Persistent Hemiplegic Migraine in a Child With CACNA1A Sequence Variation and New-Onset Cerebellar Atrophy: A Pediatric Stroke Mimic
This case highlights the need for early exclusion of stroke and seizure, and the importance of preventative therapy in individuals with CACNA1A-related hemiplegic migraine.
Case Presentation
UL, a child with a confirmed CACNA1A R1349Q sequence variation, presented to the emergency department with persistent right-sided weakness following a severe headache that began the previous evening. UL had a known history of hemiplegic migraine episodes occurring every few weeks to months, typically characterized by altered mental status (described by family as appearing “loopy and slow”), followed by headache, right arm and leg weakness, and occasional emesis. These episodes were treated with twice-daily acetazolamide and as-needed home clonazepam, diazepam, and ondansetron, and consistently resolved within 12 hours. UL had experienced a similar episode 1 week earlier that resolved within the typical timeframe; however, the presenting symptoms were more severe and prolonged, lasting 16 hours since onset without improvement.
On presentation, UL presented with a fever of 102.5 °F. Neurologic examination demonstrated somnolence; intermittent ability to follow commands with redirection; left gaze preference; dense right-sided hemiparesis involving the face, arm, and leg; and minimal response to noxious stimuli to the right side of the body. There was subtle movement of the toes of the right lower extremity with repeated encouragement, but inability to move the right upper extremity, including the fingers.
At baseline, UL was nonambulatory due to ataxia and had expressive language difficulties. Receptive language was reported to be intact. UL was able to use a wheelchair independently, communicate through a text-based device, and eat without assistance. UL had experienced less severe but similar episodes in the past, with a particularly notable episode occurring 5 years previously, which involved pallor, rapid eye movements, a fixed staring gaze, mottled skin, and tremulous extremities. At that time UL’s CACNA1A gene mutation had been known, but a diagnosis of seizure-like episode was made. These symptoms improved <12 hours after administration of rectal diazepam. During UL’s hospitalization 5 years previously, hemiplegia episodes occurred during video EEG monitoring but lacked epileptic EEG correlates, which raised concern for nonepileptic events such as migraine-related or channelopathy-related episodes of acute neurologic dysfunction.

Figure 1. EEG recording of lateralized periodic discharges in the left hemisphere, maximal in the left frontotemporal region.
Diagnostic Process
There was initial concern that UL’s symptoms had a vascular etiology; however, CT stroke scans, including CT head, CT angiography head and neck, and CT perfusion, did not reveal any vascular abnormalities. Laboratory investigations including complete blood count and comprehensive metabolic panel tests revealed leukocytosis. Infectious workup—including erythrocyte sedimentation rate, C-reactive protein, procalcitonin, urinalysis, respiratory viral panel, and blood and urine cultures—was obtained, but no source of infection was identified. A lumbar puncture was performed on the second day UL was in the hospital, and cerebrospinal fluid tests were unremarkable, demonstrating no nucleated cells, normal protein levels, and a normal glucose level.

Figure 2. EEG recording of a seizure event in the left temporal region.
UL was continuously monitored with video EEG for 2 days, which revealed a generalized continuous slowing and lateralized periodic discharges (LPDs) at .5 Hz to 1 Hz of frequency over the left hemisphere, most prominent over the left frontotemporal region (Figure 1). Of note, 1 brief electrographic seizure was noted over the left temporal region lasting ~20 seconds without clinical correlation (Figure 2). A 2-mg lorazepam challenge test was performed to help distinguish ictal from interictal phenomena as the source of the LPD pattern, and no significant changes in clinical status or LPD frequency were noted. The EEG findings supported the presence of severe hemispheric dysfunction with evidence of acute cortical hyperexcitability over the left frontotemporal region, consistent with hemiplegic migraine.
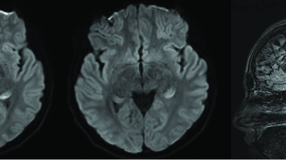
MRI brain scan with and without contrast, although severely limited by motion artifact, revealed a new finding of diffuse cerebellar atrophy compared with a previous study obtained during infancy. A possible poorly visualized region of diffusion restriction and fluid-attenuated inversion recovery abnormality was also evident in the left mesial temporal lobe, which is potentially consistent with postictal changes (Figure 3). These findings, in conjunction with EEG abnormalities, suggest a disturbance in the left cerebral hemisphere in the absence of overt infarction.

Figure 3. Two axial slices and 1 sagittal slice from brain MRI fluid-attenuated inversion recovery imaging. The axial images show left medial temporal hyperintensity, believed to be secondary to seizure-related edema and high levels of expression of the CACNA1A calcium channels in the region. The sagittal image displays the substantial cerebellar atrophy that can be associated with this condition.
Case Resolution
Given the persistence and severity of UL’s symptoms, care was escalated in accordance with emergency guidelines from the CACNA1A Foundation (Table).1 Home medications included acetazolamide 75 mg twice daily (~3 mg/kg/d), clonazepam oral disintegrating tablet .25 mg as needed (.005 mg/kg/dose), and rectal diazepam 2.5 mg as needed (.05 mg/kg/dose). Upon escalation, acetazolamide was increased to 250 mg 3 times daily and intravenous (IV) verapamil was initiated at 5 mg/d, a brief trial of intranasal ketamine at .2 mg/kg/dose was administered, and a 3-day course of high-dose IV corticosteroids with methylprednisolone at 1000 mg/d was initiated. These interventions were selected based on expert consensus supporting their use in refractory hemiplegic migraine, particularly in the setting of CACNA1A sequence variations as recommended by the CACNA1A Foundation. UL was also treated with IV magnesium sulfate at 2 grams daily for 7 days followed by dose reduction, as some evidence has supported its use in treatment of prolonged migraines and hemiplegic migraine.2,3 With this treatment, UL exhibited progressive neurologic improvement to baseline over the course of 14 days—a much slower rate than recovery noted in UL’s previous episodes.
Discussion
The CACNA1A gene encodes the α1A subunit of the P/Q-type voltage-gated calcium channel, which is crucial for neurotransmitter release and cerebellar function, and has been associated with a spectrum of neurologic disorders, including familial hemiplegic migraine type 1, episodic ataxia type 2, and spinocerebellar ataxia type 6.4 Hemiplegic migraine is a well-established presentation of CACNA1A dysfunction, with episodes of fever, headache, hemiparesis, seizures, altered consciousness, and transient cerebral edema in addition to the typical features of migrainous aura.4 These episodes can be difficult to distinguish from acute stroke or seizure activity, which creates a challenge for diagnosis and management early in the clinical course.
In UL, previous episodes of hemiplegic migraine consistently resolved within 12 hours; however, the persistence of acute neurologic deficits beyond the typical time course warranted urgent evaluation to rule out potentially devastating vascular or epileptic etiologies for the symptoms. Existing literature detailing the complications of CACNA1A-related disorders is largely limited to case reports, but there have been instances of cerebral vasospasm leading to acute stroke, including in one individual with the same R1349Q variant as UL.5 In addition, the association between CACNA1A channelopathies and epilepsy is well-documented.6 For these reasons, it was imperative that urgent neuroimaging with CT perfusion and MRI be obtained in addition to early EEG monitoring. Once acute stroke and recurrent seizure activity were ruled out, management of UL’s symptoms shifted toward hemiplegic migraine–specific emergency protocols provided by the CACNA1A Foundation.1
In this case, escalation of treatment under careful supervision was followed by stabilization and gradual return to baseline function. Acetazolamide is a standard medication used to manage CACNA1A-related disorders, and this is supported by case series demonstrating reduced frequency of episodes at doses of 250 to 1000 mg/d.7-9 UL’s home dose of 75 mg twice daily was increased to 250 mg 3 times daily to align with CACNA1A Foundation rcommendations.
Verapamil, valproate, and lamotrigine are other preventive options for episodes of hemiplegic migraine that have been described in the literature.7 Verapamil was chosen based on its established role as a nonselective calcium channel blocker with documented benefit in CACNA1A-related disorders.7,10-11 Initiation at 5 mg/kg/d IV followed by transition to an oral formulation at 80 mg/d was associated with clinical improvement. In the absence of clinical trials to evaluate efficacy, case literature suggests that verapamil may shorten acute attacks and reduce recurrence in some cases.
UL was treated with high-dose IV glucocorticoids due to the imaging findings suggestive of acute cerebral edema, which is a known complication of CACNA1A-related disorders. Previous case reports indicate that steroid treatment is associated with shortened recovery times in individuals with acute cerebral edema.3,12 Given the substantial morbidity associated with cerebral edema, early initiation of steroids is a reasonable consideration when signs of edema are identified.
Imaging results also demonstrated marked cerebellar atrophy, which is a recognized feature of CACNA1A-related disorders.13 Although the timing and progression of this abnormality are uncertain because UL last underwent brain imaging in infancy, the need for structured evaluation throughout development is clear. We also noted asymmetric fluid-attenuated inversion recovery signal in the left mesial temporal lobe, which was believed to be most consistent with postictal edema given the known overlap between CACNA1A channelopathies and seizure susceptibility.
This case highlights the diagnostic uncertainty of CACNA1A-related hemiplegic migraine and emphasizes the need for early exclusion of stroke and seizure, in addition to timely escalation of preventive therapy when symptoms persist beyond their typical timeframes. The clinical response to an increased acetazolamide dose, initiation of verapamil, and corticosteroids for cerebral edema provides additional support for current recommendations in a field where high-quality evidence remains limited.
Ready to Claim Your Credits?
You have attempts to pass this post-test. Take your time and review carefully before submitting.
Good luck!
Recommended
- Alzheimer Disease & Dementias
Special Report: 2025 Neurology FDA Drug & Device Approvals & Clearances
- Stroke
Blood Pressure Targets After Stroke: How Low Is Too Low?
Hatem Tolba, MD; Filza Sikandar, MBBSHatem Tolba, MD; Filza Sikandar, MBBS






