Headaches Not to Miss Regardless of the Patient Population: Thunderclap Headache in the Emergency Department
Most people presenting to the emergency department (ED) with headache are imaged with a noncontrast CT (NCCT) scan of the head. Assuming that the NCCT is “unremarkable,” what factors distinguish a life-threatening secondary headache from a primary headache disorder, such as migraine? Providers typically are aware that thunderclap headache is a not-to-miss diagnosis and that thunderclap headache reaches severe intensity within 1 minute of onset.1 Despite familiarity with mnemonics like SNOOP (systemic symptoms and signs; neurologic symptoms and signs; onset sudden; onset at age >50; papilledema, pulsatile tinnitus, positional provocation, or precipitated by exercise),2 people presenting to the ED with headache do not always use such language as “severe,” “sudden onset,” or “worst headache of my life” when describing their experience. The following cases illustrate various clinical presentations of thunderclap headache and highlight associated signs and symptoms that should prompt further investigation beyond NCCT scans.
Headache Attributed to Cerebral Venous Sinus Thrombosis
A 38-year-old woman with a history of migraine without aura presents to the ED. She states she was talking to her spouse when she felt a crushing pressure “like my head was in a vice grip.” “It started out of nowhere! One minute I felt fine, and the next I’m on my knees gagging in pain.” Her husband at bedside corroborates that she was on the floor holding her head for several minutes before he could get her to explain what was wrong. Patient is 6 weeks postpartum and states that her migraine attacks had improved during pregnancy. However, she states that her current head pain is “nothing like my migraine.” Her neurologic examination is unremarkable, and the NCCT head scan is read as normal. Given the abrupt onset, severity of pain, distinct features from migraine, and postpartum state, further imaging with MRI of the brain with and without contrast is obtained. Postcontrast images show an elongated filling defect associated with expansion of the superior sagittal sinus. CT venogram later that evening confirms the filling defect in the superior sagittal sinus, which is consistent with cerebral venous sinus thrombosis (CVST).
Discussion
CVST is an uncommon type of stroke that has a wide range of risk factors. The clinical presentation for people with CVST is related to increased intracranial pressure caused by obstruction of venous output or localized brain injury from venous ischemia or hemorrhage.3 The ISCVT (International Study on Cerebral Venous and Dural Sinuses Thrombosis) found that approximately 78% of cases occurred in people younger than 50. The most common symptom was headache, reported by 90%, with the majority of people reporting gradually worsening holocephalic headache over days to weeks. Other symptoms may include papilledema, paresis, and seizure, the last of which is a presenting symptom in 39% of individuals.4 Hemianopia and aphasia also can be seen with CVST of the superior sagittal sinus.3
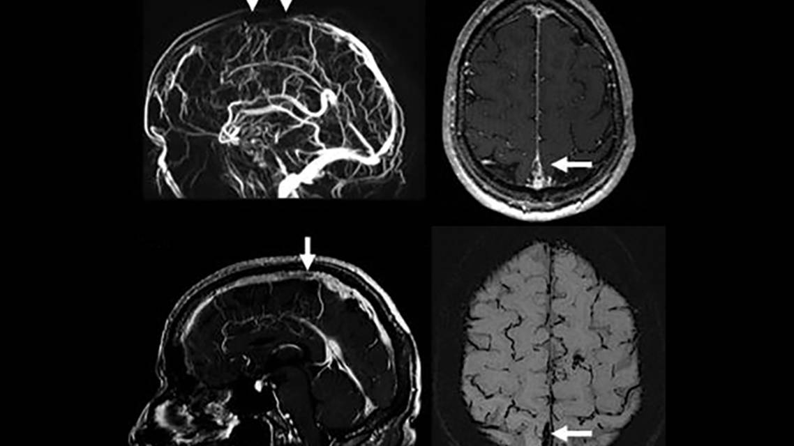
Risk factors for CVST include pregnancy/puerperium, use of estrogen-containing contraceptives, antiphospholipid syndrome, other inherited hypercoagulable conditions, hyperhomocysteinemia, infection, and malignancy.3 Direct signs of CVST are only evident on NCCT scans in one-third of cases; therefore, clinical suspicion may warrant contrasted CT venogram or MR venogram (Figure 1). Abnormalities on NCCT scans include hyperdensities in the dural sinus or linear hyperdensity caused by a thrombosed cortical vein. Evidence of venous infarction occurs in about 20% to 50% of cases, characterized by lesions that cross arterial distribution or spare the cortex.5 CVST occurs most commonly in the superior sagittal sinus, transverse sinuses, and sigmoid sinuses, with one-third of cases involving multiple sinuses.6 Brain parenchymal lesions are best evaluated with MRI. Appropriate laboratory tests should include sedimentation rate, prothrombin time, and activated partial thromboplastin time.3 Prothrombotic conditions are seen in more than one-third of individuals with CVST and necessitate testing for thrombophilia, antiphospholipid syndrome, and hyperhomocysteinemia. If serum studies are unremarkable, it may be prudent to screen for underlying malignancy. Treatment is with anticoagulation, with data showing that low-molecular-weight heparin is safer and potentially more effective than unfractionated heparin.4 If clinical deterioration continues, direct catheter chemical thrombolysis or direct mechanical thrombectomy can be performed.3
![Figure 1: Sagittal sinus thrombosis. (A) MR venogram showing absent venous flow signal in the middle third of the superior sagittal sinus (white arrows); (B) axial gadolinium-enhanced T1-weighted MR scan showing an irregular filling defect of the superior sagittal sinus (white arrow); (C) sagittal gadolinium-enhanced T1-weighted MR scan also showing a focal filling defect indicating thrombus (white arrow); (D) axial susceptibility-weighted imaging showing low signal indicating blood products (thrombus) in the superior sagittal sinus (white arrow).
(From Practical Neurology, Wlivi L, Squitieri M, Cohen H, Cowley P. Werring, D. Cerebral venous thrombosis: a practical guide. 20: 356-367. Copyright © [2020]. Reprinted with the permission of BMJ Publishing Group Ltd.)](https://cdn.practicalneurology.com/cache/de/38/de38b1caa011e47ead7554789ee38099.png)
Headache Attributed to Subarachnoid Hemorrhage
A 27-year-old man with alcohol use disorder presents after collapsing at home. His sister reports that he was in his room when she heard him scream. She found him on the floor in the fetal position whimpering and then she called 911. Upon arrival to the ED, he complains of stabbing head pain. On examination, he is somnolent but will arouse to follow simple commands and flexes at the hips with passive neck flexion. A NCCT head scan does not reveal any acute intracranial abnormalities. Lumbar puncture is notable for gross xanthochromia that persists in tube 4, with normal glucose and protein. Subsequent CT angiography of the head and neck reveals a small posterior communicating artery aneurysm with subtle extravasation into the subarachnoid space. Patient is taken emergently for a digital subtraction angiogram with intention of aneurysmal coiling.
Discussion
Headache is the presenting symptom in approximately 70% of people with subarachnoid hemorrhage (SAH) and half of these individuals describe symptoms associated with thunderclap headache. SAH accounts for 25% of individuals presenting with thunderclap headache.7 Up to half of all people presenting with SAH report antecedent sentinel headache, which can occur 2 weeks to 2 months before the SAH. Other symptoms associated with SAH can include meningeal signs (ie, nuchal rigidity, nausea, emesis, photophobia), lateralized neurologic symptoms, and depressed level of arousal.8
SAH may be complicated by vasospasm, seizures, hydrocephalus, or delayed cerebral ischemia. Within the first 36 hours of symptom onset, NCCT head scanning approaches 100% sensitivity in detecting SAH. After 5 to 7 days, the sensitivity of this test drops precipitously, to about 50%.8 CT angiogram or digital subtraction angiogram are preferred modalities to evaluate for aneurysm or vascular anomalies. Four-vessel cerebral angiogram is the most definitive diagnostic study.9 Cerebrospinal fluid (CSF) studies should include red blood cell count in the first and fourth tube of fluid, as well as evaluation for xanthochromia, which is pink, yellow, or orange discoloration indicative of red blood cell breakdown. With SAH, the red blood cell counts in tube 4 should be at least equal to or greater than the counts in tube 1, whereas in a traumatic tap, red blood cells typically are only present in tube 1.9 Discoloration of CSF caused by the degradation of hemoglobin to bilirubin typically starts within 2 hours but can take up to 12 hours to develop.10
Nontraumatic SAH commonly is attributed to intracranial aneurysmal rupture. Other potential causes include vasculitis, vascular anomalies, and infection. The risk of repeat aneurysmal rupture within the first day can range from 4% to 14%, and its occurrence is associated with greater neurologic morbidity and mortality. In the absence of intervention, the risk of repeat aneurysmal rupture remains elevated for at least a month. Elevated blood pressure can place an individual at greater risk for rupture recurrence.8 In addition to hypertension, other modifiable risk factors include smoking, heavy alcohol use, and sympathomimetic recreational drug use.11
Treatment is geared toward mitigating the risk of repeat aneurysmal rupture. This is accomplished through either endovascular procedures (eg, coiling) or through open surgical techniques (eg, clipping).8
Headache Attributed to RCVS
A 30-year-old woman with episodic migraine and depression presents to the ED appearing intoxicated and complaining of unbearable head pain. Her friend at the bedside explains that they were at a party that evening when the patient said that her head felt like it was exploding and started crying inconsolably. Outpatient records indicate she is currently taking sumatriptan and fluoxetine. On examination, the patient is dysarthric with mild left leg weakness. Blood pressure is 170/100 mm Hg. NCCT scans reveal no acute intracranial abnormalities. Per stroke protocol, subsequent CT angiography of the head and neck demonstrates subtle multifocal narrowing of the distal right middle cerebral artery and right anterior cerebral artery arteries. She is outside the window of time recommended to receive tissue plasminogen activator. Urine toxicology screen is positive for cocaine, and serum ethanol levels are significantly elevated.
Her symptoms resolve while in the ED. MRI brain scans with and without contrast performed early the next morning are normal. When seen in the neurology clinic 2 months later, her neurologic examination is normal, and an interim diagnostic cerebral angiogram demonstrates normal caliber vasculature. She is diagnosed with reversible cerebral vasoconstriction syndrome (RCVS).
Discussion
RCVS is characterized by the sequelae of acute, transient narrowing of cerebral arteries. This condition often presents with recurrent episodes of acute-onset severe headache and, depending on the severity, may result in transient neurologic deficits, cerebral infarction, or intracranial hemorrhage.12 Thunderclap headache is the sole manifestation of RCVS in 75% of cases, typically lasting 1 to 3 hours in duration.7
The diagnosis of RCVS is based on clinical manifestations (recurrent severe headaches) and radiographic findings (arterial vasospasm of 2 cerebral arteries that resolves on repeat imaging within 3 months) (Figure 2), not better explained by an alternative diagnosis, such as primary angiitis of the central nervous system or SAH.13 Other symptoms can include aphasia or hemiparesis caused by ischemia or hemorrhage of the affected vessels. Diffuse hyperreflexia is common and attributed to autonomic dysfunction and serotonergic activity.14
![Figure 2: Computed tomography angiography showing multifocal segmental stenosis (“beading”) of the bilateral middle cerebral arteries (A) and the basilar, posterior cerebral, and superior cerebellar arteries (B). These abnormalities are also present on brain magnetic resonance angiography (C). Diffusion-weighted magnetic resonance imaging (D) and apparent diffusion coefficient maps (E) showing symmetrical lesions in the bilateral occipital lobes consistent with ischemic stroke. Follow-up magnetic angiography (F) showing resolution of the cerebral arterial vasoconstriction.
(From Annals of Internal Medicine, Calabrese LH, Dodick DW, Schwedt TJ, Singhal AB. Narrative review: reversible cerebral vasoconstriction syndromes. 146., 1., 34-44. Copyright @ [2007]. American College of Physicians. All Rights Reserved. Reprinted with the permission of American College of Physicians, Inc.)](https://cdn.practicalneurology.com/cache/7c/cd/7ccdb0cdbfe2a2c5da58daddd672918a.png)
MRI scans can be normal in up to 20% of people with RCVS,15 and vessel imaging needs to be pursued. CT angiography is preferable to MR angiography because small distal arteries are affected first, followed by medium and large arteries.7 Four-vessel catheter angiogram is the ideal diagnostic test, but should be pursued with caution. In a study conducted by Ducros et al.,7
Many etiologies have been implicated in RCVS. However, the large majority of cases (up to 70%) have an attributable exposure, such as recreational drugs, medications, direct surgical or endovascular manipulation, or associated physiologic state (eg, postpartum, eclampsia, strenuous physical activity, coitus).13 In the case provided, the use of cocaine, in combination with serotonergic medications, may have contributed to the presentation of RCVS. If possible, it is prudent to avoid potentially provocative medications in the future and thus, in this case, alternative acute migraine medication should be suggested as well as counseling on the risk of further illicit drug use. Recurrent episodes of thunderclap headache following resolution of radiographic findings are not uncommon, but usually resolve in 3 weeks.7 In the authors’ experience, verapamil is helpful for persistent headache following suspected or confirmed RCVS; however, it is unknown whether persistent headache would resolve on its own over time.
Headache Attributed to Pituitary Apoplexy
A 24-year-old woman with obesity, who is 32 weeks pregnant and has gestational hypertension, presents to the ED with a chief complaint of excruciating head pain and seeing double. The patient was eating dinner when she “felt like someone struck me over the head with a baseball bat.” She states it was “instantly a 20 out of 10” pain level. She initially thought she could not see straight because of the pain, but states that although the pain has lessened somewhat she is still seeing “two of everything.” While giving the history, she keeps turning her head to the right when looking at the examiner. When questioned, she states it helps her see more clearly.
Her examination is noteworthy for esotropia of the right eye that is more pronounced with abduction, consistent with right abducens nerve palsy. The pupils are symmetric, and funduscopic examination results are normal. Her blood pressure is elevated at 155/101 mm Hg. NCCT head scans are negative for acute intracranial abnormality. The resident suspects her diagnosis is RCVS given the sudden onset of severe headache with an associated neurologic deficit. However, MRI brain scans with and without contrast show a heterogenous signal in the sella.
Discussion
Pituitary apoplexy describes a condition that results from cytotoxic injury of the pituitary gland, through infarction, hemorrhage, or a combination. This discussion will focus on acute pituitary apoplexy rather than subclinical pituitary apoplexy; although much less common, acute pituitary apoplexy has impressive, sudden symptomatology, unlike its clinically silent counterpart.16
This condition most commonly presents in the fifth or sixth decade of life and is more prevalent in men than women. Acute onset of severe headache (ie, thunderclap headache) can be associated with oculomotor abnormalities (most commonly third cranial nerve palsy) or visual impairments (ie, bitemporal hemianopsia, exceptionally rare loss of visual acuity or vision altogether). Complications seen with pituitary apoplexy include SAH, cerebral artery vasospasm, ischemic injury to the cerebrum, meningismus, fever, endocrinologic derangements (causing hypotension and hyponatremia), depressed level of arousal, and coma. Pituitary apoplexy typically occurs in the setting of an underlying pituitary adenoma, although the diagnosis only predates apoplexy in a quarter of cases. Pituitary apoplexy may eviscerate an underlying pituitary adenoma, although if this is incomplete, there is a risk for tumor recurrence. Pituitary apoplexy has been identified as a complication relating to minimally invasive to invasive procedures (ie, diagnostic cerebral angiography, coronary vessel bypass grafting, orthopedic surgeries), as a result of dynamic endocrinologic testing, and as an adverse effect of some pharmacotherapies (ie, GnRH agonists, systemic anticoagulation, dopamine agonists). With regard to surgical causes, pituitary apoplexy may occur intraoperatively or postoperatively and has been potentially attributed to dramatic blood pressure changes, administration of necessary anticoagulation, or formation of microemboli.16
NCCT scans can identify the presence of an acute hemorrhage and identify intrasellar lesion in 80% of cases. MRI is preferred as it can demonstrate acute infarction and hemorrhages, provides better spatial resolution of underlying tumors, and allows for earlier diagnoses.16
There is often a 2-pronged approach to pituitary apoplexy treatment, which includes the mainstay of immediate corticosteroid supplementation with either surgical decompression or conservative management (watchful waiting). Despite treatment, the extent of recovery from deficits (endocrine, neurologic, or ophthalmologic) relating to pituitary apoplexy is variable. Regardless of treatment approach, these individuals require routine surveillance imaging over the years to ensure there is no tumor recurrence.16
Headache Attributed to Spontaneous Intracranial Hypotension
A 37-year-old man with Ehlers-Danlos syndrome and dyslipidemia presents to the ED with an acute, severe headache and dizziness. He reports that upon sitting up after his regular morning yoga routine, he felt like a bomb went off in his head. In the ED, he complains of occipital 10/10 pain, tinnitus, light sensitivity, and neck stiffness. He provides the history lying flat on his back and refuses to sit up to complete the neurologic examination.
NCCT scans are unremarkable. Subsequent MRI brain scans with and without contrast are noteworthy for diffuse pachymeningeal enhancement and enlarged pituitary and midbrain sagging with a mamillopontine distance of 4 mm. Lumbar puncture reveals an opening pressure of 8 cm H2O, with normal cell count, glucose, and protein levels. He is referred to interventional radiology for lumbar epidural blood patch. He reports transient benefit for 3 to 4 days after the procedure, but then the orthostatic headache recurs. CT myelogram shows extravasation of contrast in the ventral thoracic spine, and the individual is treated with a targeted blood patch with fibrin glue with complete resolution of symptoms.
Discussion
Spontaneous intracranial hypotension results from decreased CSF volume from focal or multifocal dural leakages without an identifiable cause. Spontaneous leaks are influenced by an individual’s anatomy, genetic predisposition, and chronic conditions. Diseases affecting connective tissue, including Marfan and Ehlers-Danlos syndromes, can compromise dural integrity; likewise, osteophytes and degenerative osseous spinal lesions can puncture the dura. Three common sources of spontaneous leaks include 1) ventral dural tears in the spinal column, 2) meningeal diverticula (dural ectasia or Tarlov cysts, which are not technically tears, but rather ballooning of the dural sac or nerve root sheath), and 3) spinal CSF–venous fistulas.17
The hallmark of spontaneous intracranial hypotension is an orthostatic headache, typically holocephalic or suboccipital (although it can be unilateral) that worsens when upright and attenuates while lying supine. Although typically associated with abrupt onset, headache can occur hours after position change: so-called “second-half-of-the-day” headaches.17 Headache is typically worsened by Valsalva maneuver.18 Muffled hearing, tinnitus, and neck pain are common accompaniments.17,18 A myriad of other neurologic symptoms can occur localizing to regions of the brain affected by downward traction, including cranial nerve palsies hormonal abnormalities related to compression of the pituitary stalk, parkinsonism related to midbrain descent, and stupor or coma caused by compression of the pons.17,19 People may experience headache improvement in Trendelenburg position, and an in-office trial may be diagnostic when there is not an overt positional component.17
Workup typically starts with MRI brain scans with and without contrast but may progress to include MRI spine scans, lumbar puncture, and myelography. Postcontrast images show diffuse, smooth dural enhancement, occurring in approximately 80% of cases.17 Additional MRI findings reflect the volume compensation for CSF hypovolemia and can include subdural fluid collections and enlargement of venous structures and well-vascularized structures such as the pituitary gland. Sagging of the brain is measured with mamillopontine distance, which is normally ~7 mm.20 MRI of the spine or CT myelograms can identify extradural CSF and help localize the leak. Low CSF pressure—less than 6 cm H2O—is part of the ICHD-3 (International Classification of Headache Disorders, 3rd edition) criterion.1 However, in many instances, opening pressure is within a normal reference range or can be elevated.17
In our experience, conservative measures adapted from post–lumbar puncture headache, such as caffeine, hydration, abdominal binders, and bed rest, often are ineffective. Literature suggests that empiric “blind” (nontargeted) lumbar epidural blood patch is successful about one-third of the time.19 Epidural blood patch can provide instant relief, potentially from the iatrogenic epidural hematoma exerting forces increasing intracranial pressures by tamponade. Blood patches may prove effective despite poor localization of the CSF leak, although several repeat blood patches may be necessary to achieve symptom remission. If symptoms persist, further imaging may be required to identify the precise location of the leak for a more targeted blood patch or surgical repair.17
Conclusion
Headache is a common complaint in primary care settings as well as in the ED. Despite the majority of individuals having a benign etiology for their headaches, it is imperative to recognize risk factors and clinical symptoms that prompt emergent evaluation as well as the diagnostic workup that should be performed to avoid missing potential life-threatening conditions. Thunderclap headaches can occur with a variety of conditions that are associated with high debility, morbidity, and mortality. Informed triaging of these individuals helps expedite an appropriate diagnostic workup and intervention, mitigating poor outcomes.
Ready to Claim Your Credits?
You have attempts to pass this post-test. Take your time and review carefully before submitting.
Good luck!
Recommended
- Imaging & Testing
MRI Clues to Intracranial Infection: Differentiating Bacterial, Viral, Fungal, and Parasitic CNS Disease
Márk Kozák, MD; Máté Sik, MDMárk Kozák, MD; Máté Sik, MD - Imaging & Testing
Neuroimaging: Clinical Impact of Imaging Findings
Laszlo Mechtler, MD, FAAN, FEAN, FASN, FAHSLaszlo Mechtler, MD, FAAN, FEAN, FASN, FAHS - Imaging & Testing
Practical MRI in Neurology: Use Cases, Technologies, and Opportunities for Outpatient Clinics
Joseph Fritz, PhD; Edmond A. Knopp, MD, DABR, FASFNRJoseph Fritz, PhD; Edmond A. Knopp, MD, DABR, FASFNR






