Stroke
579
Episodes 1-16 of 23
- MS & Immune Disorders
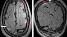
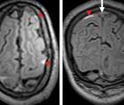
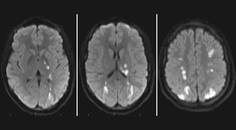
CADASIL Misdiagnosed as Multiple Sclerosis
Anthony Wong, BS; Jacquelyn Johnson, MS, CGCAnthony Wong, BS; Jacquelyn Johnson, MS, CGC - Stroke
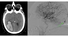
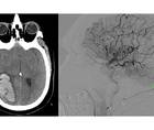
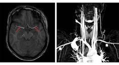
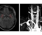
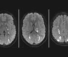
Management of Vein of Galen Thrombosis With Mechanical Thrombectomy
Justin Gelman, BS; Rohan Jha, SBJustin Gelman, BS; Rohan Jha, SB - Stroke
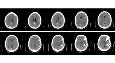
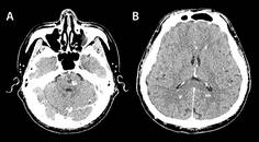
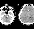
Ischemic Complications from a Facial Lipofilling Procedure
Sanaz Rezaei, MD; Fatemeh Talebi, MDSanaz Rezaei, MD; Fatemeh Talebi, MD - Stroke
Stroke Snapshot: Ulcerative Colitis & Stroke
Column Editor: Abhi Pandhi, MD; Savdeep Singh, MDColumn Editor: Abhi Pandhi, MD; Savdeep Singh, MD
- Prev
- Next































