Management of Vein of Galen Thrombosis With Mechanical Thrombectomy
Case Presentation
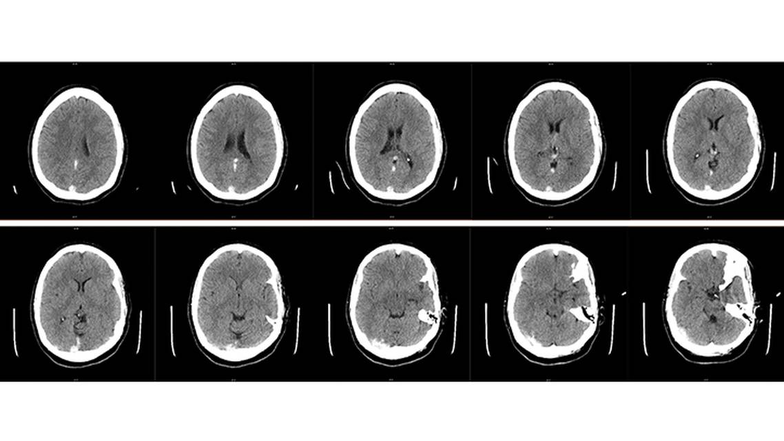
PW, aged late 20s , who had a history of migraines and current combined oral contraceptive use, presented to the emergency department (ED) with a severe headache. PW was treated for migraine and released from the ED. Over the next 2 days, PW experienced worsening headaches, and began having episodes of vomiting. Progressive clinical deterioration culminated with an episode of loss of consciousness, and PW returned to the ED 2 days later. On arrival, PW reported an inability to see or stand properly. While in the ED, PW had a generalized tonic-clonic seizure, was treated promptly with multiple antiepileptic drugs, and underwent intubation for airway protection. CT angiography showed a massive cerebral venous sinus thrombosis (CVST) of the right transverse, straight, and superior sagittal sinuses, complicated by diffuse cerebral edema (Figure 1). In addition, many features were concerning for elevated intracranial pressure (ICP), including severe headaches, vomiting, loss of consciousness, lack of response to noxious stimuli, and triple flexion of lower extremities. Given the severity of the presentation, PW was started on anticoagulation and transferred immediately to a tertiary center for neurosurgical intensive care.

Diagnostic Process and First Treatment Attempts
Upon arrival, PW underwent emergeny cerebral angiography and venography to evaluate vessel morphology and flow patterns and to assess candidacy for intervention with thrombolysis or thrombectomy. Massive and extensive CVST was confirmed, with no contrast filling of the superior sagittal sinus, straight sinus, vein of Galen (VOG), torcula, or right transverse or sigmoid sinuses. Given the refractory clinical status and the radiologic presence of substantial CVST, both thrombolysis and thrombectomy were attempted. A total of 4 mg of tissue plasminogen activator (tPA) was injected into the superior sagittal sinus and a Solitaire X Revascularization Device (6 x 40 mm; Medtronic, Minneapolis, MN) and an EmboTrap II Revascularization Device (605 x 45 mm; Cerenovus, Irvine, CA) were used with a RED 72 aspiration catheter (Penumbra, Alameda, CA) to make multiple mechanical thrombectomy passes at the superior sagittal sinus. These interventions resulted in partial recanalization and improved bilateral cortical venous flow. An additional 4 mg of tPA was infused into the torcula and origin of the straight sinus; however, attempts to cannulate and catheterize the straight sinus were unsuccessful (Figure 2).

Two days later, PW was returned to the interventional neuroradiology suite for repeat angiography and venography. PW demonstrated improved but persistent CVST. To facilitate clot breakage, an indwelling microcatheter was placed in the superior sagittal sinus for continuous tPA infusion (Figure 3).

Case Resolution
One week after presentation, despite multiple interventions, including thrombectomy, extraventricular drain placement, and continuous tPA infusion, the clinical status had not improved, and PW continued to be unresponsive to noxious stimuli and exhibited triple flexion of the lower extremities.
Repeat CT angiography showed arterial narrowing and decreased enhancement of right straight, right transverse, and superior sagittal sinuses, suggesting a worsening clot burden. ICP levels increased and were malignantly high, measuring 40 to 50 mm Hg, reflecting the unremitting course of the CVST. Because of the high threat of cerebral herniation at this ICP level, PW was returned emergently to the interventional neuroradiology suite for a lifesaving intervention to reduce clot burden with the goal of relieving the malignant intracranial hypertension.
A repeat thrombectomy was attempted, in which a microcatheter was advanced directly into the thrombosed VOG. A Solitaire X Revascularization Device (6 mm x 40 mm) was deployed with suction, resulting in an immediate 25 mm Hg decrease in ICP because of increased venous outflow. Thereafter, 2 additional passes of venous mechanical and suction thrombectomy were conducted in the straight sinus. A total of 7 mg of tPA was superselectively administered into the VOG and straight sinus. As a result, the clot burden in the straight sinus and VOG was reduced significantly (Figure 4).

Immediately after clot removal, on the angiography table, PW’s ICP stabilized, and clinical course thereafter improved tremendously. One month after presentation, PW was discharged on oral apixaban (Eliquis; Bristol Myers Squibb, New York, NY) and transitioned to an inpatient rehabilitation facility. MRI before discharge showed no signs of venous infarct or hemorrhage, and physical examination showed full strength. Outpatient workup for hypercoagulability or other triggers was unrevealing. At the most recent follow-up, 8 months after presentation, PW continues to have very mild headaches but has no lingering neurologic deficits. PW has returned to full-time work and enjoys a fulfilling family life.
Discussion
CVST of the deep cerebral veins is a rare but serious clinical process that is difficult to diagnose and treat. CVST has a reported incidence of 13.9 to 20.2 cases per 1 million annually with a greater incidence in young women of color.1 The major cerebral sinuses are most commonly affected, with CVST involving the superior sagittal sinus in 62% of cases, either of the transverse sinuses in 86% of cases, and both the superior sagittal sinus and transverse sinuses in 30% of cases.2
As observed in our patient, occlusion of cerebral veins and sinuses results in decreased drainage of cerebral blood flow, leading to increased ICP and possible venous infarction.3 Individuals commonly present with headaches and occasionally with seizures, focal neurologic deficits, papilledema, or altered mental status. No constellation of clinical findings is associated with high diagnostic sensitivity or specificity, making early diagnosis challenging.4 Detection and treatment of CVST in the deep cerebral veins draining crucial forebrain and brainstem structures are particularly challenging. Thrombosis of the VOG often affects the bilateral thalami and basal ganglia, leading to clinical manifestations that are variable and difficult to interpret until symptoms of increased ICP manifest, which is associated with high clinical instability.5 Noninvasive imaging methods have poor resolution to detect thrombosis in deeper, smaller cerebral veins.5
VOG CVST is extremely rare, with few case reports documented in the literature.6–10 The risk factors for VOG thrombosis include inherited cases of hypercoagulability (eg, prothrombin 20201A gene variants associated with CVST), as well as acquired risk factors, including surgery, trauma, pregnancy, malignancy, and female hormones.11 Notably, our patient was using oral contraceptive pills (OCPs) before presentation. OCP use is a well-established risk factor for CVST and other thrombotic disorders. VOG malformations can be associated with idiopathic thrombosis; however, this is seen in only a very small minority (2.5%) of VOG malformations.7
CVST anywhere in the brain has a mortality rate as high as 5%; however, 89% of patients who survive the acute phase of CVST will make a complete recovery, with an average modified Rankin Scale score of 0 or 1 on follow-up.12 Therefore, the early identification and treatment of CVST is critical. Whereas digital subtraction angiography is the standard to diagnose CVST, noninvasive imaging, such as CT venography and magnetic resonance venography, have replaced catheter-based angiography for initial diagnostics and are able to detect CVST with great sensitivity in the emergency setting.4,5
CVST is difficult to manage, with general guidelines suggesting anticoagulation therapy to prevent further thrombosis. However, 13% of individuals have worsening clinical status despite the initiation of anticoagulation.13 These individuals may benefit from mechanical thrombectomy; however, there is limited data on the efficacy of mechanical thrombectomy in deep cerebral sinuses and veins.14 Endovascular treatment is only indicated as rescue therapy in severe cases refractory to medical management based on a randomized controlled trial that demonstrated no significant difference in outcomes between medical therapy and endovascular treatment combined with medical management.15
There are limited case reports discussing management of VOG thrombosis, and only 1 documented case in which mechanical thrombectomy was attempted; however, this was complicated by intraparenchymal hemorrhage requiring surgical evacuation.8 In other case reports, people presented with radiographic evidence of evolving or completed brainstem and thalamic infarcts, representing a failure to identify or treat these lesions before irreversible damage occurred.6,9 Because of the paucity of literature on this subject, determining the optimal treatment for VOG CVST is challenging.
Conclusion
We report the first successful, uncomplicated mechanical thrombectomy of VOG in the setting of rapidly escalating ICP in an individual with extensive CVST who had already undergone maximal medical therapy with anticoagulation, local endovascular thrombolysis, and mechanical thrombectomy of the larger thrombosed sinuses. Mechanical thrombectomy of the VOG was left as the last option to prevent further morbidity and likely death secondary to increased ICP and cerebral herniation. The patient’s ICP dropped immediately by ~30 points upon removal of the clot, highlighting the role venous return can play in control of ICP.
We provide evidence that mechanical thrombectomy of the VOG can be a necessary and efficacious therapy in people who fail conservative measures and are therefore at risk for morbidity and death secondary to malignant intracranial hypertension and venous infarction.
Ready to Claim Your Credits?
You have attempts to pass this post-test. Take your time and review carefully before submitting.
Good luck!
Recommended
- Stroke
Blood Pressure Targets After Stroke: How Low Is Too Low?
Hatem Tolba, MD; Filza Sikandar, MBBSHatem Tolba, MD; Filza Sikandar, MBBS






