Case Reports: Mitochondrial Neurogastrointestinal Encephalopathy
Clinical Presentation
Mr. E, age 22 years, presented with chronic progressive abdominal pain and weight loss. In the preceding year, these symptoms became more significant as he experienced weight loss of 70 lbs and multiple hospitalizations for refractory abdominal pain. Extensive workup at other institutions, including abdominal and pelvic CT and MRI, endoscopy and colonoscopy, and hepatobiliary scintigraphy were unrevealing. He had been diagnosed with superior mesenteric artery compression at an outside facility and there underwent gastrojejunostomy, which did not relieve symptoms.
On presentation to our institution, Mr. E was cachectic with severe intermittent abdominal pain, chronic diarrhea, and bilateral leg weakness. Neurology consultation uncovered history of foot drop since age 16 years, with progressive and now bilateral weakness of legs and distal arms. Prior nerve biopsy noted selective loss of large-diameter axons with no evidence of inflammation. There was no family history of similar symptoms or consanguinity.
Mr. E had normal cognition, speech, and language; limited extraocular movements in all directions; lower extremity flaccid weakness and inability to bear weight; distal weakness and atrophy of limbs; absent lower and reduced upper extremity reflexes; bilateral foot drop; and globally reduced muscle bulk.
Diagnostic Studies
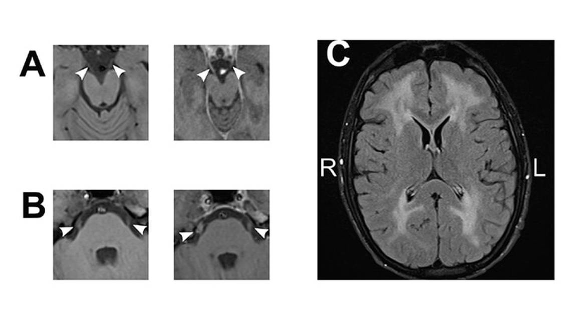
An extensive workup for inflammatory, metabolic, and heritable disorders was ordered. No metabolic or nutritional deficiencies were found. Erythrocyte sedimentation rate (ESR) and C-reactive protein (CRP) levels were mildly elevated, but serologic autoimmune markers were otherwise negative. EMG and nerve conduction studies (NCS) showed severe sensorimotor neuropathy with demyelinating and axonal features. Brain MRI, ordered to further investigate extraocular impairment, showed symmetric nonenhancing white matter changes with thickening and enhancement of multiple cranial nerves (Figure 1). Lumbar puncture was performed and cerebrospinal fluid (CSF) analysis was notable only for highly elevated protein. Follow-up was planned while lysosomal, peroxisomal, and genetic testing was pending. Muscle biopsy was not pursued.

Differential Diagnosis and Diagnosis
A broad range of etiologies was considered at Mr. E’s initial presentation. Because of prominent neuropathy and weakness and the context of his gastrointestinal (GI) symptoms, acquired nutritional deficiencies (eg, vitamin B12, thiamine, and copper) were considered, but all were at normal levels. Test results were negative for HIV and chronic lead poisoning. Inflammatory disorders (eg, chronic inflammatory demyelinating polyradiculoneuropathy) were considered but thought less likely in the context of brain MRI findings. Hereditary causes of neuropathy and leukoencephalopathy were thought most likely, and genetic panels for lysosomal disorders (eg, metachromatic leukodystrophy), peroxisomal disorders (eg, adrenoleukodystrophy), and mitochondrial disorders were ordered. The combination of neuropathy, GI symptoms, extraocular impairment, and leukoencephalopathy on MRI strongly suggested a mitochondrial disorder. Genetic test results revealed compound heterozygous mutations in TYMP, c.1414delC (p.F474SfsX?), and p.L334P (c.1001 T>c), both of which have been reported as pathologic variants,1,2 confirming diagnosis of mitochondrial neurogastrointestinal encephalopathy (MNGIE).
Management and Outcome
Mr. E returned to our emergency department 3 weeks after discharge with fever, cough, and worsening GI symptoms. He was septic secondary to pneumonia and treated with antibiotics and supportive care. During this readmission, Mr. E’s GI symptoms worsened and total parenteral nutrition was initiated. By the time of diagnostic confirmation, Mr. E’s clinical status had declined substantially. He suffered from panic attacks; refractory pain, requiring ketamine infusion; and chronic diarrhea, requiring a rectal tube. After discussions about his prognosis, Mr. E chose comfort measures and died at home weeks later.
Discussion
Onset, progression, and formal diagnosis delays are characteristic for people with MNGIE. The constellation of severe neuropathy and leukoencephalopathy in a young adult narrows the differential considerably, but these symptoms are often overshadowed by the prominent GI symptoms. There is often a large delay from onset of GI symptoms to consideration of an inherited disorder with multisystem involvement.
In MNGIE, a deficiency of thymidine phosphorylase, essential for purine and pyrimidine metabolism, leads to accumulation of the nucleosides thymidine and deoxyuridine in tissues.3 In turn, instability of mitochondrial DNA (mtDNA) leads to mtDNA deletions and mutations, and overall mitochondrial dysfunction which underlies the variable manifestations of the disorder.4
In the largest review of MNGIE to date, the age at symptom onset varied from 5 months to the fourth decade of life, although most had symptoms before age 12 years.5 The most frequent initial symptom was GI (eg, abdominal pain, diarrhea, thinness, cramps, borborygmi, or pseudo-obstruction) followed by ptosis and ophthalmoparesis. Neuropathy arose later but was common and frequently debilitating. Rate of initial misdiagnosis was high, with acquired GI diagnoses most common. A sharp decline in survival was seen in the fourth decade of life.
Leukoencephalopathy was present in all cases that had imaging available. Although the majority of individuals were considered minimally symptomatic from this manifestation, 20% experienced significant cognitive impairment. The leukoencephalopathy of MNGIE is characterized by progressive and extensive involvement of the subcortical white matter with sparing of the U-fibers.6 There is variable involvement of the deep gray structures and brainstem. Cranial nerve thickening as seen in Mr. E has been noted in only 1 other case,7 although this subtle finding may be frequently overlooked.

Diagnosis
Diagnosis of MNGIE relies on 2 main criteria: 1) exclusion of acquired causes; and 2) recognition of the constellation of symptoms, prompting confirmatory testing. Often, brain MRI is a useful tool to narrow the differential and can prompt investigation into hereditary causes and simultaneously suggest more probable etiologies based on the pattern of white and grey matter involvement (Figure 2).8 The diagnosis of MNGIE can be confirmed by measurement of thymidine phosphorylase activity, elevated levels of circulating nucleosides thymidine and deoxyuridine, or by genetic testing for TYMP, as in Mr. E’s case.
![Figure 2. After excluding common acquired causes (eg, microvascular ischemic changes or multiple sclerosis), recognizing patterns of involvement in the frontal, parieto-occipital, brainstem, cerebellar, subcortical, or periventricular regions can be helpful in narrowing the differential diagnosis. Leukoencephalopathies are seen as symmetrical white matter lesions (hyperintense on fluid-attenuated inversion-recovery [FLAIR] and T1-MRI and hypointense on T2 MRI) and are best visualized with FLAIR. Genetic vasculopathies (eg, cerebral autosomal dominant arteriopathy with subcortical infarcts and leukoencephalopathy [CADASIL]) are an important exception, although those usually have other distinct MRI findings. Abbreviation: MNGIE, mitochondrial neurogastrointestinal encephalopathy.](https://cdn.practicalneurology.com/cache/9a/6c/9a6cf04b5306d3e08a759da0b2d0750c.png)

Treatment
Treatment has been focused on correcting the underlying metabolic consequences of thymidine phosphorylase deficiency. Dialysis can temporarily decrease the level of circulating nucleosides and orthotopic liver transplant9 and carrier erythrocyte entrapped thymidine phosphorylase therapy10 have shown promise in single cases. Hematopoietic stem cell transplant (hSCT) is the best studied treatment modality and has been shown to provide a durable decrease in circulating nucleosides and sustained clinical improvement.11 Although formal guidelines for hSCT are in place for MNGIE,12 the decision to proceed with treatment is complex because of the high-risk nature of the treatment and the debilitated state most patients are in by the time the treatment is considered.

Although this issue is common to most heritable leukoencephalopathies amenable to hSCT, people with MNGIE face the added issues of variable tissue involvement and recovery and a need for prolonged nutritional support. In a multicenter study of hSCT in 24 people with MNGIE patients, 7 were engrafted and had measurable clinical improvements more than 2 years after transplant. Unfortunately, 9 died from transplant-related causes and another 6 had continued disease progression resulting in death. Even among those who had clinical improvement, severe deficits remained and most required long-term TPN.11
More broadly, hSCT, gene therapy, and other novel strategies are increasingly used in hereditary leukoencephalopathies presenting in adults. Cerebral inflammatory adrenoleukodystrophy and metachromatic leukodystrophy are 2 diseases that have also been successfully treated with these methods.13,14 Although these diseases are rare, they have similar prevalence to more well-recognized conditions. For example, adrenoleukodystrophy prevalence is comparable to that of neuromyelitis optica spectrum disorder (NMOSD).15,16
Clinicians should be vigilant for these presentations and expedite treatment evaluations for a maximal window for intervention. Upon initial suspicion of MNGIE or other hereditable leukodystrophy amenable to hSCT, early involvement of hematology should be considered to expedite evaluation for transplant before further clinical deterioration.

Summary
Adult-onset leukoencephalopathies are an infrequent but important consideration in the differential diagnosis of white matter lesions of the central nervous system. MNGIE, although rare, is an important consideration in the differential diagnosis of adults with atypical white matter disease. As experience with hSCT for this disease and other heritable leukoencephalopathies grows, clinicians must be vigilant to improve early recognition and treatment to optimize outcomes.
Ready to Claim Your Credits?
You have attempts to pass this post-test. Take your time and review carefully before submitting.
Good luck!
Recommended
- Imaging & Testing
Practical MRI in Neurology: Use Cases, Technologies, and Opportunities for Outpatient Clinics
Joseph Fritz, PhD; Edmond A. Knopp, MD, DABR, FASFNRJoseph Fritz, PhD; Edmond A. Knopp, MD, DABR, FASFNR - Alzheimer Disease & Dementias
Special Report: 2025 Neurology FDA Drug & Device Approvals & Clearances
- Neuromuscular
The Consequences of Delays in the Diagnosis of Generalized Myasthenia Gravis
John A. Morren, MD, FAAN, FAANEMJohn A. Morren, MD, FAAN, FAANEM






