An Unusual Case of Adult-Onset Rapidly Progressive Leukoencephalopathy Associated With POLR3B-Related Sequence Variation
This presentation of a severe phenotype with late onset and rapid disease progression broadens the clinical spectrum associated with POLR3B pathogenic variants.
EM, an individual aged 40 to 50 years with a history of generalized anxiety disorder and unclassified epilepsy, initially presented to the clinic for evaluation of seizures. Seizure onset had occurred in early adolescence. The main seizure types experienced consisted of staring spells and generalized tonic-clonic seizures, with a frequency of once per week. EM denied other neurologic symptoms. The physical examination did not show any dysmorphic features, and neurologic examination results were normal. EM had a family history of second-degree relatives with multiple sclerosis (MS) and other neurologic conditions of unknown etiology.
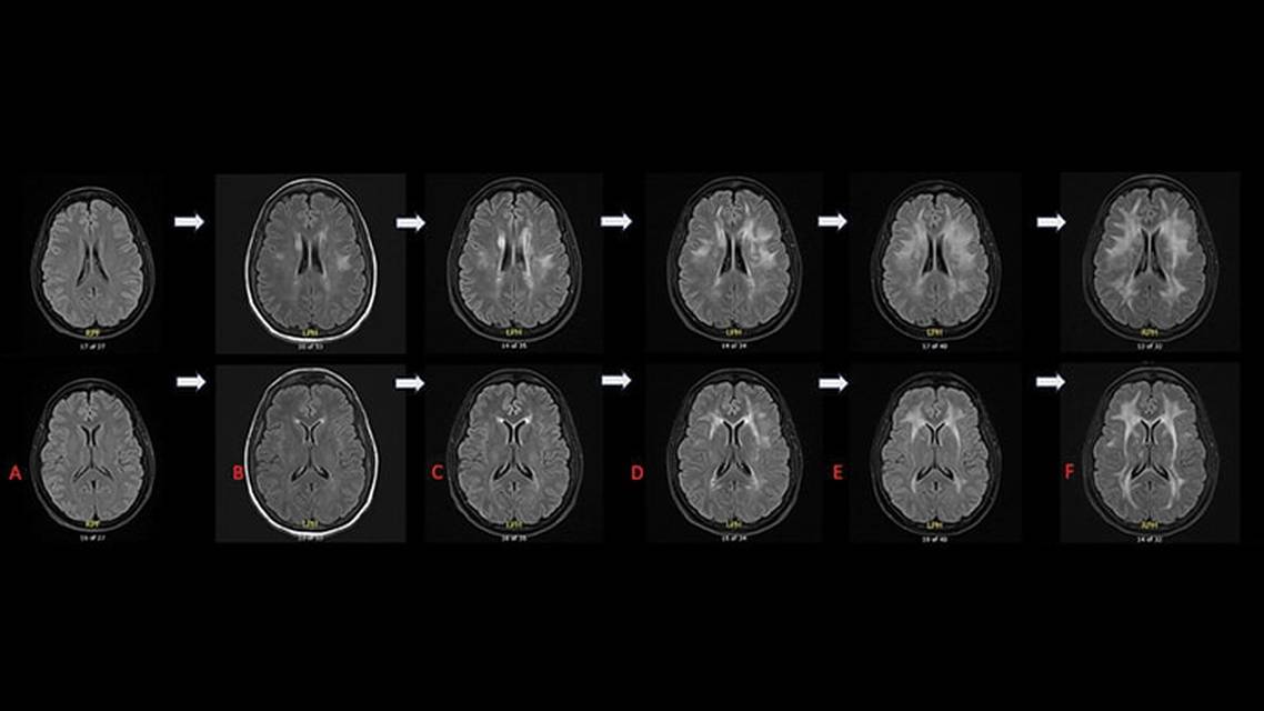
As part of the seizure evaluation, EM was admitted to the epilepsy monitoring unit. EEG revealed generalized spike and wave complexes and generalized polyspikes suggestive of idiopathic generalized epilepsy. Brain MRI performed 8 months before the visit had normal results.
A month after discharge, EM began experiencing fatigue, intermittent bilateral leg numbness, horizontal double vision, and short-term memory loss.
Diagnostic Process
Brain MRI was repeated and showed patchy periventricular and subcortical white matter changes without gadolinium enhancement. Spine MRI did not reveal any abnormalities. Cerebrospinal fluid testing results were within normal limits (0 nucleated cells/μL, protein 17 mg/dL, and glucose 54 mg/dL). Initial oligoclonal bands testing results were indeterminate. Based on the presentation, EM met the 2017 McDonald criteria for MS diagnosis.
The symptoms continued to progress. Four months later, brain MRI was repeated and showed substantial progression of the confluent and patchy T2/fluid-attenuated inversion recovery (FLAIR) hyperintense signal involving the subcortical, deep, and periventricular white matter, which was most pronounced at the bilateral frontoparietal lobes, without associated enhancement. Spine MRI results remained unchanged. Neuropsychologic testing showed evidence of a moderate cognitive disorder with a cognitive profile of bihemispheric deficits with frontal and subcortical involvement. Psychiatric comorbidities of depression and anxiety were noted. This led to reevaluation of the diagnosis of MS.
CT angiogram of the head and neck revealed no evidence of vasculitis. Serum laboratory studies—including vitamins B1, B6, and B12; antinuclear antibody; perinuclear and cytoplasmic antineutrophil cytoplasmic antibody; SSA; SSB; thyroid-stimulating hormone; thyroid antibodies; neuromyelitis optica aquaporin 4 and myelin oligodendrocyte glycoprotein immunoglobulin G; rapid plasma reagin; human immunodeficiency virus; hepatitis panel; human T-cell lymphotropic virus antibody screen; very long and branched fatty acid profile; hypercoagulable studies; and glial fibrillary acidic protein—had unremarkable results. Cerebrospinal fluid analysis was repeated and did not show any abnormalities. Repeat oligoclonal band and autoimmune encephalopathy panel (ENC2) from the Mayo Clinic had negative results. Malignancy screening with whole-body PET scan did not show any suspicious findings.

Brain magnetic resonance spectroscopy was pursued and showed extensive white matter signal abnormality with decreased N-acetylaspartate peaks, with severe involvement of the confluent periventricular white matter lesions. The most severely affected white matter lesions demonstrated elevated choline to creatine ratios and high myoinositol peaks. The findings were nonspecific, but acquired vs genetic adult leukodystrophy was suspected.
Case Resolution
EM underwent genetic testing with the Invitae Leukodystrophy and Genetic Leukoencephalopathy Panel and the Add-on Adult-onset Leukodystrophy and Leukoencephalopathy Panel (Invitae, San Francisco, CA). The results were uncertain, with 11 variants of uncertain significance identified. Because of the broad differential diagnosis, the decision was made to start immunotherapy; however, while awaiting approval, EM’s condition worsened. Repeat brain MRI showed further progression of severe, diffuse, and confluent white matter signal abnormalities of the cerebral white matter (Figure). Treatment was not initiated due to the emergence of an alternative diagnosis.
An update of the genetic analysis was received, with reclassification of 1 pathogenic variant identified in c.2303G>A (p.Arg768His): a heterozygous variation in POLR3B. EM had genetic consultation, and the diagnosis of a POLR3B-related hypomyelinating leukodystrophy was made. One year later, EM continued to decline clinically and radiologically.
Discussion
Leukodystrophies are a group of rare conditions with variable clinical presentation that predominantly affect the white matter of the central nervous system. These disorders are often due to genetic variations. The diagnosis of leukodystrophy is typically considered in pediatric patients; however, some forms are recognized to start in adulthood. Adult-onset leukodystrophy is a challenging diagnosis because it might not have the typical characteristics of childhood-onset leukodystrophy.1
POLR3-related disorders are associated with pathogenic variants in POLR3A, POLR3B, POLR1C, or POLR3K genes. POLR3A and POLR3B encode the 2 catalytic subunits of RNA polymerase III, which synthesizes numerous small noncoding RNAs.2POLR3-related leukodystrophy clinical hallmarks include neurologic findings of upper motor neuron signs, cerebellar features, and cognitive dysfunction. In addition, associated dental, ocular, and endocrine abnormalities are common in childhood-onset cases.3
Reports of adult-onset POLR3B-related hypomyelinating leukodystrophy in the literature are rare. EM had an unusual clinical presentation of POLR3-related leukodystrophy, starting with the age at presentation and progression. In previously reported cases, the typical onset of this condition was in early childhood, and most late-onset cases did not occur after 23 years of age.4,5 In addition, individuals with delayed disease onset usually manifested a slower progression and milder disease course when compared with patients with childhood onset.5-7
Adult-onset leukodystrophies are reported to have a wider phenotypic spectrum, with more neuropsychiatric and behavioral symptoms involved.8 In our case, the neurologic manifestations comprised mostly moderate cognitive disorder and neuropsychiatric symptoms. Yang et al9 also reported mild cognitive or behavioral symptoms in adults with POLR3B-related hypomyelinating conditions.
The clinical features were nonspecific in this case, making the brain MRI the most important diagnostic tool to suggest a white matter disease. The MRI pattern of diffuse symmetric patchy foci of hyperintense signal within the periventricular, deep, and subcortical white matter of the frontoparietal lobes was similar to findings previously described in POLR3-related leukodystrophy caused by POLR3A or POLR3B variants.4
Another interesting feature of this case is the presence of normal brain MRI results 8 months before presentation and the extent of the progression of demyelinating changes in repeat interval MRI scans at 6 and 12 months later, which is unusual for a genetic condition. The diagnosis of this condition can be challenging when initial clinical and radiographic findings overlap with acquired demyelinating disease.
The severe phenotype with late onset and rapid disease progression broadens the clinical spectrum associated with POLR3B pathogenic variants10 and emphasizes the importance of constant reclassification of new pathogenic variants with next-generation sequencing technology for cases with strong clinical suspicion of a genetic etiology.
Ready to Claim Your Credits?
You have attempts to pass this post-test. Take your time and review carefully before submitting.
Good luck!
Recommended
- Epilepsy & Seizures
Pharmacology of Emerging Selective Sodium Channel Antagonists for the Treatment of Epilepsy
Raman Sankar, MD, PhD, FAAN, FAESRaman Sankar, MD, PhD, FAAN, FAES - Epilepsy & Seizures
Innovations in Less-Invasive Epilepsy Surgery
Ryan Gallagher, MD; Aria Fallah, MD, MS, MBARyan Gallagher, MD; Aria Fallah, MD, MS, MBA - Epilepsy & Seizures
Pharmacologic Management of Behavioral Challenges and Psychiatric Comorbidities in People With Epilepsy
Lauren Waldron, MDLauren Waldron, MD






