Treatment-Resistant Small Vessel Primary Angiitis of the Central Nervous System
This case illustrates challenges encountered in the diagnosis and management of small-vessel primary angiitis of the central nervous system.
Case Presentation
KH-C, age early 50s with no known medical history, was admitted to the hospital emergently with new-onset status epilepticus. Glasgow Coma Scale score on arrival was 3/15. Immediate intubation, transfer to intensive care, and treatment with intravenous (IV) midazolam, phenytoin, and levetiracetam were performed. A fever (38.5o C) was documented. Cerebrospinal fluid (CSF) revealed lymphocytic pleocytosis (white cell count 18/mm3), elevated protein level (1640 mg/L), and normal glucose level (5.4 mmol/L), prompting empiric treatment for infectious meningoencephalitis. CSF opening pressure was not assessed.
Collateral history obtained from the family revealed that KH-C had experienced progressive neuropsychiatric decline over almost 1 year. Twelve months previously, in August, KH-C had contracted a flu-like illness while in Australia, which had resolved within 2 weeks. Two months later, on return to Ireland in October, KH-C’s partner had noticed subtle personality change including new-onset anxiety and irritability. The following month, KH-C had a 30-second episode of dysarthria that was diagnosed as a transient ischemic attack on the basis of normal MRI results. KH-C had consulted numerous neurologists and had been given various diagnoses including transient ischemic attack and migraine. KH-C had commenced amitriptyline for migraine prophylaxis, which was later stopped following a 30-minute episode of drowsiness and disorientation. In December, 2 months after the personality changes had first been noted, KH-C had experienced bouts of fever with confusion and visual hallucinations, which resolved after 2 weeks. Over the next 6 months, KH-C had complained of generalized weakness, paresthesia, and headaches, and had repeatedly presented to the general practitioner for antibiotics. KH-C had difficulty focusing on tasks and had developed a postural hand tremor. Further presentations to physicians had led to a diagnosis of generalized anxiety with panic attacks. By April, KH-C had developed monthly stereotyped episodes of dysarthria and perioral numbness. Finally, 10 months after returning from Australia, KH-C had a further episode of dysarthria that developed into a bilateral tonic-clonic seizure, leading to this hospital admission.

Diagnostic Process
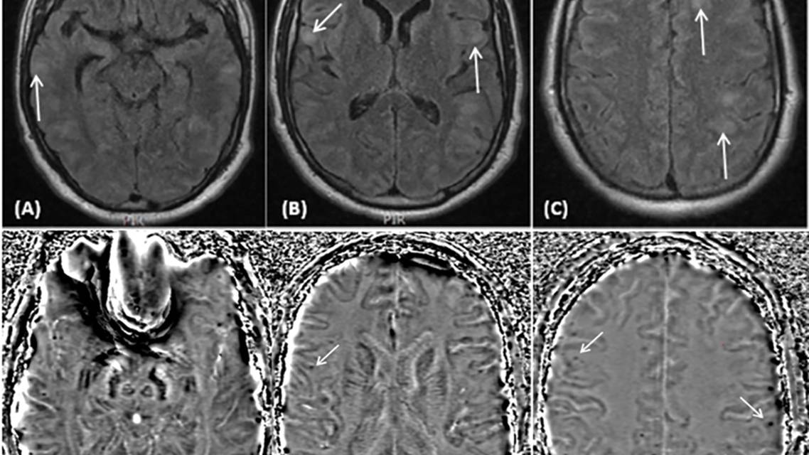
Initial laboratory testing demonstrated neutrophilia (27 x 109/L) but normal erythrocyte sedimentation rate and C-reactive protein level. CSF bacterial and fungal culture, and polymerase chain reaction for herpes simplex virus (HSV)–1 and HSV-2, varicella-zoster virus, Epstein-Barr virus, cytomegalovirus, and enterovirus, had negative results (Table 1). There were faint unmatched CSF oligoclonal bands. EEG demonstrated diffuse slow-wave activity without evidence of ongoing seizure activity. Brain MRI showed multiple subcortical fluid-attenuated inversion recovery (FLAIR) hyperintensities in the frontal, parietal, and temporal lobes bilaterally, and scattered subcortical microhemorrhages on susceptibility-weighted imaging (Figure 1). There was no restricted diffusion or gadolinium enhancement. Spinal cord MRI results were normal. Although there was no enhancement, the brain imaging results were consistent with a diffuse neuroinflammatory process and, given the cortical microhemorrhages, a diagnosis of cerebral amyloid angiopathy–related inflammation (CAA-ri) was considered.
On day 2 of admission, after initial infection screens had negative results, KH-C received empiric treatment for a central nervous system (CNS) autoimmune or inflammatory process, which included a single course of IV immunoglobulin (0.4 g/kg/d for 5 days) and IV methylprednisolone (1 g/d for 5 days) followed by oral prednisolone (60 mg/d). KH-C improved quickly and was transferred to a standard ward within 4 days. Seizures ceased, and KH-C’s year-long alteration in personality began to improve.

Figure 1. Brain MRI on admission demonstrated diffuse subcortical fluid-attenuated inversion recovery (FLAIR) hyperintensities throughout the frontal, parietal, and temporal lobes bilaterally (A–C). Phase susceptibility-weighted imaging sequences demonstrated scattered subcortical microhemorrhages (D–F). The arrows point to examples of subcortical FLAIR hyperintensities and phase microhemorrhages.
KH-C underwent a comprehensive evaluation, including screening for infectious, inflammatory, autoimmune, and paraneoplastic causes, all of which had negative results (Table 1). CSF flow cytometry showed a predominant T-cell lymphocytic population without B-cell monoclonality. Glial fibrillary acidic protein (GFAP) antibody testing was unavailable at that time; however, there were no imaging features suggestive of GFAP astrocytopathy.1 Catheter-based cerebral angiography demonstrated normal intracranial vasculature.

Figure 2. Representative slides from the brain biopsy. Hematoxylin & eosin histochemical staining showed cortical and leptomeningeal tissue with perivascular lymphocytic inflammation and mild lipohyalinosis. No fibrinoid necrosis, amyloid, granulomas, or infectious agents were identified (immunohistochemistry and histochemistry not shown) (A, B). CD3 immunohistochemistry highlighted scattered T-cell lymphocytes in a predominantly perivascular distribution (C).
Three weeks after commencing steroid therapy, KH-C had an untargeted open right frontal lobe biopsy (Figure 2), as no inflammatory lesions were surgically accessible outside of eloquent cortex. Cortex, white matter, and leptomeningeal tissue were sampled. Histochemical staining with hematoxylin & eosin, as well as CD3, CD20, and CD68 immunohistochemistry, were performed (Figure 2) and revealed foci of perivascular predominantly T-lymphocytic inflammation without vessel wall infiltration. Granulomas were absent. There was perivascular clustering of macrophages, microglial activation, and astroglial reaction, suggesting microscopic ischemia. However, Verhoeff-van Gieson and Martius Scarlet Blue stains did not show vessel wall destruction or fibrin deposition to support a necrotizing vasculitis. β-amyloid antibody testing did not identify amyloid angiopathy. Periodic acid-Schiff and Ziehl-Neelsen stains for fungi and acid-fast bacilli, respectively, had negative results. Immunohistochemistry for Toxoplasma gondii, HSV-1, HSV-2, and human polyomavirus 2 (JC virus) had negative results. Myelin basic protein immunohistochemistry did not show demyelination. Overall, the biopsy features supported an inflammatory process that could be seen in a variety of conditions including a treated vasculitis or autoimmune process.
Given the clinical history and the biopsy findings of perivascular inflammatory cell infiltration and microscopic ischaemia in the absence of an infectious agent or causative antibody, a multidisciplinary meeting came to a consensus diagnosis of small-vessel primary angiitis of the CNS (SV-PACNS).
Case Resolution
KH-C continued to improve on oral steroids and, once initiated on a regimen of monthly IV pulse cyclophosphamide, was discharged home. However, KH-C presented 6 weeks later with headaches and recurrence of focal seizures. Repeat MRI showed new subcortical FLAIR hyperintensities (Figure 3, E–H). By this time, KH-C was on prednisolone 20 mg and had received 2 courses of 1 g cyclophosphamide. Following negative CSF bacterial and fungal culture and viral polymerase chain reaction (PCR) testing, KH-C received IV methylprednisolone 1 g/d for 5 days followed by oral prednisolone 40 mg/d.

Figure 3. Serial MRI fluid-attenuated inversion recovery (FLAIR) images taken shortly after the right frontal lobe brain biopsy (A–D), at the time of the second relapse 3 months later (E–H), and at the time of the third relapse 1 month after that (I–L) demonstrated new and progressive ventriculomegaly with surrounding FLAIR signal changes. There is increased FLAIR high signal in the subcortical white matter (arrow, H) and in the subarachnoid space (arrowheads, H and L) despite treatment with intravenous cyclophosphamide. The right frontal lobe signal change was secondary to the biopsy (arrow, D). Long-term resolution of periventricular, subcortical, and sulcal FLAIR signal abnormality was noted 4 years after the start of rituximab treatment (M–P).
KH-C’s condition improved clinically and radiologically. However, KH-C presented again 8 weeks later (after 2 further cycles of cyclophosphamide) with general malaise and fever. Serial MRIs demonstrated progressive ventriculomegaly with surrounding FLAIR signal changes and increased FLAIR high signal in the subcortical white matter and subarachnoid space (Figure 3, E–L).
Given the stepwise deterioration despite immunosuppression accompanied by recurrence of fever and inflammatory CSF changes, the diagnosis was queried by the attending consultant neurologist, and an extensive search for an infectious cause was repeated. This included repeat CSF culture and 16S/18S rRNA sequencing for bacterial or fungal infections (performed at University of Warwick, Coventry, UK). The first sample was positive for Coniochaeta sp; however, repeat sample had negative results. In total, CSF was sampled 6 times for infectious agents over the course of KH-C’s illness with consistently negative results. KH-C was treated empirically with antifungal agents (IV amphotericin and flucytosine followed by oral fluconazole) but continued to deteriorate.
Given the lack of an identifiable infective agent and following consultation with international experts in PACNS, this case was considered SV-PACNS refractory to conventional immunosuppression. The consensus was to proceed with further immunosuppression with high-dose steroids and rituximab (375 mg/m2) once weekly for 4 weeks to be repeated 6-monthly thereafter. On this regimen, KH-C demonstrated a sustained clinical and radiologic improvement. Immunosuppression was weaned after 2 years, and KH-C has remained in remission since that time (Figure 3, M–P).
Discussion
PACNS is a rare condition characterized by inflammation of the blood vessels of the brain and spinal cord. The estimated prevalence is 2.4/1,000,000 person-years.2 Clinical symptoms are variable and nonspecific, and both pathognomonic clinical signs and a characteristic clinical course are lacking. PACNS may present acutely or subacutely but more commonly has an insidious presentation with a chronically progressive or fluctuating course that may delay diagnosis, as occurred in our patient. The most common presenting symptoms are headache (58%) and cognitive dysfunction (54%), followed by focal neurologic deficit or stroke (43%) and seizures (20%).3 Myelopathy can occur with spinal cord involvement (5%).4 Systemic manifestations such as fever, fatigue, anorexia, and weight loss are present in <10% of cases.2 This clinical heterogeneity is partly attributable to the size of the arteries involved. People with medium or large-vessel PACNS are more likely to present with headaches and focal neurologic deficits, whereas a greater proportion of people with SV-PACNS present with cognitive impairment, encephalopathy, and seizures.5
No laboratory or imaging investigations are available to reliably confirm a diagnosis of PACNS. Routine bloodwork including acute phase reactants (ie, erythrocyte sedimentation rate and C-reactive protein) generally has normal results, and brain MRI findings are nonspecific, ranging from acute focal or multifocal cerebral infarctions to T2/FLAIR hyperintensities, to parenchymal or meningeal gadolinium enhancement, to leptomeningeal enhancement or, least commonly, to intracerebral hemorrhage.6 The incidence of cortical microhemorrhages in SV-PACNS, as observed in our case, is increasingly recognized.7 CSF usually shows lymphocytic pleocytosis and elevated protein level. The differential diagnosis is lengthy, necessitating extensive evaluation for CNS infectious, autoimmune, rheumatologic, and granulomatous diseases, systemic vasculitis, and malignancy, as shown in this case.
Infectious vasculitis may be caused by direct endothelial invasion and vessel wall destruction by the pathogen or by an immune response to the pathogen8 and was important to rule out in our case given the history of an initial infective illness in the context of foreign travel. Infectious vasculitis can be seen in the context of bacterial or tuberculous meningitis, neurosyphilis, or neuroborreliosis as well as viral and fungal infections, including varicella-zoster virus, HIV, aspergillosis, and cryptococcus.8 However, an infective agent was never identified in our patient.
Hemophagocytic lymphohistiocytosis (HLH) is a rare hyperinflammatory syndrome characterized by impaired CD8+ cytotoxic T cell and natural killer cell9 function that may be triggered by infection10 and rarely is restricted to the CNS, thereby mimicking what is seen in those with PACNS. Neither the pathology specimens nor CSF cytology showed evidence of hemophagocytosis to suggest HLH.10 However, further studies to explore the possibility of HLH, such as natural killer cell activity or soluble CD25 levels, should be considered.10
The diagnostic criteria for PACNS11,12 (Table 2) require supportive evidence from either a cerebral angiogram or brain biopsy. However, these requisite tests have their pitfalls in the diagnosis of PACNS. Angiographic findings include multifocal segmental arterial stenoses with intervening dilation (ie, beading), occlusions, and collateralization,13 but these features are not specific to PACNS and are seen in noninflammatory vasculopathies such as intracranial atherosclerosis, reversible cerebral vasoconstriction syndrome, and moyamoya vasculopathy, and as reactive changes after subarachnoid hemorrhage or irradiation. MRI with vessel wall imaging can provide a suggestive arterial wall enhancement pattern that can be helpful in differentiating PACNS from some of these conditions. However, angiography results are typically normal in cases of SV-PACNS, where the involved arteries are <500 μm in diameter,14 and overall angiography has positive results in only 15% to 43% of cases of biopsy-proven PACNS.13,15,16

Brain biopsy remains the gold standard for diagnosis of definite PACNS and characteristically shows a transmural inflammatory cell infiltrate and vessel wall destruction. There are 3 histologic patterns: granulomatous, lymphocytic, and necrotizing. Granulomatous vasculitis is associated with vascular amyloid-β (Aβ) deposition in 50% of cases,2 and is diagnosed as Aβ-associated angiitis, a condition that exists on a spectrum with CAA-ri. CAA-ri is characterized by perivascular inflammation resulting from amyloid-β deposition without vessel wall destruction. Aβ-associated angiitis and CAA-ri, common differential diagnoses for PACNS, were not detected on biopsy in our patient given the lack of vascular amyloid-β deposition.
Brain biopsy has limitations; given the segmental distribution of vascular inflammation, the sensitivity of brain biopsy is only 53% to 76% due to sampling error.8,14,17 Furthermore, patients have sometimes already received empiric steroid therapy by the time they undergo brain biopsy, which can compromise the findings, as probably occurred in our patient. As a result of these issues, 18% to 40% of cases included in studies of PACNS lack definitive biopsy findings.16,18
When possible, clinicians should delay steroid therapy until biopsy results are available, although this is not always feasible in cases such as ours, where the patient presented in extremis. The diagnostic yield of brain biopsy is greatly improved by targeting a radiologically abnormal region—particularly a gadolinium-enhancing parenchymal or leptomeningeal lesion.17,19 However, this is not always possible, as in this case, where there was no surgically accessible lesion at the time of biopsy, and reliance on pathologic findings from untargeted nondominant frontal lobe biopsies is not uncommon.17 Open biopsy is preferable to stereotactic methods in a diffuse process like PACNS to maximize the chance of sampling an abnormality and to preserve the microscopic anatomy so that a more descriptive reporting of the findings is possible.
Given the lack of clear clinical descriptors and the difficulties inherent in the confirmatory diagnostic tests, cases of treatment-resistant PACNS represent a particular source of concern for the treating neurologist. There may be lingering diagnostic doubt, which may come to the fore in instances where the patient demonstrates a suboptimal response to treatment. The most common therapeutic strategy for PACNS is high-dose glucocorticoid treatment followed by prolonged immunosuppression with cyclophosphamide, mycophenolate mofetil, or azathioprine. However, no randomized controlled clinical trials examining the optimal treatment strategy for PACNS have been undertaken.8 Our patient relapsed while on treatment with maintenance cyclophosphamide when the prednisolone dose was reduced to 20 mg. A thorough search for CNS infections was conducted, which delayed reinstatement of full-dose immunosuppression. Consultation with international experts was undertaken to ensure confidence in the diagnosis of PACNS, and based on recent evidence in treatment-resistant PACNS, KH-C was commenced on rituximab.18 The patient made a profound recovery and remains in clinical and radiologic remission, as illustrated by follow-up imaging at 4 years after the start of rituximab treatment. KH-C’s case is now one of many supporting the use of rituximab in treatment-resistant PACNS.20
This case illustrates the challenges encountered in the diagnosis and management of SV-PACNS. Given the limitations of the primary diagnostic tests and the lack of prospective clinical trials to provide an evidence base for treatment decisions, this case emphasizes the need for clinicians to be supported by a multidisciplinary team comprising clinical neurologists, neuroradiologists, and neuropathologists, as well as input from a clinical team with relevant expertise in PACNS, to provide a consensus diagnosis and treatment approach. The delay in diagnosis due to indolent presentation observed in this case highlights the need for clinicians to have a high clinical suspicion for SV-PACNS in progressive neuropsychiatric syndromes.
Ready to Claim Your Credits?
You have attempts to pass this post-test. Take your time and review carefully before submitting.
Good luck!
Recommended
- Stroke
Blood Pressure Targets After Stroke: How Low Is Too Low?
Hatem Tolba, MD; Filza Sikandar, MBBSHatem Tolba, MD; Filza Sikandar, MBBS






