Alzheimer Disease & Dementias
Articles 1-3 of 3
- Alzheimer Disease & Dementias
Symptoms of Lewy Body Dementia Induced by Herpes Zoster Encephalitis
Ryan Verity, MD; Andrew Kirk, MD, FRCPCRyan Verity, MD; Andrew Kirk, MD, FRCPC - Alzheimer Disease & Dementias
Early Clinically Unsuspected Alzheimer’s Disease
Georgette A. Khoury, MSN, APRN-BC; Ira GoodmanGeorgette A. Khoury, MSN, APRN-BC; Ira Goodman - Alzheimer Disease & Dementias
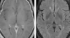
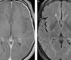
Meningeal Enhancement Seen on Workup for Memory Loss
Nima Khosravani, MS; Anamaria Shanley, MSN, ARNP-BCNima Khosravani, MS; Anamaria Shanley, MSN, ARNP-BC





