Bilateral Vertebral Artery Dissection and Occlusion After a Long-Distance Open-Water Swim
Case Presentation
MYC, a healthy female aged early 60s, collapsed on the beach after completing a long-distance open-water swim around Alcatraz in San Francisco and was brought to the emergency department (ED) by ambulance. MYC was an experienced swimmer and vigorous athlete, but this was her first long-distance swim in open water. MYC was feeling well without infectious symptoms before the event. After completing the several-mile swim, she was able to walk briefly, but then collapsed on the beach, with consciousness retained, and emergency services were activated.
Upon arrival to the ED, vital signs were notable for initial temperature of 33.8°C and bradycardia with heart rates in the 30s. MYC retained consciousness throughout the ED evaluation, but soon after arrival, a stroke code was activated because of right gaze deviation and left-sided facial droop. A National Institutes of Health Stroke Scale score of 3 was obtained.
Diagnostic Process
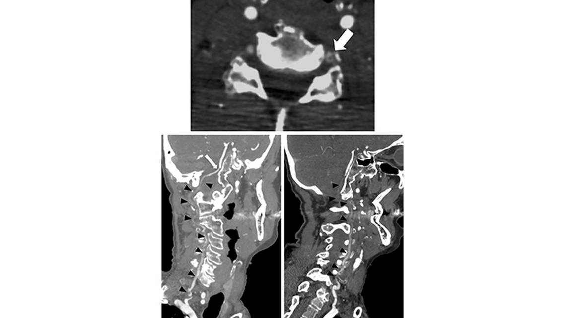
Noncontrast head CT revealed a subtle area of hypodensities in the bilateral cerebellar hemispheres. CT angiogram of the brain and neck showed extensive extracranial thrombus with multifocal severe stenosis or occlusion from the origin of the bilateral vertebral arteries to the vertebrobasilar junction, but a patent basilar artery (Figure 1). The right posterior inferior cerebellar artery (PICA) had likely retrograde filling; the left PICA was not seen. CT perfusion imaging revealed elevated time-to-maximum on RapidAI software (iSchemaView; Menlo Park, CA) in the bilateral cerebellar hemispheres with relatively preserved cerebral blood flow (Figure 2).


After neuroimaging was performed, MYC briefly had full resolution of neurologic deficits and was able to provide a full history. MYC endorsed a current headache and denied any preceding neck trauma or chiropractic manipulation. She reported swimming freestyle throughout the event, requiring frequent turning of the head to both sides to breathe, and her spouse subsequently explained that MYC had been coached to look up frequently to remain oriented in the open water. A history of Raynaud phenomenon was reported.
Over the next 30 minutes, rapid progression of symptoms occurred, with recurrent left-sided facial droop, and new onset of dysarthria and left arm ataxia. Given evidence of arterial occlusion, worsening National Institutes of Health Stroke Scale score, and symptom onset ≤4.5 hours, intravenous thrombolysis (IVT) with alteplase was initiated.
In the 30 minutes after alteplase initiation, symptoms continued to progress, with MYC exhibiting a decreased level of consciousness, inability to answer questions, worsening dysarthria and limb ataxia, and new onset of ophthalmospasms and direction-changing nystagmus. MYC ultimately became unresponsive and unable to follow commands, but continued to be able to move all extremities spontaneously.
Given the progression of symptoms, there was a high suspicion for reperfusion hemorrhage or clot propagation to the basilar artery. Repeat CT angiogram of the brain and neck showed patent basilar artery and improved patency of the right greater than left vertebral arteries, but a new right P2 posterior circulation artery (PCA) occlusion was present. There was also cortical contrast staining of the right PCA territory and bilateral cerebellar hemispheres, suggestive of evolving infarcts.
MYC was admitted to the intensive care unit for blood pressure management. The hypothermia and associated bradycardia improved with rewarming. Her examination was notable for ongoing sleepiness, but MYC was able to awaken to loud voices and follow 1-step commands. Left-sided spatial neglect was present. Cranial nerve examination was notable for right gaze preference and direction-changing nystagmus, bilateral facial weakness, and mild dysarthria. Antigravity strength was noted throughout, but substantial ataxia was present in right greater than left upper extremities.
Repeat imaging at 24 hours after thrombolysis showed hypodensities compatible with evolving bilateral PICA and right PCA territory ischemia, with edema leading to effacement of the fourth ventricle and development of obstructive hydrocephalus. Over the next several hours, worsening dysarthria and encephalopathy developed, and decompressive suboccipital craniectomy and external ventricular drain placement were performed. On postoperative day 1, MYC had intact brainstem reflexes and was able to follow commands, but on postoperative day 2, she no longer was able to follow commands or move the extremities. As progression through the peak swelling window occurred, MYC was treated with hyperosmolar therapy, including scheduled mannitol and hypertonic saline. Repeat noncontrast head CT showed hemorrhagic conversion of the right occipital area of ischemia as well as bilateral tentorial subdural hematomas with extension along the right retrocerebellar space. The extensive cerebellar edema stabilized by postoperative day 5, and by postoperative day 6, there was improvement in MYC’s examination, with regained ability to follow axial and appendicular commands. Cranial nerve examination was notable for reactive pupils, restricted lateral gaze bilaterally, absent blink to threat bilaterally, intact facial movements, and intact cough and gag. Motor examination was notable for minimal movement of proximal arms but antigravity strength in bilateral legs.
Prior to discharge, a hypercoagulable workup was performed primarily due to the history of Raynaud’s phenomenon. This workup was unremarkable, including normal inflammatory markers, antinuclear antibodies, antineutrophil cytoplasmic antibodies, C3 and C4 levels, and negative antiphospholipid antibodies and rheumatoid factor. MYC was started on daily antithrombotic therapy with aspirin. MYC ultimately required placement of tracheostomy and percutaneous gastrostomy tubes and was discharged to a long-term care facility.
Case Resolution
Three months after the stroke, MYC remained in a rehabilitation facility, but underwent tracheostomy decannulation and had improving strength throughout the extremities. Six months after the stroke, MYC was speaking and self-feeding, but had memory challenges and mood disturbance and remained in a rehabilitation facility. Strength continued to improve, and MYC was ambulatory with assistance, limited primarily by balance and coordination challenges. Twelve months after the stroke, she was able to live at home with moderate assistance, with limitations primarily in cognitive and neuropsychiatric domains, with ongoing regressive behavior. Of note, she had no known frontal lobe injury.
The etiology of bilateral vertebral artery dissection and thrombosis was most likely prolonged shear injury from freestyle swimming in open water with neck hyperextension, possibly worsened by hypothermia and suspected underlying fibromuscular dysplasia or autoimmune or inflammatory vasculopathy, given the history of Raynaud phenomenon.
Discussion
This dramatic presentation of bilateral vertebral artery dissection and occlusion from presumed hyperextension is the first known case related to prolonged open-water swimming. Cervical artery dissection is a relatively rare cause of stroke, implicated in <5% of all stroke admissions in the United States, although proportionally more prevalent in younger, healthier individuals.1 Among individuals age 18 to 40, cervical artery dissection accounts for approximately 7% of all stroke hospitalizations, compared with <1% in individuals age ≥60, although the overall prevalence of cervical artery dissection increases with age.1 The majority of literature on management of cervical artery dissections focuses on secondary stroke prevention rather than on hyperacute management. IVT is not commonly considered for arterial dissections, possibly because of its infrequency and delayed or subtle presentation after the 4.5-hour thrombolysis window. Two meta-analyses of numerous case series of people with cervical artery dissection–related ischemic stroke found that IVT was safe, with complication and mortality rates similar to those of all individuals with ischemic stroke who received thrombolysis.2,3 Less clear is the safety of IVT in a person experiencing intracranial dissection, which may increase the risk of subarachnoid hemorrhage.4–6 If an individual is otherwise a candidate for IVT, suspicion for cervical artery dissection as the stroke mechanism should not preclude alteplase administration.
Endovascular treatment (EVT) techniques have been suggested in cases of large vessel occlusion (LVO) attributable to cervical artery dissection, although rarely for vertebral artery LVO with patent basilar artery. None of the large randomized controlled trials on EVT in LVO has included isolated vertebral artery occlusions.7–9 The Endovascular Treatment and Thrombolysis for Ischemic Stroke Patients (EVA-TRISP) observational cohort study investigated EVT versus IVT in cases of cervical artery dissection with associated LVO and observed that individuals who received EVT had higher rates of vessel recanalization but similar functional outcome at 3 months compared with the IVT group.10 As with most studies of treatment for LVO, the EVA-TRISP study primarily included cases of anterior circulation dissection and LVO (n=57/290; ~80% of the cohort), and of the 28 participants with vertebral artery V4-segment occlusions but patent basilar artery, 25 underwent IVT only, without EVT. EVT for basilar artery LVO was much more common (n=19/23), and EVT has been demonstrated to be superior to IVT alone for basilar artery LVO.7,9 Endovascular stenting also has been proposed for acute management of LVO attributable to dissection; however, it is generally reserved for people who fail medical management or have traumatic carotid dissections, particularly with associated pseudoaneurysms, because of relatively high associated procedural morbidity (ie, in-stent thrombosis).11 Minimal evidence exists to guide management of bilateral vertebral artery occlusions with patent basilar artery, as seen in MYC, likely because this is a rare presentation.
For secondary stroke prevention after initial presentation with cervical artery dissection, the Cervical Artery Dissection in Stroke Study ([CADISS] CTN44555237) suggested no difference in risk of recurrent stroke with use of an antiplatelet agent versus anticoagulation in the 3 months after the stroke.12 The Biomarkers and Antithrombotic Treatment in Cervical Artery Dissection (TREAT-CAD) trial (NCT02046460), however, failed to show noninferiority of aspirin compared with vitamin K antagonists.13 In the wake of these 2 studies, either antiplatelet or anticoagulation therapy for 3 to 6 months remains standard of care for secondary stroke prevention in cervical artery dissections.14,15 Some practitioners recommend lifelong antithrombotic therapy. The presence of additional risk factors for subsequent stroke, such as ongoing vessel stenosis or irregularity, or comorbidities predisposing an individual to a hypercoagulable state, may influence treatment duration. More evidence is needed to guide duration and choice of antithrombotic therapy after cervical artery dissection.
In this case, EVT was considered but ultimately determined to be indicated only if a static occlusion of the basilar artery developed. Use of a heparin drip during the acute period was discussed, given the dynamic nature of the presentation, with suspected ongoing clot propagation, possibly related to the hypothermia or suspected fibromuscular dysplasia; however, given the recent alteplase administration, the risks were believed to be too high, particularly with the absence of data to guide management in this clinical scenario. Rapid identification of evolving deficits, despite an atypical presentation of ischemic stroke, allowed for appropriate intervention and likely influenced survival.
Ready to Claim Your Credits?
You have attempts to pass this post-test. Take your time and review carefully before submitting.
Good luck!
Recommended
- Imaging & Testing
Neuroimaging: Clinical Impact of Imaging Findings
Laszlo Mechtler, MD, FAAN, FEAN, FASN, FAHSLaszlo Mechtler, MD, FAAN, FEAN, FASN, FAHS - Alzheimer Disease & Dementias
Special Report: 2025 Neurology FDA Drug & Device Approvals & Clearances






