Sphenoid Wing Meningioma Presenting With a Temporal Fossa Mass
Sphenoid wing meningiomas, which account for approximately 15% to 20% of meningiomas, are the most common tumors of the sphenoid wing. However, dural-based meningiomas that extend extracranially, in particular into the temporal and infratemporal fossa, are rare, seen in only 2% of people with meningiomas. We present 2 individuals with sphenoid wing meningiomas with extracranial extension with the single presenting symptom of a temporal fossa mass.
The first report discusses the case of LV, a patient in their 70s, who presented with a right temporal mass. LV was diagnosed with a dural-based extra-axial mass consistent with an anterior temporal sphenoid wing meningioma, and underwent a craniotomy for tumor resection and radiotherapy. After 4 years of serial MRIs, there is no evidence of meningioma recurrence. The second report discusses the case of SA, a patient in their 60s, who presented with a slow-growing temporal mass. SA underwent a craniotomy with complete resection of the sphenoid wing meningioma. These individuals not only exhibited the unique presentation of an extracranial mass, but also denied any focal neurologic deficits or visual changes, indicating that the temporal mass was the only symptom. These cases emphasize the importance of proper evaluation of extracranial masses because of the possibility of a primary intracranial etiology.
Clinical Presentation: LV
LV presented with a painless lump on the right temporal region. LV had a history of asbestosis, benign prostatic hypertrophy, diverticular disease, hypertension, a lung nodule, and pleural thickening. LV denied any neurologic symptoms.
Diagnostic Process
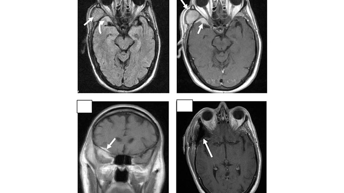
Once the palpable mass was identified, an MRI brain and CT head were performed. The MRI demonstrated a dural-based enhancing mass. The mass had intraosseous involvement, extended into the right temporal masticator space, and showed enhancing soft tissue within the right middle cranial fossa, likely secondary to a sphenoid wing meningioma. The CT redemonstrated an enhancing soft tissue mass in the right temporal region measuring approximately 3.5 x 2 cm and extending inferiorly along the right temporalis muscle into the right masticator space. There was a thin band of extra-axial soft tissue enhancement within the right middle cranial fossa, likely secondary to the meningioma. Hyperostotic bone changes were confirmed by the CT (Figure 1).

Case Resolution
LV underwent a right frontotemporal craniotomy to remove the newly diagnosed right sphenoid wing lesion. The pathology report of the lesion showed an atypical meningioma, World Health Organization (WHO) grade II. LV underwent a course of adjuvant radiation therapy, and had annual brain MRI over the next 4 years, which showed stable postsurgical changes in the right middle cranial fossa without evidence of meningioma recurrence.
Clinical Presentation: SA
SA presented with several years of a slow-growing right temporal fossa mass. SA denied any pain, vision changes, or focal neurologic deficits.
Diagnostic Process
SA underwent both CT head and MRI brain, which demonstrated a dural-based enhancing meningioma compressing the anterior temporal lobe that extended into the lateral orbit with attachments to the optic nerve, as well as intraosseous involvement and extension extracranially into the temporal fossa and along the posterior sphenoid wing (Figure 2). Several weeks after the initial diagnosis, SA underwent a craniotomy with complete resection of the meningioma. During the procedure, pathology was collected from the bone and soft tissue mass in the right extracranial temporal bone, the right frontal temporal dura, and the tumor-infiltrated temporal bone.

Case Resolution
The pathology report described the cells as having eosinophilic cytoplasm, ovoid nuclei, and scattered psammoma bodies. These findings were consistent with a WHO grade I meningioma. After the meningioma had been removed, the orbit was not patched, resulting in a postsurgical side effect of pulsating enophthalmos. SA has had no recurrence of the meningioma.
Discussion
Neoplastic processes involving the temporal fossa may originate from the tissues in the region, but more often are the result of extension from neighboring structures. Because of the concealed localization, tumors can remain unnoticed for some time in this area. Clinical signs and symptoms often arise late and may be mistakenly attributed to other structures. Sphenoid wing meningiomas account for approximately 15% to 20% of intracranial meningiomas, and are the most common tumors of the sphenoid wing. The classic presentation of a sphenoid wing meningioma is proptosis (86%), which may be painless; visual impairment (78%); and ocular paresis (20%). Headache and ptosis also are common manifestations. An additional but rare finding that can lead to the identification of these meningiomas is slowly growing scalp masses.1
Extracranial extension of meningiomas into the temporal and infratemporal fossa is uncommon, occurring in up to 2% of meningiomas. These tumors pose substantial diagnostic challenges owing to the presence of both intradural and extracranial components. Hoye et al2 presented 3 different mechanisms of extracranial expansion, including direct extracranial extension of a primary tumor through foramina or sutures, extracranial growth from arachnoid cells within sheaths of cranial nerves, and extracranial growth from embryonic remnants of arachnoid without foraminal or cranial nerve communication.
Sphenoid wing meningiomas typically are classified into either globoid or en plaque subtypes based on their pattern of growth. The globoid subtype has been classified based on the anatomic location on the lesser sphenoid wing (eg, medial, middle, lateral). En plaque meningiomas are rare and mostly occur in the sphenoid wing. Sphenoid wing meningiomas can spread secondarily into the orbit, at which point they are classified as spheno-orbital meningiomas.3
Histologic factors that increase tumor grade include a high number of mitotic figures and the extent of local invasion. Histopathologic characteristics of the meningiomas play an important role in the recurrence of these tumors.4 One study, a single series of 1,799 meningiomas from 1,582 individuals followed for an average of 13 years, showed that the recurrence rate was 7% for WHO grade I tumors, 35% for WHO grade II tumors, and 72.7% for WHO grade III tumors.5 The incidence of recurrence in sphenoid wing meningiomas ranges from 3% to 32% in different series. Studies suggest that the extent of resection of the meningioma plays a critical role in the rate of recurrence. A study conducted by Maier et al6 demonstrated that 7 of 15 individuals (46.7%) with incomplete removal had recurrence, compared with 3 of 38 individuals (7.9%) with total resection.
Imaging is an important component in the diagnosis of sphenoid wing meningiomas. Meningiomas are enhancing, extra-axial tumors, often with a broad dural base and adjacent hyperostosis. On CT imaging, meningiomas commonly are isodense to the normal brain parenchyma. MRI typically demonstrates a tumor that is isointense to gray matter on T1- and T2-weighted images, with substantial contrast enhancement. Intradural and extradural components share similar radiologic characteristics. MRI can help reveal the extent of intracranial and extracranial extension.7
Various treatment options are available for the management of sphenoid wing meningiomas; management often depends on the location and size of the tumor. Treatment options include surgical removal, radiotherapy, chemotherapy, and postoperative radiotherapy.8 Surgical resection is the mainstay of treatment. However, complete resection of both the extradural and intradural components can be challenging, depending on the tumor size and the extent of delineated margins. The relatively slow growth and encapsulated nature of meningiomas makes these tumors good candidates for radiosurgery. Often it is difficult to resect these tumors completely without substantial risk of damaging blood vessels or cranial nerves. If surgery is performed and the entire tumor cannot be removed, external beam radiation can help delay or prevent recurrence of the tumor. Although treatment of sphenoid wing meningiomas is important, one study suggested that even without surgery, survival rates range from 5 to more than 20 years, although most of the participants had unilateral blindness as well as paresis of extraocular movements.9
Masses that present in the temporal fossa can be challenging to diagnose, and the causes of adult-onset skull enlargement vary. Some differential diagnoses that could present with skull enlargement include skull metastases, primary dural lymphoma that extends through the skull, chondrosarcoma, and Paget disease. Skull and scalp-based metastases can occur in various forms of cancer. Only about 1% to 2% of all scalp tumors are malignant, and they account for up to 13% of all malignant skin tumors. Cutaneous metastasis to the head and neck region typically originates from internal organ malignancies, such as breast cancer, hepatocellular carcinoma, lymphoid cancer, or lung cancer.10 Primary dural lymphoma refers to a lymphoma with epidural or subdural involvement and is a rare subtype of primary central nervous system lymphoma. These tumors can have skull and scalp involvement, and can present with a scalp mass, similar to the masses in the presented case reports.11 Chondrosarcoma accounts for 10% to 20% of all malignant bone tumors, and of these, roughly 12% originate in the head and neck region. This form of cancer can present with a large mass on the affected bone, and can also present with a large skull mass.12 Paget disease can affect the body’s ability to replace old bone tissue with healthy new bone. This can lead to an overgrowth of bone in the skull and can result in focal neurologic deficits. This overgrowth of bone also can cause the skull to develop an irregular shape and could be confused with tumors that originate from or extend into the skull and scalp.13 Although not possible in adults because of the fusion of suture lines, hydrocephalus can result in skull enlargement in children, and create irregularities in skull shape.
Conclusion
Dural-based meningioma with intraosseous involvement and extension into the temporal and infratemporal fossa is a rare occurrence, seen in only 2% of individuals with meningiomas. The individuals discussed in this case are unique in that their sole presenting symptom was an extracranial mass. These cases demonstrate the possibility that these masses can be primarily intracranial with extracranial extension, and emphasize the importance of evaluating extracranial masses despite the absence of visual or neurologic deficits.
Acknowledgement
The authors would like to acknowledge Don Koenigsberg, DO for assistance with data collection.
Ready to Claim Your Credits?
You have attempts to pass this post-test. Take your time and review carefully before submitting.
Good luck!
Recommended
- Imaging & Testing
MRI Clues to Intracranial Infection: Differentiating Bacterial, Viral, Fungal, and Parasitic CNS Disease
Márk Kozák, MD; Máté Sik, MDMárk Kozák, MD; Máté Sik, MD - Imaging & Testing
Practical MRI in Neurology: Use Cases, Technologies, and Opportunities for Outpatient Clinics
Joseph Fritz, PhD; Edmond A. Knopp, MD, DABR, FASFNRJoseph Fritz, PhD; Edmond A. Knopp, MD, DABR, FASFNR - Imaging & Testing
Artificial Intelligence in Clinical Neurology: Opportunities, Limitations, and the Path Forward
Aysha Jadran, MD; Saqib A. Chaudhry, MDAysha Jadran, MD; Saqib A. Chaudhry, MD






