Focal Status Epilepticus 9 Years After Brain Abscess
Background
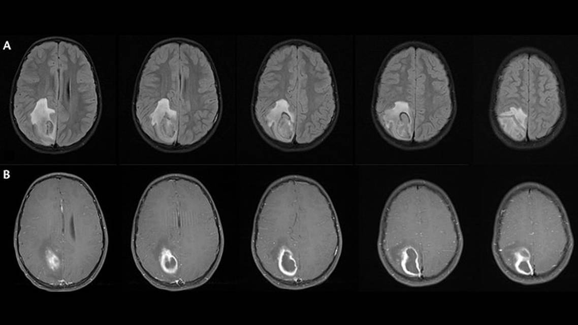
We present a case of localization-related focal epilepsy in an adolescent with a history of brain abscess resection. Prior studies have reported the incidence of epilepsy after brain abscess as 18.5% to 35.2%. Most persons with brain abscesses have acute symptomatic seizures at time of diagnosis.1

In a retrospective study of 205 individuals followed after brain abscess for 22 years, 17% had acute symptomatic seizures, 6.4% had delayed seizures, and none developed seizure more than 3 years after bacterial brain abscess.2 The case presented here is atypical in that 9 years elapsed between brain abscess and the first seizure. Considering the prolonged time lapse, we hypothesized Mr B had an area of gliosis from his prior brain abscess that was somehow irritated after a fall. Alternatively, he may have had a first focal seizure with paresthesia causing the fall while skiing, and never suffered a head injury.
Diagnosis
Paresthesia is a very common semiology for seizures originating from the parietal lobe. In a large review of 46 people with lesional symptomatic parietal lobe epilepsy, 72.2% reported tingling or numbness of the extremities.3 Parietal lobe seizures should be included in the differential diagnosis of a person with recurrent, intermittent, and stereotyped tingling or numbness involving on side of the body. It is also important to recognize the limitations of scalp EEG. In this case many of the focal sensory seizures appeared only as fast activity, which may be not have been recognized as a seizure had we not also captured more definitive seizures originating from the same location.


Treatment
Initial treatment with first-line antiseizure medications (ASMs) was not effective, requiring escalation to less-frequently used ASMs. Multiple studies have found fosphenytoin to be as effective as levetiracetam and valproic acid in treating status epilepticus.4-6 In this case, after lack of response to lorazepam, levetiracetam, valproic acid, and lacosamide, fosphenytoin was used, with a subsequent decrease in seizures. Fosphenytoin, however, was started at the same time as the methylprednisolone, so it is difficult to say with certainty which agent was most effective.

Although not a first-line medication, corticosteroids have been evaluated as a possible treatment for many types of epilepsies.7 A methylprednisolone pulse dose was effective in decreasing seizure frequency and epileptic discharges in 11 children with epileptic encephalopathy, even after steroid course was complete.8 A monthly pulse dose of methylprednisolone for 3 months was also found to be effective in decreasing seizure frequency by more than 50% in 12 of 14 people with drug-resistant epilepsy in a small case series from Mexico.9 Other smaller case reports have described success using steroids as an abortive for refractory seizures or status epilepticus.10 There are many theories regarding mechanism of action of steroids in aborting seizures, including: 1) γ-aminobutyric acid (GABA) receptor-mediated anticonvulsant effects; 2) systemic effects via the hypothalamic-pituitary-adrenal axis suppressing corticotropin-releasing hormone to decrease neuronal excitability; 3) effects on enzyme function; 4) modification of electrolyte concentrations, reducing cerebral water content; and 5) immunomodulatory or anti-inflammatory effects.8-10 In Mr B’s case, we were suspicious for focal inflammation secondary to the skiing fall possibly triggering seizures, and thus, trialed methylprednisolone with good effect.
Summary
Seizures are a common sequela of brain abscess, and although most are acute and symptomatic, some progress to epilepsy. Typically, when epilepsy develops, it presents within the first 3 years after brain abscess. We present a unique case of late-onset, lesional epilepsy localizing to a prior brain abscess resection site. The seizures started in setting of a fall and were possibly triggered by inflammation secondary to mild head trauma. After no response to typical ASMs, seizure control was achieved with methylprednisolone and fosphenytoin.
Ready to Claim Your Credits?
You have attempts to pass this post-test. Take your time and review carefully before submitting.
Good luck!
Recommended
- Epilepsy & Seizures
Immunotherapy for Management of Refractory and Super-Refractory Status Epilepticus
Eugenia Ho, MD; Mackenzie Silverman, MDEugenia Ho, MD; Mackenzie Silverman, MD - Imaging & Testing
Practical MRI in Neurology: Use Cases, Technologies, and Opportunities for Outpatient Clinics
Joseph Fritz, PhD; Edmond A. Knopp, MD, DABR, FASFNRJoseph Fritz, PhD; Edmond A. Knopp, MD, DABR, FASFNR - Imaging & Testing
Artificial Intelligence in Clinical Neurology: Opportunities, Limitations, and the Path Forward
Aysha Jadran, MD; Saqib A. Chaudhry, MDAysha Jadran, MD; Saqib A. Chaudhry, MD









