Autoimmune-Associated Epilepsy
Background
NORSE is defined as refractory status epilepticus without a clear structural, toxic, or metabolic cause in a person who has no active epilepsy diagnosis.1 Autoimmune encephalitis due to paraneoplastic or direct autoimmunity against a neuronal antigen accounts for most identified cases of NORSE.2 In persons with cryptogenic NORSE, once infectious causes are ruled out, early immunotherapy is recommended until a causative autoantibody is found. The possibility of an autoimmune mechanism for NORSE, autoimmune-associated epilepsy (AAE), or ASSAE can be established with the modified Antibody Prevalence in Epilepsy and Encephalopathy (APE2) score, a 10-item index with high sensitivity and specificity for AAE.3

Diagnosis
Seropositivity for neuronal autoantibodies is highly specific for autoimmune encephalitis in the proper clinical context. Clinical presentation of ASSAE and AAE varies with antibody type, although there is significant overlap. Therefore, panel testing rather than single-antibody testing may improve the odds of autoantibody detection, and both serum and CSF should be collected.4 Titers have not been shown to correlate with clinical endpoints and are not a useful measure to assess responsiveness to treatment.4 In general, antibodies to neuronal cell-surface antigens are more likely to cause ASSAE, which is responsive to immunotherapy and may require only a limited course of ASM. In contrast, AAE related to autoantibodies to intracellular neuronal antigens responds poorly to immunotherapy and often requires long-term ASM polytherapy.5

A diagnosis of NORSE, AASAE, or AAE necessitates a neoplastic workup, especially if antibodies known to be associated with specific tumors are present. The primary tumor type, such as in our case, may help differentiate the autoantibody causing AAE. Mr R’s known history of primary testicular seminoma in the case presented favors an antiMa2-mediated NORSE because of the close association between Ma1/2 encephalitis and primary testicular tumors.6 Indeed, antiMa2 encephalitis is associated with chronic cognitive dysfunction leading to limbic encephalitis and, consistent with Ma2 being an intracellular antigen, is not generally responsive to immunotherapy.6
Treatment
Figure 4 details our clinical management approach for AAE at Mayo Clinic in Jacksonville, FL.4 Observational studies suggest early immunotherapy can shorten the time to seizure cessation and improve long-term outcomes in autoimmune encephalitis, including cognition.7 Although immunotherapy is likely more effective in cases related to autoantibodies to neuronal cell-surface antigens,8 Mr R, who had autoantibodies to intracellular antigens, did initially improve clinically and radiographically with aggressive immunotherapy. Unfortunately, he later had multiple relapses of limbic encephalitis, manifesting with frequent breakthrough seizures despite ASM polytherapy and immunotherapy. The optimal type and duration of immunotherapy for NORSE and AAE are not well established, and the role of chronic immunosuppression is still unclear. Surgery may be considered for drug-resistant AAE. Surgical outcomes, however, are much worse than in drug-resistant epilepsy from other causes.9 Neuromodulation therapy has also been shown to have some role recently.10


Summary
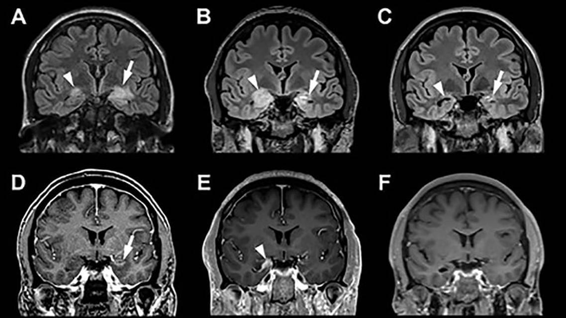
We present the case of Mr R who had a past medical history of testicular seminoma and presented with NORSE. He was treated with a 5-day pulse of IV methylprednisolone and discharged after clinical improvement of his seizures. Over the next 3 months, he developed worsening anterograde amnesia and a repeat brain MRI demonstrated worsening of T2 signal abnormality in the bilateral hippocampi. Retreatment with PLEX and IV methylprednisolone commenced, after which Mr R was discharged with maintenance oral steroid and mycophenolate treatment. He again improved, and steroids were tapered, but seizures returned and became refractory to multiple ASMs and immunotherapy. Mr R’s cognitive prodrome, history of testicular tumor, drug-resistant seizures, and antiMa2 seropositivity best fit the diagnosis of antiMa2-mediated AAE.
Autoimmune encephalitis is the most common cause of noncryptogenic NORSE and AAE. When an autoimmune cause for NORSE or AAE is suspected, comprehensive evaluation, including sending out serum and CSF for testing with a neuronal autoantibody panel, is crucial in the early detection of this condition. Early treatment with immunotherapy can drastically alter the course when an autoimmune etiology is suspected (APE2 score) or the presence of neuronal antibodies is shown. First-line immune therapies include IV steroids, IVIG, or PLEX. In case of insufficient response, mycophenolate, cyclophosphamide, or rituximab can be considered appropriate second-line treatments. Treatment also includes adjunct ASM therapy and resection of any identified tumors. Most cases of NORSE or AAE remain refractory to multiple ASMs and immunotherapy, as in the case of Mr R.
Ready to Claim Your Credits?
You have attempts to pass this post-test. Take your time and review carefully before submitting.
Good luck!
Recommended
- Epilepsy & SeizuresEpilepsy Essentials: Practical Uses of EEG in the Operating Room Brin E. Freund, MD; William O. Tatum, DOBrin E. Freund, MD; William O. Tatum, DO
- Epilepsy & SeizuresAn Unusual Case of Adult-Onset Rapidly Progressive Leukoencephalopathy Associated With POLR3B-Related Sequence Variation Adriana Grau Chaves, MD; Buse Sengul, MDAdriana Grau Chaves, MD; Buse Sengul, MD
- Epilepsy & SeizuresVagus Nerve Stimulation: Effects Beyond the Nervous System Stavros Zanos, MD, PhDStavros Zanos, MD, PhD









