Susac Syndrome
Susac syndrome (SuS) is an orphan disease characterized by the triad of encephalopathy, branch retinal artery occlusions (BRAO), and sensorineural hearing loss. Onset occurs at mean age 31.6 and women are more often affected (3.5:1 female:male occurrence). Symptoms include episodes with headache, encephalopathic symptoms, focal neurologic deficits, sudden hearing loss for middle and low frequencies, and scintillating scotomata. Recent data show CD8+ T cells are involved in the autoimmune etiopathogenesis. Diagnosis is based on criteria that reflect the clinical and paraclinical fulfillment of the triad. Treatment consists of an empiric combination of immunosuppressants, monoclonal antibodies, intravenous immunoglobulins (IVIG), and plasma exchange.
Epidemiology, Etiology, and Pathophysiology
First described in 1979 by JO Susac,1 approximately 500 cases of SuS have since been reported, but incidence may be higher because of unreported or undiagnosed cases.2
Susac syndrome is an autoimmune disease of the small arterioles of the brain, retina, and inner ear that has been successfully treated with immunosuppressants, such as cyclophosphamide or steroids.3 Contrast enhancement of brain lesions and leptomeninges hints at an inflammatory process. Occlusions and hyperfluorescence of retinal arteries are signs of vasculitis. Cerebrospinal fluid (CSF) changes are typical for a sterile central nervous system (CNS) inflammation. Brain biopsies demonstrate microinfarcts with loss of neurons, axons, and myelin, and arterial vessel wall proliferation. CD8+-T–lymphocytic infiltrates and thickening of the basal membrane are seen.4-6 Similar changes have been described in muscle, gut and skin biopsies from people with SuS.7-9
A recent study elucidated SuS as a CD8+ T-cell–mediated endotheliopathy,10 in which circulating CD8+ T cells are clonally expanded and differentiate into activated granzyme B- and perforin-expressing cytotoxic CD8+ T cells. These cells accumulate in microvessels near endothelial cells, where they most likely cause injury. Elevated titers of antiendothelial cell antibodies were detected in 25% of people with SuS.11
Clinical Presentation and Course
Individuals with an encephalopathic course experience acute or subacute episodes of cognitive deficits, vigilance or mood changes, psychiatric symptoms (eg, psychosis or depression), fatigue, focal neurologic deficits, and, less frequently, seizures.2 Headaches often precede other symptoms by several months and are reported as being like tension-type or migraine headaches. Hearing loss can occur overnight, with a sudden loss of low, middle or all frequencies, and may be accompanied by an often roaring tinnitus.3,7 The BRAO can lead to scintillating or dark scotomata, or, because they are often located in the periphery of the retina, may be asymptomatic. In a systematic review, the classical clinical triad of symptoms was seen at disease onset in only 13% of cases.2
Because symptoms of the triad may appear successively with intervals up to several years, early diagnosis can be complicated. The mean number of relapses is 2.4, and the mean duration of active disease is 21 months, although some patients may have relapses for decades.12 The outcome depends on the residual symptoms after the episodes and may range from full recovery to severe disability. Cases of death have been described in individuals with SuS, but death is not caused by the disease but rather by treatment complications.13,14
Differential Diagnosis
The most important differential diagnosis is multiple sclerosis (MS), because age of onset, female preponderance, and callosal brain lesions occur in both diseases. It is also important to differentiate SuS from small vessel primary CNS vasculitis because corticosteroids should be tapered much more slowly in SuS than in CNS vasculitis. Other conditions in the differential diagnoses are psychosis, depression, infectious or autoimmune encephalitis, tumors, mild encephalopathy with reversible splenial lesions (MERS),15 stroke, mitochondrial diseases, cerebral autosomal dominant arteriopathy with subcortical infarcts and leukoencephalopathy (CADASIL), and migraine.2 Ear and eye conditions in the differential include acute hearing loss; Menière syndrome; Cogan syndrome; retinal vasculitis; idiopathic retinal vasculitis, aneurysms, and neuroretinitis (IRVAN) syndrome;16 retinal artery embolism; and vasospasm.15-17
Diagnosis
Magnetic Resonance Imaging
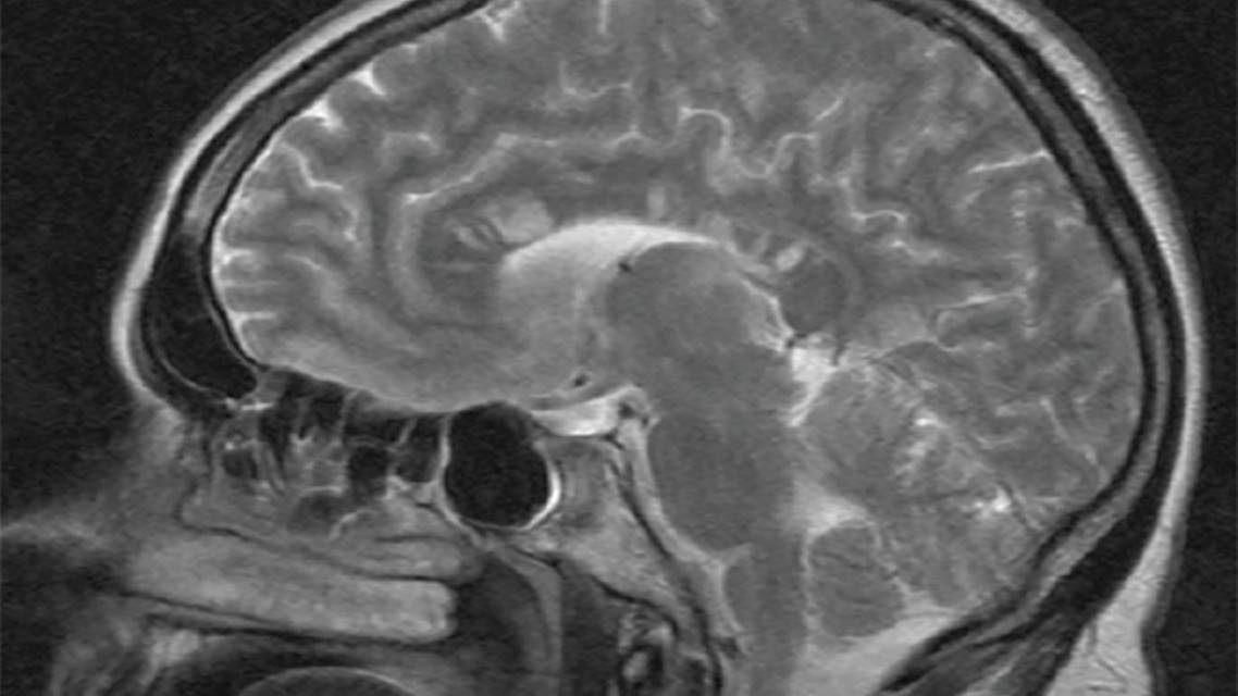
Brain MRI is crucial for diagnosis of SuS. Characteristic round snowball lesions in the center of the corpus callosum, are typical for the acute phase of SuS and can be seen best in fluid-attenuated inversion recovery (FLAIR) sequences (Figure 1).18,19 Of note and in contrast, MS lesions are typically located at the undersurface of the corpus callosum rather than in the center. Lesions of the white matter are frequently found in the centrum semiovale and in periventricular or subcortical regions, as well as in the cerebellum or the brainstem.18 Gray matter is affected in 70% of cases, and leptomeningeal contrast enhancement (30%) or contrast-enhancing lesions (70%) can be found in the acute disease phase.18 Diffusion restrictions in the acute phase represent ischemic strokes.20 Diffusion tensor imaging (DTI) demonstrates structural damages of the fiber integrity in the prefrontal cortex and the genu of the corpus callosum.21 On 7 T MRI, lesions in people with SuS are different from lesions of MS in that there is no central vein sign and rarely a hypointense rim.22

Cerebrospinal Fluid Analysis
The CSF analysis findings in SuS also differ from those in MS, but resemble those seen in primary CNS vasculitis. In SuS, there are findings of mild lymphocytic pleocytosis, an elevation of the total protein up to 2 g/dL, and signs of a disruption of the blood CSF barrier are frequent and oligoclonal bands are not common.2,23,24 A recent study has shown that in contrast to MS no plasmacytoid cells occur in the CSF of SuS patients, whereas proportions of activated cytotoxic CD8 T cells are elevated.10
Ophthalmologic Diagnostics
Fluorescein angiography is the standard for detecting BRAOs and arterial wall hyperfluorescence in the acute phase of SuS (Figure 2). The detection of yellow mostly transient retinal arterial wall plaques or Gass plaques is considered pathognomonic.25,26 Optical coherence tomography (OCT) is a noninvasive technique to visualize postischemic retinal defects in the postacute phase that helps to differentiate SuS from MS.27

Audiogram and Otologic Diagnostics
Because arteries feeding the apical cochlea are occluded,13 audiograms usually reflect nonspecific hearing loss, particularly in lower frequencies,5 that is often irreversible.23 Peripheral lesions of the vestibular organ can be detected by caloric testing of the vestibular organ, vestibular evoked myogenic potentials, or nystagmography.28
Diagnostic Criteria
To facilitate SuS diagnosis, diagnostic criteria have been suggested based on the characteristic clinical and paraclinical signs and symptoms of the triad, which are encephalopathy, hearing loss, and visual disturbances caused by BRAOs. In individuals who fulfill all 3 criteria, a definite diagnosis can be established. In cases with only 2 organs involved, the diagnosis should be considered as probable. There is no difference in treatment for probable vs definite SuS.28
Treatment
Because no randomized controlled trials of treatment of SuS have been done, there are no approved therapies. Treatment is empiric, consisting of immunotherapy combinations based on mostly retrospective case series and expert opinions. Some recommend an aggressive and early treatment and treat even mild courses with corticosteroids, IVIG, mycophenolate mofetil (MMF), and optionally, rituximab.29 Some> Others suggest corticosteroids and IVIG, adding rituximab and/or mycophenolate mofetil only in breakthrough disease, and cyclophosphamide, only if there is still disease activity after MMF and rituximab.30 Subcutaneous immunoglobulins have been successful and are well accepted by patients.31 In a retrospective case series, treatment with IVIG and plasma exchange was beneficial.24 Clinical stabilization has been reported after treatment with the tumor necrosis factor (TNF)-α inhibitors infliximab and adalimumab.6,32,33 Natalizumab resulted in a decrease of disease activity in 4 individuals.10 Antiplatelet therapy or anticoagulation effects are unknown, although we usually add an antiplatelet agent (eg, acetylsalicylic acid) owing to pathophysiologic considerations.34
Conclusion
In conclusion, SuS is a rare autoimmune disease with characteristic clinical and paraclinical features, which is important to differentiate from MS and other types of vasculitis. In clinical practice, for those with unclear encephalopathy, visual disturbances and sensorineural hearing loss, SuS has to be considered as a differential diagnosis, and cerebral MRI, fluorescein angiography, OCT, and audiogram should be performed.
Acknowledgements
This work was supported by German Research Foundation (DFG) grant GR3946_3/1 to CCG and IK and the Interdisciplinary Center for Clinical Studies (IZKF) grant Kl3/010/19 to CCG
Ready to Claim Your Credits?
You have attempts to pass this post-test. Take your time and review carefully before submitting.
Good luck!
Recommended
- MS & Immune Disorders
Chimeric Antigen Receptor T-Cell Therapy for Progressive Multiple Sclerosis: Rationale, Evidence, and Therapeutic Potential
Sarah Conway, MD; Kristin Galetta, MD, MSeDSarah Conway, MD; Kristin Galetta, MD, MSeD - Alzheimer Disease & Dementias
Special Report: 2025 Neurology FDA Drug & Device Approvals & Clearances
- MS & Immune Disorders
Updates to the McDonald Diagnostic Criteria for Multiple Sclerosis
Kelsey Stefan, MD; Leena Wahajat, BSKelsey Stefan, MD; Leena Wahajat, BS






