Arteriovenous Malformations & Trigeminal Neuralgia
Case Presentation
Mr. F, age 43, presented to the emergency department (ED) for increasingly severe jaw and tooth pain with emesis. He had seen an oral surgeon 2 years earlier with a complaint of chronic right lower jaw pain after a tooth extraction. At the time, considering suspicion for trigeminal neuralgia, Mr. F was treated with oxcarbazepine and pregabalin with no reduction in pain. He continued on medical therapy for 2 years without improvement. Symptoms progressed from right lower jaw pain to additional right upper tooth pain.
Upon arrival in the ED, Mr. F reported the pain had worsened over several days, to the point of causing emesis. He was alert and oriented with intact function of cranial nerves II to XII and no motor or sensory deficits noted. The only abnormality on examination was tenderness to percussion of tooth number 4. Considering the medically refractory and progressive nature of trigeminal neuralgia symptoms, further neurologic workup was pursued.
Diagnostic Studies and Diagnosis
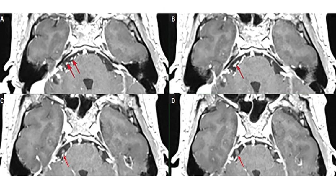
Mr. F had a brain MRI that showed a posterior fossa arteriovenous malformation (AVM). He was subsequently referred to neurosurgery. CT angiography showed a loop of anterior inferior cerebellar artery (AICA) likely to be compressing the trigeminal nerve (Figure 1). Diagnostic cerebral angiography was performed for characterization of the AVM demonstrated on MRI and CT angiography.

Diagnostic cerebral angiography confirmed the presence of a Spetzler-Martin grade II 2-cm AVM1 supplied by branches of the AICA and posterior inferior cerebellar artery (PICA) with both superficial and deep venous drainage (Figure 2).The trigeminal neuralgia symptoms were therefore thought to be associated with compression of the trigeminal nerve by an ectatic loop of AICA.
Treatment and Follow-up
Mr. F elected treatment with endovascular embolization of the arterial feeding vessels. Embolization of a distal branch of right AICA and PICA with ethylene-vinyl alcohol copolymer was performed and showed resolution of the opacification of the ectatic loop of the AICA (Figure 2). Immediate relief of facial pain occurred immediately after the procedure and Mr. F remained symptom free without medication. Although symptoms did not recur, Mr. F chose to undergo definitive management via a second embolization procedure followed by surgical resection 4 months later owing to the rupture risk inherent to AVMs.1 His trigeminal neuralgia symptoms have not recurred, and over approximately 2 years of follow-up care, there has been no need for pharmacologic management.

Discussion
In approximately 50% of cases, trigeminal neuralgia is attributed to compression of the trigeminal nerve root by the superior cerebellar artery (SCA), with AICA rarely involved.2-4 Direct contact with the nerve root, however, does not always result in symptoms of trigeminal neuralgia, and cases in which no etiology was identified have been reported.2-4 The presented case is unique in that trigeminal nerve compression was the result of a distal branch of AICA, allowing for a single endovascular embolization that led to an immediate, complete, and durable relief of symptoms.
Diagnosis
Trigeminal neuralgia is a clinical diagnosis and when suspected, MRI is recommended to rule out a potential secondary cause of symptoms, including a cerebellopontine angle tumor, multiple sclerosis, or rarely, as in the presented case, an AVM of the posterior fossa.5 Intracranial imaging may identify an abnormality in an estimated 15% of cases.5 Mr. F was treated medically without receiving intracranial imaging for 2 years before having an MRI brain and neurosurgery consult.

Treatment
There have been 6 prior reports of trigeminal neuralgia secondary to a posterior fossa AVM managed with endovascular embolization (Table).4,6-11 In these cases, AVMs originated from posterior intracranial circulation or external carotid artery (ECA) branches. The outcomes of endovascular treatment were poor in previous cases, in which additional vessels originating outside posterior intracranial circulation supplied the AVM.6,7 Outcomes of cases in which the SCA was the sole supplying artery were successfully treated with embolization.8-10 Only 1 other case, similar to the case described here, reported an AVM supplied by AICA, which was successfully embolized with permanent symptom relief.11


The described AVM in Mr. F was isolated by its blood supply to the posterior fossa. This anatomy made it amenable to endovascular embolization. Immediately after embolization, Mr. F had a sustained and complete relief of trigeminal neuralgia–associated symptoms that did not require medical management before resection of the AVM approximately 4 months later. Although some cases have described only temporary symptom relief after embolization, the blood supply of those AVMs was supplied by arteries outside the posterior circulation, whereas in the 4 cases describing permanent relief, the AVM originated from the posterior circulation alone.8-11

Because of the rarity of this condition, a consensus on effective management has not been established. Although medical management is considered first-line treatment, secondary trigeminal neuralgia tends to be medically refractory.4,6,7 Modalities directly targeting the lesion are more likely to relieve secondary trigeminal neuralgia symptoms. Embolization provides a minimally invasive surgical option, although it has not been justified as the sole treatment in the obliteration of AVMs.12 Radiotherapy provides another minimally invasive modality for AVMs, although the response to treatment is delayed and may not immediately alleviate symptoms.13 Craniotomy for AVM resection with or without microvascular decompression (MVD) may definitively treat the underlying cause of secondary trigeminal neuralgia, but the risk of morbidity and mortality is higher than with embolization.12 In primary trigeminal neuralgia, MVD by craniotomy is considered the definitive surgical management owing to relief of vascular contact with the trigeminal nerve root.2,3 Treatment modality, however, should be determined on an individual basis, considering AVM characteristics, patient risk factors, and goals of care.

Summary
Mr. F provides a rare example of trigeminal neuralgia secondary to a Spetzler-Martin grade II,1 posterior fossa AVM supplied by AICA, in which immediate and durable symptom resolution at 4-month follow-up was achieved following a single endovascular embolization procedure, without continued pharmacotherapy. Endovascular embolization of an AVM with similar anatomy offers a lower risk management strategy in comparison to craniotomy with MVD for potential immediate relief of trigeminal neuralgia symptoms. The decision to perform embolization should be made on an individual basis, as certain patient and AVM characteristics may advocate for alternative approaches. Additionally, trigeminal neuralgia symptoms that recur after initial embolization may be amenable to reembolization, surgical resection, or microvascular decompression.
Ready to Claim Your Credits?
You have attempts to pass this post-test. Take your time and review carefully before submitting.
Good luck!
Recommended
- Epilepsy & Seizures
Functional Neurologic Symptom Disorder Resolving After Endoscopic Encephalocele Repair
Charles F. Palmer, MD; Rodney J. Schlosser, MDCharles F. Palmer, MD; Rodney J. Schlosser, MD - Imaging & Testing
MRI Clues to Intracranial Infection: Differentiating Bacterial, Viral, Fungal, and Parasitic CNS Disease
Márk Kozák, MD; Máté Sik, MDMárk Kozák, MD; Máté Sik, MD - Alzheimer Disease & Dementias
Special Report: 2025 Neurology FDA Drug & Device Approvals & Clearances






