A Case of Anti–GAD65 Autoimmune Musicogenic Epilepsy
This case highlights the importance of pursuing workup for autoimmune epilepsy in individuals who present with medically refractory epilepsy provoked by music.
Case Presentation
LD, a right-handed individual, age mid-40s, had a >20-year history of refractory focal seizures with impaired awareness. LD presented to the epilepsy monitoring unit (EMU) for evaluation of candidacy for surgical epilepsy treatment options using continuous EEG monitoring and ictal single-photon emission CT (SPECT). The goal of obtaining ictal SPECT was to gather information regarding seizure localization by assessing cerebral perfusion patterns before and during a seizure.
Since young adulthood, LD had experienced focal seizures approximately once per month that began with a sensation of déjà vu and were characterized by oral automatisms with repetitive throat clearing and impaired awareness followed by postictal word-finding difficulty and confusion lasting several minutes. LD described consistently reproducible triggers for seizures, including hearing emotionally powerful music (eg, gospel music), sexual intercourse, and high-intensity endurance exercise. Other reliable seizure triggers included fatigue, menstruation, poor diet, and alcohol consumption.
Many trials of antiseizure medications (ASMs) over >20 years were attempted, which did not result in seizure control. At the time of EMU admission, LD was taking therapeutic doses of lacosamide and levetiracetam. The medical history was otherwise significant for Graves disease with fluctuating hyperthyroid and hypothyroid states. LD denied a personal history of perinatal complications, developmental delay, febrile seizures, central nervous system infections, or major head trauma. Family history was notable for myasthenia gravis in LD’s mother, as well as seizures in adolescence that resolved without intervention.
At the time of presentation to the EMU, the neurologic examination was largely unremarkable. LD had normal mental status with fluency and comprehension intact to conversation. No abnormalities were observed on cranial nerve testing. Normal tone, muscle bulk, and strength were present in the upper and lower extremities, with normal reflexes throughout. Gait and cerebellar testing results were within normal limits.
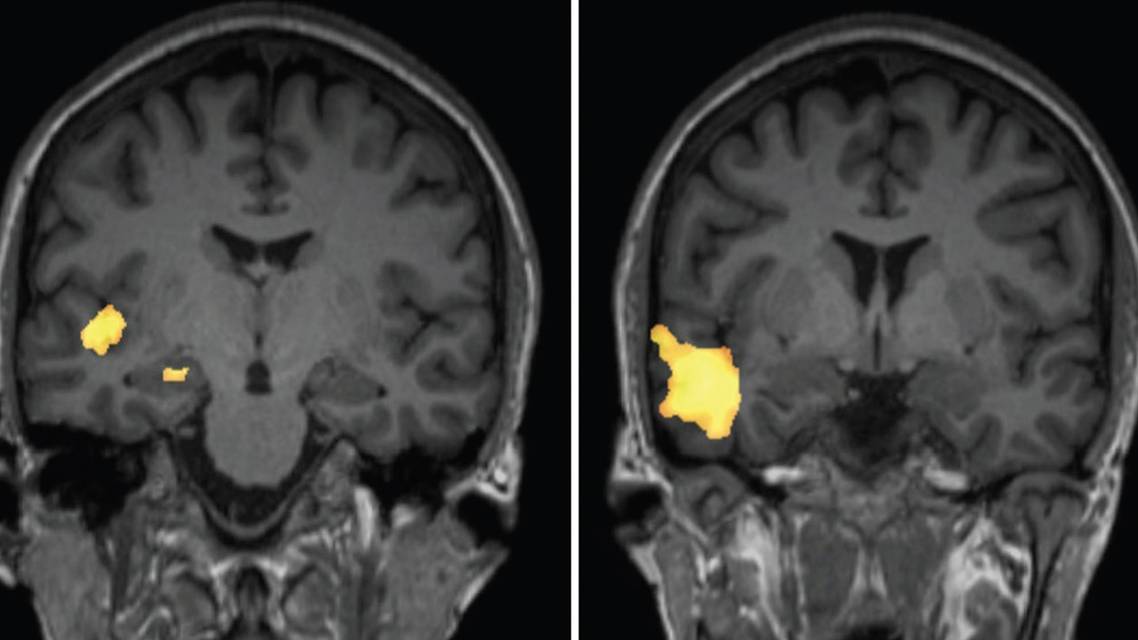
Diagnostic Process
Brain MRI with and without contrast was obtained at an outside institution before admission to the EMU, which revealed no acute intracranial abnormality, mass, or epileptogenic focus. There was no evidence of medial temporal sclerosis, abnormal contrast enhancement, or structural abnormality. Continuous video EEG testing was performed, which revealed left temporal lobe epileptiform discharges and left hemisphere onset seizures. Additional localizing data were needed for presurgical planning. Interictal SPECT, obtained before the EMU admission to acquire the baseline cerebral perfusion pattern, revealed decreased perfusion in the left temporal lobe. In an effort to provoke seizure activity for acquisition of an ictal SPECT during an active seizure, antiepileptic medications were withheld, and LD listened to an emotionally powerful song that had previously triggered seizures. This triggered a seizure, and the SPECT radioisotope was delivered within 15 seconds of the seizure onset. The EEG showed activity originating from the left temporal head region (Figure 1). The ictal SPECT revealed increased perfusion in the left temporal lobe primarily involving the left anterior inferior temporal lobe, hippocampus, and insula. Subtraction of the ictal and interictal SPECT imaging confirmed a left temporal lobe focus (Figure 2).


Additional workup was carried out to investigate the etiology of the medically intractable epilepsy. The musicogenic nature of the seizures, together with LD’s personal and family history of autoimmunity, prompted evaluation for autoimmune etiologies. A serum autoimmune encephalopathy panel, which detects autoantibodies to 19 different cellular components implicated in autoimmune epilepsy,1 was ordered. This revealed a significantly elevated anti–glutamic acid decarboxylase 65 (GAD65) titer of 378 nmol/L (normal <0.02 nmol/L). Cerebrospinal fluid (CSF) evaluation revealed a mildly elevated protein level of 65 mg/dL (reference range, 15–45 mg/dL) without leukocytosis, as well as elevated CSF anti–GAD65 immunoglobulin G (IgG) of 0.64 nmol/L (normal <0.02 nmol/L).
Diagnostic Process
The elevated anti–GAD65 antibody titers in the serum and CSF, elevated CSF protein, and strong personal and family history of autoimmunity strengthened suspicion of autoimmune epilepsy. Further presurgical evaluation was deferred, and care was established with the neuroimmunology team.
Antibody Presence in Epilepsy and Encephalopathy (APE2) is a predictive model that derives scores on the basis of clinical features and neurologic assessment that is used in stratifying the likelihood of an autoimmune cause for an individual’s epilepsy. Features of autoimmune epilepsy that are included in APE2 scoring include CSF protein level >50 mg/dL, >5 CSF nucleated cells/μL, MRI scans suggestive of encephalitis, new onset of symptoms (within the past 3 months), neuropsychiatric or behavioral changes, seizures refractory to >2 AEDs, autonomic dysfunction, malignancy, viral prodrome, faciobrachial dystonic seizures, and facial dyskinesia.2 An APE2 score ≥4 predicts that an antineuronal antibody will be identified in an individual with suspected autoimmune epilepsy with a sensitivity of 98% and a specificity of 85%.2 LD had a calculated APE2 score of 4. Based on this validated predictive model and the presence of autoantibodies in the CSF and serum, the diagnosis of autoimmune epilepsy was made.
Case Resolution
Autoimmune epilepsies can be treated with disease-modifying immunotherapies (eg, corticosteroids, intravenous immunoglobulin [IVIg], rituximab, plasmapheresis). Like the APE2 model, the Response to Immunotherapy in Epilepsy and Encephalopathy (RITE2) model was created for autoimmune epilepsies to predict likelihood of favorable response to treatment. Factors considered in the RITE2 score are the same as in the APE2 score, with the addition of immunotherapy initiated within 6 months of symptom onset and the detection of a neural plasma membrane autoantibody.2 LD had a RITE2 score of 6 (a score ≥7 predicts a favorable response with a sensitivity of 87.5% and specificity of 83.8%).3 Treating anti–GAD65 autoimmune epilepsy can be challenging because the target is an intracellular protein. Better treatment responses are typically seen when immunotherapy is targeted against a cell-surface autoantibody.
LD has continued outpatient follow-up with the neuroimmunology team and has begun a 6-month course of monthly IVIg in conjunction with the existing ASM regimen. LD was seizure-free for the first 3 months, with 2 breakthrough seizures reported in month 4 of IVIg therapy.
Discussion
Musicogenic epilepsy is a form of reflex epilepsy that is characterized by precipitation of seizures with exposure to provoking music. Case reports and retrospective studies have identified higher incidences of elevated GAD65 autoantibodies in individuals with musicogenic epilepsy.4 Anti–GAD65 antibody elevation is associated with a range of neurologic presentations (eg, stiff-person syndrome, cerebellar ataxia, limbic encephalitis, epilepsy), other autoimmune conditions (type 1 diabetes), or at low titers can represent a nonspecific elevation in people without neurologic symptoms.5
GAD65 is an intracellular enzyme abundant in presynaptic terminals required for the conversion of glutamic acid to GABA—the principal inhibitory neurotransmitter of the central nervous system. It is theorized that diminished activity of GAD65 is associated with a reduction in available GABA and reciprocal increase in glutamic acid, which in combination with nearby inflammatory mediators leads to increased neuronal excitability and lowered seizure thresholds.6 There is evidence to support that both the innate and adaptive immune systems are involved in the pathogenesis of GAD65 autoantibody–mediated neurologic disease; however, the pathologic role of the autoantibodies remains unclear.7
GAD65 is an intracellular enzyme that is typically inaccessible to components of the serum, and it has therefore been suggested that much of the pathologic damage may be driven by cytotoxic T cells rather than antibodies.7 Temporal lobectomy specimens from individuals with high GAD65 titers and refractory epilepsy showed evidence of increased concentrations of cytotoxic T cells on immunohistochemistry.8 Another study found neuronal loss with axonal atrophy in the hippocampi of 3 individuals with GAD65–associated encephalitis characterized by refractory focal epilepsy and high autoantibody titers.9
The pathogenesis of musicogenic epilepsy in individuals with anti–GAD65 antibodies is unclear, but the association has been described in other case reports.10,11 In a retrospective chart review of individuals with musicogenic epilepsy, a large proportion of individuals had GAD65 autoantibodies detected in the CSF and serum (56% of total individuals, 100% who underwent autoimmune workup).4 Individuals with musicogenic seizures are more likely to have epilepsy localized to the temporal lobe, which also houses the primary auditory cortex.4 Because GAD65 is critical for the final step in GABA synthesis, GAD65 autoantibodies disrupt GABAergic transmission, which may be implicated in the hyperexcitability of the neuronal network. Additional studies are needed to understand the biochemical underpinnings of GAD65 autoimmunity and musicogenic epilepsy.
This case highlights the importance of pursuing workup for autoimmune epilepsy in individuals who present with medically refractory epilepsy provoked by music, especially those with a history of other autoimmune conditions. Immunomodulatory agents (eg, IVIg, high-dose corticosteroids, rituximab, other immunosuppressants) may be tried in individuals with autoimmune epilepsy with the goal of seizure reduction. Use of APE2 and RITE2 scores can be helpful in stratifying risk for autoimmune etiology and predicting potential therapeutic response to immunotherapy.
Ready to Claim Your Credits?
You have attempts to pass this post-test. Take your time and review carefully before submitting.
Good luck!
Recommended
- Imaging & Testing
Practical MRI in Neurology: Use Cases, Technologies, and Opportunities for Outpatient Clinics
Joseph Fritz, PhD; Edmond A. Knopp, MD, DABR, FASFNRJoseph Fritz, PhD; Edmond A. Knopp, MD, DABR, FASFNR - Imaging & Testing
Artificial Intelligence in Clinical Neurology: Opportunities, Limitations, and the Path Forward
Aysha Jadran, MD; Saqib A. Chaudhry, MDAysha Jadran, MD; Saqib A. Chaudhry, MD - Epilepsy & Seizures
Utility of Stereoelectroencephalography in the Treatment of Drug-Resistant Epilepsy
S. Katie Z. Ihnen, MD, PhD; Ravindra Arya, MD, DMS. Katie Z. Ihnen, MD, PhD; Ravindra Arya, MD, DM






