Headache & Pain
Articles 1-16 of 30
- Headache & Pain
Hypermobility Spectrum Disorders and Migraine: Screening Matters
Lauren R. Natbony, MD, FAHS; Carly N. Ray, MDLauren R. Natbony, MD, FAHS; Carly N. Ray, MD - Headache & Pain
Headache Horizons: Key Updates in Headache and Migraine Care
Christopher Gottschalk, MDChristopher Gottschalk, MD - Headache & Pain
Headache Horizons: Headache Pharmacology and Novel Therapeutics Update
Shivang Joshi, MD, MPH, BPharmShivang Joshi, MD, MPH, BPharm - Headache & Pain
Headache Horizons: Recognition, Diagnosis, and Treatment of Hypnic Headache
Brian E. McGeeney, MD, MPH, MBABrian E. McGeeney, MD, MPH, MBA - Headache & Pain
Headache Horizons: The Study and Use of Psychedelics in Cluster Headache
Risako A. Shirane, MD, MSc; Christopher Gottschalk, MDRisako A. Shirane, MD, MSc; Christopher Gottschalk, MD - Headache & Pain
Practice Management: Botulinum Toxin Billing & Coding Update
Martin T. Taylor, DO, PhD; Laxman Bahroo, DO, FAANMartin T. Taylor, DO, PhD; Laxman Bahroo, DO, FAAN - Stroke
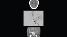
Stroke Snapshot: Reversible Cerebral Vasoconstriction Syndrome
Michael Teitcher, MD; José Biller, MDMichael Teitcher, MD; José Biller, MD - Headache & Pain
Case Conference: Diagnosing Fast & Slow in Neurology
Ilya Kister, MD, FAAN; José Biller, MDIlya Kister, MD, FAAN; José Biller, MD - Movement Disorders
Movement Disorders Moment: Pain & Palliative Care in Movement Disorders
Jill M. Giordano Farmer, DO; Alissa Kasunich, MDJill M. Giordano Farmer, DO; Alissa Kasunich, MD
- Prev
- Next































