Brain Imaging in Differential Diagnosis of Dementia
Introduction
ß amyloid and phosphorylated tau proteins are pathologic hallmarks of Alzheimer’s disease (AD) that accumulate and spread predictably through distributed neural networks, causing progressive metabolic abnormalities, neuronal injury, and cellular death. Neuroimaging facilitates a detailed assessment of these pathologic changes in patients undergoing workup for cognitive decline. Previously, a definitive diagnosis of AD was possible only by postmortem observation and neuroanatomic staging of these protein aggregates. Recent advances in molecular imaging, however, allow for the visualization of amyloid and tau deposits in living human brain and have brought us closer to an in vivo definitive diagnosis of AD.
Structural Imaging
The American Academy of Neurology (AAN) guidelines for diagnostic workup of people with cognitive complaints1 recommend structural brain imaging with noncontrast CT or MRI in any person with a positive clinical history and objective cognitive changes. In this context, the primary role for brain imaging is to rule out nondegenerative structural lesions, 5% of which may not be evident from clinical history or physical examination2 and are potentially treatable. The AAN also recommends excluding vascular dementia (VaD), dementia with Lewy bodies (DLB), and frontotemporal dementia (FTD) clinically. Structural imaging can improve diagnostic certainty and changes clinical diagnosis in 19% to 28% as well as management of 15% of clinical cases.2
The imaging modalities of choice when assessing structural atrophy are CT and MRI. Disease-specific patterns of atrophy have been thoroughly described and validated using these modalities. Although atrophy is observable on CT, the inherently lower spatial resolution and inferior gray/white matter contrast result in the loss of potentially useful subtle observations regarding neurodegenerative changes. Therefore, clinicians often rely on MRI to assess the pattern and severity of structural changes, to rule out non-neurodegenerative causes of cognitive decline, and to evaluate the severity and extent of white matter changes as discussed in greater detail below.
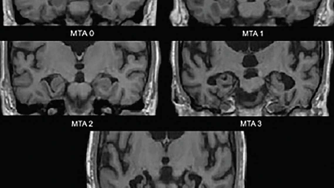
The earliest neurodegenerative changes in AD occur in the medial temporal lobes–the hippocampus, entorhinal cortex, and parahippocampal gyrus. As atrophy sets in, the choroid fissure and temporal horn of the lateral ventricle become dilated; these changes are best assessed in the coronal plane. A commonly used visual assessment scale based on these structures–the medial temporal atrophy (MTA) scale (Figure 1)–has been clinically3 and neuropathologically4 validated. Various studies using this scale or the structures it assesses have shown significant ability to discriminate people with AD from age-matched controls4 or those with DLB4 or vascular cognitive impairment (VCI).5 Medial temporal atrophy is also predictive of conversion from amnestic mild cognitive impairment (MCI) to Alzheimer’s dementia.3

Dementia syndromes typically exhibit canonical atrophy patterns6 that correspond with cognitive and behavioral symptoms; however, the involved structures can overlap. For example, AD and DLB both show involvement of the medial temporal lobe, but several imaging and neuropathologic studies have shown that, relative to AD, DLB has significantly less predilection for medial temporal structures4,5 (Figure 2).

Both AD and frontotemporal lobar degeneration (FTLD) have overlapping regions of atrophy, including areas of prefrontal, orbitofrontal, and anterior insular cortices, as well as the anterior and medial temporal lobes.6 Relative to to each other, however, AD shows significantly more atrophy in the lateral parietal and occipital cortices, whereas FTLD shows more atrophy in the frontal lobes (Figure 2).6
It is important to systematically assess all brain areas, noting regions of both structural atrophy and anatomical sparing to make the most use of diagnostic imaging. A large, multicenter study recently assessed the ability of 6 visual rating scales to correctly classify 186 pathologically confirmed cases of AD, DLB, and FTLD.6 This study showed that simultaneously assessing multiple disease-specific regions provided significantly better discrimination than focusing on a single area.4
Vascular damage is an important consideration when assessing individuals with cognitive impairment. Ischemic change is common in normal aging and is accelerated by common comorbidities (eg, hypertension, diabetes, and hypercholesterolemia). Vascular contributions to cognitive impairment are often inferred when significant white matter hyperintensities (WMH), cortical strokes, or strategically located lacunes are detected on T2-weighted or fluid attenuated inversion recovery (FLAIR) sequences. Lacunar strokes of the basal ganglia and WMH in the centrum semiovale and corona radiata are indicators of chronic small-vessel ischemic damage (Figure 2). In contrast, periventricular caps are often nonischemic in origin and reflect subependymal gliosis.7 There are several WMH severity scales (eg, the Fazekas scale)7 that can be used in clinical settings. Such scoring algorithms all agree that widespread confluent WMH and subcortical lacunar infarcts are, at least in part, likely to be contributing factors to cognitive decline.7
Diffusion tensor imaging (DTI) is a new MRI sequence sensitive to the diffusion of water through tissue that assesses white matter integrity because the architecture of axons constrains the flow of water. Mean diffusivity and fractional anisotropy measures are often used to characterize neurodegenerative changes on DTI. The former measures the magnitude of diffusion and the latter measures whether water is flowing preferentially in a single direction as expected in healthy axons. Decreased mean diffusivity and reduced fractional anisotropy have been consistently reported in both MCI and dementia AD populations.8 Several studies have also identified DTI changes in asymptomatic individuals at risk for developing AD9 indicating that these changes occur early on in the disease course. In addition to assessing white matter integrity, DTI can be used to model gross structural connectivity between cortical regions using tractography algorithms. This has gained traction in the field of AD as evidence suggests that amyloid and tau pathology may propagate via brain connections.10 Although DTI shows potential as a measure of white matter integrity, its sensitivity to movement and other technical constraints, limit, at least for the time being, its clinical application.
Functional Imaging
Brain hypometabolism is readily observed in neurodegenerative disorders and can aid in differential diagnosis. Neuron function is dependent on oxygen and glucose from the blood, delivery of which is facilitated by regional vasodilation. 18F-fluorodeoxyglucose positron emission tomography (FDG-PET) indirectly reflects the degree of cortical activity and can readily be used to visualize neurodegenerative changes by exploiting this metabolic dependency on glucose.
The characteristic hypometabolic cortical signature of AD consists of early changes in the posterior cingulate (PCC); precuneus; temporal, parietal, and, in later stages, frontal cortices. This pattern manifests early, even presymptomatically,11 and is clinically helpful in distinguishing AD from FTD.12 Unlike AD, the metabolic signature of FTD reveals frontal, anterior temporal, basal gangliar, and thalamic hypometabolism with relative sparing of posterior association cortices.13 In clinically uncertain situations, clinicians can use these metabolic signatures to disambiguate AD from FTD.12 Similarly, although the neocortical metabolic signature of DLB can have confounding overlap with that of AD, DLB cases may also show occipital hypometabolism.14
The Center for Medicare & Medicaid Services deems FDG-PET “reasonable and necessary” only for those meeting criteria for both AD and FTD, in whom full diagnostic workup as per AAN guidelines1 has not definitively established an etiology.15
Functional MRI (fMRI) can also measure brain activity by using sequences that are sensitive to temporal changes in oxygenated/deoxygenated hemoglobin due to brain activity. In this way, fMRI is related to FDG-PET because the changes in hemoglobin are driven by glucose metabolism required for brain activity. Temporal dependencies between regions can be used to infer functional connectivity (ie, which regions are actively communicating). Compared with FDG-PET, fMRI offers improved spatial resolution, allowing more accurate mapping of connectivity. Another advantage of fMRI is that it can be acquired during performance of a task or at rest. The former identifies connectivity patterns driven by specific active states, whereas the latter identifies connectivity patterns present at rest known as the default mode network (DMN). The DMN is defined by functional hubs, the PCC and precuneus, which connect to a dorsal medial subsystem and a medial temporal subsystem.16 Amyloid deposition is thought to begin in the functional hubs of the DMN. The DMN is known to be affected in AD.16 In contrast, the DMN is spared in FTD while salience or attention networks are affected.17 Currently, fMRI technology is limited to research applications, but avenues to develop relevant clinically applicable algorithms are actively being explored.
Molecular Imaging
The criterion standard for a definitive diagnosis of AD is postmortem neuropathologic brain examination. Even in the hands of experienced dementia experts, clinical diagnosis of AD reaches only the unsettling sensitivity of 70.9% to 87.3% and specificity of 44.3% to 70.8%.18 Most pertinent to improved clinical diagnostic accuracy of AD has been the development of radiolabeled PET imaging tracers with specific affinity for AD-related ß amyloid and phosphorylated tau aggregates (Figure 3), which allow in vivo demonstration of the underlying neuropathology (Table) once only possible postmortem.


Amyloid Positron Emission Tomography
Amyloid, and more recently, tau imaging have revolutionized our ability to visualize AD pathology even in presymp-tomatic stages.19 Amyloid PET imaging tracers are valid and reliable for detecting in vivo AD pathology at various stages of disease. These imaging tracers bind specific conformational motifs of the amyloid protein and result in a tracer uptake that is tightly correlated with postmortem amyloid deposition.20
Compared with tau, amyloid pathology begins in a more diffusely distributed regional pattern spreading from the basal portions of the frontal, temporal, and occipital lobes to the dorsal neocortical association areas with only late stage involvement of the primary sensory and motor cortices.21 Most notable areas of tracer uptake are frontal, parietal, and lateral temporal cortices (Figure 3), with uptake 1.5 to 2 times greater in people with AD vs control groups22 or those with other dementias.23
Amyloid PET images are assessed for cortical tracer uptake in characteristic areas of AD amyloid distribution. Positive scans show loss of gray/white matter distinction as tracer uptake extends into neocortex. Negative scans retain gray/white matter distinction, showing only white matter off-target binding.24 Amyloid PET imaging patterns can reliably predict cognitive decline in both healthy people and those with MCI.20
18F-florbetapir, 18F-florbetaben, and 18F-flutemetamol are approved by the Food and Drug Administration (FDA) for clinical use.20 Insurance carriers, however, have not embraced the technology, owing to expense and risk of clinical overuse in the absence of disease-modifying therapies and established cost benefit. A meta-analysis reported 95% sensitivity and 57% specificity of a positive amyloid PET scan for predicting conversion from MCI to AD.25
The uncertain relationship among cost, risk, and benefit has led to the development of appropriate-use criteria for amyloid imaging, ascribing the need for amyloid PET evaluation to persons with unexplained MCI, atypical AD presentations, and early onset dementia.26 Experts have also identified inappropriate indications for amyloid imaging that include stand alone evaluation for cognitive concerns prior to thorough clinical, cognitive, laboratory, and structural neuroimaging workup; in the absence of objective cognitive impairment; in high likelihood of AD (ie, in the absence of a clinical equipoise; and for staging of dementia severity.
The imaging dementia-evidence for amyloid scanning (IDEAS) study—an ongoing Center for Medicare and Medicaid Services study—is presently validating the appropriate-use criteria and evaluating the impact of PET-determined amyloid status on disease management and long-term outcomes for Medicare beneficiaries with MCI or atypical presentations. Interim analysis revealed that integrating amyloid PET in the clinical workup resulted in disease management changes in 60.2% of people with MCI and 63.5% of those with dementia.27 Long-term outcomes are still being determined.
Tau Positron Emission Tomography
Tau is the second protein that is deposited in the brains of those with AD. Tau PET imaging tracers are currently under development and already show promise. Similar to amyloid PET, tau PET tracers target particular conformational motifs of phosphorylated tau. The specificity of tau tracers has been validated postmortem,28 and the observed tau PET signal closely matches the anatomic distribution of neurofibrillary tangles currently used for a neuropathological diagnosis of AD.29 The earliest stages of tau pathology that can be visualized with tau PET imaging are the neurofibrillary tangle deposits in entorhinal cortex and the hippocampus. Next, tau deposits become detectable in the inferior and lateral temporal (Figure 3), followed by the parietal and occipital, and finally the frontal cortices following the well-established Braak and Braak pathologic staging of tau deposition through the brain.21 Tau tracers are not without diagnostic limitations and are undergoing further development to better define their clinical role. However, given that tau tracer binding dynamically changes throughout the entire clinical course of AD, this imaging modality will likely play a significant role in staging disease severity in vivo.30
Future Directions
Given that AD pathology can be readily detected up to 20 years before the diagnosis of dementia19 and follows a predictable staged distribution, research is now focused on early presymptomatic detection and improvement of diagnostic accuracy through the use of biomarkers (Table).31 A proposed amyloid-tau-neurodegeneration (ATN) research framework focused on detecting 3 biomarker changes in the brain forecasts the clinical relevance of multimodal imaging.31 The ATN classification system is agnostic of clinical syndromes and captures the full spectrum of neurodegenerative illnesses through an AD biomarker lens. Following further development and refinement, the ATN, through objective in vivo biomarker categorization, is expected to dramatically improve clinical diagnostic accuracy and enhance quality of care.
Conclusion
Neuroimaging offers unique information about the underlying etiology of cognitive impairment and facilitates guidance for patients and families through a fearful and uncertain experience. All neurodegenerative diseases show significant clinical heterogeneity, and before the most recent molecular imaging advances, none could be diagnosed definitively before death. The modern imaging brain technology is able to detect multitude epiphenomena reflecting the underlying neuropathology, some of which is quite proximal to the source of disease. The most confident clinical diagnosis is currently based on an integration of clinical history, physician observations, physical examination, medical workup, neuropsychologic testing and informed interpretation of diagnostic neuroimaging. As the ATN biomarkers are further refined, clinical diagnoses will be made earlier and more definitively in living patients, rely less on symptom classification, and provide opportunities for earlier treatment intervention that may alter the trajectory of neurodegenerative illness.
Ready to Claim Your Credits?
You have attempts to pass this post-test. Take your time and review carefully before submitting.
Good luck!
Recommended
- Imaging & Testing
Neuroimaging After Brain Radiotherapy and Radiosurgery
Venkatesh Shankar Madhugiri, MBBS, MCh, FACS; Neil D. Almeida, MDVenkatesh Shankar Madhugiri, MBBS, MCh, FACS; Neil D. Almeida, MD - Imaging & Testing
Artificial Intelligence in Clinical Neurology: Opportunities, Limitations, and the Path Forward
Aysha Jadran, MD; Saqib A. Chaudhry, MDAysha Jadran, MD; Saqib A. Chaudhry, MD






