Special Report: Neuro-oncology
Introduction
Neuro-oncology is a broad and rapidly evolving field that comprises portions of neurology, neurosurgery, pediatrics, medical oncology, radiation oncology, neuroradiology, neuropathology, cancer rehabilitation, and palliative care. Neuro-oncology covers the diagnosis and management of primary and metastatic tumors of the central nervous system (CNS) and complications of systemic cancers or cancer treatments. The goal of this 2-part special report is to provide an overview of the epidemiology, presentation, diagnostic evaluation, and management for most common CNS tumors. The first part of the series focuses on the epidemiology, presentation, and diagnostic evaluation.
Epidemiology
Brain tumors account for only about 1.4% of all cancers,1 and malignant CNS tumors in people more than age 40 have an average annual age-adjusted mortality rate of 9.01 per 100,000, making brain tumors the 29th most common cause of death overall and 14th among cancer deaths. The most frequently reported histologies from the Central Brain Tumor Registry of the United States (CBTRUS) are meningioma (37.1%), pituitary tumors (16.5%), and glioblastoma (14.7%). The most common malignant CNS tumor is glioblastoma (47.7%), which accounts for the majority of gliomas (56.6%). Estimates suggest 26,170 malignant and 60,800 nonmalignant brain tumors will be diagnosed in the US in 2019 with a slightly higher incidence among women (25.32/100,000) compared to men (20.59/100,000 for men).1
From 2011 to 2015, the average annual mortality rate in the US was 4.37 per 100,000 deaths with 77,375 attributed to primary CNS tumors. It is estimated that 16,830 deaths will be attributed to primary malignant CNS tumors in the US in 2018 with approximately 12,000 deaths from glioblastoma. The overall inclusive 5-year relative survival for a primary malignant CNS tumor (including lymphomas and leukemias, pituitary and pineal gland tumors, and olfactory tumors of the nasal cavity) is 35.0%. This overall survival is correlated indirectly with age (decreased survival with increasing age). The 5-year survival rate for those age 0 to 19 years is 74.1%, age 20 to 44 years is 62.2%, 45 to 54 years is 33.5%, 55 to 64 years is 18.5%, 65 to 74 years is 11.5%, and more than 75 years is 6.1%. Survival after diagnosis with a nonmalignant CNS tumor also varies with an overall 5-year relative survival after diagnosis of 91%.1
Risk Factors
Ionizing radiation is the only established environmental risk factor for developing brain tumors. Moderate to high-dose ionizing radiation exposure is associated with glioma and meningioma.2 The exposure appears to have a greater effect with younger age.3,4
Genetic Risk Factors. There are multiple genetic tumor syndromes such as Li-Fraumeni, neurofibromatosis (type 1 and 2), tuberous sclerosis, Gorlin’s syndrome, Turcot’s syndrome and von Hippel-Lindau (Table 1).5

Clinical Evaluation
Presenting Symptoms
Diagnosis of CNS neoplasms begins with a thorough history and physical examination. Presenting symptoms can be nonspecific and/or focal. Typically, tumor symptoms have subacute onset, in contrast to vascular disorders, which typically have acute onset, or degenerative disorders, which typically have chronic onset. Benign or low-grade neoplasms usually have a slower symptom onset than malignant tumors. Review of systems often reveals fatigue, weight loss, lethargy, and night sweats common among many cancers.6
Seizures. A common symptom, seizures occur with approximately 30% of brain tumors and often begin focally then secondarily generalize. If the semiology of the focal portion is specific, then localization is possible or the postictal phase results in a Todd’s paralysis or aphasia. Low-grade gliomas have a higher incidence of seizures (60%-75%) compared with high-grade gliomas (25%-60%), meningiomas (20%-50%), and metastases (20%-35%).7
Headache. More than 50% of individuals with a brain tumor have headache as a presenting symptom, but it is rarely the only symptom present. Nausea and vomiting can be associated with headaches and are particularly suggestive of a brain tumor when they occur in the morning with rising, reflecting increased intracranial pressure. The character of headache does not reliably distinguish a brain tumor diagnosis; however, people who have headaches that wake them up at night or occur in the early morning should be evaluated more urgently.8,9
Dizziness. More frequently a vague complaint or sense of vertigo suggesting a cerebellopontine angle or cerebellum tumor (typically associated with ipsilateral dysmetria or ataxia), dizziness is also a frequent presenting symptom.10
Physical Examination
If focal signs are present on physical examination, then specific localization is often possible by discerning the pattern (Table 2). Supratentorial lesions result in contralateral long tract signs with cortical findings (eg, aphasia, acalculia, or visual impairment). Language involvement suggests a dominant hemisphere lesion. Brain stem tumors are localized with ipsilateral cranial nerve findings with associated contralateral long tract findings.

Radiographic Examination
General symptoms including headache associated with nausea and vomiting, particularly in the early morning are suggestive of an intracranial mass lesion. Lethargy, somnolence, and papilledema associated with these symptoms indicates a patient in urgent need of imaging.8
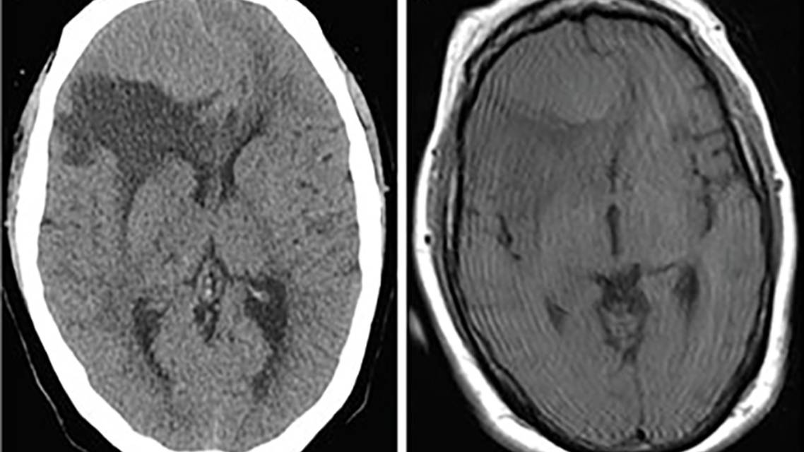
CT. The most common initial radiographic evaluation for suspected brain tumors is CT, despite the need for subsequent MRI because CT is useful for identifying acute hematoma, mass effect, herniation, and hydrocephalus. Additionally, CT can identify tumor calcifications to suggest either, craniopharyngioma (suprasellar), oligodendroglioma (intra-axial) or meningioma (extra-axial) (Figure 1A).11

MRI. Anatomic imaging sequences for brain tumor diagnosis include T1, T2, fluid attenuation inversion recovery (FLAIR) and postcontrast T1. Volumetric protocols can be performed for high-resolution evaluation or treatment planning (eg, radiation treatment planning or surgical navigation). A T2* gradient echo or susceptibility weighted imaging (SWI) sequence is sensitive for blood products or calcifications. These sequences help define anatomic location (eg, frontal or occipital) and space (eg, intra-axial, extra-axial, intraventricular, intraosseous, or scalp). Using these anatomic sequences with patterns of disease, history, and physical examination findings typically establishes a working differential diagnoses.

A homogenously enhancing extra-axial mass suggests meningioma, but the differential diagnosis includes hemangiopericytoma, dural-based metastasis, and lymphoma (Figure 1). A solitaryT2/FLAIR hyperintense intra-axial lesion that does not enhance with contrast suggests low-grade glioma (Figure 2). A solitary heterogeneously enhancing intra-axial lesion suggests high-grade glioma or solitary metastasis (Figure 3). Multiple heterogeneously enhancing intra-axial lesions suggests a metastatic disease or abscesses (Figure 4).


Diffusion-Weighted Imaging. Measuring the relative movement of water through tissue, diffusion-weighted imaging (DWI) has become a standard sequence that can be critical for the diagnosis of stroke, which can occur around the time of surgery and result in findings consistent with early psuedo-progression. Of particular use in distinguishing tumors (no restriction) from abscess (restriction), DWI is used to create apparent diffusion coefficient (ADC) maps associated with highly cellular processes (eg, lymphoma, medulloblastoma, and glioblastoma.)11,12 Additionally, ADC minimum values can help distinguish tumefactive demyelinating lesions from primary CNS lymphomas and gliomas.13
Diffusion Tensor Imaging. An application of diffusion-weighted imaging over 3 dimensions, diffusion tensor imaging (DTI) measures both diffusivity and direction and is used clinically for DTI-tractography to isolate a fiber tract of interest (eg, corticospinal tract or arcuate fasciculus). Once the tract is isolated, it can be overlaid on a volumetric study for presurgical planning and neuronavigation.11,12
Functional MRI. Using changes in local blood oxygen level-dependent (BOLD) signal, functional MRI (fMRI) indirectly assesses neuronal activity, and task-based fMRI can be used to identify eloquent cortical structures including motor and speech functions for preoperative planning.14 Resting state fMRI has also been used to identify eloquent structures, although there is less experience with this technique compared with task-based fMRI.15
Perfusion MRI. Focused on assessing the degree of tumor angiogenesis and capillary permeability, perfusion imaging shows whether there is increased tumor vascularity, which is associated with increased grade, particularly with glial tumors (notable exceptions are extra-axial tumors such as meningioma). Perfusion changes can help guide diagnostic biopsy procedures and identify early progression of tumors (Figure 5).

MR Spectroscopy. Used to measure the metabolic profile of a segment of tissue, MR spectroscopy measures specific metabolites of interest for brain tumors including N-acetylaspartate (NAA), a marker of neuronal integrity; creatine (Cr), a marker of cellular metabolism used as an internal reference; choline (Cho), a marker of cell-membrane turnover; and lipid-lactate (Lac) (Figure 6).11,12

Positron Emission Tomography. A nuclear medicine tracer study, positron emission tomography (PET) can track any of several tracers, but the most commonly used is 18 flourodeoxyglucose (FDG), a metabolic tracer that activates in metabolically active cancers, infections, or inflammation of the brain. Because of the high uptake of this tracer in the brain, FDG-PET has found limited utility in the brain compared with its widespread use for other solid organ cancers (Figure 7).11,12

Digital Subtraction Angiography. A common and widespread diagnostic and potentially therapeutic modality, digital subtraction angiography (DSA) can often show the significant tumor-feeding vessels, which aids in surgical planning. Preoperative embolization can limit blood loss, particularly for dural-based or extradural tumors (eg, meningioma, Figure 8).16


Summary. See Table 3 for a summary of common uses of various imaging modalities. See Table 4 for comparison of common brain pathologies and diagnostic differences.

Biomarkers
Blood and cerebrpspinal fluid (CSF) biomarkers and liquid biopsy for high grade gliomas are in preliminary stages of testing including cell-free DNA techniques.17,18 Extracellular vesicles in blood samples are also an area of active investigation.19
Pathology
A tissue sample derived from biopsy remains the highest standard and is fundamental for establishing diagnosis. A full review of pathology findings is beyond the scope of this article; however, several publications are dedicated to recent updates in this area.20
Ready to Claim Your Credits?
You have attempts to pass this post-test. Take your time and review carefully before submitting.
Good luck!
Recommended
- Imaging & Testing
MRI Clues to Intracranial Infection: Differentiating Bacterial, Viral, Fungal, and Parasitic CNS Disease
Márk Kozák, MD; Máté Sik, MDMárk Kozák, MD; Máté Sik, MD - Imaging & Testing
Neuroimaging: Clinical Impact of Imaging Findings
Laszlo Mechtler, MD, FAAN, FEAN, FASN, FAHSLaszlo Mechtler, MD, FAAN, FEAN, FASN, FAHS - Imaging & Testing
Artificial Intelligence in Clinical Neurology: Opportunities, Limitations, and the Path Forward
Aysha Jadran, MD; Saqib A. Chaudhry, MDAysha Jadran, MD; Saqib A. Chaudhry, MD






