Cerebral Venous Thrombosis Presenting as Recurrent Transient Ischemic Attack–Like Episodes
The authors describe a rare occurrence of multiple transient ischemic attack–like episodes as the presenting symptom of cerebral venous thrombosis.
Cerebral venous thrombosis (CVT) (ie, thrombosis of the intracranial veins and sinuses) is a rare type of cerebrovascular disease that affects ~5 people per million and accounts for .5% of all strokes.1 The presenting feature of CVT is acute or subacute headache in 70% to 90% of individuals, often with normal neurologic examination results. Seizures, usually focal convulsions, and stroke deficits may follow if parenchymal infarction occurs.2 Other rare presentations of CVT including cavernous sinus syndrome, thunderclap headache, transient ischemic attacks (TIAs), migraine attacks with aura, isolated psychiatric disturbances, tinnitus, isolated or multiple cranial nerve involvement, and subarachnoid hemorrhage (SAH) have been reported.1
We describe a rare occurrence of multiple TIA-like episodes as the presenting symptom in a case of CVT.
Case Presentation
BD, age mid-30s, was admitted to the hospital because of headaches and transient attacks of weakness and numbness of the left upper limb that had started 10 days earlier. BD had a history of binge alcohol consumption for 1 week before the onset of symptoms. Neurologic episodes were recurring 4 to 5 times per day and lasting for 15 to 20 minutes without any lapses of consciousness. No triggers for the attacks could be identified and there was no history of use of illicit drugs or any other medications.
The medical history included long-term alcohol consumption and a road traffic accident 2 years prior under the influence of alcohol that resulted in head trauma followed by brief loss of consciousness, evaluation of which showed recovered right frontotemporal SAH without any residual deficits. BD denied any headache episodes consistent with migraine. There was no history of seizures.
Diagnostic Process
The physical examination results were unremarkable. Neurologic examination between the attacks revealed grade 4+/5 strength in the left upper and lower limbs, whereas grade 0/5 strength and loss of sensation of the left upper limb were observed during the attacks.
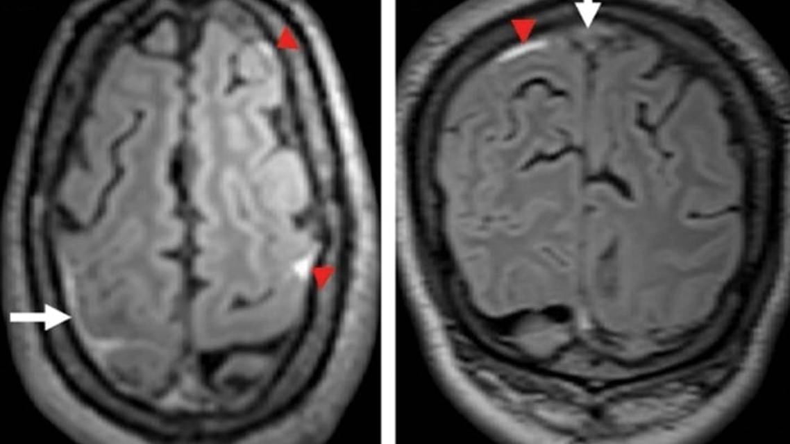
Cranial CT imaging revealed right frontal cortical SAH (Figure 1). Because there was no recent head trauma and the CT brain imaging showed convexal SAH, we proceeded with further imaging to evaluate the cause of nontraumatic SAH. MRI revealed right frontoparietal cortical SAH extending into the right central sulcus and thrombosis of multiple cortical veins (Figure 2A), superior sagittal sinus, and right vein of Trolard (Figure 2B). However, there were no signal abnormalities within the brain parenchyma. Magnetic resonance angiography (MRA) of the cerebral vessels had unremarkable results (Figure 3). Magnetic resonance venography (MRV) revealed thrombosis of the superior sagittal sinus (Figure 4).




Because of the absence of thunderclap headache, the lack of identifiable risk factors, and the absence of vasculopathy on MRA, reversible cerebral vasoconstriction syndrome was ruled out. Electrocardiography, echocardiography, and carotid ultrasonography had unremarkable results. Routine laboratory examinations and detailed investigations for hypercoagulability and vasculitis had normal results. We considered focal atonic seizures as a potential differential diagnosis but deemed this less likely based on the prolonged duration of episodes (lasting >5 minutes) and lack of alteration of awareness or postictal drowsiness or confusion, together with normal results of repeated EEGs and lack of response to antiepileptic medication.
Case Resolution
Subcutaneous low-molecular-weight heparin was started for the presumed diagnosis of CVT, and the TIA-like episodes ceased after 48 hours of therapy. BD was discharged with oral anticoagulation.
Discussion
TIAs—brief episodes of neurologic dysfunction resulting from focal cerebral ischemia that are not associated with permanent cerebral infarction—are generally caused by cerebral ischemia of arterial origin.3 In individuals with corresponding neurologic deficits, the most likely mechanism is thromboembolism. It is crucial to perform vascular imaging promptly to identify the source of the problem. However, in our case, multiple transient neurologic episodes per day occurred over 10 days without an established focal deficit, which does not align with the typical presentation of classic TIAs. Furthermore, the results of cerebral and cervical MRA scans did not reveal any specific focus for thromboembolism. Detailed cardiac evaluation was also performed to rule out cardioembolism as a potential cause.
The differential diagnosis of TIAs includes various conditions such as syncope, migraine, partial seizures, hypoglycemia, and labyrinthine disorders.4 Although rarely reported in the literature,5 focal atonic seizures should be considered and ruled out with appropriate investigations when an individual presents with focal neurologic deficits, as in our case.
Transient focal neurologic deficits associated with CVT have been reported rarely in the literature.6-21 To our knowledge, there have been only 17 cases reported to date, which are compiled in the Table. Of these previously reported cases, 70.59% (n=12) were in men and 29.41% (n=5) were in women. Concomitant headache was absent in 17.64% of individuals (n=3), all of whom were male. Based on these findings, atypical presentations seem to be more common in men vs women with CVT. However, this conclusion cannot be generalized because of the limited number of reported cases. Superior sagittal sinus was noted to be the most common sinus involved in 76.47% of cases (n=13), and none of the individuals had parenchymal lesions.

Chang et al7 reported a case in which the individual experienced alternating attacks of hemiparesis on the left and right sides lasting 5 to 10 minutes caused by occlusion of the superior sagittal sinus. The individual remained conscious without seizures during these episodes. Sharma et al11 described a case of CVT associated with transient right hemiparesis and SAH in the left frontoparietal and right frontal cortical sulci on imaging. Similarly, Morris et al12 reported recurrent episodes of left arm weakness associated with cortical vein thrombosis, mimicking focal SAH in the right precentral gyrus. BD’s clinical presentation and imaging showing associated cortical SAH is similar to the cases described previously. Egashira et al20 reported a complex case of cerebral venous sinus thrombosis in which the individual experienced TIAs after recovering from COVID-19, along with Graves disease and immunoglobulin G4–related ophthalmic disease. In all of these cases, the TIA-like episodes resolved with anticoagulation treatment.
Individuals with CVT may experience focal neurologic deficits or seizures due to edema, hemorrhage, or venous infarction within the brain parenchyma. In our case, brain MRI did not show any obvious abnormalities in the brain parenchyma. However, the presence of cortical SAH in the right central sulcus could account for the transient left-sided sensorimotor focal neurologic deficits. The mechanism of TIA-like episodes in individuals with CVT is a topic of debate. Some previous studies have suggested that theories such as cortical spreading depression or reduced regional cerebral perfusion could explain the occurrence of TIA-like episodes in individuals with cortical venous thrombosis.7,21
Several disorders can cause or predispose individuals to CVT. These disorders include genetic and acquired prothrombotic disorders, cancer, hematologic disease, vasculitis and other inflammatory systemic disorders, infections, and several local causes such as brain tumors, arteriovenous malformations, head trauma, central nervous system infections, and infections of the ear, sinus, mouth, face, or neck. After conducting a thorough clinical and investigative evaluation, we ruled out all these pathogeneses in BD. Binge alcohol consumption may have contributed indirectly to the development of CVT in BD; alcohol use, especially heavy use, may contribute to CVT by creating a state of dehydration and hyperviscosity and increasing platelet reactivity.
Conclusion
This case emphasizes the importance of promptly identifying and treating unusual manifestations of CVT, which can mimic various conditions and potentially delay diagnosis. We recommend considering CVT in individuals experiencing TIA-like episodes and headaches, particularly when the common causes of TIA have been ruled out.
Ready to Claim Your Credits?
You have attempts to pass this post-test. Take your time and review carefully before submitting.
Good luck!
Recommended
- Imaging & Testing
Neuroimaging: Clinical Impact of Imaging Findings
Laszlo Mechtler, MD, FAAN, FEAN, FASN, FAHSLaszlo Mechtler, MD, FAAN, FEAN, FASN, FAHS






