Rapidly Progressive Dementia Caused by Neoplastic Meningitis Attributable to Melanoma
Neoplastic meningitis (NM) is a rare manifestation of advanced cancers, occurring in about 5% of all solid cancers, with a higher percentage of occult NM found on postmortem examination.1,2 The most common solid tumors leading to NM are breast cancer, lung cancer, gastrointestinal cancers, and melanoma.3,4 Neoplasia causing rapidly progressive dementia (RPD) is rare, accounting for about 2% of all cases of RPD, with prion diseases and neurodegenerative disorders being the most common causes.5 RPD as the initial presentation of NM is rare, and can be mistaken for Creutzfeldt-Jakob disease.6,7 We present a case of NM, manifesting as RPD, caused by recurrent metastatic melanoma.
Case Presentation
AE, age late 60s, was brought to the hospital because the family noticed changes in behavior, personality, and affect over the past 3 months. There is no history of dementia in the family. AE had idiopathic thoracic transverse myelitis 3 years before presentation, and AE recovered well without residual deficits. Approximately 34 years before the current presentation, AE had been diagnosed with cutaneous melanoma, subsequently developing hepatic metastasis, which was treated with liver lobectomy and interferon therapy, with a complete resolution of the melanoma. Preceding this presentation, AE was independent, and a frequent hiker.
Along with the cognitive symptoms, AE also had vertigo, nausea, vomiting, bilateral hearing loss, weight loss, and intermittent headaches. AE was thought to have a posterior circulation stroke, area postrema syndrome, or encephalitis by the first evaluating neurology team.
Diagnostic Studies
Serologic analysis for antibodies against myelin oligodendrocyte glycoprotein and aquaporin-4 yielded negative results. EEG results revealed diffuse encephalopathy. Cerebrospinal fluid (CSF) testing was not pursued. Brain MRI with and without contrast; MRI of the cervical spine; CT of the chest, abdomen, and pelvis; and CT angiography of the head and neck failed to reveal any abnormalities.
After this evaluation, AE was discharged to a nursing facility with a diagnosis of encephalopathy attributable to urinary tract infection, supported by abnormal urinalysis findings; however, minimal improvement occurred.
In the nursing home, AE was noted to have aphasia. AE later developed agitation with aggressive behaviors, necessitating admission to the neurology department of our institution. Vital signs were normal. Nonverbal pain behavior suggestive of intermittent headaches was indicated by holding the hands over the head and appearing in distress. A comprehensive cognitive assessment revealed notable deficits in recent and remote memory, exemplified by an inability to recall personal identity and recent events, as well as challenges in recognizing familial relationships. Language deficits, primarily characterized by anomia and comprehension impairments, were evident. Executive function and social cognition were affected, as evidenced by an inability to perform self-care, along with socially inappropriate behaviors. The Montreal Cognitive Assessment yielded a score of 6 out of 30.
Initially alert, AE subsequently developed abulia, and later manifested disruptions in sleep cycles. By the culmination of the 13-day hospital admission, AE was difficult to arouse. Cranial nerve (CN) examination results were unremarkable, apart from difficulty hearing bilaterally. Motor examination revealed normal bulk and paratonia, with full strength, but with brisk reflexes in upper and lower extremities, with abnormal plantar reflex and Hoffmann sign bilaterally. Sensory assessment was challenging because of the altered mental status, although profound deficits were not discernible. An unsteady gait was noted, but a comprehensive examination was not performed because of vertigo.
Routine hematologic and biochemical analysis revealed normal findings, except for mild hyponatremia. Thyroid hormones and vitamin B12 levels were within the normal range, and screening for human immunodeficiency virus (HIV) infection and syphilis yielded negative results. CSF examination demonstrated xanthochromia, 19 white blood cells (without clear predominance but with 31% unclassified cells), a total protein concentration of 432 mg/dL, and glucose levels below 10 mg/dL. Microbial panel, including herpes simplex virus and cryptococcus, and paraneoplastic panel had negative results. The 14-3-3 protein assay was positive; the real-time quaking-induced conversion test was negative. CSF tau protein was 589 pg/mL. Given the absence of notable findings in 2 previous MRI brain scans, fluorodeoxyglucose- (FDG-)positron emission tomography (PET)/CT of the brain was performed, revealing decreased metabolism in the bilateral frontal lobes and temporoparietal regions. This was followed by body FDG-PET/CT, which was unrevealing.
Case Resolution
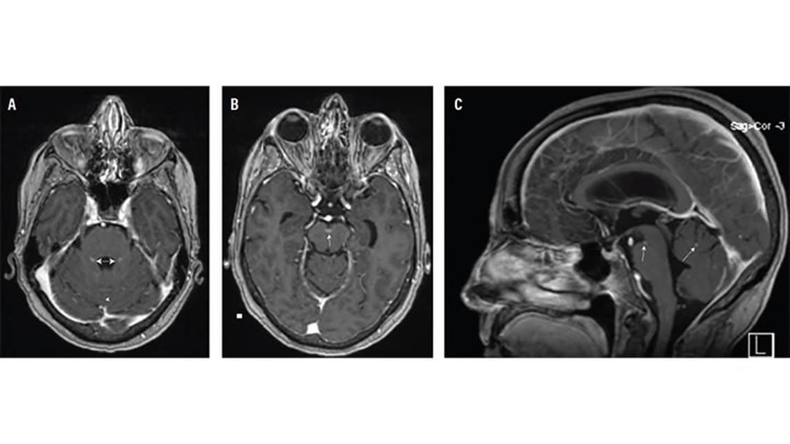
Repeat brain MRI with and without contrast in the last days of admission showed multiple foci of enhancement in the interpeduncular cistern and the cerebellum (Figure 1). Cytology results from the CSF came back with cells consistent with metastatic melanoma (Figure 2). Dermatology evaluation was pursued, leading to the biopsy of 2 cutaneous lesions, both of which were determined to be benign.


The family made the decision to transition AE to comfort care, and AE died within a few days after discharge to home hospice.
Discussion
This is a unique case of a NM from metastatic melanoma of unknown primary site, without cutaneous manifestations, recurring after a remission period exceeding 30 years and manifesting as RPD. Among people with NM, metastatic melanoma has been reported as the etiology in around 10% of cases.8 Neoplastic causes of RPD have been described with lymphoma, adenocarcinoma, and gastrointestinal cancers, but not melanoma.9-12
AE manifested characteristic symptoms indicative of NM, which include headaches, nausea, and vomiting, presumably from increased intracranial pressure. The observed decline in alertness during the final days in the hospital, in the context of NM, has been documented in the literature. Some authors attribute this phenomenon to tumor cells competing for metabolites leading to neuronal deprivation of nutrients and hypoglycorrhachia.13 CN can be infiltrated by tumor cells in the subarachnoid space, which presents commonly as diplopia (CN III, IV, or VI involvement) or facial weakness (CN VII involvement).14 NM causing hearing loss and vertigo, as in AE, is not common, occurring in fewer than 14% and 2% of cases, respectively.15
CSF analysis revealed nonspecific findings, such as elevated protein levels, pleocytosis, and an increased opening pressure. Normal results on CSF analysis are infrequent, observed in fewer than 5% of individuals.16 AE had CSF xanthochromia, potentially indicative of leptomeningeal hemorrhage, a finding that is commonly associated with melanoma.17 Although CSF cytology remains the diagnostic standard, achieving positivity necessitates multiple CSF samples. The initial tap demonstrates a sensitivity of approximately 60%, with successive taps incrementally enhancing sensitivity to around 80% on the second tap, and a marginal 2% increase in sensitivity on the third tap.16
Immunostaining of CSF cells is used for identifying the original tumor type, whereas CSF flow cytometry is used for detecting hematologic tumors. Promising techniques are being developed to increase the accuracy of CSF studies. One of these is CSF-derived cell-free DNA, a form of liquid biopsy that detects genetic alterations from the tumor in the CSF.18 MRI with contrast of the neuroaxis is an important diagnostic step, has a sensitivity of 70%, and is particularly prone to yielding positive results in the presence of CSF pleocytosis. AE initially had negative findings on MRI, a finding that is encountered in approximately one-fifth of cases.19 Serial MRI scans can assist with the diagnosis if initial imaging is negative.
NM carries a poorer prognosis compared with parenchymal metastasis, and survival is measured in weeks to a few months.20 There is no consensus on the management of NM from melanoma; the major modalities of treatment are radiotherapy, systemic therapy, and immunotherapy.21 A few small studies have reported improved survival with advanced therapeutics.22,23 Nevertheless, more research is needed to determine the efficacy of these modalities.
Ready to Claim Your Credits?
You have attempts to pass this post-test. Take your time and review carefully before submitting.
Good luck!
Recommended
- Imaging & Testing
Neuroimaging: Clinical Impact of Imaging Findings
Laszlo Mechtler, MD, FAAN, FEAN, FASN, FAHSLaszlo Mechtler, MD, FAAN, FEAN, FASN, FAHS - Alzheimer Disease & Dementias
Brain Health Navigators: Optimizing the Alzheimer Disease Care Pathway Through Boundary-Spanning Roles
Katherine J. Selzler, PhD; Ashley Hayden, MBA, HMKatherine J. Selzler, PhD; Ashley Hayden, MBA, HM - Alzheimer Disease & Dementias
Part I: Early Alzheimer Disease Detection with the DAC-SP Blueprint Program: Overview of a Scalable Health System Approach
Elyse Perweiler, RN, MPP; Tim MacLeod, PhDElyse Perweiler, RN, MPP; Tim MacLeod, PhD






