Imaging & Testing
Articles 17-30 of 30
- Imaging & Testing
Hearing Loss Associated With Hydrocephalus
Jason A. Ellis, MD; Benjamin W. Y. Lo, MDJason A. Ellis, MD; Benjamin W. Y. Lo, MD - Imaging & Testing
Challenge Case Report: Aseptic Meningitis Worsening With Treatment
David Horvat, MD; Jack Lovell, DODavid Horvat, MD; Jack Lovell, DO - Epilepsy & Seizures
Case Report: Seizure, Fever, Hallucinations, & Vision Loss
Elizabeth Carroll, MD; Brian J. Williams, MDElizabeth Carroll, MD; Brian J. Williams, MD - Imaging & Testing
Challenge Case Report: Subacute Cognitive Decline
Margaret Yu, MD; Christian Sikorski, MDMargaret Yu, MD; Christian Sikorski, MD - Alzheimer Disease & Dementias
Early Clinically Unsuspected Alzheimer’s Disease
Georgette A. Khoury, MSN, APRN-BC; Ira GoodmanGeorgette A. Khoury, MSN, APRN-BC; Ira Goodman - Imaging & Testing
Case Report: A Woman with Tinnitus and Tongue Atrophy
John A. Boockvar, MD; Jason A. Ellis, MDJohn A. Boockvar, MD; Jason A. Ellis, MD - MS & Immune Disorders
Case Report: Longitudinally Extensive Transverse Myelitis
Ylec Mariana Cardenas, MD; Lakshmi Leishangthem, MDYlec Mariana Cardenas, MD; Lakshmi Leishangthem, MD - Imaging & Testing
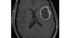
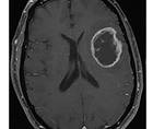
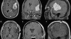
Challenge Case Report: A Woman With a Large Dural-Based Lesion
Javed Khader Eliyas, MD; Rimas V. Lukas, MDJaved Khader Eliyas, MD; Rimas V. Lukas, MD - Imaging & Testing
Video-Case Report: Progressive Neuropathy With Cerebellar Ataxia
Asseel Albayati, MD; Safa AlJammali, MDAsseel Albayati, MD; Safa AlJammali, MD - Alzheimer Disease & Dementias
Meningeal Enhancement Seen on Workup for Memory Loss
Nima Khosravani, MS; Anamaria Shanley, MSN, ARNP-BCNima Khosravani, MS; Anamaria Shanley, MSN, ARNP-BC - Imaging & Testing
Reversible and Benign Lesions of Splenium of The Corpus Collosum
Dhanashri P. Miskin, MD; Jared Steinklein MDDhanashri P. Miskin, MD; Jared Steinklein MD
- Previous
- Next



























