Practical MRI in Neurology: Use Cases, Technologies, and Opportunities for Outpatient Clinics
The question is no longer whether neurologists should integrate imaging as an extension of the neurologic examination, but how to do so effectively, safely, and sustainably.
A 2016 Practical Neurology viewpoint argued that neuroimaging is best understood as an extension of the neurologic examination and that it benefits from being embedded in the practice of neurology.1 Nearly a decade later, that observation remains true, even as the imaging landscape has evolved. Neurologists continue to rely heavily on MRI to guide diagnosis and treatment, yet access to high-field imaging remains limited by cost, scheduling constraints, and geography. Meanwhile, the prevalence and economic burden of neurologic disease have increased, affecting nearly one-third of the US population and approaching $1 trillion annually, underscoring the need for timely, affordable diagnostic pathways.
As neurologists, we are charged with the responsibility of providing the best possible care for our patients. Most of us have experienced challenges related to patient access to quality imaging and misleading interpretations, both of which can compromise patient care. Many neurologists and neurosurgeons contend that organ-specific imaging is increasingly necessary for optimal and cost-effective care. With extensive training in nervous system anatomy, physiology, and pathology, along with clinical acumen, neurologists are best suited to define the appropriateness and timeliness of the various neuroimaging modalities and to assess the significance and implications of imaging findings.
The American Medical Association has long supported organ-specific imaging performed by trained clinical subspecialists, emphasizing that competence and experience—not specialty title—should determine privileges. Most neurologists interpret CT and MRI scans themselves, and their self-confidence in making the correct interpretations is high.2 This raises a persistent question: why has neurology not followed cardiology’s lead in imaging integration? As of 2025, >60 advanced cardiovascular imaging programs existed in the United States, offering 100 to 150 fellowships each year.3 Neurology, by contrast, trains very few imaging fellows annually.
The question is no longer whether neurologists should integrate imaging, but how they can do so effectively, safely, and sustainably. Imaging strengthens diagnostic precision, accelerates care delivery, and enhances practice resilience. The challenge is practical: which individuals, which scanners, and at what scale?
This review highlights shifts in the neuroimaging ecosystem and outlines a framework for evaluating feasibility, economics, and operations. MRI serves as the model modality; positron emission tomography and ultrasound fall outside this scope due to distinct logistical and regulatory considerations.
The Case for Comprehensive, Patient-Centered Neurology
Timely access to neurologic expertise is one of the most powerful determinants of outcome and cost. When individuals with new neurologic symptoms are forced into 2 extremes—waiting weeks or months to see a specialist, or seeking urgent evaluation through costly and often fragmented emergency care—the system pays twice. Delayed diagnosis allows disease to progress, increasing disability, treatment complexity, and long-term expense. Emergency departments, although essential for true crises, are not designed for nuanced neurologic evaluation, continuity, or patient education. The result is higher utilization, redundant testing, poor care coordination, and a missed opportunity to intervene early, when treatment is most effective and recovery most likely. In contrast, early evaluation in an outpatient neurology setting offers a more efficient, accurate, and patient-centered pathway—one that reduces downstream hospitalizations, prevents avoidable admissions, and curtails the economic and human cost of disease progression.
Within that framework, MRI becomes a critical tool. MRI lies at the core of personalized neurology, and when performed in-office, it supports rapid, same-visit assessment that aligns with the goals of early intervention. Immediate imaging enables faster diagnosis, eliminates the delays and logistical barriers of off-site referrals, and keeps the patient anchored within a continuous care relationship rather than being pushed back into high-cost acute care settings. Reviewing MRI results in real time not only sharpens clinical decision-making; it also strengthens the patient–physician connection by visually linking symptoms to anatomy and making abstract disease processes tangible and understandable. This fosters shared decision-making, adherence, and confidence in the treatment plan.
Crucially, in-office MRI elevates care only when it is fully integrated into the practice—delivering rapid, accurate, clinically relevant results and informing treatment without fragmenting workflow. When imaging results are evaluated in the context of clinical findings, genetics testing results, and emerging biomarkers assessment, a comprehensive diagnostic model is created that supports earlier, more precise interventions. As neuroimaging becomes increasingly quantitative and assisted by artificial intelligence (AI), neurologists are uniquely positioned to interpret these data in a manner that remains grounded in empathy, autonomy, and trust. The outpatient neurology clinic—providing timely, continuous, and relationship-based care—is the optimal setting for connecting advanced imaging with humane, high-value patient care.
What Has Changed
Greater Clinical Demand and Increasing Delay
The aging population and expanded use of disease-modifying and anti-amyloid therapies have sharply increased MRI utilization, which is projected to rise by 17% to 27% by 2055.4 Hospital-based scanners often prioritize inpatient studies, leaving outpatients waiting >10 days in nearly half of cases.5 These delays frustrate patients and impede timely diagnosis.
Cost and Site-of-Service Shifts
Higher deductibles have made patients more price-sensitive. Brain MRIs typically cost $400 to $500 in clinics but $1500 to $2500 in hospitals.6 Payers and transparency laws continue to push imaging toward lower-cost sites of service.
Technology Maturation
Advances in magnet design, motion correction, and AI-based reconstruction have revitalized low-field MRI. Ultra-low-field (<0.1T) portable units can now produce diagnostically useful T1- and T2-fluid-attenuated inversion recovery, and diffusion-weighted imaging sequences for selected conditions. These systems require no shielding, run on standard outlets, and can be operated in small spaces. Evidence supports their use for hydrocephalus follow-up, hemorrhage detection, and triage of structural abnormalities.7-11 Point-of-care MRI (POC-MRI) offers rapid, office-based imaging in under an hour, with image quality adequate for targeted neurologic evaluations. High-field MRI remains essential for detailed and serial studies, but modern low-field systems expand access and flexibility.
Regulatory and Payer Environment
Although reimbursement challenges and regulatory pressures remain, bringing imaging under direct practice control gives neurologists greater ability to document medical necessity, streamline approvals, and demonstrate value. The payer landscape has also shifted; ownership of outpatient imaging is increasingly acceptable when it can be shown to improve outcomes, reduce downstream costs, and enhance care coordination. Because neurologists already manage the prior authorization process for their patients, integrating imaging within the practice makes that process more efficient and minimizes administrative back-and-forth between providers and imaging centers.
Accreditation pathways for outpatient MRI are well established. The American College of Radiology and the Intersocietal Accreditation Commission routinely accredit nonhospital scanners, and advisory firms are available to help practices navigate self-referral regulations and anti-kickback requirements. Accrediting bodies such as the Intersocietal Accreditation Commission now include portable MRI within their standards, further legitimizing outpatient deployment and supporting payer coverage.12
What Drives Imaging Referrals
Although an individual neurologist may generate ~500 MRI referrals annually, this average conceals substantial variation. MRI utilization is strongly shaped by the clinical composition of the practice, efficiency of patient access, and timeliness of scheduling and imaging workflow. Clinics that accommodate new consultations within days rather than months—and manage conditions with higher imaging demand—tend to capture a larger proportion of studies internally, enhancing both care continuity and financial performance.
MRI referrals can be broadly categorized by clinical timing and indication, aligning with established appropriateness criteria, as follows:
- New patients or new symptoms: headache with red flags, cognitive decline, first seizure, dizziness, stroke-like episodes13-16
- Chronic disease monitoring: multiple sclerosis (MS), hydrocephalus, dementia, tumor, vascular lesion, routine postsurgical follow-up17
- Therapeutic surveillance: monitoring response to biologic or disease-modifying treatments, such as anti-amyloid therapies or MS disease-modifying therapies18
Certain neurologic conditions account for a disproportionately high share of MRI utilization, including the following:
- Headache: Headaches represent ~25% of all outpatient neurology consults.19 Thus, the number of MRI referrals for headache from outpatient practices may be high, even though only ~12% of new patients undergo MRI and MRI is infrequently ordered at follow-up visits.20 Interestingly, utilization rates are twice as high in large health systems compared with more efficient dedicated headache clinics.
- MS: People with MS receive ~1 MRI annually.
- Dementia: People with dementia typically receive a baseline MRI, with the frequency of subsequent imaging expected to increase as anti-amyloid therapies become more widely used.
- Epilepsy: People with epilepsy almost universally undergo baseline imaging, with repeat MRI performed for surgical planning or assessment of disease evolution.
Thus, the potential for profitable MRI integration is highly practice-specific, depending not only on referral volume but also on patient mix, clinical focus, and workflow efficiency.
The following section illustrates how these high-utilization disorders translate into real-world imaging opportunities—and how emerging POC-MRI systems can make that transition attainable for practices seeking to expand diagnostic capability with minimal financial exposure.
Clinical Examples (Figures 1-6)

Figure 1. Images from individuals evaluated for headache at DENT Neurologic Institute. Low-field point-of-care MRI demonstrates few subcortical foci of T2 hyperintensities consistent with migraine in a study performed to reassure the patient and guide management toward migraine prophylaxis (A). Point-of-care MRI from an individual with chronic daily headache and visual aura excludes mass effect and shows normal intracranial morphology with partially empty sella, consistent with a diagnosis of idiopathic intracranial hypertension. Lumbar puncture opening pressure was 330 cm H2O (B).

Figure 2. Images from an individual with multiple sclerosis receiving disease-modifying therapy. Point-of-care MRI demonstrates stable demyelinating disease without evidence of treatment-related sequalae. Axial (A) and sagittal (B) fluid-attenuated inversion recovery images are shown.

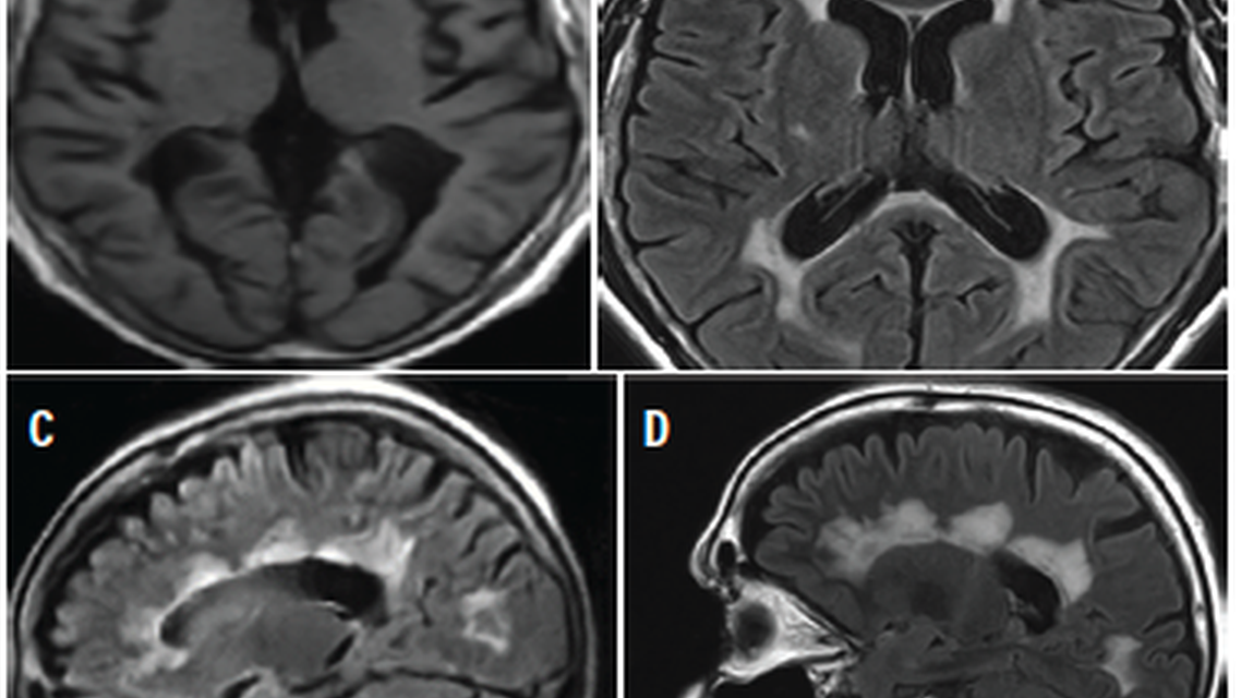
Figure 3. MRI scans from an individual, age early 60 years, with a 36-year history of chronic multiple sclerosis. Point-of-care axial T1-weighted (A) and fluid-attenuated inversion recovery (FLAIR) (B) images demonstrate cerebral atrophy, ex vacuo ventriculomegaly, and substantial periventricular white matter changes, consistent with the history of chronic MS. A point-of-care sagittal FLAIR image (C) is shown for comparison with a sagittal 3T FLAIR image (D).

Figure 4. Images from an individual, age early 30 years, with a 10-year history of chronic migraine. Point-of-care fluid-attenuated inversion recovery MRI (A) and 3T MRI (B) show a pineal cyst with proteinaceous fluid without mass effect. Point-of-care T2-weighted MRI (C) and 3T MRI (D) show no evidence of obstructive hydrocephalus. The individual’s headaches responded to treatment.

Figure 5. MRI scans from an individual, age late 30 years, with a brainstem cavernous malformation associated with large cysts and headaches. Angiography and clinical examination results were normal. Point-of-care axial T2-weighted (A) and fluid-attenuated inversion recovery (B) images are shown alongside corresponding 3T axial T2-weighted (C) and fluid-attenuated inversion recovery (D) images. An anterior pons cavernous malformation is associated with 2 large cysts, one of which contains blood degradation products. Sagittal low-field (E) and high-field 3T (F) images show excellent anatomic localization. These images demonstrate that point-of-care MRI allows for adequate visualization of posterior fossa abnormalities.

Figure 6. Images from an individual, age mid-20 years, with headaches and episodic focal left-sided numbness. Point-of-care MRI shows a lesion in the right middle frontal gyrus with T2-weighted hyperintensity (A) and fluid-attenuated inversion recovery hyperintensity (B) associated with thickening of the gyrus. This is confirmed by 3T MRI T2-weighted (C) and fluid-attenuated inversion recovery (D) images. This most likely represents cortical dysplasia, although glioma remains in the differential diagnosis.
Headache Medicine
In headache evaluation, the neurologist’s primary goal is to exclude serious secondary causes—such as tumor, Chiari malformation, low or high intracranial pressure, hydrocephalus, or vascular malformations—while providing patient reassurance. Most MRIs in this setting reveal no significant findings, yet the reassurance they offer remains clinically meaningful. When secondary causes are suspected, same-visit MRI enables rapid exclusion of mass lesions or other structural abnormalities, helping alleviate anxiety and guide management without delay.
Accurate classification of headache type depends on a detailed history and examination. If the presentation is consistent with migraine or tension-type headache and no red flags are present, neuroimaging is typically unnecessary.21 However, imaging remains vital in cases where symptoms or progression suggest a structural etiology.
Portable MRI can efficiently address these exclusionary concerns, providing timely reassurance, avoiding unnecessary emergency referrals, and improving patient satisfaction. Even capturing a modest fraction of headache-related studies can make portable MRI economically viable for many practices.
Multiple Sclerosis
Nearly all new MS evaluations include baseline MRI, with annual or semiannual follow-up scans to track lesion activity and treatment response. High-field high-resolution MRI (1.5T/3T) with AI volumetrics remains the standard for consistent longitudinal measurement. POC-MRI can complement this workflow by detecting new or enlarging lesions or treatment complications, enabling timely therapeutic adjustments.
Dementia and Neurodegenerative Disease
MRI distinguishes reversible causes of cognitive decline and reveals characteristic atrophy or vascular patterns. Portable MRI can assist in early structural assessment and amyloid-related imaging abnormalities–edema screening in low-risk individuals. Susceptibility-weighted imaging for amyloid-related imaging abnormalities–hemorrhage or microbleeds requires high-field systems. As the use of anti-amyloid treatment expands, dementia may soon rival MS in imaging volume.
Epilepsy
MRI is indispensable for identifying cortical malformations, hippocampal sclerosis, subependymal nodules, and cortical dysplasia. High-field imaging remains necessary for fine structural detail, but POC-MRI can identify gross abnormalities for triage or urgent evaluation, most notably in the older adult with new-onset seizure. Proof-of-concept studies show that portable MRI can localize epileptogenic lesions in >70% of cases.22
Brain Tumors
High-field MRI provides the resolution needed for tumor characterization, surgical planning, and treatment monitoring. Advanced techniques—such as dynamic contrast-enhanced imaging, spectroscopy, and tractography—guide minimally invasive approaches. POC-MRI offers interim evaluation or reassurance between scheduled high-field follow-ups.
Stroke and Traumatic Brain Imaging
High-field diffusion-weighted imaging remains the gold standard for acute ischemia evaluation. However, a recent study shows its value in detecting very small strokes in a timely fashion.22a Portable MRI supports follow-up care, postoperative shunt monitoring for hydrocephalus, and evaluation of mild head injuries, particularly in pediatric or claustrophobic individuals, while reducing unnecessary emergency department visits.
From Opportunity to Decision: A Practical Roadmap
Integrating MRI into neurology practice requires deliberate planning but is increasingly feasible as technology and reimbursement evolve. Neurologists, who determine both imaging indications and longitudinal management, are ideally positioned to optimize utilization and reduce unnecessary scans. With lower site-of-service costs than hospital systems and growing imaging demand, incorporating MRI capabilities can yield a net economic and clinical advantage.
Key steps include the following:
- Quantify actual MRI referral volume: Analyze electronic health record or AI-assisted data to identify cases suitable for high-field MRI or POC-MRI (Table 1). Improved scheduling accessibility enhances capture rates.
- Assess preliminary feasibility: Estimate breakeven volumes for POC-MRI and high-field MRI to gauge opportunity relative to historical or anticipated clinical referrals (Table 2).
- Align technology with clinical and financial opportunity: Obtain quotes from multiple vendors, considering POC, 1.5T, and 3T systems. Work with experts to create a detailed profitability analysis.
- Clarify payer and regulatory requirements: Review certificate-of-need rules,23 self-referral regulations,24 and accreditation standards12; prepare a strong value case for in-office imaging.
- Develop a detailed proforma model: Integrate vendor quotes, reimbursement data, and financing options.
- Start small and scale strategically: Begin with portable MRI for follow-up and triage, and expand to high-field systems as volume grows.
- Plan operations thoughtfully: Site design, staffing, scheduling, and quality oversight should be guided by experienced consultants and manufacturers.


Conclusion
The central principle articulated in 2016 endures: neuroimaging is an extension of the neurologic examination. The 2026 challenge is pragmatic—determining which scanner is appropriate, for which individuals, and at what scale. As summarized in Table 3, the landscape has shifted, bringing new advantages alongside new complexities. Portable MRI has made same-day, in-clinic imaging feasible for common indications, such as headache, concussion, cognitive decline, and treatment surveillance. High-field systems remain essential for diseases requiring detailed structural and quantitative assessment, including MS, epilepsy, and tumor monitoring.

The path forward lies in aligning clinical need with economic sustainability. By translating patient mix into projected imaging volume and matching that volume to the appropriate technology tier, practices can build viable imaging programs that expand access, reduce downstream costs, and strengthen diagnostic precision. Neurologists who approach this decision methodically—considering patient demographics, reimbursement patterns, regulatory factors, and operational support—can reclaim imaging as a core component of comprehensive care. When executed well, in-office MRI shortens delays, avoids unnecessary emergency utilization, and restores imaging to its intended role: an immediate, insightful, and integrated part of neurologic practice.
Looking ahead, the adoption of outpatient imaging carries broader implications for the field. Embedding MRI within neurology practices elevates the need for clinicians who can interpret studies in direct clinical context, fostering closer collaboration between neurologists and neuroimagers. Over time, this demand may catalyze growth in neuroimaging training pathways and fellowship programs tailored for neurologists, expanding the specialty’s capacity to lead imaging-based decision-making rather than outsource it. In this sense, outpatient MRI is not only a solution to current access and cost challenges but also an investment in the future workforce and a catalyst for a more unified, patient-centered model of neurologic care.
*Note: Ultra-low field images included in this article were obtained using a Hyperfine Swoop MRI (Guilford, CT). High-field images included in this article were obtained using a Philips 3T MRI (Cambridge, MA).
Ready to Claim Your Credits?
You have attempts to pass this post-test. Take your time and review carefully before submitting.
Good luck!
Recommended
- Imaging & Testing
Neuroimaging After Brain Radiotherapy and Radiosurgery
Venkatesh Shankar Madhugiri, MBBS, MCh, FACS; Neil D. Almeida, MDVenkatesh Shankar Madhugiri, MBBS, MCh, FACS; Neil D. Almeida, MD - Imaging & Testing
Artificial Intelligence in Clinical Neurology: Opportunities, Limitations, and the Path Forward
Aysha Jadran, MD; Saqib A. Chaudhry, MDAysha Jadran, MD; Saqib A. Chaudhry, MD






