MS Minute: Myelin Oligodendrocyte Glycoprotein Antibody–Associated Disease
MOGAD, an inflammatory demyelinating disease of the central nervous system, has some overlapping clinical features with NMOSD and MS but is a distinct entity with unique pathologic, clinical, and imaging features.
Myelin oligodendrocyte glycoprotein (MOG) antibody–associated disease (MOGAD) is an inflammatory demyelinating disease of the central nervous system (CNS) associated with MOG immunoglobulin G (MOG-IgG). Although it has some overlapping clinical features with anti-aquaporin-4 antibody positive (AQP4+) neuromyelitis optica spectrum disorder (NMOSD) and multiple sclerosis (MS), MOGAD is a distinct entity with unique pathologic, clinical, and imaging features.
Neuropathology
The MOG protein is located on the surface of myelin sheaths and mature oligodendrocyte membranes in the CNS. MOGAD pathology is characterized by perivenous and confluent white matter demyelination similar to what has been described previously in some individuals with acute disseminated encephalomyelitis (ADEM). Slowly expanding demyelinated plaques (chronic active lesions) characteristic of progressive MS are not present in MOGAD. Cortical demyelination is observed in MOGAD, including subpial demyelination. Although cortical demyelination also occurs in MS, with MOGAD, lesions are more frequently intracortical than leukocortical. Inflammatory infiltrates in MOGAD are mainly composed of CD4 T cells; in MS, CD8 T cells predominate. Granulocytic inflammatory infiltrates are also observed. There is complement deposition within active white matter lesions. Selective loss of MOG protein in the lesions does not occur. Preserved AQP4 expression and absence of astrocytopathy also differentiate MOGAD from AQP4+ NMOSD.1
The underlying pathophysiology of MOGAD is not fully understood. MOG-IgG alone is not pathogenic but may have a role through complement activation, opsonizing MOG, and antibody-dependent cellular cytotoxicity. T-cell activation and blood–brain barrier dysfunction are also involved in MOGAD pathogenesis.2
Epidemiology
MOGAD can present at any age, but the median age at onset is ~20 to 30 years.3-5 It affects men and women with similar frequency.3,5 There is no clear racial or ethnic predominance.3,6 Although the exact incidence is unknown, the prevalence of MOGAD is estimated at between 1.6 and 3.4 per million people per year, with a higher rate in children.6
Core Clinical Phenotypes and Characteristic MRI Findings
Optic Neuritis
Optic neuritis is the most common clinical manifestation of MOGAD in adults and in some pediatric series.5 Typically, eye pain precedes vision loss, which is severe at nadir and can be bilateral in 50% of cases. Funduscopic examination reveals disc edema in most affected eyes; severe cases are associated with peripapillary hemorrhages.7
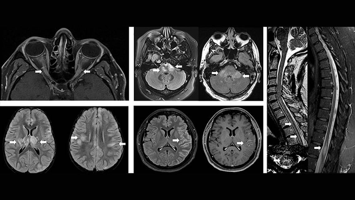
MRI of the orbits during acute optic neuritis typically shows a longitudinally extensive optic nerve T2 hyperintensity and enhancement (involving >50% of the optic nerve length) (Figure), sometimes with perineural optic nerve enhancement, a finding particularly suggestive of MOGAD. The anterior segment of the optic nerve is typically affected, and involvement of the optic chiasm is rare. Most individuals have good recovery of vision despite severe impairment at presentation.7

Acute Disseminated Encephalomyelitis
In children, ADEM (or ADEM-like) is the most common or second most common (depending on series) clinical manifestation of MOGAD. MOG-IgG is found in almost half of the children presenting with ADEM.8 ADEM can also occur in adults, although it is rare.3,5 Brain MRI typically reveals poorly demarcated T2-hyperintense lesions involving the white matter and deep gray matter3,5,8 (Figure).
A leukodystrophy-like pattern has been rarely reported in children and is associated with poor outcomes.8
Myelitis
Myelitis is the second most common manifestation of MOGAD in adults.5 Individuals may present with motor, sensory, and sphincter dysfunction, and up to one-third of individuals will be wheelchair-dependent at nadir.9
Spinal cord MRI often shows longitudinally extensive transverse myelitis (T2 lesion extending contiguously over at least 3 vertebral segments), although it can also be short segment. Axial T2 sequences can show an “H sign” with hyperintensity of the gray matter (Figure). Gadolinium enhancement is present in half of the cases, and it is typically faint and patchy. There is predilection for conus medullaris involvement, and sometimes enhancement can extend to the cauda equina roots.9
Despite severe deficits at nadir, most individuals have good recovery, although sphincter dysfunction may persist in the long term.3,9
Brainstem or Cerebellar Syndromes
Brainstem or cerebellar syndromes may also occur in about one-third of individuals with MOGAD, typically in combination with involvement of other regions. Brain MRI usually shows poorly demarcated and large lesions, often with lesions in the pons and involving the middle cerebellar peduncles10 (Figure).
Cerebral Cortical Encephalitis
Cerebral cortical encephalitis is a recently described MOGAD phenotype that seems to be more frequent in children. People present with seizures, headache, encephalopathy, fever, and cortical deficits. Brain MRI shows characteristic cortical T2 fluid-attenuated inversion recovery hyperintensity, usually unilateral although sometimes bilateral, often accompanied by leptomeningeal enhancement.11 This clinicoradiographic syndrome has also been termed FLAMES (fluid-attenuated inversion recovery–hyperintense lesions in anti-MOG encephalitis with seizures).12
The core clinical phenotypes of MOGAD may occur in isolation or as part of a multifocal presentation (eg, simultaneous optic neuritis and myelitis).3, 5
MRI lesions during acute MOGAD attacks are dynamic. Initial brain or spine MRI findings at symptom onset can be normal in up to 10% of individuals, and therefore repeat imaging should be considered. Repeat brain MRI during a single acute attack may show new brain lesions (radiologic lag) and occasionally resolved lesions.13
A summary of the main clinical and radiologic differences among MOGAD, AQP4+ NMOSD, and MS is presented in the Table.

Cerebrospinal Fluid Analysis
Cerebrospinal fluid (CSF) may show lymphocytic pleocytosis, particularly during attacks. Pleocytosis can be >50 cells/µL in 20% of individuals. CSF-unique oligoclonal bands are rare (<20%). The frequency of CSF abnormalities also depends on the clinical phenotype. People with myelitis more frequently have pleocytosis than do people with optic neuritis. Pleocytosis is also more common and is associated with higher lymphocyte cell counts during acute attacks than during remission.14
Diagnostic Criteria
International consensus diagnostic criteria for MOGAD were recently proposed based on clinical presentation with typical MOGAD phenotype and positive serum MOG-IgG. In people with low or unknown MOG IgG titers, additional supportive clinical or MRI features are required.15 According to the criteria, to make a diagnosis of MOGAD, all 3 of the following criteria must be met15:
1. Core clinical event
- Optic neuritis
- Myelitis
- ADEM
- Cerebral monofocal or polyfocal deficits
- Brainstem or cerebellar deficits
- Cerebral cortical encephalitis
2. MOG-IgG tested with cell-based assay
- If clear positive MOG-IgG titer in serum (according to the individual assay cutoffs), no additional features are required.
- If low positive MOG-IgG titer in serum (according to the individual assay cutoffs) or MOG-IgG positive in serum with no reported titer or only positive MOG-IgG in CSF (negative MOG-IgG in serum), at least 1 supportive clinical or MRI feature is required as well as negative aquaporin-4 IgG test results.
- Supportive clinical or MRI features include the following:
- Optic neuritis: bilateral optic nerve involvement, involvement of >50% length of the optic nerve, perineural enhancement, optic disc edema
- Myelitis: longitudinally extensive myelitis, central cord lesion or H sign, conus lesion
- Brain, brainstem, or cerebral syndrome: multiple ill-defined T2-hyperintense lesions in supratentorial and infratentorial white matter, deep gray matter lesions, ill-defined T2-hyperintense lesions involving pons, middle cerebellar peduncle, or medulla, cortical lesion with or without lesional and corresponding meningeal enhancement
3. Exclusion of better diagnosis
Testing for MOG-IgG
Serum is the best sample to test for MOG-IgG. Live cell-based assays with full-length human MOG have the highest sensitivity and specificity and are the preferred testing method for MOG-IgG.16
The positive predictive value of MOG-IgG depends on the titer. Low titers (1:20 to 1:40) have a positive predictive value of ~50%, whereas high titers (≥1:100) have a predictive value >80%. To avoid false-positive results, testing for MOG-IgG in low probability clinical situations is not recommended (such as in people with clinical and radiologic features typical for MS).17
Timing of testing for MOG-IgG is important, as MOG-IgG levels can decline after an acute attack, and particularly after immunotherapy.18
In people with high clinical suspicion for MOGAD and negative serum MOG-IgG, CSF testing can be of value, as MOG-IgG may be positive in CSF in some individuals.19
NMDA receptor IgG testing should also be considered in individuals, particularly children, presenting with encephalopathy and inflammatory demyelinating syndromes, given that it can coexist with MOG-IgG.20
Disease Course and Outcomes
Regardless of the severity of acute symptoms, most individuals experience good recovery of neurologic deficits. However, a small percentage of individuals can have poor long-term outcomes, with residual vision loss, sphincter dysfunction, or cognitive dysfunction. As opposed to MS, there is no progression between the attacks.3,5 Also in contrast to MS, MRI lesions in MOGAD resolve over time, and development of asymptomatic new lesions between attacks is rare.13,21
Approximately 50% of people with MOGAD will have a relapsing course, and in the other 50%, the disorder will remain monophasic.3,5 Optic neuritis is the most common phenotype in relapses.3 Adults have a higher risk of relapses and disability than children.5 The clinical and laboratory predictors of relapsing course are debated, and whether the risk for relapses is lifelong (as it appears to be in AQP4+ NMOSD) is unknown.
Early relapses in the first year after onset have been associated with further relapses in the long term, although in children, very early relapses within the first 90 days did not predict chronic relapsing disease.22
Persistently positive MOG-IgG titers have been associated with a higher risk of relapses, but relapses also may occur in individuals who become seronegative, and some cases remain monophasic despite positive MOG-IgG.5,18 Thus, the value of following MOG-IgG titers to predict risk for relapses is unclear.
Treatment
The first line treatment for acute MOGAD attacks is high-dose intravenous methylprednisolone. In severe attacks, or in those refractory to intravenous steroids, plasma exchange or intravenous immunoglobulin (IVIg) can be used. Oral prednisone taper after acute treatment of the attack is typically recommended, although the optimal duration is unclear. Relapses can occur during steroid taper or shortly after discontinuation.3,4 A recent study showed reduced risk for relapse in people treated with at least 12.5 mg of prednisone for at least 3 months.23
Given that MOGAD can have a monophasic course, maintenance long-term immunosuppression to prevent new attacks is typically reserved for people with relapsing MOGAD. No data from randomized clinical trials are available; treatment has been based on retrospective studies and experience with other autoimmune disorders. Several immunosuppressive agents have been tried, such as azathioprine, mycophenolate mofetil, rituximab, and IVIg. Maintenance IVIg seems to have the lowest relapse rate when compared with rituximab, mycophenolate, and azathioprine.24 Although rituximab may be efficacious, some individuals with MOGAD experience relapse despite B-cell depletion.25 Interleukin-6 is elevated in CSF in individuals with MOGAD, and tocilizumab is increasingly used as it seems to be effective in reducing relapses even in refractory cases.26
Randomized placebo-controlled clinical trials are underway with rozanolixizumab, an anti-neonatal Fc receptor (A Study to Evaluate the Efficacy and Safety of Rozanolixizumab in Adult Participants With Myelin Oligodendrocyte Glycoprotein Antibody-Associated Disease, NCT05063162) and satralizumab, an anti–interleukin-6 receptor (A Study to Evaluate the Efficacy, Safety, Pharmacokinetics, and Pharmacodynamics of Satralizumab in Patients With Myelin Oligodendrocyte Glycoprotein Antibody-Associated Disease, NCT05271409).
Symptomatic management of residual deficits such as sphincter dysfunction, neuropathic pain, and spasticity is essential.
Conclusion
MOGAD is an inflammatory demyelinating CNS disorder with distinct clinical and radiologic features. Recently published international expert consensus diagnostic criteria can assist with diagnosis of MOGAD. Clinical trials to determine effectiveness of different immunosuppressive therapies, and long-term studies to better identify predictors of relapses, are needed.
Ready to Claim Your Credits?
You have attempts to pass this post-test. Take your time and review carefully before submitting.
Good luck!
Recommended
- Imaging & Testing
Practical MRI in Neurology: Use Cases, Technologies, and Opportunities for Outpatient Clinics
Joseph Fritz, PhD; Edmond A. Knopp, MD, DABR, FASFNRJoseph Fritz, PhD; Edmond A. Knopp, MD, DABR, FASFNR - MS & Immune Disorders
Updates to the McDonald Diagnostic Criteria for Multiple Sclerosis
Kelsey Stefan, MD; Leena Wahajat, BSKelsey Stefan, MD; Leena Wahajat, BS - MS & Immune Disorders
Radiologic Differential Diagnosis of Multiple Sclerosis
Jared V. Goodman, MD, PhD; Apisit Kaewsanit, MDJared V. Goodman, MD, PhD; Apisit Kaewsanit, MD






