Imaging & Testing
Episodes 1-16 of 22
- Imaging & Testing
The Whole Physician: Addressing Imposter Phenomenon in the Physician Population
Jill R. Baron, MD; Jennifer Villwock, MDJill R. Baron, MD; Jennifer Villwock, MD - Imaging & Testing
Case Report: Reversible Cerebral Vasoconstriction Syndrome Presenting as Vasospastic Angina
Nidhi Ravishankar, MD; Mehrdad Estakhr, MDNidhi Ravishankar, MD; Mehrdad Estakhr, MD - Imaging & Testing
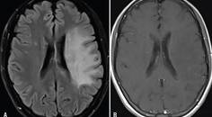
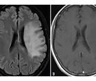
Case Conference: When ‘3-for-5’ Is Not Enough
Ilya Kister, MD, FAAN; José Biller, MDIlya Kister, MD, FAAN; José Biller, MD - Imaging & Testing
Case Conference: Shaky Vision & Tired Left Eye
Ilya Kister, MD, FAAN; José Biller, MDIlya Kister, MD, FAAN; José Biller, MD - Stroke
Stroke Snapshot: Reversible Cerebral Vasoconstriction Syndrome
Michael Teitcher, MD; José Biller, MDMichael Teitcher, MD; José Biller, MD - Stroke
Stroke Snapshot: Intracranial MRI Vessel-Wall Imaging
Mitchell Barnes, DO; Parham Moftakhar, MDMitchell Barnes, DO; Parham Moftakhar, MD - Imaging & Testing
Diversity in Aging-Related Neuroimaging Research
Benjamin L. Brett, PhD; Julie A. Schneider, MDBenjamin L. Brett, PhD; Julie A. Schneider, MD - Epilepsy & Seizures
Epilepsy Essentials: In-Home EEG During the COVID-19 Pandemic
Michelle L. Dougherty, MD, FAAN, FAESMichelle L. Dougherty, MD, FAAN, FAES - Imaging & Testing
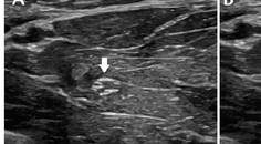
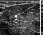
Neuromuscular Notes: Neuromuscular Ultrasound in Polyneuropathy
Michael S. Cartwright, MD, MS; Column Editor: William S. David, MD, PhDMichael S. Cartwright, MD, MS; Column Editor: William S. David, MD, PhD - MS & Immune Disorders
Multiple Sclerosis Minute: The Central Vein Sign in Diagnosis of Multiple Sclerosis
Barbara S. Giesser, MD, FAAN, FANA; Marwa Kaisey, MDBarbara S. Giesser, MD, FAAN, FANA; Marwa Kaisey, MD
- Prev
- Next































