Stroke Snapshot: Intracranial MRI Vessel-Wall Imaging
MRI vessel-wall imaging (MR-VWI) is an exciting new technique that goes beyond traditional luminal imaging techniques of computed tomography angiography (CTA), magnetic resonance angiography (MRA), and digital subtraction angiography (DSA). These standard imaging techniques provide details about stenosis but are often limited by the lack of specificity, because different vasculopathies can masquerade each other. In contrast, MR-VWI has the distinct advantage of allowing detailed characterization of vessel wall pathology for more precise interpretation of vessel abnormalities (Table). The increased visual detail may help narrow differential diagnosis, potentially improving clinical outcomes. Research is ongoing, and although there are considerable gaps in knowledge, this imaging technique is now used clinically at some centers.1-3

Technique
A variety of techniques are available for MR-VWI with different brand names based on the vendor. At our institution, we use the T1 CUBE (GE Healthcare, Milwaukee, WI), a 3D black-blood imaging technique that employs parallel reconstruction and variable flip-angle excitation to achieve isotropic submillimeter spatial resolution with scan times under 5 minutes. Although 2D techniques are available, we have found 3D imaging advantageous because it allows us to view vessels with thinner slices and multiple planes, which is essential in distinguishing pathologies in tiny intracranial vessels (mean wall thickness 0.3-0.6 mm).3 Furthermore, 3D imaging is superior when vessels are tortuous.
The 3D technique reduces scan times, which is important for patient comfort because the stroke imaging work-up also includes a full brain MRI study and time-of-flight (ToF) MRA of the brain and neck. MR-VWI is a complementary study not meant to substitute for ToF MRA. Acquiring both sequences has been shown to increase both the sensitivity and specificity of detecting vessel abnormalities.4,5
Although VWI is possible on a 1.5-T magnet, we only use our 3-T magnet for this advanced imaging technique because it provides the higher signal-to-noise ratio needed for subtle vessel wall findings in tiny intracranial vessels. Using a 7-T magnet can provide even more superior resolution, but this is not clinically feasible as most centers in the US do not have access to 7-T MRI equipment.6
The 3D T1 sequence without intravenous (IV) contrast is first acquired to assess for wall thickening. Gadolinium-based IV contrast is then administered to assess wall enhancement. Recently, we have also added a high-resolution T2-weighted sequence with multiplanar reformats to our vessel wall protocol to provide additional information on plaque morphology as described below.
Technical pitfalls are often related to blood flow and poor spatial resolution. Blood flow near the vessel wall may not be fully suppressed because the flow is often slower at the vessel wall vs the center of the lumen, which can cause artificial wall thickening.3 Additionally, slow flow in small veins can be misinterpreted as arterial wall enhancement after contrast injection. The recirculating or disturbed flow may yield plaque-mimicking flow artifacts caused by incomplete flow suppression, which is commonly seen in the curved and large vessel segments.3 Inadequate spatial resolution can induce partial volume averaging, leading to overestimation of vessel wall thickness that could be misinterpreted as atherosclerotic plaque or vasculitis.3,7
Indications and Interpretation
Situations where MR-VWI is advantageous compared with conventional imaging (eg, CTA, MRI and DSA) include differentiating atherosclerotic plaque, vasculitis, intracranial dissection, reversible cerebral vasoconstriction syndrome (RCVS), and other causes of intraluminal narrowing (Table, Figures 1-4).
The work-up for intracranial stenosis/vasculopathies may also include invasive procedures such as lumbar puncture for vasculitis, DSA, and intracranial biopsy. These invasive procedures often have low yield. MR-VWI is a fairly quick noninvasive technique that can yield key information for the stroke neurologist and limit the number of invasive procedures.1 An expert consensus guideline from the American Society of Neuroradiology provides recommendations for clinical implementation of MR-VWI.1
Atherosclerotic Plaque
On MR-VWI, atherosclerotic plaque (Figure 1) can present as nonuniform arterial wall thickening; this eccentric enhancement is colloquially termed a hot plaque, and potentially increases the risk of stroke.8-10 Preliminary studies also indicate that the degree of enhancement may predict the risk for vulnerable plaque and stroke, and thus studies are underway trying to quantify this enhancement.11,12

If a fibrous cap is present, it is often bright on T2 sequences and may enhance with contrast imaging. The T2-dark, nonenhancing lipid core lies under the fibrous cap.1
Clinicians can use MR-VMI to monitor response to medical treatment (eg, statins and aspirin) as vessel wall enhancement can improve and even resolve, rendering a plaque stable rather than vulnerable.
Vasculitis
A large group of pathologies that causes vessel wall inflammation comprise vasculitis. On MR-VWI, vasculitis appears as smooth circumferential homogeneous thickening, and enhancement can be multifocal (Figure 2). Enhancement can also extend beyond the vessel wall and into the perivascular soft tissues. Depending on the cause, vasculitis can affect small, medium, and large vessels. Post contrast images demonstrate a tram-track appearance when viewing the vessel in a parallel plane and as a donut when viewing en face.

MR-VWI increases biopsy sensitivity for vasculitis and even for giant cell arteritis, because it can assist in targeting the vessel that shows enhancement specifically.13 Furthermore, MR-VWI allows neurologists to track response to treatments such as steroids that can be monitored on serial MR-VWIs as the degree of improvement in vessel wall enhancement.
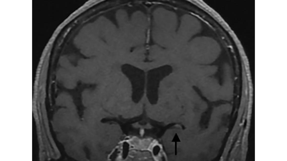
Intracranial Dissection
MR-VWI demonstrates eccentric wall thickening and possibly enhancement in the setting of dissection, sometimes mimicking atherosclerosis. Dissection may be differentiated from atherosclerosis by detecting T1-weighted hyperintensity in the vessel wall, which reflects methemoglobin, and by visualization of a false lumen—both signs of dissection (Figure 3).14

RCVS
RCVS is a syndrome that demonstrates multifocal arterial lumen narrowing on MRA, CTA, and DSA and presents clinically with severe recurrent thunderclap headaches. MR-VWI demonstrates smooth, multifocal circumferential wall thickening in RCVS. Because this is a disorder of vascular tone, however, and not an inflammatory process, there is usually no vessel wall enhancement (Figure 4).1

Transient Cerebral Arteriopathy
The most common type of arteriopathy and a leading cause of acute ischemic strokes in children,15 transient cerebral arteriopathy (TCA) is an inflammatory arteriopathy involving the distal internal carotid artery and its proximal branches, commonly the middle cerebral artery (MCA).16 The main differential to consider is dissection, a distinction that has been difficult to make on imaging before the advent of MR-VMI. TCA demonstrates areas of circumferential and concentric wall thickening and enhancement similar to vasculitis but has a more classic vascular distribution of the internal cerebral artery (ICA) and proximal vessels at the circle of Willis (Figure 2). Earlier studies suggest that the degree of enhancement may also predict disease outcome. Stronger initial enhancement on MR-VWI is typically associated with progression of disease whereas little or no enhancement usually occurs with milder clinical symptoms.17
Moyamoya Disease
The role of MR-VWI in moyamoya is not diagnostic, but rather differentiation between primary and secondary causes. Moyamoya is a steno-occlusive disease of the terminal ICA, causing innumerable collaterals to form, giving the pathognomonic puff-of-smoke appearance on angiography. Primary moyamoya is an idiopathic disease, that is considered noninflammatory and does not exhibit vessel wall enhancement. In contrast, secondary moyamoya can exhibit vessel wall enhancement and is caused by steno-occlusive diseases that happen to occur at the carotid terminus (eg, sickle cell disease, neurofibromatosis-1 [NF-1], atherosclerosis, and vasculitis).1 Distinguishing between primary and secondary disease is important because the treatment differs greatly. Primary moyamoya is treated with arterial bypass, whereas secondary moyamoya treatment depends on the underlying cause (eg, inflammatory lesions are treated with steroids and immunosuppressants and atherosclerosis is treated with statins, aspirin, and hypertension and diabetes control).
Radiation-Induced Vasculitis
On MR-VWI, radiation-induced vasculitis can mimic vasculitis and includes circumferential wall thickening and enhancement but may exhibit eccentric wall enhancement as well. Vessel involvement is typically confined to the radiation field and long-segment involvement can occur (Figure 5). Diagnosis is dependent on the history of prior radiation treatment.

Conclusion and Future Directions
MR-VWI is a useful adjunctive technique that can be used to evaluate intracranial vessels, potentially narrowing the differential for cryptogenic stroke and increasing diagnostic confidence. This may, in turn, improve treatment strategies and outcomes while reducing use of invasive imaging (eg, DSA) and procedures (eg, lumbar punctures and biopsies). Current and future work focuses on continuously improving resolution of this innovative imaging technique to allow more detailed analysis of plaque morphology, including the ability to observe intraplaque hemorrhage and positive and negative vessel wall remodeling. In the future, applying MR-VWI to cerebral aneurysms may also help predict which aneurysms may go on to rupture.
Ready to Claim Your Credits?
You have attempts to pass this post-test. Take your time and review carefully before submitting.
Good luck!
Recommended
- Epilepsy & Seizures
Pitfalls in Management of Intracranial Hypotension
Rohit Kushwah, MD; Sarbesh Tiwari, DMRohit Kushwah, MD; Sarbesh Tiwari, DM - MS & Immune Disorders
CADASIL Misdiagnosed as Multiple Sclerosis
Anthony Wong, BS; Jacquelyn Johnson, MS, CGCAnthony Wong, BS; Jacquelyn Johnson, MS, CGC






