Neuromuscular Sarcoidosis: Peripheral Nervous System Manifestations
Neurologic involvement is present in about 5% of individuals with sarcoidosis. Cranial neuropathy and central nervous system involvement are the most frequent neurologic manifestations, with extracranial peripheral nervous system (PNS) involvement being described in about 15% to 20% of neurosarcoidosis cases.1,2 PNS manifestations can be categorized as large-fiber neuropathy (LFN), small-fiber neuropathy (SFN), or myopathy.
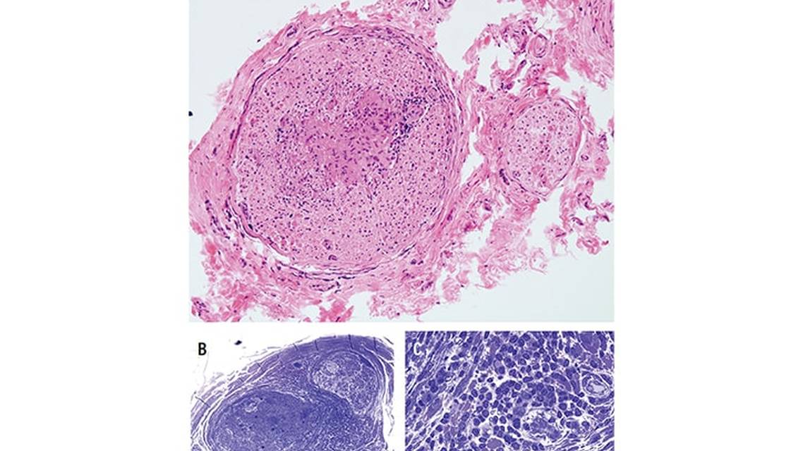
Large-Fiber Neuropathy
LFN results directly from pathologic granulomatous infiltration; the term “sarcoidosis granulomatous neuropathy” has been suggested to distinguish it from nongranulomatous, sarcoid-associated SFN.3 Although a length-dependent, symmetric, axonal polyneuropathy pattern can occur, non–length-dependent, asymmetric patterns are often described, manifesting as mononeuritis multiplex or multifocal polyradiculoneuropathy. In one of the largest case series describing the pattern of neuropathy in 57 individuals, polyneuropathy accounted for 33% of cases; 56% of cases had a polyradiculopathy, polyradiculoneuropathy, or radiculoplexoneuropathy pattern; and 11% presented a multifocal mononeuropathy.4 Pain and clear timing of onset—as opposed to insidious progression—are present in a large proportion of cases. Nerve biopsies show noncaseating epithelioid cell granulomas in the epineurium (Figure 1). Axonal damage is thought to result from direct compression of nerve fibers by granulomas and ischemia from narrowing or occlusion of epineurial blood vessel lumens by invading granulomas.5 Demyelinating presentations similar to Guillain-Barré syndrome (GBS)/acute inflammatory demyelinating polyneuropathy (AIDP), multifocal motor neuropathy, or chronic inflammatory demyelinating polyneuropathy have been described.3 One series identified demyelinating features in up to 30% of biopsies.5 The precise pathophysiologic mechanism for demyelination remains to be clarified.

Because sarcoid-associated LFN is considered to result directly from granulomatous inflammation, treatment is generally considered to be warranted. As with sarcoid-associated central nervous system involvement, there are no randomized controlled trials guiding treatment approaches. Treatment is mainly informed by retrospective case series. The first line of treatment for any neurologic manifestation of sarcoidosis warranting treatment is usually corticosteroids. For mild to moderate presentations, oral therapy is favored, with an initial dose of 40 to 60 mg/day or .5 to 1 mg/kg/day, and subsequent slow taper over several months, depending on response and monitoring for recurrence of disease activity.6 Demyelinating GBS/AIDP-like presentations have also been reported to respond to corticosteroids, unlike classic forms of GBS/AIDP.
For refractory disease, or intolerable side effects to corticosteroids requiring a corticosteroid-sparing treatment, other common immunomodulatory drugs not specific for sarcoidosis have been used, such as methotrexate, azathioprine, and mycophenolate mofetil. There is no good evidence favoring one option over another. Anecdotal evidence shows that intravenous immunoglobulin (IVIg) response might depend on the phenotype, with reports of multifocal motor neuropathy and chronic inflammatory demyelinating polyneuropathy–like cases responding to treatment, whereas vasculitic sensory neuropathies and mononeuritis multiplex do not show treatment benefit.3
Small-Fiber Neuropathy
The real prevalence of SFN in sarcoid disease is difficult to establish because of relatively small sample sizes; inconsistent use of supportive tests, such as quantitative sudomotor axon reflex test or intraepidermal nerve fiber density (IENFD), on skin biopsy; and frequent competing alternative etiologies, such as diabetes or nutritional deficiencies, but has been reported to be as high as 30% to 45%.7,8 Additionally, SFN symptoms may be an early manifestation of LFN. Positive neuropathic symptoms, especially pain, were reported in 98% of participants in a Mayo Clinic series of pathologically proven LFN.4 Clinical manifestations of painful dysesthesia are often non–length-dependent, and often involve the face or torso. Dysautonomic manifestations, such as orthostasis, palpitations, gastrointestinal dysmotility, or altered sweating are also commonly described in SFN patients, usually in addition to neuropathic pain.9 The pathologic mechanism leading to SFN in sarcoidosis is not well established, but is hypothesized to be unrelated to granulomatous inflammation; hence the term “parasarcoidosis” has been used to describe this manifestation. As with other autoimmune diseases in which SFN is described frequently, such as systemic lupus erythematosus, Sjögren syndrome, or rheumatoid arthritis, a proposed mechanism for nerve damage is chronic cytokine-mediated inflammation.3
Treatment of sarcoid-associated SFN remains controversial. Retrospective, noncontrolled, small sample-sized case series with variable clinical or pathologic inclusion criteria and heterogeneous qualitative, individual-reported outcomes account for an overall poor-quality level of evidence. SFN symptoms are often refractory to standard treatment (eg, corticosteroids, methotrexate, azathioprine) used for other sarcoid manifestations. In the largest published series, 115 individuals with sarcoidosis and SFN confirmed with IENFD or quantitative sudomotor axon reflex test were treated with IVIg, anti–tumor necrosis factor–α (TNFα) agent, both IVIg and anti-TNFα agent, or standard care (ie, pain medications, corticosteroids, methotrexate). Participants were assessed retrospectively for improvement of symptoms based on nonstandardized self-report. The study found a higher likelihood of therapeutic response with IVIg, anti-TNFα agent, or combination therapy compared with standard care.9 However, significant placebo effect and subjective outcome reporting remain an important source of concern in the interpretation of the results.
A series of 36 individuals treated with infliximab for systemic sarcoid and diagnosed with SFN showed no benefit of infliximab on retrospective SFN symptom questionnaire scores, despite a significant improvement of systemic inflammation burden on follow-up [¹⁸F]fluorodeoxyglucose PET scans compared with pretreatment PET scans.10
Recently, cibinetide/ARA290, an 11–amino acid peptide thought to reduce neuropathic symptoms and promote nerve fiber repair by targeting an innate repair receptor, showed improvement in corneal nerve fiber abundance—a surrogate for SFN—in a phase 2b, double-blinded, randomized, placebo-controlled trial of 64 participants diagnosed with sarcoidosis and painful SFN based on corneal nerve fiber abundance or IENFD. Secondary outcomes of individual-reported symptom improvement did not show a significant difference.11 The placebo effect was strong, a phenomenon that is especially notable in SFN trials, highlighting the importance of objective outcome measures.
Myopathy
Noncaseating granulomas, the pathologic hallmark of sarcoidosis, can be found in skeletal muscle biopsies of 50% to 80% of individuals with systemic sarcoidosis.12 Clinically symptomatic myopathy, on the other hand, is rare, occurring in about 3% of cases.13 Muscle biopsy therefore can be useful to confirm granulomatous pathology and fulfill sarcoidosis diagnostic criteria in the presence of systemic disease, or to confirm the underlying etiology in an individual presenting with clinical weakness, but has little use in confirming myopathy in an individual with sarcoidosis with nonspecific symptoms (Figure 2).

Clinical presentations of myopathy can be categorized broadly into 4 phenotypes: chronic myopathy, acute myositis, nodular disease, or isolated myalgias. Chronic myopathy is the most frequent manifestation. Chronic myopathy generally presents after several years of systemic disease with progressive, symmetric, proximal, lower extremity–predominant weakness. Creatine kinase (CK) levels can be normal to mildly elevated, and abnormal spontaneous activity with fibrillation potentials is inconsistently present on EMG; if present, these EMG findings can be helpful in distinguishing chronic from corticosteroid-induced myopathy. Muscle MRI shows muscle atrophy and fatty replacement, but about half of individuals also show radiologic signs of active inflammation with T2/short tau inversion recovery hyperintensity on MRI scans, or increased uptake on gallium scintigraphy or [¹⁸F]fluorodeoxyglucose PET scans.14 Response to immunotherapy is variable, but often incomplete, especially if treatment is delayed.
Acute myositis presents earlier in the disease course, with prominent myalgias and weakness developing over weeks to months, significantly elevated CK levels, and usually good response to corticosteroids or methotrexate.
Nodular disease manifests as palpable masses in skeletal muscles, consisting of clusters of granulomas that are commonly tender to palpation and predominantly affect lower extremities. The nodules do not cause weakness or elevation in CK, at least initially, although contracture, myalgias, and weakness can develop with time. The nodules respond well to corticosteroid treatment.
Some individuals are diagnosed with sarcoid myopathy on the basis of isolated myalgias and granulomatous inflammation on muscle biopsy in the absence of any weakness or intramuscular nodules.13,15 Whether this truly represents a myopathy, given the high incidence of asymptomatic muscle granulomas on biopsies, remains to be clarified. Nevertheless, these individuals have been described as having a higher risk of developing muscle weakness over subsequent years, and benefiting from hydroxychloroquine for symptom relief.16
An important consideration when an individual with systemic sarcoidosis develops myopathy is that the underlying etiology is not necessarily sarcoid myopathy. As previously mentioned, corticosteroid myopathy is a frequent differential diagnosis, and can be difficult to differentiate from chronic sarcoid myopathy, which sometimes displays little evidence of active inflammation.
Inclusion body myositis (IBM) has been associated with sarcoidosis. Intramuscular granulomas occasionally can be found on muscle biopsies of individuals with IBM without any evidence of systemic sarcoidosis, and those individuals do not appear to have a different clinical course compared with people with IBM without intramuscular granulomas. On the other hand, among noncaseating granulomatous myopathies, 40% of cases fulfill the European Neuromuscular Centre (ENMC) diagnostic criteria for clinicopathologically defined or clinically defined IBM. Among these cases of granulomatous myopathy fulfilling IBM criteria, at least two-thirds also have evidence of systemic sarcoidosis.13 Thus, these 2 diseases share common pathologic findings, and they can co-occur.
In a cohort study of 21 participants with a diagnosis of sarcoidosis and myopathic symptoms, IBM defined by ENMC criteria was the second most common diagnosis after granulomatous myopathy attributable to sarcoidosis. The frequency was 4.7 times higher than the IBM prevalence in the general population. Other etiologies included corticosteroid-induced, nonspecific, or immune-mediated necrotizing myopathies.17 When individuals with sarcoidosis present with an IBM clinical phenotype (eg, quadriceps and finger flexor weakness) and muscle pathology (eg, inflammatory myopathy, sarcoplasmic congophilic inclusions, rimmed vacuoles), they typically do not respond to immunotherapy, similar to individuals with nongranulomatous sporadic IBM.15 Recognizing this phenotype is important to avoid futile escalations of immunosuppressive treatment.
Summary
Symptomatic PNS involvement is rare in sarcoid disease. Response to immunotherapy is variable and depends on the phenotype and underlying pathology. SFN represents a challenge, and additional placebo-controlled trials with objective outcome measures are necessary to determine the benefit of immunomodulatory therapies. Individuals with IBM can have coexisting noncaseating granulomas on muscle biopsies; as with individuals with IBM and non-granulomatous pathology, they will not respond to treatment. In contrast to other sarcoid myopathies, myopathy with IBM phenotype can develop in the context of systemic sarcoidosis and is not responsive to immunosuppressive treatment.
Ready to Claim Your Credits?
You have attempts to pass this post-test. Take your time and review carefully before submitting.
Good luck!
Recommended
- Imaging & Testing
Practical MRI in Neurology: Use Cases, Technologies, and Opportunities for Outpatient Clinics
Joseph Fritz, PhD; Edmond A. Knopp, MD, DABR, FASFNRJoseph Fritz, PhD; Edmond A. Knopp, MD, DABR, FASFNR - Neuromuscular
Pediatric Neuromuscular Disorders Encountered in the Adult Neurology Clinic
Leslie Hayes, MDLeslie Hayes, MD - Neuromuscular
The Consequences of Delays in the Diagnosis of Generalized Myasthenia Gravis
John A. Morren, MD, FAAN, FAANEMJohn A. Morren, MD, FAAN, FAANEM






