Dementia Innovations
Dementia diagnosis and overall management have often been elusive goals for neurologists. Although we have become better able to discern different dementia subtypes, the perception that we are still limited in terms of timely diagnostics and interventions is widespread.
In this issue of Practical Neurology, we focus on innovations in dementia care and practice. These innovations have been long in development and are just now mature to the point of being employed in clinical practice. Our arsenal, once limited, has hit its stride and offers many new, and yes—innovative—approaches to solve the dementia puzzle.
We begin with Drs. Babulal and Roe describing Naturalistic Driving Measures that can alert us to functional changes in preclinical and symptomatic dementia. Dr. Staffaroni and team then share Digital Cognitive Assessment for Dementias, detailing how neuropsychologic testing can be moved out of the sterile office setting and be deployed directly to patients. Both approaches allow patients to be assessed in their natural environment amid the challenges and distractions they encounter in their daily lives.
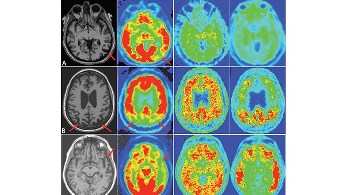
Next, Drs. Dickerson and Atri get to the heart of the matter in Molecular Imaging Biomarkers in Dementia, covering amyloid and tau positron emission tomography (PET). These PET scans specifically look for the proteins that malfunction in Alzheimer disease (AD) and related dementias. Amyloid imaging was approved by the Food and Drug Administration (FDA) in 2013, and tau imaging was FDA-approved earlier this year. Although these modalities remain primarily available in the research realm, plans to make them more clinically accessible in the near future are in development. In Quantitative Structural MRI for Neurocognitive Disorders, Drs. Raji, Meysami, and Mendez discuss the utility of volumetric imaging using easily accessible MRI technology to differentiate among the dementias we encounter in clinic. MRIs are already obtained as part of a routine dementia evaluation, and now the capability exists to gain additional detailed quantitative reports to better identify prodromal changes and track them longitudinally throughout the disease process.
In the AD space, CSF biomarkers have gained a foothold in our diagnostic evaluation algorithm. However, significant advances have been made in the development of Blood Tests for Alzheimer Disease and Dr. Zetterberg and colleagues describe blood amyloid and tau assays and their application in clinical trials and ultimately in clinical practice. To that end, C2N Diagnostics recently announced the clinical availability of their PrecivityAD test measuring amyloid ratios in blood. Then Dr. Rojas describes Neurofilament Light as a Dementia Biomarker—a new biomarker of neuronal injury. Although NfL is not specific for any particular type of dementia, increases in NfL levels provide valuable information about disease severity. In turn, decreases would be expected to reflect treatment response. These are important new tools for clinicians to aid in the dementia evaluation process as well as management.
Once dementia diagnosis is made, how can we best empower our patients so they can alter their own disease trajectory? Drs. Sood and Bennett explore the rich literature critically evaluating physical and cognitive activity and their very direct impact on mitigating dementia progression inPhysical and Cognitive Activity for Dementia.
My hope is that these articles, and the innovations in dementia they highlight, are immediately portable and applicable to your clinical practice.
Ready to Claim Your Credits?
You have attempts to pass this post-test. Take your time and review carefully before submitting.
Good luck!
Recommended
- Imaging & Testing
Practical MRI in Neurology: Use Cases, Technologies, and Opportunities for Outpatient Clinics
Joseph Fritz, PhD; Edmond A. Knopp, MD, DABR, FASFNRJoseph Fritz, PhD; Edmond A. Knopp, MD, DABR, FASFNR - Alzheimer Disease & Dementias
Special Report: 2025 Neurology FDA Drug & Device Approvals & Clearances
- Imaging & Testing
Neuroimaging Biomarkers in Alzheimer Disease and Related Dementias: From Structural MRI to Amyloid and Tau PET
John Bertelson, MD; Bela Ajtai, MD, PhDJohn Bertelson, MD; Bela Ajtai, MD, PhD






