseudobulbar affect with inappropriate crying or laughing, affecting about one-third of cases.5 PSP, being a tauopathy, typically does not manifest with rapid eye movement (REM) sleep behavior disorder (RBD), a characteristic finding in synucleinopathies such as PD or MSA.
Red Flags for PSP on Examination
Vertical supranuclear ophthalmoparesis is the characteristic examination finding of PSP, with slowed vertical saccades and reduced quick phases on optokinetic nystagmus (OKN) testing, with downgaze affected more than upgaze.2 The vestibulo-ocular reflex (VOR) is preserved with full conjugate eye movements when the examiner moves the head side to side or up and down. Notably, VOR is typically normal in the early course of the disease, but because of the supranuclear nature of PSP, patients may lose VOR as the disease progresses to involve the brainstem nuclei. A decreased range of motion while following a target is indicative of a gaze palsy. Before developing a gaze palsy, curvilinear saccades, in which the eyes take a circumferential route to follow a vertically moving target, may occur. People with PSP may also blink to help initiate vertical eye movements and may demonstrate macrosaccadic intrusions, especially during vertical gaze pursuit. Although vertical gaze palsies are more prominent, lateral gaze palsies develop as the disease progresses. Square-wave jerks, low-amplitude saccadic intrusions during fixed gaze, are another common oculomotor finding in PSP and occur more frequently than in PD. OKN testing should be performed utilizing an OKN drum or striped cloth and asking the patient to count the number of stripes as they pass. People with PSP demonstrate a loss of quick phase movements on vertical OKN testing.
Eyelid-opening apraxia, which is thought to occur secondary to the supranuclear inhibition of the levator palpebrae, and blepharospasm may be present.6,7 Despite having the motor ability to open the eyes, if people with PSP are asked to open their eyes after closing them, they will have difficulty performing the task briskly, often opening the eyes with significant delay and effort. PSP is also characterized by perseveration of automatic behaviors, which can be demonstrated by the applause sign, or persistent clapping after they are instructed to mimic the examiner clap a certain number of times.8
Persons with PSP often have a retrocolic posture with hyperextended neck and body, distinct from the typically stooped posture of people with PD. Early in the disease course, freezing of gait may manifest, presenting as episodes of absence or significant reduction of forward progression despite the intention to walk, especially while turning, crossing thresholds (eg, a doorway), or in small/crowded spaces. In contrast, in PD, freezing of gait typically occurs late in the course of disease. In addition, because rigidity in PSP tends to be more axial than appendicular (unlike PD, in which distal rigidity is typically more pronounced), there may be more pronounced rigidity in the neck compared with the limbs on examination. Furthermore, parkinsonism in the limbs is almost always symmetric in PSP compared with asymmetric parkinsonian features in PD. Speech in those with PSP tends to be spastic and hypokinetic with decreased intonation variability, sometimes described as “robotic.”
Ancillary Testing for PSP
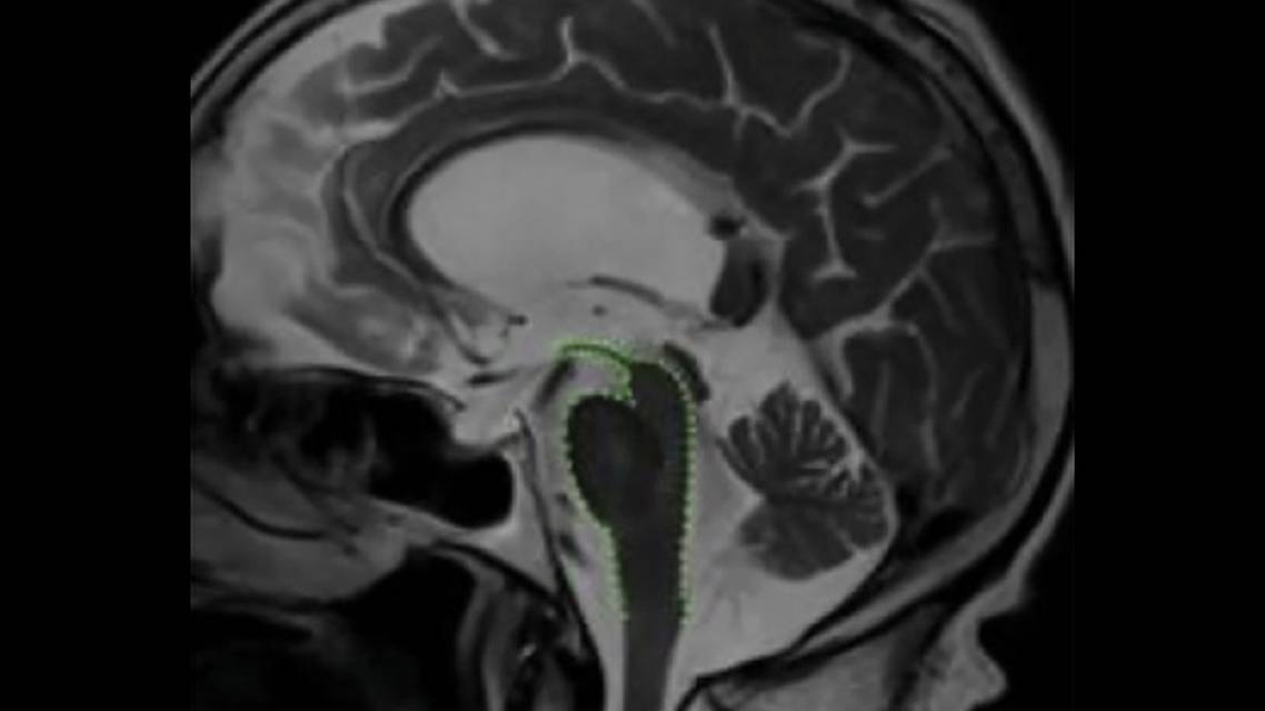
Structural neuroimaging with CT or MRI in people with PSP show generalized and brainstem atrophy, particularly involving the midbrain. Midbrain atrophy with relative preservation of the pons results in the radiologic “hummingbird sign” on midsagittal view (Figure 1) or the “morning glory sign” on axial brain MRI or CT.2 Fluorodeoxyglucose-positron emission tomography (FDG PET) may demonstrate decreased glucose metabolism in the midbrain.9 Certain morphometric indices, including reduced midbrain to pons midsagittal surface ratio, can help support the diagnosis of PSP with variable sensitivities and specificities.10 Increased diffusivity values in the putamen, caudate nucleus, and globus pallidus have been found on apparent diffusion coefficient (ADC) and diffusion-weighted imaging (DWI) brain MRI in people with PSP. Iron deposition patterns in different parts of the basal ganglia, including putamen, caudate, and globus pallidus, on susceptibility-weighted imaging (SWI) have also been found in persons with PSP. Resting-state functional MRI (fMRI) studies in PSP have also shown disruptions in the connection between the dorsal midbrain and cortical/subcortical networks.10

Oculography studies are very useful to confirm the oculomotor deficits in PSP but are available only in specialized centers. For instance, people with PSP tend to have slower peak horizontal and vertical saccade velocities, reduced vertical saccade amplitudes, and particularly for the Richardson variant of PSP—lower gain of smooth pursuit eye movements compared with people with PD and healthy individuals.11,12
CBD
Red Flags for CBD in Clinical History
CBD has an annual prevalence of 5 to 7 per 100,000.13 Tremors can sometimes be present in CBD but tend to be positional or action tremor rather than a rest tremor. People with CBD may also report dystonia as an early phenomenon, with a prevalence of about 40%,14 and myoclonic jerks, likely cortical in origin. As in PSP, bulbar dysfunction is a relatively early symptom in the CBD course compared with PD. Those with CBD may have early dysarthria that is hypokinetic and hypophonic and can also present with early dysphagia.15
In addition to the extrapyramidal symptoms, cortical dysfunction is a hallmark of CBD and can vary in presentation. Symptoms of cortical dysfunction include limb apraxias, cortical sensory deficits, and aphasia. People with cortical dysfunction may report not being able to recognize their own limb, complaining that it will perform involuntary movements without their control. This phenomenon is known as the “alien-limb syndrome” and is seen in approximately 30% of people with CBD.16 Alien-limb syndrome represents a cortical dysfunction associated with parietal, premotor cortex, and cingulate pathology. As in its cousin tauopathy, PSP, those with CBD typically do not report RBD.
Red Flags for CBD on Examination
Limb apraxia is a characteristic finding in CBD and can vary in its type including ideomotor (the most common) and ideational.16 Ideomotor apraxia is the inability to perform a learned task and can be tested by instructing the patient to perform a common task (eg, to pantomime brushing their teeth). People with ideomotor apraxia will achieve the general movement of the task but exhibit incorrect postures or spatial errors. Ideational apraxia is the inability to correctly conceptualize a sequence of movements. This can be tested by asking how someone would perform a sequence of tasks (eg, pantomime pouring a cup of milk and drinking from it). People with ideational apraxia will have difficulty correctly performing the task in sequence and may demonstrate drinking from the cup before pouring milk into it.
Cortical sensory dysfunction, present in about 25% of patients with CBD, is important to test.14 Agraphesthesia can be tested for by having a person close their eyes and then drawing a number or a letter on their palm with your finger. Those with agraphesthesia will not be able to correctly identify the number or letter. Astereognosis can be tested for by having a person close their eyes and placing a commonly recognized object (eg, a key or a coin) in their hand. A person with astereognosis will not be able to correctly identify the object with tactile evaluation alone. Loss of 2-point discrimination may be present and can be tested using a sharp object to simultaneously stimulate 2 adjacent locations on the patient’s body. Those who have a loss of 2-point discrimination will not be able to differentiate the stimulated locations, reporting only a single point of stimulation. Testing for aphasia should be done by asking the patient to name high-frequency and low-frequency objects, repeat sentences, read, and write. When aphasia is present in CBD, it is typically nonfluent.
Alien limb phenomenon may be observed as a limb performing involuntary purposeless (often large amplitude) or purposeful (for example, grasping) movements or levitating without a person’s knowledge, which is a sign of parietal dysfunction.
Although axial rigidity may be seen, as in PSP, limb rigidity is more severe on examination in CBD vs PSP. Unlike in MSA, in which parkinsonism tends to be symmetric, parkinsonism in CBD usually starts in 1 limb with marked asymmetry; however, symptoms may spread to other limbs as the disease progresses. Dystonia and myoclonus of the limb are commonly observed during examination of people with CBD.
Ancillary Testing for CBD
Although structural neuroimaging (MRI/CT) may be normal in early CBD, asymmetric cortical atrophy may emerge as the disease progresses.15 This focal cortical atrophy predominantly involves the posterior frontal and parietal regions with T2-hyperintensity of the atrophic cortex on brain MRI. Perfusion studies using [123I] iodoamphetamine-SPECT (single-photon emission computed tomography) show more asymmetric decreased cerebral blood flow than is seen in PSP. On FDG-PET studies asymmetric hypometabolism in the frontoparietal cortices and striatum is seen, especially contralateral to the clinically affected side.17 People with CBD have a similar pattern of posterior, asymmetric hypometabolism compared to those with AD but with greater involvement of the bilateral basal ganglia. In contrast, people with PSP show predominantly anterior hypometabolism.15
MSA
Red Flags for MSA in Clinical History
MSA has an estimated prevalence of 2 to 5 cases per 100,000 people3,18 and is classically characterized by parkinsonism, dysautonomia, and cerebellar dysfunction. Depending on the predominant symptoms, MSA is classified as having predominantly akinetic-rigid parkinsonism (MSA-P) or predominantly cerebellar ataxia (MSA-C). Resting tremor is rare in people with MSA, and tremor, if present, is associated with posture or action.19 Postural instability and falls are also early findings in MSA, although these are typically not as severe or as early as in PSP.
Perhaps the most striking characteristic of MSA is the early onset of severe autonomic dysfunction, which encompasses an extensive list of symptoms involving multiple organ systems. Among others, people with MSA may report autonomic symptoms of urinary urgency/frequency or retention, erectile dysfunction, sudomotor dysfunction (decreased sweating), severe constipation, presyncope/syncope upon standing or postprandially, and nocturnal hypertension.
Red Flags for MSA on Examination
Orthostatic hypotension is present in both PD and MSA but tends to occur more severely and earlier in MSA. Orthostatic vital signs should be measured at each office visit, including taking blood pressure while the patient is sitting and then again after they stand for 3 minutes. A decrease of 20 mm Hg systolic or 10 mm Hg diastolic blood pressure after standing for 3 minutes indicates orthostatic hypotension. It is important to also measure the heart rate at the 2 positions because neurogenic orthostatic hypotension in MSA will fail to sufficiently mount an appropriate response of increased heart rate (HR) in response to the drop in blood pressure. Less than a 0.5 ratio of decreased heart rate (beats per minute) to drop in systolic blood pressure (mm Hg) is highly suggestive of the neurogenic orthostatic hypotension expected in MSA,20 rather than nonneurogenic orthostatic hypotension (eg, due to intravascular volume depletion). People with MSA may have mottled skin and discoloration of hands and feet due to vasomotor dysfunction and a high-pitched, strangulated, “squeaky” voice. With disease progression, inspiratory stridor secondary to bulbar dysfunction may develop, making respiratory monitoring with consultation from pulmonology or otolaryngology important.
In contrast to retrocollis seen in PSP, those with MSA often demonstrate anterocollis. The anterocollis and camptocormia occur earlier in MSA compared with PD. In addition, unlike in PD and CBD, the parkinsonism in MSA is more symmetric. Persons with MSA-C will also demonstrate cerebellar dysfunction including limb dysmetria on finger-nose-finger or heel-shin test, dysdiadochokinesis, ataxic dysarthria with scanning speech, and hypometric or hypermetric saccades. Patients will have a wide-based cerebellar gait on ambulation. People with MSA also may have positive bilateral Babinski signs with generalized hyperreflexia.
Ancillary Testing for MSA
Structural brain MRI in people with MSA, especially MSA-C, may show a “hot cross bun” sign (Figure 2), which appears as a cross-shaped T2 hyperintensity, representing selective degeneration of pons and pontocerebellar fibers.21 A “putaminal rim” sign has also been described in MSA, especially MSA-P, appearing as a T2 hyperintense rim around the putamen. Middle cerebellar peduncle atrophy is also more pronounced in MSA compared with PD and PSP. On ADC imaging, there is higher diffusivity in the putamen in MSA-P compared with PD. SWI has shown that the brains of people with MSA tend to have greater iron deposition in the putamen compared with that seen in PD or healthy individuals.10

Conclusion
Although PD and atypical parkinsonian syndromes share similar features, each atypical parkinsonian syndrome has characteristic features that can help distinguish among these disorders (Table). It is important to inquire about the red flag symptoms in the clinical history and check for certain signs on examination. Even with a careful history, thorough examination, and ancillary testing, distinguishing these parkinsonian disorders may be challenging, especially early in the course of these disorders when the red flags have not yet clearly manifested. It is, therefore, important to monitor patients over time. Notably, people with atypical parkinsonian syndromes characteristically have a poor response to levodopa, unlike those with PD. Although a brief response to levodopa may be reported in atypical parkinsonian syndromes, these beneficial effects are not sustained. A lack of sustained response to levodopa may suggest that a person with parkinsonism does not have idiopathic PD. Finally, it is imperative to closely monitor people with suspected atypical parkinsonian syndromes as these tend to progress much more quickly, and patients and their families require support in navigating the disease trajectory.
Ready to Claim Your Credits?
You have attempts to pass this post-test. Take your time and review carefully before submitting.
Good luck!
Recommended
- Movement Disorders
Diagnosis and Management of Dementia and Psychosis in Individuals With Parkinson Disease
Jorge Patino, MD; Abhimanyu Mahajan, MD, MHS, FAANJorge Patino, MD; Abhimanyu Mahajan, MD, MHS, FAAN - Movement Disorders
Managing Symptoms of Anxiety, Panic, Depression, Apathy, and Pseudobulbar Effect in Individuals with Parkinson Disease
Jessica Hedeman, DO; Heather Herrema, DOJessica Hedeman, DO; Heather Herrema, DO - Movement Disorders
Diagnosis and Management of Sleep Disorders in Individuals with Parkinson Disease
Genevieve Stone, DO; Christopher Morgan, MDGenevieve Stone, DO; Christopher Morgan, MD






