Epilepsy & Seizures
Articles 1-16 of 20
- Epilepsy & Seizures
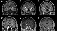
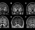
An Unusual Case of Adult-Onset Rapidly Progressive Leukoencephalopathy Associated With POLR3B-Related Sequence Variation
Adriana Grau Chaves, MD; Buse Sengul, MDAdriana Grau Chaves, MD; Buse Sengul, MD - Epilepsy & Seizures
A Case of Anti–GAD65 Autoimmune Musicogenic Epilepsy
Amanda Summers, MD; Katherine Park, MDAmanda Summers, MD; Katherine Park, MD - Epilepsy & Seizures
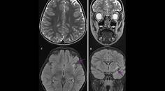
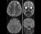
LGI1 Antibody Encephalitis Presenting as Focal Cortical Encephalitis
Nirumal Khumar, MBBS, MD; Allimuthu Nithyanandam, MBBS, MD, DM, FRCPNirumal Khumar, MBBS, MD; Allimuthu Nithyanandam, MBBS, MD, DM, FRCP - Epilepsy & Seizures
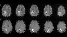
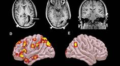
Supplementary Motor Area Glioma Presenting with Musicogenic Epilepsy: “Singing Seizures”
Hannah Kelly, MD; Timothy Gregory, MDHannah Kelly, MD; Timothy Gregory, MD - Epilepsy & Seizures
Return of Auras Following Treatment of Focal-Onset Seizures with Responsive Neurostimulation
Wendy Osei-Bonsu, BA; Annika Daya, MPH, BSWendy Osei-Bonsu, BA; Annika Daya, MPH, BS - MS & Immune Disorders
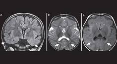
Eosinophilic Meningitis After Eating Freshwater Snails
Malarkodi Suppamutharwyam, MBBS, MRCP (UK); Benjamin Ng Han Sim, MD, MRCP (UK)Malarkodi Suppamutharwyam, MBBS, MRCP (UK); Benjamin Ng Han Sim, MD, MRCP (UK) - Epilepsy & Seizures
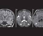
Challenge Case Report: New Onset Seizures
Ashir Bansal, BA; Matthew Tate, MD, PhDAshir Bansal, BA; Matthew Tate, MD, PhD - Child Neurology
Parry-Romberg Syndrome With Drug-Resistant Epilepsy
Charlene L. Gunasekera, MD; David B. Burkholder, MDCharlene L. Gunasekera, MD; David B. Burkholder, MD - Epilepsy & Seizures
Progressive Drug-Resistant Epilepsy & Behavior Changes
Natali Baner, MD; Mark P. Fitzgerald, MDNatali Baner, MD; Mark P. Fitzgerald, MD - Epilepsy & Seizures
Focal Status Epilepticus 9 Years After Brain Abscess
Natalie Ullman, MD, MPH; Donna Stephenson, MDNatalie Ullman, MD, MPH; Donna Stephenson, MD - Epilepsy & Seizures
Early-Onset Drug-Resistant Epilepsy Due to Gene Variants
Imane Abdelmoumen, MD; Eiman Ali, MDImane Abdelmoumen, MD; Eiman Ali, MD - Epilepsy & Seizures
Neurostimulation in Drug-Resistant Epilepsy
Brin E. Freund, MD; Anteneh M. Feyissa, MDBrin E. Freund, MD; Anteneh M. Feyissa, MD - Epilepsy & Seizures
Diagnostic & Treatment Delay in Temporal Lobe Epilepsy
Rajarshi Mazumder, MD; Jessica Pasqua, MDRajarshi Mazumder, MD; Jessica Pasqua, MD - Epilepsy & Seizures
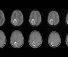
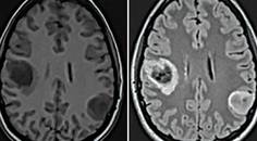
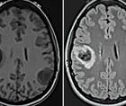
Challenge Case Report: New-Onset Seizures and Brain Lesions in First Trimester
Omar Bushara, BA; Rimas V. Lukas, MDOmar Bushara, BA; Rimas V. Lukas, MD
- Prev
- Next































