Idiopathic Intracranial Hypertension
Idiopathic intracranial hypertension (IIH), is a disorder of elevated intracranial pressure (ICP) occurring most commonly in obese women of childbearing age. Common symptoms include headache, reduced visual acuity and constriction of visual fields, pulsatile tinnitus, and a physical exam remarkable for papilledema and cranial nerve 6 palsies.1 The etiology of elevated ICP in IIH is not completely understood and a thorough evaluation is required to rule out secondary causes. Pseudotumor cerebri syndrome (PCS) is often interchanged with IIH and includes IIH as well as secondary causes of chronically elevated ICP, including but not limited to medications or metabolic disorders.1,2 In order to make the diagnosis of IIH, secondary etiologies must be ruled out and diagnostic criteria must be met (Table). Once the diagnosis is confirmed, medical and surgical treatments, as well as lifestyle changes, should be implemented in order to prevent vision loss.

Presenting Symptoms
Presenting symptoms vary but often include headache, pulsatile tinnitus, transient visual obscurations, vision loss, and diplopia. The potential for vision loss requires timely identification and treatment of IIH.3 Headache, which is present in up to 90% of individuals with IIH, is usually constant or daily and most often has a migraine phenotype.3,4 The most common visual field abnormalities identified are an enlarged blind spot and a partial arcuate defect. If left untreated, patients will continue to have constriction of visual fields and may progress to blindness due to optic disc edema and subsequent ischemia. Diplopia can occur due to a cranial nerve 6 palsy.1
Diagnosis
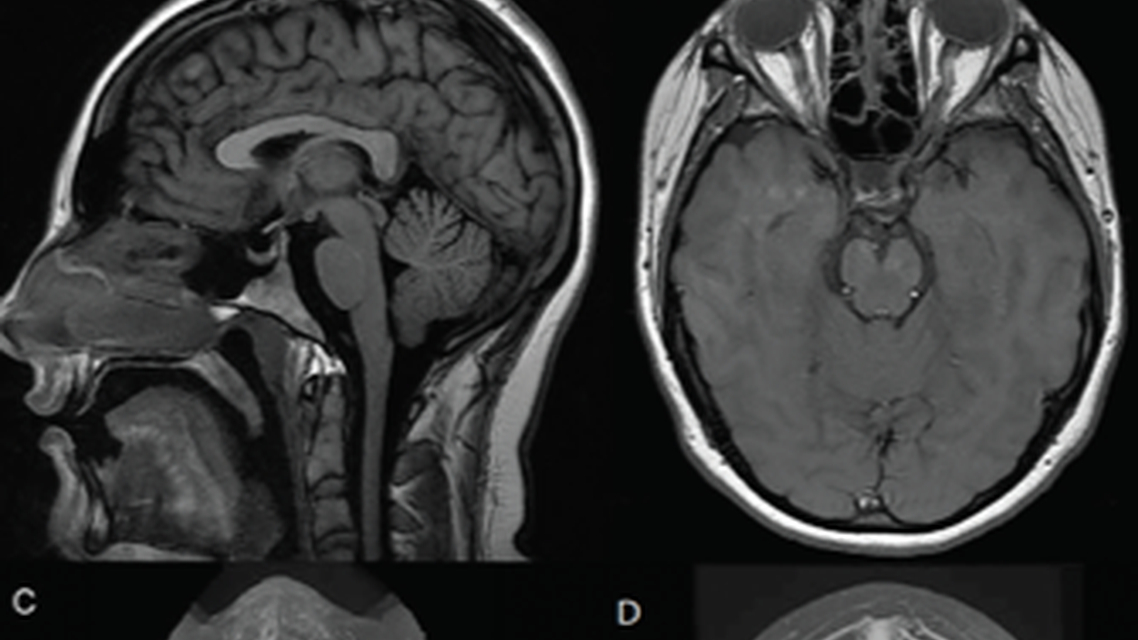
In 2018, the European Headache Federation published guidelines on the diagnosis and treatment of IIH.1 The diagnosis of IIH is made using the Friedman criteria, whereas the International Classification of Headache Disorders (ICHD-3) outlines the diagnostic criteria of the associated headache (Table). There are diagnostic criteria for IIH and IIH without papilledema (IIHWOP). Individuals with IIH often present for the evaluation of headache but may also present because of vision complaints. Evaluation should follow a structured approach (Figure 1). If papilledema is present, the next diagnostic step is to obtain an MRI with and without contrast and venography to exclude the presence of a structural abnormality or cerebral venous sinus thrombosis (CVST). There may be neuroimaging signs suggestive of increased ICP (Figure 2). If a secondary cause of papilledema is not identified, a lumbar puncture must be performed. Opening pressure of 25 cm or more cerebrospinal fluid (CSF) and otherwise normal CSF confirms the diagnosis of IIH. There is a “gray zone” from 25 to 30 cm CSF that may be a normal opening pressure for some but pathologic for others, making the clinical history and other diagnostic criteria exceedingly important.2 Individuals with IIH should have normal neurologic exams with the exception of 2 common cranial nerve abnormalities (cranial nerve 6 palsy and dysfunction of cranial nerve 2—papilledema and visual field defects).1,3 Ocular coherence tomography (OCT) is an objective way to quantify papilledema based on retinal nerve fiber layer thickness. Similar to the funduscopic exam, this can be monitored serially.2 In IIHWOP, the diagnosis can be made if all the above criteria are met except papilledema and cranial nerve 6 palsy is present. If cranial nerve 6 palsy is not present, there should be at least 3 features on neuroimaging consistent with elevated ICP to make a diagnosis of probable IIHWOP.1


The ICHD-3 criteria for IIH-related headache (Table) also require elevation in CSF pressure. The individual’s headache must either be new or have worsened and led to the subsequent discovery of IIH. The headache can be accompanied by pulsatile tinnitus and papilledema but these are not required for the diagnosis, nor is a response to lumbar puncture.5
Pathophysiology
Multiple mechanisms have been postulated for IIH; however, the exact pathophysiology is unknown. Hypersecretion of CSF, outflow obstruction, and increased venous sinus pressures are 3 main mechanisms speculated to contribute to IIH.
Hypersecretion of CSF in IIH may be linked to variations in aquaporin-1, which facilitates CSF secretion from the choroid plexus. Other studies have identified a breakdown of the blood-brain–barrier in people with IIH and suggest a role for aquaporin-4.6.7 Despite limited evidence, the main medical therapies are directed at reducing CSF secretion.
As etiologies of increased ICP, CSF outflow obstruction and venous sinus pressure may actually be one and the same. Smooth bilateral venous sinus stenosis is commonly observed in IIH. Disruption in the venous-CSF gradient caused by increased venous sinus pressure may reduce CSF outflow. Venous sinus stenosis can improve or resolve after reduction of ICP via large-volume lumboperitoneal (LP) or other CSF flow diversion, pointing to elevated ICP as the etiology of the transverse sinus narrowing rather than the narrowing causing elevated venous pressure and CSF outflow obstruction.8
Typically, IIH affects obese women of reproductive age. The relationship between obesity and elevated ICP may relate to increased intrathoracic pressure as a consequence of increased abdominal mass. Although a mainstay of IIH treatment is weight loss, abdominal mass effect alone is not the only mechanism of IIH, otherwise, there should not be a gender bias towards women. Obesity is an inflammatory condition and may affect the amount of fluid in the perivascular system, thereby affecting the glymphatic regulation of CSF and secondarily intracranial pressure.9 Adipose tissue also regulates vitamin A metabolism, which may also play a role. To date, there are no clear hormonal associations that would make women more likely to develop IIH.10
Etiology of headache in IIH is likely multifactorial. The pressure exerted on meninges likely activates the trigeminovascular system, leading to migraine-like symptoms. Some individuals with IIH and headache have pain more focused in the frontal and periorbital area that may be attributable to distention of the optic nerve sheath. Because of the chronic nature of IIH, it is speculated that ongoing elevated CSF pressure leads to both central and peripheral sensitization. Thus, even when CSF pressure is lowered, the body’s threshold for pain is reduced such that lower CSF pressures still exert a pain response.
Secondary Causes and Associated Conditions
Medications have been implicated in the development of PCS. Retinoic acid is among the most recognized.11 Retinol is converted to all-trans-retinoic acid (ATRA) in the meninges and choroid plexus and overexpression increases expression of aquaporin-1 which, in turn, increases CSF secretion.12 Other commonly associated medications include tetracycline and fluoroquinolone antibiotics, corticosteroids (withdrawal rather than initiation usually), lithium, and exogenous hormones.8,11
A possible association between PCS and hormonal contraception has long been debated. A recent retrospective population-based case-control study found no association between hormonal contraception use and the development of PCS. Although this study was limited by its size and retrospective design, it does highlight misperceptions that may have led to the perceived association between hormonal contraception and PCS. These include the population age and gender affected by IIH/PCS—a group that most commonly uses hormonal contraception.11,13 Therefore, hormonal contraception is likely a viable option for preventing pregnancy in women with IIH.
Treatment
Treatment of secondary PCS should start with removing any precipitating medication or treating primary medical comorbidities causing ICP. Treatment of IIH is directed at lowering ICP in order to improve vision and headache.2 The management of IIH is multimodal and includes lifestyle measures (ie, diet and weight loss), medical therapy, and surgical procedures if medical treatment does not improve IIH.
Medical Management
Medical management of IIH primarily utilizes carbonic anhydrase inhibitors including diuretics and antiseizure medication.
Acetazolamide. Acetazolamide, a carbonic anhydrase inhibitor, has been used for the treatment of IIH for years based on studies that demonstrated efficacy for improving papilledema and vision, making acetazolamide an evidence-based first-line therapy.1,14 Acetazolamide can be started at 500 mg twice a day and increased by 250 mg weekly to a maximum dose of 4 g daily. If papilledema resolves, use a maintenance dose lower than 4 g daily. Because acetazolamide acts both at the choroid plexus and systemically, it is commonly associated with side effects. In the clinical trial for acetazolamide, paresthesias occurred in 47.7% of participants, 30.2% had nausea, and kidney stones occurred.14 Metabolic acidosis was apparent in laboratory studies for 10.5%, but this is usually well tolerated and does not require monitoring. Although acetazolamide provided statistically significant improvements in perimetry, papilledema grade, and quality-of-life scores, there was no significant difference in headache disability or visual acuity scores vs placebo. Overall, acetazolamide was well tolerated with less than 10% of participants discontinuing the study due to adverse effects.14 Acetazolamide has also been found to reduce the expression of aquaporin-1.12
Topiramate. Topiramate is an evidence-based medication for the preventive treatment of migraine that is a weak inhibitor of carbonic anhydrase and often used in the treatment of IIH. A small, randomized clinical trial showed that topiramate doses of up to 150 mg daily were comparable to acetazolamide doses up to 1500 mg daily for improvement in visual field loss. Papilledema grades, as well as headache severity, also improved over time with topiramate or acetazolamide and weight loss was comparable with either treatment.15 In the clinical trial of acetazolamide, 50% of participants had a history of migraine and 68% had headache that met criteria for definite or probable migraine during the trial.16 This suggests topiramate can be effective at reducing ICP and at treating comorbid migraine. Although weight loss associated with topiramate and its correlation with the symptoms of IIH has not been studied, it can be speculated that this may be another mechanism for lowering ICP and reducing headache. There is no evidence-based treatment regimen using topiramate; in our practice, starting at 25 mg once daily and titrating up to 100 mg twice daily is typically well tolerated and effective.
Furosemide. Furosemide, a loop diuretic, also inhibits carbonic anhydrase. Data is limited on furosemide,which has primarily been studied in conjunction with acetazolamide. In a small pediatric case series, there was rapid improvement in ICP when individuals with IIH were treated with acetazolamide and furosemide.2,17 Although there is no evidence to support use of furosemide alone in the treatment of IIH, furosemide and other diuretics may be viable options for people who are unable to tolerate acetazolamide or for combination therapy.2
Octreotide. Octreotide, a somatostatin analogue, has been shown to reduce ICP and improve headache.2 In a small case series of individuals who had tried and failed multiple medical and surgical therapies, octreotide eliminated headache as a symptom of IIH. This case series did not include papilledema, vision loss, or ICP measurements as endpoints.18
Lifestyle Changes
Obesity is associated with IIH and individuals with IIH who have a body mass index (BMI) greater than 40 kg/m2 are at higher risk for vision loss, making weight loss critical in the treatment of IIH. Loss of 6% of total body weight has been associated with resolution of papilledema.2 In a clinical trial in which all participants commenced a low-sodium diet with target weight loss of 6% of total body weight at 6 months, weight loss was twice as high in those treated with acetazolamide, although both groups lost weight.3 In further analysis, the effect on vision was attributable to acetazolamide, not weight loss.14 Other nonrandomized studies have found more rapid improvement in papilledema in those who adhere to weight loss treatment in addition to diuretic treatment.2
Although this systematic review identified 67 participants with IIH, the break-down of these outcomes post-operatively are based on what was reported in the individual studies analyzed in the meta-analysis. The data was limited to case reports that did not consistently report CSF pressures, papilledema, visual field assessments, or headache disability. Data remains limited because of a lack of randomized control trials. Compared with traditional weight loss alone, bariatric surgery tends to have better outcomes related to ICP and papilledema reduction and the amount of weight loss achieved with bariatric surgery is greater than with nonsurgical interventions.20
The IIH Weight Trial (IIH:WT)a is a randomized control trial expected to complete in 2022 that is comparing the effect bariatric surgery vs a community weight loss program (Weight Watchers) on ICP, vision, headache, and quality of life.
Surgical Management
Surgical intervention should be considered for individuals who are at immediate risk of vision loss and have medically refractory disease. There are 3 main surgical options for IIH treatment. These include CSF-diverting procedures: LP or ventriculoperitoneal (VP) shunting, optic nerve sheath fenestration (ONSF), and venous sinus stenting.2 A systematic review of the efficacy of surgical interventions for IIH evaluated case series and reports to show that ONSF resulted in improvement in visual fields in about two-thirds of cases. Papilledema improved in 95% of cases. Similarly, LP and VP shunting resulted in improvement in visual fields in 71% and 69% of cases, respectively, and papilledema improved in 91% and 90% of cases, respectively. Headache improvement occurred in 41% of cases treated with ONSF compared with 96% and 93% of those treated with LP and VP shunting, respectively. Unfortunately, shunt revisions are common and most often due to shunt obstruction.21 The SIGHT trialb is an ongoing randomized control trial with 3 treatment arms: medical therapy with diet and acetazolamide, ONSF plus medical and diet therapy, and VP shunting with medical and diet therapy.
Venous sinus stenting is controversial because it is uncertain if venous sinus narrowing is a cause or consequence of elevated ICP. In a systematic review, venous sinus stenting improved visual fields in 75% of participants, decreased papilledema in 98%, and improved headache in 77% with a mean follow-up time of 22.2 months.21 Similar findings were found in a systematic review and meta-analysis evaluating solely venous sinus stenting in IIH.22 Several serious complications were noted, however, including but not limited to subdural hematomas and intraluminal thrombi.21
Headache Treatment
Despite improving visual outcomes by reducing ICP, many people with IIH continue to have disabling headache even after ICP returns to normal. In the IIHTT, 84% of participants had comorbid headache with migrainous features and acetazolamide did not provide statistically significant improvement in headache disability scores compared with placebo groups at 6 months.16 Topiramate is a good treatment option both for lowering ICP and treating comorbid migraine given its known efficacy in the preventive treatment of migraine. Topiramate could be considered in those with prominent headache as a symptom of IIH either in conjunction with acetazolamide or as monotherapy if acetazolamide is not tolerated.
Given the high frequency of comorbid migraine in individuals with IIH, headache is often managed similar to migraine. Treatment includes antiseizure medications, antidepressants, antihypertensives, onabotulinumtoxinA and, more recently, antibodies to calcitonin gene-related peptide (CGRP) or its receptor. It is essential to be cautious about the side effects of medications, which include weight gain (eg, valproic acid, gabapentin, and tricyclic antidepressants) or reduced exercise tolerance (eg, beta-blockers).4 Nonmedication options include noninvasive neuromodulation devices (eg, supraorbital nerve stimulation, vagal nerve stimulation, transcranial magnetic stimulation, and remote electrical neuromodulation).
In a retrospective review of people who had IIH with medically intractable headache and underwent CSF-diverting procedures (eg, LP or VP shunts), most initially experienced headache relief but headaches returned in over one-third of patients at 3-year follow-up. Risk factors for headache recurrence were absence of papilledema at the time of shunt placement and prolonged symptom duration before shunt placement.4,23 Individuals with prolonged symptoms may not experience headache relief after shunt placement because of central and peripheral sensitization. Venous sinus stenting and ONSF seem to have less of an effect on headache.4
Ultimately, treatment of headache in IIH is based on the headache phenotype, which is typically migrainous, and data on specific therapies for headache in IIH are limited.4
Conclusion
The pathophysiology of IIH remains elusive and IIH has serious consequences for vision if it is not treated quickly. Several randomized controlled trials are underway that should be helpful in determining the efficacy of the various treatment modalities available as well as appropriate timing for these. Headache, the most common symptom of IIH, still requires further investigation for optimizing treatment approaches.
Ready to Claim Your Credits?
You have attempts to pass this post-test. Take your time and review carefully before submitting.
Good luck!
Recommended
- Epilepsy & Seizures
Functional Neurologic Symptom Disorder Resolving After Endoscopic Encephalocele Repair
Charles F. Palmer, MD; Rodney J. Schlosser, MDCharles F. Palmer, MD; Rodney J. Schlosser, MD - Imaging & Testing
Artificial Intelligence in Clinical Neurology: Opportunities, Limitations, and the Path Forward
Aysha Jadran, MD; Saqib A. Chaudhry, MDAysha Jadran, MD; Saqib A. Chaudhry, MD - Alzheimer Disease & Dementias
Special Report: 2025 Neurology FDA Drug & Device Approvals & Clearances






