Stroke
1476
17-25 of 25
- Stroke
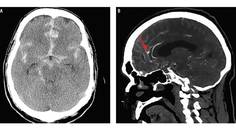
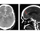
Stroke Snapshot: Ulcerative Colitis & Stroke
Column Editor: Abhi Pandhi, MD; Savdeep Singh, MDColumn Editor: Abhi Pandhi, MD; Savdeep Singh, MD - Headache & Pain
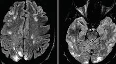
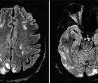
Case Report: New-Onset Headache With Tinnitus and Orthostatic Dizziness
Ryan P. CoburnRyan P. Coburn - Stroke
Vasculitis Presenting as a Hypertensive Crisis With Back Pain
Julia Blanter, MD; Michael Colin, MDJulia Blanter, MD; Michael Colin, MD
- Previous
- Next

















