Parry-Romberg Syndrome With Drug-Resistant Epilepsy
Background
PRS, also known as progressive hemifacial atrophy, is a rare acquired presumed autoimmune condition typically beginning in childhood with predominance in chromosomally female persons (XX homozygotes).1 PRS was first described by Parry in 1825 and subsequently by Romberg in 1846. Although no universally accepted diagnostic criteria exist, the diagnosis is based on clinical manifestations and supported by imaging and histopathologic findings.

Diagnosis
PRS is characterized by unilateral atrophy of the facial connective tissues, most commonly in the maxillary region.1 Other dermatologic manifestations include unilateral atrophy of the skin, subcutaneous tissues, muscles, and bony structures of the face. There may be alopecia and hyperpigmentary changes of the skin,2 often within distributions of the trigeminal nerve.3 In some individuals, there may also be associated ipsilateral cerebral atrophy and neurologic manifestations, including headaches and seizures.4-9 Epilepsy is among the more common neurologic manifestations in PRS, ranging from 11% to 13%.1,4-10 Epilepsy more commonly develops after the onset of cutaneous manifestations, although seizures that precede cutaneous symptoms have been reported in up to 19% of cases. Approximately half of persons with epilepsy and PRS go on to develop drug-resistant epilepsy. Among those who develop epilepsy, focal impaired awareness seizures with progression to bilateral tonic-clonic seizures are most common.5 Other neurologic manifestations reported in the literature include trigeminal neuralgia, migraine, and structural anomalies, including intracranial aneurysms and other intracranial vascular malformations.3,11-14

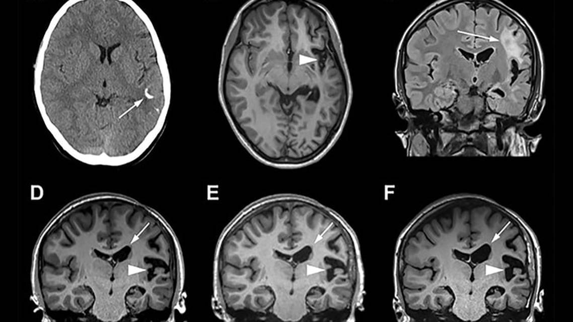
Brain MRI findings are typically ipsilateral to the hemifacial atrophy, although they can be bilateral. The most common imaging findings include white matter hypodensities on CT scans with corresponding T2 or fluid-attenuated inversion recovery (FLAIR) white matter hyperintensities.4,15-16 Intracranial calcifications, predominantly in the frontal lobe, are commonly seen on CT.15-16 Focal or unilateral atrophy is also commonly observed, typically ipsilateral to the cutaneous manifestations.15-17 Other MRI findings include cortical thickening with associated meningeal enhancement, ipsilateral hemorrhages, and cavernous malformations.18 Radiographic findings may be progressive but typically do not progress at the same rate as cutaneous manifestations. 18-19 Histologic findings in PRS may include atrophy of multiple skin layers, including the epidermis, dermis, subcutaneous tissue, and hair follicles.2 There is often associated inflammatory lymphocytic infiltrate, as seen in the case presented here.2

Differential Diagnosis
The differential diagnosis for progressive hemiatrophy includes Rasmussen encephalitis, Barraquer-Simons syndrome, Sturge Weber syndrome, and Dyke-Davidoff-Mason syndrome.4,20-21 Rasmussen encephalitis is a condition characterized by progressive inflammatory destruction of 1 hemisphere of the brain, leading to neurologic manifestations including progressive contralateral hemiparesis and epilepsy (See Progressive Drug-Resistant Epilepsy & Behavior Changes in this issue).20,22 Similar to PRS, Rasmussen encephalitis is hypothesized to have an autoimmune etiology, and there is thought to be some overlap between it and PRS.23 Differentiating PRS from Rasmussen encephalitis may be difficult. Clinical signs and symptoms (eg, epilepsia partialis continua in Rasmussen encephalitis or cutaneous involvement in PRS), however, can guide the clinician to the correct diagnosis. Barraquer-Simons syndrome is rare acquired lipodystrophy characterized by symmetric, bilateral subcutaneous fat loss.24 Unlike PRS, Barraquer-Simons syndrome is associated with bilateral, symmetric cutaneous manifestations and endocrine manifestations, including diabetes and hypertriglyceridemia.24 Sturge-Weber syndrome is a congenital disorder with cutaneous manifestations, including port-wine stain, most commonly found in the distribution of the trigeminal nerve,21 and neurologic manifestations including cerebral hemiatrophy, epilepsy, and a wide range of malformations of cortical development. The port-wine stain has also been described in patients with PRS.10 Dyke-Davidoff-Mason syndrome is characterized by unilateral cerebral atrophy, facial asymmetry, hemiparesis, and seizures due to a disruption in brain development in utero or during early childhood.21,25 The facial asymmetry in Dyke-Davidoff-Mason syndrome is due to compensatory hypertrophy of the calvarium and sinuses rather than cutaneous and subcutaneous atrophy, as seen in PRS.25
Treatment
PRS signs and symptoms typically progress slowly over 2 to 20 years before spontaneously remitting.4 The pathophysiology of PRS is speculated to be autoimmune, and treatment is centered on this hypothesis, with immunosuppressant therapy the cornerstone of the treatment. The standard treatment is methotrexate, although dosing is not standardized and ranges from 0.3 to 1 mg/kg per week.4 Because of the delayed effect of methotrexate on inflammation, it is coadministered with prednisone during the first 3 months of therapy, typically dosed at 1 mg/kg/day for 2 months followed by a 1-month taper.4 Although the duration of therapy has not been standardized, the risk of relapse has been inversely associated with the duration of therapy. A course of at least 1 to 2 years has generally been recommended, with longer treatment durations reported.4,10 Treatment of seizures includes typical ASMs, but immunosuppressive drugs should also be considered. Surgical intervention could be considered if these therapies fail to control seizures, although removing a causative lesion does not preclude another epileptogenic lesion from arising in a different location. For some cases, a resective approach may not be successful unless a hemispherectomy or hemispherectomy is done. Adjunct neuromodulation therapy, including VNS, can also be considered, although it was ineffective in the case of Ms J.
Summary
Diagnosis of PRS can be delayed owing to its rarity, as seen for Ms J, with the connection between the cutaneous manifestations and epilepsy not recognized initially. The most common neurologic manifestations of PRS include epilepsy and headaches. Early diagnosis of PRS in individuals with epilepsy is critical for making timely treatment decisions; skin findings ipsilateral to imaging abnormalities is an important diagnostic clue. Treatment centers on ASMs and immunosuppression. It is unclear, however, if early intervention with immunosuppressive therapies can circumvent the development of drug-resistant epilepsy or inhibit the insidious progression of the disease.
Ready to Claim Your Credits?
You have attempts to pass this post-test. Take your time and review carefully before submitting.
Good luck!
Recommended
- Alzheimer Disease & Dementias
Special Report: 2025 Neurology FDA Drug & Device Approvals & Clearances









