Reversible Cortical Blindness Secondary to Acute Carbon Monoxide Poisoning
Cortical blindness refers to vision loss resulting from damage to the postgeniculate visual pathway. Individuals with cortical blindness present with bilateral vision loss despite otherwise normal ophthalmologic examination results.1 Common causes of cortical blindness in adults include bi-occipital stroke,2 neurodegenerative processes, head trauma, and occipital lobe epilepsy. Although rare, carbon monoxide (CO) poisoning has been recognized as a cause of subacute to chronic cortical blindness, with a poor prognosis.3-13 We present a case of acute cortical blindness in the setting of CO poisoning that reversed with hyperbaric oxygen therapy (HBOT).
Case Presentation
CS, aged late 20s, who worked as a plumber, was brought to the emergency department by emergency medical services after being found unconscious inside a leaking boiler tank, where CS had been for an unknown amount of time. The CO level at the scene was 125 ppm (normal <5 ppm). Upon regaining consciousness, CS reported an inability to see, and could not recall what had happened. Before this presentation, CS had no concerns related to vision or memory loss. CS had a medical history of sickle cell trait, no neurologic or ocular history, and reported smoking on average 4 packs of cigarettes each day. The neurologic examination in the emergency department was most notable for short-term memory loss, as well as disorientation to time, place, and situation.
Diagnostic Studies
Pertinent laboratory results on presentation included a carboxyhemoglobin level of 47.1% (normal <2%), lactate level of 16.6 mmol/L (normal <2 mmol/L), blood pH of 7.29, partial pressure of carbon dioxide (pCO2) of 34 mm Hg, and partial pressure of oxygen (pO2) <16 mm Hg. CT scan of the head without intravenous contrast demonstrated a small right frontal scalp contusion, with no intracranial hemorrhage.
The ophthalmology department was consulted because of the vision loss. The pupils were equal, round, and reactive to light, without afferent pupillary defect. Visual acuity was classified as “hand motion” in both eyes, precluding color vision testing. Visual fields were constricted by confrontational testing, including an absent blink-to-threat reflex in both eyes. Intraocular pressures by tonometry were 15 and 17 mm Hg in the right and left eye, respectively, and extraocular movements were full by passive observation. Slit-lamp examination revealed a normal anterior chamber, including no evidence of keratopathy. Dilated funduscopy results were also unremarkable in both eyes; there was no vitreous disease, optic discs were healthy-appearing without edema, there was no macula edema, and retinal vasculature was normal.
MRI of the brain with and without intravenous contrast with thin cuts through the orbits was recommended at this time, but deferred in favor of immediate treatment with HBOT given compelling evidence for acute CO poisoning in the context of occupational exposure, blood carboxyhemoglobin values, and clinical examination. CS underwent 1 session of HBOT lasting 150 minutes at 3 atm.
Case Resolution
On re-evaluation the following morning, CS was fully oriented, with intact neurologic and ophthalmologic status, including visual acuity of 20/20 in both eyes, full color vision as indicated on the Ishihara test, and normal slit-lamp and dilated funduscopic examination results. CS was discharged with a neuro-ophthalmology appointment and MRI scheduled during the upcoming few days.
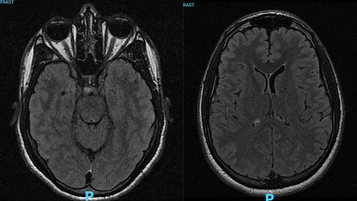
At the time of follow-up 5 days after the CO exposure, neurologic and ophthalmologic examination results remained normal, and no interval difficulties with memory or vision were reported. MRI scans of the brain and orbits showed no areas of diffusion restriction or abnormal T2 signal change (Figure). A 2 mm hypoenhancing sellar mass was discovered incidentally on the brain MRI scan. Imaging of the orbits demonstrated that the optic nerves were normal in size and signal intensity.

Six months later, CS was seen for follow-up in the neuro-ophthalmology clinic. CS reported no vision changes during the interim time, and ophthalmologic and neurologic examination results were normal.
Discussion
Acute CO poisoning is associated with profound systemic and neurologic symptoms, including confusion, seizures, arrhythmias, and the pathognomonic cherry-red skin discoloration.14 Whereas these findings are well-described in the literature, little is known of the neuro-ophthalmologic manifestations of acute CO poisoning. As such, these findings may be overlooked in affected individuals. Cortical blindness secondary to acute CO poisoning is an exceptionally rare presentation, only described in several case reports to date.15-17 Of those case reports, none depicts another case in which HBOT was used in the acute setting to reverse vision loss with no remaining visual deficit. We hypothesize that the complete recovery was due to the relative speed with which CS was rescued from the scene of the CO poisoning and prompt HBOT treatment.
The pathophysiology of acute CO poisoning lies in its higher binding affinity for hemoglobin compared with oxygen, resulting in decreased oxygen delivery to tissues and consequent hypoxia.14 Its long-term neurologic sequelae are due to carboxyhemoglobin-mediated oxidative stress, which ultimately results in neuronal apoptosis.18 Within the eye, hypoxia of the optic nerve may lead to axonal stasis, which may manifest as a swollen or hyperemic optic disc.19 Optic disc pallor is a later manifestation of ganglion cell neuronal loss secondary to the insult. Hypoxic insult along the visual cortex may result in cytotoxic edema in the acute setting that may then be replaced by cortical atrophy as the affected neurons die off.20
Delayed intervention to treatment may exacerbate ischemic damage. In our case, the clinical team prioritized prompt initiation of HBOT over additional diagnostic imaging or work-up prior to treatment to minimize time to therapy. Additional testing (eg, MRI) was reserved for after hyperbaric treatment. As such, the clinical team demonstrated a strategic prioritization of therapeutic urgency.
During HBOT, the patient is secured inside a pressurized chamber of 100% oxygen, precipitating hyperoxia and reducing the half-life of CO dissociation from hemoglobin from about 4 to 6 hours to 23 minutes (at 3 atm).21 The mechanism of action of HBOT in CO poisoning is 2-fold: (1) the decreased half-life of the CO–hemoglobin complex restores tissue oxygenation and (2) HBOT prevents neuronal apoptosis by inhibiting the immunologic cascade that is triggered by CO-mediated oxidative stress.22 Given that this protective effect is time-dependent,18 knowledge of cortical blindness as an acute manifestation of CO poisoning is crucial in order to prevent long-term irreversible vision loss in the event of CO poisoning.
Furthermore, recent data suggest that baseline carboxyhemoglobin levels are higher among smokers, thus positioning smokers to be particularly vulnerable to the sequelae of CO poisoning.23,24 Therefore, in the clinical assessment of decreased visual acuity, a comprehensive history—of both the presenting symptoms and social factors (eg, smoking history, work environment)—is essential.
Conclusion
Cortical blindness is a rare complication of CO poisoning, which may be reversible with prompt initiation of HBOT. Clinicians should maintain a high index of suspicion for this diagnosis in patients presenting with visual disturbances after exposure to CO, as prompt intervention can lead to favorable outcomes and prevent long-term sequelae.
Ready to Claim Your Credits?
You have attempts to pass this post-test. Take your time and review carefully before submitting.
Good luck!
Recommended
- Imaging & Testing
Practical MRI in Neurology: Use Cases, Technologies, and Opportunities for Outpatient Clinics
Joseph Fritz, PhD; Edmond A. Knopp, MD, DABR, FASFNRJoseph Fritz, PhD; Edmond A. Knopp, MD, DABR, FASFNR - Alzheimer Disease & Dementias
Special Report: 2025 Neurology FDA Drug & Device Approvals & Clearances
- Neuromuscular
Pediatric Neuromuscular Disorders Encountered in the Adult Neurology Clinic
Leslie Hayes, MDLeslie Hayes, MD






