Challenge Case Report: New-Onset Seizures and Brain Lesions in First Trimester
Case Presentation
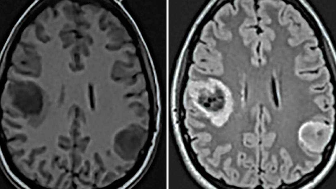
LB, a right-handed woman age 29 and 10 weeks pregnant, presented to a local hospital with a new-onset focal-to-bilateral tonic-clonic seizure described as clonic movements of her left face and arm that secondarily progressed to a convulsion. LB had never had symptoms before this presentation, and her neurologic examination at admission had no focal findings. Out of concerns for potential fetal harm from gadolinium-based contrast, a brain MRI without contrast was performed and showed 2 lesions (Figure). The larger lesion was a right posterior frontal mass measuring 3.3x3.0x2.7 cm, and the second lesion was in the left inferior parietal lobe and measured 2.2x3.0x2.4 cm. LB was treated with lamotrigine 25 mg; however, she experienced several focal seizures over the following week.

Challenge Questions
1. Which of the following tumor characteristics is associated with an increased likelihood of brain tumor-related epilepsy (BTRE)?
a. High-grade glioma
b. Isocitrate dehydrogenase (IDH)-mutant status
c. Tumor location within the temporal lobe
d. IDH-mutant status and temporal lobe location
Click here for the answer
Question 1: D, The tumor characteristics associated with an increased likelihood of brain tumor-related epilepsy are both isocitrate dehydrogenase (IDH)-mutant status and location of tumor within the temporal lobe, the most epileptogenic region of the brain. High-grade gliomas are not typically associated with brain tumor-related epilepsy.
2. Seizures are most common in which of the following tumor types?
a. Oligodendroglioma
b. Glioblastoma
c. Ganglioglioma
d. Anaplastic astrocytoma
Click here for the answer
Question 2: C, Seizures are most commonly associated with glioneuronal tumors (ie, gangliogliomas or dysembryoplastic neuroepithelial tumors). These WHO grade I tumors often have seizures as the initial presenting symptom. Surgical resection is curative and is associated with improved seizure control.
3. Which of the following is an optimal maintenance therapy for a pregnant patient presenting with BTRE?
a. Lamotrigine
b. Levetiracetam
c. Phenobarbital
d. Valproic acid
Click here for the answer
Question 3: B, Levetiracetam is the best maintenance therapy for a pregnant person with brain tumor-related epilepsy (BTRE). Lamotrigine requires a long titration period that is not ideal during pregnancy, and valproic acid is associated with the development of spinal cord defects. Phenobarbital is not appropriate as maintenance therapy. Phenobarbital and valproic acid are both cytochrome P450 (CYP) enzyme inducers with potential drug-drug interactions (including other antiseizure medications (ASMs) that would affect a pregnant person being treated for BTRE. Although lamotrigine is not a CYP inducer or inhibitor, it is associated with a risk of severe dermatologic toxicity, specifically Stevens-Johnson syndrome. This risk is increased with rapid titration of lamotrigine and with polypharmacy. Although early studies had hypothesized that valproic acid, which has histone deacetylase (HDAC) inhibiting properties, would have direct effects on gliomas, subsequent analyses did not demonstrate any improvement in survival of people with glioblastoma who were treated with valproic acid.1 Levetiracetam is the best option for an ASM for BTRE during pregnancy given the need to achieve a therapeutic dose quickly, the low teratogenic risk, low likelihood of myelosuppression or hepatotoxicity, low likelihood of hyponatremia, and lack of drug-drug interactions. Side effects that should be considered with levetiracetam include the potential for dose-limiting irritability and cognitive side effects. Other ASMs that maintain some of the same favorable characteristics include lacosamide and brivaracetam
Ready to Claim Your Credits?
You have attempts to pass this post-test. Take your time and review carefully before submitting.
Good luck!
Recommended
- Epilepsy & Seizures
Epilepsy Essentials: Practical Uses of EEG in the Operating Room
Brin E. Freund, MD; William O. Tatum, DOBrin E. Freund, MD; William O. Tatum, DO - Epilepsy & Seizures
An Unusual Case of Adult-Onset Rapidly Progressive Leukoencephalopathy Associated With POLR3B-Related Sequence Variation
Adriana Grau Chaves, MD; Buse Sengul, MDAdriana Grau Chaves, MD; Buse Sengul, MD - Epilepsy & Seizures
Empowering Epilepsy Care: Opportunities for Neurologists and Pediatricians in Managing Rare Epilepsy Syndromes
Joyce H. Matsumoto, MD; Elaine C. Wirrell, MDJoyce H. Matsumoto, MD; Elaine C. Wirrell, MD






