Neuromuscular Notes: Neuromuscular Ultrasound in Polyneuropathy
Neuromuscular ultrasound is a useful diagnostic tool when combined with clinical information and electrodiagnostic tests. Although it is most commonly used for focal neuropathies, recent studies have explored its utility for identifying generalized polyneuropathies.1 Nerve enlargement is the most common characteristic of a demyelinating polyneuropathy. With ultrasound, acquired neuromuscular disorders manifest as multifocal enlargement, whereas hereditary diseases typically show diffuse enlargement.1,2 Nerve size variability, enlarged fascicles, hypo- and hyperechoic fascicles, and increased vascularity of the nerves are also observed.1-4 A search of the MEDLINE database identified 50 published studies on the application of ultrasound in polyneuropathy since 1999. The results of this literature search are summarized in supplementary Tables e1-e3, at the end of this article. Chronic inflammatory demyelinating polyneuropathy (CIDP) was the most commonly studied disorder, with demonstrated utility for visualizing proximal nerve segments in the upper extremities that can be challenging to evaluate electrodiagnostically. Identification of CIDP without characteristic electrodiagnostic features of demyelination is also possible.5 Ultrasound is reliable for distinguishing CIDP from multifocal motor neuropathy (MMN) or multifocal acquired demyelinating sensory and motor neuropathy (MADSAM) with relatively high sensitivity (80%) and specificity (87.5%).6
Correctly diagnosing potentially treatable demyelinating polyneuropathies at an earlier stage is critical, and ultrasound can be helpful in this process. However, no standardized approach has been established for applying ultrasound in polyneuropathy. Here, we propose a neuromuscular ultrasound protocol for assessing suspected polyneuropathy.
General Technique
Use a high-frequency transducer (≥12 MHz ) given the superficial location of most neuromuscular structures.2 Use a linear array transducer and a smaller footprint transducer for smaller structures, such as the hands and feet.2 Traditionally, the transducer marker represents the left side of the image and is kept towards the examiner’s left on axial or cross-sectional imaging and toward the patient’s head with sagittal or longitudinal imaging.2 Patient positioning depends on the nerve of interest. A supine position is ideal for most studies with the exception of some nerves of the lower extremities, for which a prone position is more useful.7 Position the ultrasonographer toward the patient’s feet.
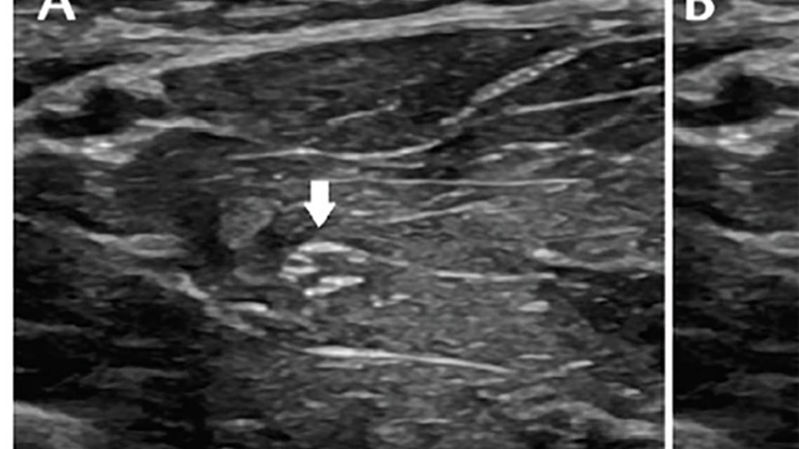
Scan the entire nerve, examining and documenting nerve size and variability, echogenicity, fascicle size, and nerve vascularity. Measure nerve enlargement as nerve cross-sectional area (CSA),8 by placing the transducer perpendicular to the nerve and tracing the nerve just within its hyperechoic epineurial rim (Figure 1).2 Nerve CSA remains relatively similar from the axilla to the wrist in the upper extremities, whereas the sciatic nerve CSA is more significantly reduced distally, owing to the splitting of the sciatic into the fibular and tibial nerves.2 Reference CSA values are available for most commonly studied nerves.9-11

Nerve size variability is often seen in immune-mediated demyelinating polyneuropathy and can be described by intranerve (within the same nerve) CSA variability (CSAV) and internerve (between different nerves) CSAV.4 Intranerve CSAV is more often observed in CIDP than Charcot-Marie-Tooth (CMT).12,13 Internerve CSAV is more often seen in asymmetric pathologies, such as MADSAM and MMN.4 Intranerve and internerve CSAV can be calculated as4:

Increased nerve echogenicity and larger fascicles are more often seen in CIDP, MADSAM, and MMN than in axonal neuropathies.14 Increased nerve echogenicity, fascicle size, and vascularity are associated with CIDP1-3,14-16; however, this does not always add diagnostic value.17
A Standardized Approach to Assess Polyneuropathy
There is a wide distribution of nerve involvement in polyneuropathy, with enlarged median and ulnar nerves most commonly seen for all types of polyneuropathy examined (see supplementary Tables e2 and e3, available in the online version of the article). Brachial plexus and cervical roots are involved in immune-mediated polyneuropathies (eg, Guillain-Barré syndrome [GBS], CIPD, CIDP variants [distal acquired demyelinating symmetric neuropathy (DADS) and MADSAM] and MMN) but not as prominantly in hereditary diseases (Tables e2 and e3). Ultrasound can differentiate demyelinating inflammatory neuropathies (ie, CIDP, MADSAM, and MMN), from axonal neuropathies based on nerve enlargement of the proximal median nerve and brachial plexus enlargement with high sensitivity (95%) and specificity (98%) (class II evidence).14
Based on the studies reviewed in Tables e1-e3, we recommend examining the median and ulnar nerves and brachial plexus in respective order, over the entire length of the nerve, from wrist to axilla for median and ulnar nerves, and medially to laterally for the supraclavicular brachial plexus.18 Nerve enlargement is best appreciated when the entire nerve is first observed qualitatively and then enlarged sites can be examined quantitatively.19 In addition, CIDP typically presents with multifocal enlargement, best identified by scanning the entire length of the nerve.
We describe a systematic approach for imaging the median nerve, ulnar nerve, and brachial plexus generated from combining descriptions in literature with personal experience.7,18
The Median Nerve
With the patient lying comfortably supine, the arms should be extended on a flat surface with forearms supinated and fingers extended (Figure 2).7 Place the probe in transverse orientation at the distal wrist crease and locate the median nerve. Follow the nerve proximally while keeping the probe perpendicular to the nerve. The nerve wraps deep to the flexor digitorum superficialis tendons, which can be observed as the probe is moved proximally. Once the nerve is deep to the flexor digitorum superficialis muscles, it appears less flattened and sometimes appears to be triangular in shape with higher echogenicity.7 Proximal to the carpal tunnel, the nerve appears circular, but within the carpal tunnel it looks ovoid or flat-elliptical.20 Continue following the nerve to the upper arm, where it courses between the biceps brachii and brachialis muscles and then travels anteriorly and laterally to the brachial artery and veins in the medial aspect of the upper arm.

Next, repeat the scan proximally to distally along the arm to the wrist, taking measurements. While scanning distally, locate any areas of maximal enlargement and measure CSAs of the locations where the nerve is prominently enlarged. If no clear sites of focal enlargement are seen, measure the CSA at the distal third of the forearm, just proximal to the pronator quadratus muscle. Then measure the CSA at the middle of the upper arm. Repeat this process for the opposite arm.
The Ulnar Nerve
Reposition the patient’s arm by slightly flexing the elbow (Figure 3),7 which allows easy access to the ulnar groove. If the patient complains of shoulder pain, they may sit upright with their palm on the exam table and the ultrasonographer stationed behind the patient. Identify the ulnar nerve by placing the transducer 5 cm below the elbow at the medial aspect of the forearm to visualize the honeycomb structure of the ulnar nerve deep to the flexor carpi ulnaris muscle.7 In the forearm, the ulnar nerve lies between the flexor digitorum profundus and flexor carpi ulnaris muscles.20,21 Follow the nerve proximally into the cubital tunnel and then the axilla. Note that in the upper arm, the nerve courses from the anterior to the posterior compartment and travels superficially to the medial head of the triceps brachii muscle.

Next, scan the nerve distally back through the cubital tunnel to Guyon’s canal. At the elbow, the nerve lies in a groove on the dorsum of the medial epicondyle and then descends through the medial side of the forearm, deep to the flexor carpi ulnaris. In the lower two-thirds of the forearm, the nerve is located on the medial side of the ulnar artery.
Measure the CSA at any location where the nerve was prominently enlarged. If no focal enlargement is detected, measure the CSA at the mid-upper arm and at the forearm. Note that similar to median nerve, the ulnar nerve can be found on the medial side of the mid-upper arm, but posterior to the brachial artery and the median nerve (Figure 3).
The Brachial Plexus
Scanning the brachial plexus can be challenging. Details of a standard approach have been published.18 Have the patient lie supine with their head at a 30° to 45° incline, slightly extended, and turned away from the side being examined (Figure 4).

Because there is more prominent involvement of the superior trunk of the brachial plexus in polyneuropathies,14 we begin by examining the superior trunk and then scanning the remainder of the brachial plexus if a more comprehensive exam is needed. To image the superior trunk (C5 and C6 nerve roots), place the probe on the isthmus of the thyroid at the midline and then move laterally. After examining the superior trunk, scan the rest of the supraclavicular brachial plexus as in the published standard approach.18 Repeat this process on the opposite side of the neck.
An Expanded Approach for Polyneuropathies
Changes in lower extremity nerves (tibial, peroneal, and sural) are seen in polyneuropathies, although they have not been as systematically studied as the median and ulnar nerves. As such, the diagnostic value of examining these nerves is uncertain with case-controlled studies showing conflicting results (Tables e2 and e3).14 A few studies suggest the distal tibial nerve behind the medial malleolus is the most beneficial to scan. A case-control study showed significant differences in the CSA of the distal tibial nerves of healthy individuals vs individuals with demyelinating or axonal disease (P<0.001), whereas differences in the CSA of the fibular and sural nerves did not reach statistical significance (P=0.02 for fibular, P=0.24 for sural nerves).17 A post hoc Tukey Test in this study also demonstrated significant differences in tibial nerve CSA between people with and without demyelinating disease (P<0.001). In another study, nerve ultrasound of individuals with demyelinating, axonal, or mixed polyneuropathies demonstrated statistically significant differences in the distal tibial nerve CSA among the 3 groups (P<0.001).21 Receiver operative characteristic (ROC) analyses showed CSA measurements are useful in detecting demyelinating neuropathies, with the proposed CSA boundary values for the distal tibial nerve having the highest sensitivity (92.3%) of all the nerves examined.22 Based on these results, we recommend scanning the tibial nerve if the clinical presentation is highly concerning for a polyneuropathy and the results of the initial standard approach are indeterminate.
The Tibial Nerve
With the patient in a prone position and knees extended, locate the nerve posterior to the medial malleolus and scan proximally as the nerve travels adjacent to the flexor digitorum longus tendon and posterior tibial artery and vein. Follow the nerve up to the popliteal fossa where it is found adjacent to the popliteal artery and vein. Reverse to scan proximally to distally. Measure the CSA at sites of nerve enlargement. If there is no site of enlargement, measure the CSA of the nerve behind the medial malleolus.9 Repeat this process in the opposite leg. If imaging of the tibial nerve in the leg is challenging, the patient can be positioned supine, with the lower extremity of interest externally rotated and knee flexed (creating a “figure 4” position) (Figure 5).

The Vagus Nerve
Vagus nerve enlargement has been noted in several studies of demyelinating polyneuropathies but not seen in axonal conditions (Table e2 and e3). Vagus nerve atrophy has also been reported in people with diabetes.23 Not everyone with vagus nerve enlargement has clinical signs of autonomic dysfunction; however, all with dysautonomia have vagus nerve enlargement on ultrasound. Of 3 case-control studies with significant increases in vagus nerve CSA, only 1 reported greater nerve enlargement for patients with autonomic dysregulation compared with those who were asymptomatic.24 After treatment and 6 months after the initial exam, the vagus nerve remained enlarged for patients with vs without persisting autonomic dysregulation. There is a single case report of asymmetric CIDP with autonomic symptoms in which vagus nerve enlargement improved but did not completely resolve with treatment.25 Another case series reported 2 individuals with GBS who had slightly enlarged vagus nerves despite having no autonomic deficits.26 It is reasonable to consider examining the vagus nerve if the patient has symptoms of autonomic involvement or if results from the initial standard approach were inconclusive.
With the patient in a supine position and their head turned to away from the sonographer, place the probe transversely to the vagus nerve (Figure 6).23 Start at the level of the thyroid cartilage and move the transducer laterally to identify the vagus nerve inside the carotid sheath. Use the carotid artery and internal jugular vein as anatomic landmarks that can be easily identified with the Doppler mode. The vagus nerve appears as a small rounded hypoechoic structure, sometimes with a honeycomb appearance, typically deep to the carotid artery and jugular vein. Reverse the scan distally to proximally and then measure areas of enlargement. It is important not to apply too much pressure with the transducer when measuring nerve CSA to prevent altering blood flow. Repeat this process on the opposite side.

Conclusion
Neuromuscular ultrasound can be useful for evaluating polyneuropathy, especially demyelinating diseases in which early detection may allow for the prompt initiation of treatment. We propose a systematic approach in which the median and ulnar nerves and the brachial plexuses are imaged with a standardized protocol. The ultrasound exam should focus on measuring nerve CSA to evaluate for nerve enlargement, along with other common characteristics known to be associated with polyneuropathy, such as increased nerve size variability, hypo- or hyperechogenicity, increased fascicle size, and hypervascularity.1-4 If such features are not revealed in the median, ulnar, and brachial plexus studies, the tibial and vagus nerves can be examined. Future research with higher resolution imaging may establish ultrasound as an even more useful diagnostic tool in the evaluation of polyneuropathies. Additionally, automated nerve measurements built into the ultrasound device may make measurements more precise and easier to perform.
ONLINE-ONLY SUPPLEMENTARY MATERIALS



Ready to Claim Your Credits?
You have attempts to pass this post-test. Take your time and review carefully before submitting.
Good luck!
Recommended
- Imaging & Testing
MRI Clues to Intracranial Infection: Differentiating Bacterial, Viral, Fungal, and Parasitic CNS Disease
Márk Kozák, MD; Máté Sik, MDMárk Kozák, MD; Máté Sik, MD - Imaging & Testing
Neuroimaging: Clinical Impact of Imaging Findings
Laszlo Mechtler, MD, FAAN, FEAN, FASN, FAHSLaszlo Mechtler, MD, FAAN, FEAN, FASN, FAHS - Imaging & Testing
Neuroimaging After Brain Radiotherapy and Radiosurgery
Venkatesh Shankar Madhugiri, MBBS, MCh, FACS; Neil D. Almeida, MDVenkatesh Shankar Madhugiri, MBBS, MCh, FACS; Neil D. Almeida, MD






