Recurrent Stroke-Like Events Before Diagnosis of X-Linked Charcot—Marie—Tooth Disease

Initial Case Presentation
A white boy, age 11 years, was seen for a first occurrence of hemiparesis, ataxia, and dysarthria, which had been present for 3 days. He had a history of abdominal surgery a month earlier as treatment for a ruptured appendix. He was otherwise healthy and had no developmental delay. On admission, the patient had facial drooping, dysarthria, and ataxia. There were no signs of acute infection, signs of meningeal irritation, or vision problems. No hyporeflexia or sensory impairments were present.
His family history was negative for stroke, epilepsy, multiple sclerosis, and hemiplegic migraines. Multiple family members had symptoms of peripheral neuropathy, but none was formally diagnosed, including the patient’s mother, maternal uncle, maternal grandmother, maternal great-grandfather, and a nephew of his maternal grandmother.
Diagnostic Testing
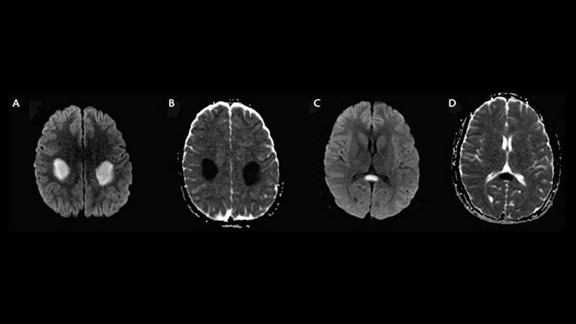
Along with routine hematological and biochemical tests, we obtained lumbar puncture and cerebrospinal fluid (CSF) analysis, brain MRI, brain magnetic resonance angiography (MRA), and an EEG. Analysis of CSF showed normal cell-count, protein, and glucose levels. There was no bacterial growth after CSF culture. Polymerase chain reaction (PCR) of the CSF was negative for common viral infections (eg, enterovirus, Epstein-Barr virus, or human herpes viruses). The EEG result was normal. Biochemical screening results were negative for mitochondrial and lysosomal disorders. Diffusion-weighted MRI (DWI) and apparent diffusion coefficient (ADC) sequences showed symmetric white matter signal alteration with restricted diffusion involving the bilateral centrum semiovale and the splenium of the corpus callosum (Figure 1). Brain MRA results were normal.

Figure 1. Brain MRI at 11 years of age. Diffusion-weighted image sequence (A, C) and apparent diffusion coefficient (B, D) showing restricted diffusion in the centrum semiovale (A, B) and the splenium of the corpus callosum (C, D).
Treatment
We treated the patient empirically with intravenous methylprednisone because of the brain MRI findings suggestive of demyelination. However, CSF analysis showed no evidence of demyelination (eg, presence of myelin basic protein or increased intrathecal immunoglobulins). Our patient’s symptoms resolved after 1 day of hospitalization. A brain MRI taken 5 days later showed decreases in the amount of white matter signal abnormality. A repeat brain MRI taken 6 months later was normal, with complete resolution of the previously detected signal abnormalities. Clinical findings were resolved.
Case Presentation 3 Years Later
At age 14, our patient presented again after 1 day with acute dizziness followed by transient slurring of speech and left facial droop. He had a history of presumed viral gastroenteritis 4 weeks earlier.
Diagnostic Testing
Brain MRI findings were symmetric, restricted diffusion involving the bilateral centrum semiovale and splenium of the corpus callosum, similar to imaging findings at initial presentation (Figure 2). We treated the patient with methylpredisone, and again the symptoms resolved. At a follow-up outpatient clinic visit, genetic testing was ordered (because of the reported family history of neuropathy and diminished extremity reflexes), and results showed X-linked Charcot–Marie–Tooth (CMT) disease with 2 mutations in the gene for connexin: homozygous transversion of thymine for guanine at nucleotide position 467 resulting in a leucine for arginine substitution at codon 156. Annual follow-up visits were recommended.

Figure 2. Brain MRI at 14 years of age. Diffusion-weighted image sequence (A, C) and apparent diffusion coefficient (B, D) showing restricted diffusion in the centrum semiovale (A, B) and the splenium of the corpus callosum (C, D).
Case Presentation 5 and 6 Years After Initial Presentation
At follow-up 2 years later and 5 years after his initial presentation, our patient had mild lower extremity weakness with foot drop and mild distal sensory loss.
At age 17, 6 years after the initial presentation, our patient presented with acute-onset facial weakness, right arm weakness, and dysarthria. A day earlier, he had intermittent slurring of speech, mild left facial weakness, and decreased sensation over the left side of his face. He had been apparently healthy since last 1 year ago, except for being diagnosed 3 weeks earlier with infectious mononucleosis.
He was dysarthric with decreased facial muscle movement on the left and mild wasting of the thenar muscles. There was mild weakness in his peroneal muscles, absent deep tendon reflexes in the lower extremities, and hyporeflexia in the upper extremities. He had decreased distal vibration sensation in all extremities. His gait was wide based, with noticeable foot drop, and he had difficulty with both heel and tandem walking.
Diagnostic Testing
We ordered a brain MRI that showed restricted diffusion in the bilateral periventricular white matter identical to the previous abnormal MRIs seen at age 11 and age 14. Results of routine blood chemistry and hematologic tests were normal. There was also restricted diffusion in the cerebellar peduncles that had not been seen previously (Figure 3).

Figure 3. Brain MRI at 17 years of age. Diffusion-weighted image sequence (A, C) and apparent diffusion coefficient (B, D) showing restricted diffusion in the centrum semiovale (A, B) and the cerebellar peduncles (C, D).
Treatment
We treated the patient with intravenous methylprednisone and his symptoms resolved completely in 24 hours.
Diagnosis
As noted, this patient was diagnosed with CMT1X at age 14. CMT is a broad umbrella term for a variety of hereditary neuropathies.1 Usual onset is in early childhood, but diagnosis can be delayed until early adulthood. Distal motor and sensory neuropathy characterized by slowly progressing gait disturbances, pes cavus, and depressed tendon reflexes is characteristic.2 Patients occasionally present with central nervous system involvement.3-10 When peripheral neuropathy is not yet clinically manifested, recurrent encephalopathy with focal neurological deficits can make clinical diagnosis challenging.
Originally described as slowly progressive, predominantly peroneal muscular atrophy, several other types of CMT have been described since. The classic appearance of CMT includes distal muscle atrophy, with onset in lower extremities, champagne-bottle appearance of calves, high arched feet, equinovarus deformities, clawed hands, absent deep tendon reflexes, and absent sensations.
Electrodiagnostic studies identified the extent, type, and severity of these familial polyneuropathies, characterizing the taxonomy of CMT (ie, axonal vs demyelinating). Molecular genetic testing led to understanding both the natural history and the spectrum of CMT.
Various CMT classification schemes use the genotype (currently favored) or the pathology (ie, demyelinating neuropathies (CMT1), axonal (CMT2), and severe hereditary motor sensory neuropathy III, or Dejerine-Sottas disease (CMT3), which includes congenital hypomyelination syndromes and severe disability.) There are also overlaps with classification schemes used to create algorithms for genetic testing that are based on family history and inheritance (eg, autosomal-dominant, autosomal-recessive, and X-linked), Such algorithms are used to streamline diagnosis and reduce redundancy and cost associated with testing. Genes implicated in CMT I and II encode for peripheral myelin protein 22 (PMP22), myelin protein zero (MPZ), gap junction beta-1 protein (GJB1), and mitofusin-2(MFN2); in CMT3, mutations of early growth response factor 2 (EGR2) and periaxin (PRX) genes are found.
The most common form is CMT1, which is autosomal dominant and accounts for 75% to 80% of cases; X-linked CMT accounts for approximately 15% of all cases.
CLINICAL GEMS
Testing for mutations in GJB1 detects 90% of CMT1X.
Mutations of GJB1, which encodes the protein connexin 32 (Cx32) that is expressed in Schwann cells and oligodendrocytes are the only known causes of CMT1X, a common cause of childhood-onset hereditary peripheral neuropathy.1 More than 400 mutations in GJB1 have been reported.1,2
Discussion
This is a case of recurring acute encephalopathy syndrome with characteristic MRI abnormalities prior to the onset of classical manifestations and diagnosis of CMT1X.
Differential diagnosis of recurrent neurological deficits and encephalopathy includes cerebrovascular diseases (eg, strokes, vasculitis, hypertensive encephalopathy syndrome), metabolic disturbances, and inherited metabolic disorders. Most patients with CMT do not have any CNS abnormalities; clinically, CMT is a disease of the peripheral nervous system.
CLINICAL GEMS
Patients with Charcot-Marie-Tooth disease occasionally have recurrent stroke-like events with abnormalities in brain imaging, often after infectious illnesses or metabolic stress.
Silent CNS involvement with abnormal brainstem-evoked responses and pyramidal tract signs have been described in CMT. The clinical episodes in the case described were occurred a few weeks after infectious and inflammatory illnesses. Acute-onset aphasia, dysarthria, hemiparesis, facial weakness, and ataxia are common manifestations4-8 that can last 3 to 4 days before almost complete resolution. Antecedent viral infections5 and other metabolic stressors (eg, hyperventilation7 and travel to high altitude9) have been previously reported.
Transient focal deficits and encephalopathy along with abnormal imaging results are a pathognomonic clinical presentation of CMT1X.6,11 However, as in our case, these findings can predate the diagnosis of CMT1X, especially if clinical findings of peripheral neuropathy are absent or there is no positive family history available.
Brain imaging findings during these events are also of considerable diagnostic importance. Restricted white-matter diffusion over the centrum semiovale, posterior corpus callosum, and sometimes cerebellar peduncles is noted with minimal findings in T2 and FLAIR imaging.3-8 Stroke-like events with diffusion abnormalities may be confused with cerebral ischemia.1,10 However, the diffusion abnormalities spare cortical U fibers, are bilateral and symmetrical, and are not restricted to specific cerebrovascular areas. Brain MRA is normal. The findings on brain MRI are reversible, although may persist for months. The extent, appearance, or resolution of imaging findings does not correlate well with clinical symptoms.
CLINICAL GEMS
Diffusion-weighted MRI abnormalities are bilaterally symmetrical and not restricted to vascular territories.
The pathogenesis of brain MRI lesions is thought to result from intramyelin edema or discompaction of myelinated fibers secondary to abnormal gap junction protein. Characteristic, nonvascular territorial, bilaterally symmetric diffusion abnormalities on brain MRI associated with transient encephalopathy are pathognomonic of CMT1X. Patients with certain CNS phenotypes of CMT1X commonly present with this clinical picture.3
It is unknown whether acute treatment with steroids hastens symptom resolution. As the diffusion sequences became routine in brain MRI studies, these findings created diagnostic challenges for both neurologists and neuroradiologists.
Conclusion
Awareness of these unusual CNS manifestations and the imaging findings in CMT1X is important to avoid unnecessary investigations and treatment.
1. Kleopa KA. The role of gap junctions in Charcot-Marie-Tooth disease. J Neurosci. 2011;31(49):17753–17760.
2. Bird TD. Charcot-Marie-Tooth neuropathy X type 1. 2016. In: Adam MP, Ardinger HH, Pagon RA, et al., editors. GeneReviews [website]. Seattle (WA): University of Washington, Seattle; 1993-2018. https://www.ncbi.nlm.nih.gov/books/NBK1374/ Last accessed May 2, 2018.
3. Taylor R A, Simon EM, Marks HG, Scherer SS. The CNS phenotype of X-linked Charcot-Marie-Tooth disease: More than a peripheral problem. Neurology. 2003;61(11):1475-1478.
4. Fusco C, Frattini D, Pisani F, et al. Coexistent central and peripheral nervous system involvement in a Charcot-Marie-Tooth syndrome X-linked patient. J Child Neurol. 2010;25(6):759-763.
5. Schelhaas HJ, Van Engelen BG, Gabreëls-Festen AA, et al. Transient cerebral white matter lesions in a patient with connexin 32 missense mutation. Neurology. 2002;59(12):2007-2008.
6. Citton V, Burlina A, Baracchini C, et al. Apparent diffusion coefficient restriction in the white matter: going beyond acute brain territorial ischemia. Insights Imaging. 2012;3(2):155-164.
7. Srinivasan J, Leventer RJ, Kornberg AJ, Dahl HH, Ryan MM. Central nervous system signs in X-linked Charcot-Marie-Tooth disease after hyperventilation. Pediatr Neurol. 2008;38(4):293–295
8. Siskind C, Feely SM, Bernes S, Shy ME, Garbern JY. Persistent CNS dysfunction in a boy with CMT1X. J Neurol Sci. 2009;279(1-2):109-113.
9. Paulson HL, Garbern JY, Hoban TF, et al. Transient central nervous system white matter abnormality in X-linked Charcot-Marie-Tooth disease. Ann Neurol. 2002;52:429-434.
10. Basu A, Horvath R, Esisi B, Birchall D, Chinnery PF. Recurrent stroke-like episodes in X-linked Charcot-Marie-Tooth disease. Neurology. 2011;77(12):1205-1206.
11. Hanemann CO, Bergmann C, Senderek J, Zerres K, Sperfeld A. Transient, recurrent, white matter lesions in X-linked Charcot-Marie-Tooth disease with novel connexin 32 mutation. Arch Neurol. 2003;60:605-609.
Acknowledgements: The author thanks Oleg Bronov MD, Neuroradiologist for providing relevant neuroimaging studies.
Arayamparambil C. Anilkumar, MD
Associate Professor
Department of Child Health
Director, Division of Pediatric Neurology
University of Missouri School of Medicine
Columbia, MO
Ready to Claim Your Credits?
You have attempts to pass this post-test. Take your time and review carefully before submitting.
Good luck!
Recommended
- Neuromuscular
Inclusion Body Myositis: Diagnosis, Clinical Features, and Emerging Therapies
Sangri Kim; Tulsi MalaviaSangri Kim; Tulsi Malavia - Neuromuscular
The Many Faces of Facioscapulohumeral Muscular Dystrophy
Ava Yun Lin, MD, PhD; Leo H. Wang, MD, PhDAva Yun Lin, MD, PhD; Leo H. Wang, MD, PhD






