Case Report: Noninvasive Intracranial Pressure Monitoring
Clinical Presentation
Ms BR, age 30, with no significant past medical history, was brought to the emergency department (ED) because of minimal responsiveness after ingesting methylenedioxymethamphetamine (MDMA) approximately 8 hours earlier. She arrived in the morning and had reportedly consumed several liters of water throughout the night. At initial presentation, her eyes were closed, and she could not open her eyes on request. When her eyes were passively opened, she did not attend or track. Ms BR groaned in response to a painful stimulus, had unequal pupils (left, 5 mm and reactive; right, 6 mm and sluggishly reactive), absent corneal reflexes, present gag and cough reflexes, and increased tone in all extremities with minimal withdrawal to painful stimuli.
Diagnostic Studies
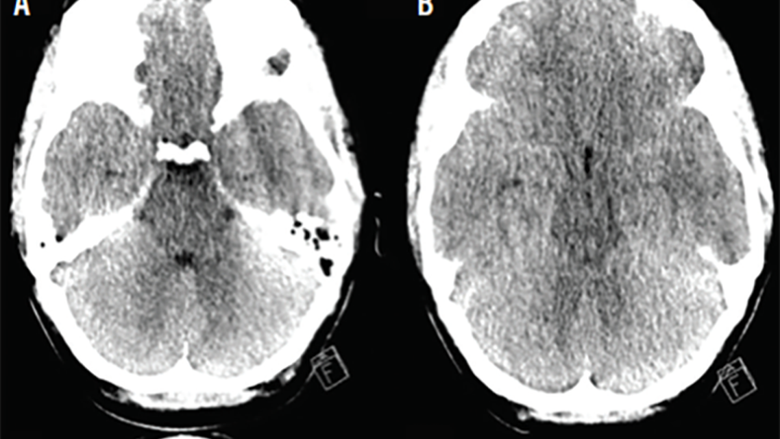
Laboratory studies revealed serum sodium level of 116 mEq/L, and a urine drug screen was positive for amphetamines and benzodiazepines. Head CT (Figure 1) demonstrated diffuse cerebral edema with effacement of the quadrigeminal and basal cisterns. To work up the etiology of Ms BR’s hyponatremia, urinalysis was performed, and results were urine sodium 34 mEq/L, urine specific gravity 1.003, and urine osmolality 127 mOsm/kg.

Differential Diagnosis
Ms BR’s clinical presentation was consistent with global cerebral edema caused by acute hyponatremia. The causes of her hyponatremia are complex. People who ingest MDMA can develop acute hyponatremia via 2 mechanisms. Firstly, they may develop a dehydrated state with ensuing large-volume fluid intake. Secondly, MDMA metabolites may trigger inappropriate secretion of antidiuretc hormone (ADH) in the distal collecting duct of the nephron.1 The resulting increased tone may be caused simply by impending herniation and mass effect on the corticospinal tracts but may also indicate subtle seizures induced by acute hyponatremia.
Management and Treatment
Because there were concerns for impending herniation, Ms BR was emergently intubated with intracranial pressure (ICP) precautions in the ED with the assistance of the neuroscience intensive care unit (NSICU) team. Ms BR was kept upright with assisted bagging until induction with fentanyl, etomidate, and succinylcholine and placement of an endotracheal tube. She was then immediately returned to an upright position, and a propofol infusion was started. A 100-mL bolus of 3% hypertonic saline was administered, which raised Ms BR’s serum sodium level from 116 to 120 mEq/L. She was then transferred to the NSICU.
When Ms BR arrived at the NSICU, optic nerve sheath diameter measurements (ONSDs) were elevated to 0.56/0.6 cm (R/L) and she had spontaneous extensor posturing, although her pupils remained reactive. A 30-mL bolus of 23.4% saline was administered.
A few hours later, in the afternoon, repeat ONSDs were 0.51/0.54 cm (R/L) and transcranial Doppler (TCD) ultrasound imaging of the middle cerebral artery (MCA) was performed (Figure 2). Elevated pulsatility indices (PIs) were consistent with elevated ICP (1.43). An infusion of 2% hypertonic saline was started with agoal of maintaining Ms BR’s serum sodium level at 132 mEq/L. In the evening, repeat ONSDs were 0.35/0.41 cm (R/L), TCD PIs were improved to 0.89/0.81, and serum sodium level was 134 mEq/L. At this point, the 2% hypertonic saline drip was stopped. Use of noninvasive measures (ie, TCD and ONSD) to carefully monitor Ms BR’s ICP continued through the night, and close to midnight her ONSDs had slightly increased to 0.52/0.52 cm. A 20% mannitol bolus was administered followed by 1 L of lactated Ringer’s solution (Table 1). Of note, Ms BR’s pupillary reactivity remained greater than 10% on the pupillometer for the duration of her stay in the NSICU. Her sodium serum level was corrected by 16 points over 9 hours. An EEG was performed, which was notable only for diffuse slowing and attenuation. No epileptiform discharges or any subtle rhythmic slowing were observed.


Outcome
Once Ms BR’s serum sodium level was corrected to a normal level, sedative medications were stopped, and she began briskly following commands. She was extubated within 48 hours of arrival to the ED. At postextubation, she was awake with fluent, prosodic speech, no evidence of neglect, equal and briskly reactive pupils, no other cranial nerve findings, and normal tone and strength in all extremities. Ms BR was discharged home the day after extubation, with no residual cognitive deficits.
Discussion
Acute hyponatremia is a common electrolyte abnormality associated with significant morbidity and mortality. The workup for acute hyponatremia is to obtain a thorough history, with particular attention to past medical and social history, perform a comprehensive physical examination, evaluate whether any hyponatremia-inducing drugs have been used, and obtain laboratory studies. These studies should include a complete metabolic panel, urinalysis, urine electrolytes, and serum and urine osmolality.2
Acute hyponatremia can cause devastating neurologic compromise including seizures and cerebral swelling. Elevated ICP occurs because the decrease in plasma osmolality causes water to flow down an osmotic gradient, primarily into glial cells via aquaporin channels.3 ICP monitoring allows immediate recognition and management of impending herniation. Standard ICP monitoring methods, including intraventricular catheters and intraparenchymal bolts, are invasive procedures that carry risk without much therapeutic benefit in a case of global cerebral edema. In the case presented, noninvasive modalities, including TCD and ONSD, were used for ICP monitoring and management of an acutely ill individual.

Diagnosis
In the context of global cerebral edema, traditional options for ICP monitoring are limited. If no hydrocephalus is present, ICP could be measured invasively with an intraparenchymal monitor; however, invasive procedures come with several risks including infection and hemorrhage. Noninvasive modalities for ICP monitoring, including TCD and ONSD, have become popular alternative safe techniques for monitoring ICP4,5; because they can be done quickly and safely at the bedside, the trend in values can be monitored to evaluate the effectiveness of management strategies.

TCD-derived parameters of the MCA waveform can be used as an indirect measure of ICP to guide therapy. The PI is a commonly used TCD variable calculated as
(systolic blood flow velocity−diastolic blood flow velocity)
(mean velocity)
With stable blood pressure, the PI of the MCA corrlates positively with ICP, and a cut-off of 1.2 to 1.3 suggests increased ICP.6,7 In Ms BR, the initial PI was elevated to 1.43, reflecting increased ICP, and improved to normal values after treatment with hypertonic saline. Many studies have attempted to calculate ICP using the cerebral perfusion pressure, derived from intracranial flow velocities and the arterial blood pressure;8,9 however, no one formula has been shown to be most accurate.
Transorbital ultrasound measurement of ONSD is another promising, noninvasive diagnostic window to ICP values (Table 2).10 The optic nerve sheath is contiguous with the dura. Therefore, changes in ICP are directly transmitted forward causing distension of the optic nerve sheath. Using a vascular ultrasound probe, the orbit is insonated in either the sagittal or transverse plane. The diameter of the optic nerve sheath is measured 0.3 cm posterior to the globe.11 Cut-off values of 0.5 to 0.6 cm suggest the presence of a disease process (Table 2).12-16 Variability may result from both the underlying disease process or reflect normal variations in baseline ONSD from person to person.17 Inter-rater reliability may also contribute to variability of cut-off values.18 The measurement is dynamic, however, and it has been shown that ONSD dynamically changes in response to both rising and falling ICPs.19,20

Treatment
Although acute hyponatremia can be corrected quickly, as was done for Ms BR, overly rapid correction can exceed the brain’s ability to recapture lost osmolytes. This causes an inverse osmotic gradient causing neuronal demyelination termed osmotic demyelination syndrome (ODS). The pons is especially vulnerable to ODS, contributing to central pontine myelinolysis.21 For Ms BR, once targeted serum sodium levels were achieved, mannitol was used as the primary hyperosmolar agent to treat her cerebral edema, preventing too rapid a change in osmolytes and subsequent ODS.

Summary
Acute hyponatremia can cause global cerebral edema, which can manifest with altered mental status and increased tone. The dramatic consequences of acute hyponatremia heighten the need for a sensitive, specific, and ideally noninvasive metric for ICP monitoring. When invasive ICP monitoring is associated with risk and without therapeutic benefit, TCDs and ONSDs may serve as reliable proxies for ICP and help guide treatment. In acute hyponatremia, sodium can be corrected relatively quickly, but a hyperosmolar agent may be needed after correction to prevent rapid osmolar change in the brain with subsequent ODS.
Ready to Claim Your Credits?
You have attempts to pass this post-test. Take your time and review carefully before submitting.
Good luck!
Recommended
- Imaging & Testing
Practical MRI in Neurology: Use Cases, Technologies, and Opportunities for Outpatient Clinics
Joseph Fritz, PhD; Edmond A. Knopp, MD, DABR, FASFNRJoseph Fritz, PhD; Edmond A. Knopp, MD, DABR, FASFNR - Imaging & Testing
Neuroimaging After Brain Radiotherapy and Radiosurgery
Venkatesh Shankar Madhugiri, MBBS, MCh, FACS; Neil D. Almeida, MDVenkatesh Shankar Madhugiri, MBBS, MCh, FACS; Neil D. Almeida, MD






