Bilateral Temporalis Muscle Hypertrophy Presenting With Headache and Facial Pain
The authors present a rare case of bilateral isolated temporalis muscle hypertrophy treated with botulinum toxin A injections.
Case Presentation
MT, aged late 20s, presented with an 18-month history of right-sided headache. The history was not suggestive of migraine, hemicrania, or other primary headache disorders. MT also reported progressive swelling of both temporalis muscles (greater swelling on the right compared with the left) which had been ongoing since the onset of the headache. The pain worsened with chewing or speaking for prolonged periods of time (eg, delivering an oral presentation). The pain was intermittent, described as stabbing and aching in nature, and tenderness of the temples was present. MT denied a history of bruxism, but a review by the maxillofacial team revealed facets on the teeth which suggested bruxism (ie, teeth grinding). MT did not experience any difficulty with speaking or swallowing and did not have abnormal movements in any part of the body. No other individuals in MT’s family had a similar condition.

On examination, bulky temporalis muscles were noted, (greater on the right side compared with the left; see Figure 1). The rest of the examination was unremarkable and no focal neurologic signs to suggest any other secondary causes for the headache were found. The Box includes a summary of the key teaching points of this case report.

Figure 1. Asymmetric bilateral temporalis muscle hypertrophy (right [R] > left [L]).
Diagnostic Process
Inflammatory markers, myopathic screen, anti-muscle-specific receptor tyrosine kinase (MuSK) antibodies, and paraneoplastic screen were negative or within normal range. MRI of the head showed diffuse hypertrophy of the temporalis muscles bilaterally with no bony abnormalities (Figure 2). Biopsy of the right temporalis muscle showed mostly normal muscle but there were some focally enlarged fibers with internal nuclei as well as focal fatty and fibrous replacement of the muscle. These were nonspecific changes that reflected a reaction to chronic damage. There were no biopsy features to suggest inflammatory myopathy or vascular malformation. Based on the MRI and biopsy results, a diagnosis of nonspecific muscle hypertrophy was made.

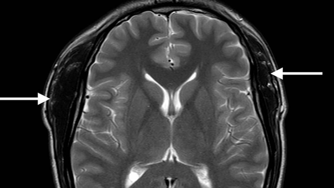
Figure 2. Fast field echo (A), axial T2 (B), and coronal fluid-attenuated inversion recovery (C) MRI scans of the brain showing diffuse hypertrophy of the temporalis muscles bilaterally (right > left).
Case Resolution
MT was less concerned with the pain than he was with the change in facial appearance, which caused considerable emotional distress and resulted in avoidance of social settings and choosing to work from home.
Botulinum neurotoxin treatment was initiated in January 2022, with injection of 50 units of incobotulinumtoxin on the right and 25 units on the left. The treatment resulted in improvement but the effects lasted only 4 to 6 weeks. At the next visit the dose was increased to 80 units on the right and 20 units on the left, which had a more sustained benefit. This dose has been continued at 3-monthly intervals.
Discussion
Headache is among the most common presentations in neurology clinics and can be primary or secondary. Proper history and clinical examination are needed to find the cause and to exclude dangerous etiologies. Oromaxillofacial causes such as temporomandibular joint diseases, dental causes, and sinusitis are known to cause secondary headaches. Bilateral temporalis muscle hypertrophy is a rare cause of headache that can be difficult to treat.
Generalized enlargement of the muscles of mastication in a young girl was first described by Legg in 1880.1 Temporalis muscle hypertrophy is often associated with hypertrophy of the masseter. Initially considered to be idiopathic, it was later thought that bruxism could cause reactive masticatory muscle hypertrophy2,3 due to increased workload.
Isolated temporalis muscle hypertrophy is rare. Causes of hypertrophy of the temporalis muscles include the following:
- Reactive hypertrophy due to increased workload (eg, bruxism, craniofacial or dental deformities, malocclusion of teeth)
- Nonreactive enlargements (idiopathic, but may be a form of focal dystonia)
- Inflammatory (eg, focal myositis, eosinophilic fasciitis, ascending [necrotizing] fasciitis secondary to odontogenic infection)3
- Infectious (eg, temporalis muscle abscess)
- Neoplastic (benign [lipoma], malignant [intramuscular lymphoma, leukemic infiltration/granulocytic, sarcoma/liposarcoma, rhabdomyosarcoma], or metastatic [carcinoma, melanoma])
- Genetic3
- Masticatory muscle myopathy (ie, hypertrophic branchial myopathy)3,4
- Vascular malformation (eg, intramuscular cavernous hemangioma)
- Idiopathic
A literature search performed by the authors of this article found 17 cases of isolated temporalis muscle hypertrophy (not including masticatory muscle hypertrophy) diagnosed as reactive or idiopathic (Table). Only 5 cases of bilateral hypertrophy were reported. The female:male ratio was 9:7. Most cases were painless, and swelling was reported as progressive, intermittent, or fluctuating.


Histology was unremarkable in most cases but one case showed evidence of noninflammatory myopathy.5 Treatment included botulinum toxin A injections. Muscle resection was performed in some cases with satisfactory results, although a case of recurrence after 9 years was reported.6
Because no cause for MT’s condition was found after performing investigations including blood tests, MRI, and muscle biopsy, the condition was categorized as idiopathic hypertrophy. There was no history suggestive of bruxism, although tooth wearing supported this diagnosis. True bruxism will usually cause hypertrophy of masseter muscle due to a hard biting effect. Activation of temporalis muscles is associated with a chewing effect. Thus, the isolated temporalis hypertrophy in this case is likely to represent a form of focal dystonia.
Isolated temporalis muscle hypertrophy is rare and bilateral hypertrophy is more rare. Treatment of temporalis muscle hypertrophy as a cause of headache is challenging and literature pertaining to management options is limited. Diagnosis is important and requires a thorough history, examination, and diagnostic studies.
After a discussion of risks and benefits with MT, muscle biopsy was performed to rule out ominous causes such as idiopathic inflammatory myopathy, rhabdomyosarcoma, infiltrative leukemia, or lymphoma. Interpretation of the biopsy report was challenging because the temporal muscle is not a common biopsy site and the spectrum of normal and pathologic changes is not well understood. However, inflammatory, neoplastic, and vascular malformations were excluded based on histopathology and MRI results.
Although MT had intermittent pain and discomfort, MT’s main concern was their change in physical appearance which produced profound psychologic effects leading to limitation of social interactions and switching to working from home. The presentation of hypertrophy of temporalis muscles can result in a facial appearance which may be interpreted by others as the appearance of an aggressive individual or an individual with a violent personality.7
No specific or generally accepted treatment plan exists for temporalis muscle hypertrophy and therapy needs to be specifically tailored to each individual. Analgesics can be used for painful swelling and a bite-freeing splint may be used for teeth clenching and bruxism.
Morselli7 described a surgical procedure for reduction of bilaterally hypertrophied temporalis muscles using principles of liposuction in which superficial layers of the temporalis muscle are suctioned. Satisfactory aesthetic outcomes were reported and were dependent on correct performance of the surgical procedure.7 Risks of surgery, such as general anesthesia, postoperative hemorrhage, edema, hematoma formation, infection, scarring, trismus, fibrosis, decreased range of motion, and nerve damage, must be taken into account with this approach.8
Botulinum toxin has been used for various indications, but it is an expensive procedure and is not approved by the Food and Drug Administration for the treatment of temporalis muscle hypertrophy. Botulinum toxin type A has shown aesthetically good results (ie, a grade of good or excellent at 12 weeks) for the treatment of masseter muscle hypertrophy.8 Some individuals have received symptomatic relief and reduction in muscle mass with abobotulinumtoxinA (Dysport; Ipsen Group, Cambridge, MA) (Table).. Because there is no recommended dose, frequency, or duration of botulinum toxin treatment for temporalis muscle hypertrophy, the clinician needs to decide on an appropriate treatment plan based on the desired response and the potential side effects.
MT’s treating physicians had a thorough discussion with MT about surgical resection of the muscle vs botulinum toxin injections. MT did not want to undergo a surgical procedure and provided informed consent to undergo treatment with botulinum toxin type A injections.
Bilateral temporalis muscle hypertrophy is a rare condition that poses unique diagnostic and therapeutic challenges, particularly when it presents with headache. Tailored treatment, such as botulinum toxin type A injections, can provide symptom relief and improve quality of life, but ongoing management must be carefully individualized to address both the physical and psychologic effects of the condition.
Ready to Claim Your Credits?
You have attempts to pass this post-test. Take your time and review carefully before submitting.
Good luck!
Recommended
- Imaging & Testing
MRI Clues to Intracranial Infection: Differentiating Bacterial, Viral, Fungal, and Parasitic CNS Disease
Márk Kozák, MD; Máté Sik, MDMárk Kozák, MD; Máté Sik, MD - Imaging & Testing
Artificial Intelligence in Clinical Neurology: Opportunities, Limitations, and the Path Forward
Aysha Jadran, MD; Saqib A. Chaudhry, MDAysha Jadran, MD; Saqib A. Chaudhry, MD - Alzheimer Disease & Dementias
Special Report: 2025 Neurology FDA Drug & Device Approvals & Clearances






