Pompe Disease
Pompe disease is a rare metabolic myopathy caused by a deficiency of the alpha-glucosidase (GAA) enzyme, which is involved the breakdown of glycogen. The GAA deficiency leads to glycogen accumulation in lysozymes in many tissues with skeletal and cardiac muscle involved disproportionately.1 Infantile Pompe disease typically presents with severe cardiomyopathy, respiratory insufficiency, and hypotonia; if left untreated, it is fatal within the first year of life.2 Onset of this metabolic myopathy after age 1 year is considered late-onset Pompe disease (LOPD). This distinction, however, belies the spectrum of severity seen in cases across childhood, juvenile, and adult onset.
An autosomal recessive condition, LOPD, is in the differential diagnosis for those with muscle weakness and respiratory difficulties and can be challenging to diagnose because of the phenotypic variability and the wide range of age at onset. The availability of enzyme replacement therapy (ERT) and potential of upcoming gene-therapy trials underscores the need for timely and accurate diagnosis of LOPD. This review summarizes the clinical features, investigations, current treatments and future directions for diagnosis and management of LOPD.
Clinical Presentation
The classic presentation of LOPD is a slowly progressive limb-girdle weakness that is often worse in the legs and axial musculature with early respiratory involvement. A growing body of cross-sectional work, however, suggests a wider spectrum of phenotypes than once considered. Initial skeletal muscle symptoms may be nonspecific and include myalgia, exercise intolerance, and fatigue that may precede frank muscle weakness. The degree to which certain muscles are affected is variable but tends to follow a particular pattern of weakness. In the thighs, the hip extensors, adductors, and abductor compartments are prominently affected with early adductor magnus and semimembranosus involvement.3 This lower-extremity pattern leads to the classic waddling gait often observed in people with this condition. Although the arms and shoulder girdle tend to be involved later, scapular winging or protrusion was seen in 33% (28 / 84) of participants in a prospective study.4 Evaluating infraspinatus weakness, which may be seen in up to 66% of patients with LOPD, may be more useful. Axial weakness, particularly in the paraspinal and abdominal wall muscles, may lead to development of lumbar hyperlordosis or even rigid spine syndrome, which is limited flexion of the neck and lumbar spine with axial muscle atrophy. Scoliosis is also a common occurrence in LOPD; a study reported scoliosis in 33% (235 / 711) of participants, typically those with earlier age of onset.5 Facial and bulbar weakness is seen, with tongue weakness and hypertrophy being the most prominent findings. Tongue “bright” spots have been noted in a recent MRI study.6 Dysarthria and dysphagia are described, although these are less severe compared to other features of the disease when present. Eyelid ptosis, which can be asymmetric, has been found in as many as 22% of individuals with LOPD.4 As weakness progresses over time, trouble with walking, running, standing from a seated position, or climbing stairs develops. Eventually assistive walking aids or wheelchair use may be required.7 It is likely that a component of fatigue and poor exercise tolerance is related to this clinical decline.8
Cardiac issues are less prominent in LOPD than in the infantile form, and there is a possible correlation with age of onset.9 In a study of 46 participants with LOPD and onset after age 18 years, only 2 cardiac abnormalities were seen. A single person had a prolonged P-R interval and another, who used a wheelchair to function, had edema and ventricular hypertrophy.10
The decline in respiratory function is mainly secondary to diaphragm weakness, although abdominal wall musculature weakness is also a contributor. Regular lung function assessment is needed, including measurement of sitting and supine forced vital capacity (FVC). A change in FVC of more than 20% indicates reduced diaphragm strength and a difference of 10% raises concern for diaphragmatic weakness.11 A prospective study found that 29% of the participants used mechanical ventilation at night and sometimes during the day.3 The weakness of the respiratory muscles coupled with weakness in the oropharynx leads to sleep-disordered breathing in a majority of individuals and contributes to daytime sleepiness and fatigue. Those with these symptoms should have sleep study testing for sleep apnea and may benefit greatly from nocturnal ventilation.11 As respiratory function declines, use of bilevel positive airway pressure (BIPAP) may be required not just during sleep but also during the daytime hours as well. Even in the age of ERT, respiratory failure remains a major concern in LOPD and is a common cause of death.11
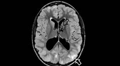
In addition to muscular abnormalities, numerous other systems are involved in LOPD. Cerebrovascular involvement including stroke, aneurysm, and hemorrhage has been described and, although it is not fully understood, may be related to glycogen deposition in the smooth muscle component of cerebral arteries.12 A study of over 200 individuals found cerebral aneurysmal rupture resulted in 3% of deaths, although the study population included people with atypical forms of infantile Pompe disease.3 Small fiber neuropathy has been described, and a study reported neuropathic involvement in 50% of the people who reported pain and discomfort or temperature alterations.9
Epidemiology
The epidemiology of Pompe disease is not clearly delineated. The incidence at birth for all lysosomal storage diseases has been described as 1 in 14,000 to 100,000 in a study in the Netherlands.13 Other studies note that incidence varies with ethnicity, with increased rates in African Americans.
Newborn screening programs in Pompe disease are a nascent development arising from the concept that there may be benefit to early diagnosis now that an effective treatment is available. Only a few states have implemented testing, such that there is prevalence data for Pompe disease from Missouri, New York, Washington, and Illinois. This preliminary data suggests a prevalence of 1 in11,000 to 65,000 for both infantile and late-onset forms. There have been several challenges regarding how to proceed for infants who screen positively for LOPD, which may not manifest symptoms for decades and the potential that early diagnosis could create an unnecessary emotional burden because presymptomatic treatment has been proven as preventive.14
Diagnostic Testing
Testing for LOPD is typically part of an investigation for weakness. It can be difficult to diagnose LOPD because of the relative rarity of the disease, wide variability in the weakness and respiratory involvement that may overlap with many neuromuscular diseases, and the wide range of ages at which it can manifest. That it is not unheard of for individuals to be diagnosed in their eighth decade underscores the last point.15
Blood Tests
Laboratory investigations include creatine kinase (CK) levels, which are usually not more than 5 times the normal reference levels.9 Several studies have found that approximately 1% to 2% of asymptomatic hyperCKemia is caused by LOPD.16 However, normal CK levels do not rule out the diagnosis, especially for those with a longer disease duration.17 Liver enzymes alanine transaminase (ALT) and aspartate transaminase (AST) are usually elevated as is lactic acid dehydrogenase (LDH).
Electrophysiologic Findings
Nerve conduction studies are typically normal in LOPD, and EMG findings are not consistently found. A myopathic pattern with mild membrane irritability and occasional myotonic discharges confined to the tensor fasciae latae and paraspinal musculature has been described, however, and needle EMG, including thoracic paraspinal musculature, is needed.18
Muscle Imaging
Muscle imaging with MRI has demonstrated fatty replacement, abnormal signal, and atrophy in paraspinal muscles and select early changes in thigh muscles, including the adductor magnus and semitendinosus. Changes seen on MRI eventually involve most muscles in the thigh as LOPD progresses. In particular, fat infiltration has been demonstrated to change over time and correlates with weakness in quantitative MRI studies.19 Although MRI findings can provide evidence of muscle involvement, they should not be used for definitive diagnosis of LOPD.
Muscle Biopsy
The utility of muscle biopsy for the diagnosis of Pompe disease is unreliable, although it is often performed as part of the workup for a presumed myopathy with a limb-girdle pattern. Typical nonspecific morphologic features in LOPD include fiber size variation, centralized nuclei, occasional necrosis, and regenerating fibers. Histopathology classically demonstrates muscle fibers with vacuoles containing periodic acid-Schiff (PAS) positive material and acid phosphatase-positive lysosomal inclusions. Visualization of lyosomal location can be improved with staining for microtubule-associated protein light chain 3 (LC3) and lysosome-associated membrane protein 2 (LAMP2).20 Historically, there was reliance on visualizing these structures to confirm the disease, however, relying solely in lysosomal pathology can lead to false-negative results that delay diagnosis and treatment.21
Enzyme Testing
Previously, diagnosis was confirmed by a GAA assay on skin fibroblasts or a muscle biopsy by experienced laboratories.1 Because of diagnostic delay and more invasive testing of these approaches, GAA activity in mixed leucocytes from whole blood samples or dry blood spotted on filter paper is now the standard diagnostic criterion and is faster and more reliable.17 American Association of Neuromuscular and Electrodiagnostic Medicine (AANEM) consensus guidelines recommend confirming positive dried blood-spot assays with a second test.
A variant of the GAA gene, known as the pseudodeficiency allele, causes low GAA activity in laboratory tests, although the individuals with this gene do not have LOPD. The pseudodeficiency allele is present at a higher rate in certain Asian populations (3.9% in 1 study) and may elevate the false positive rate.9
Genetic Analysis
The GAA gene is localized to chromosome 17q25.2-q25.3 and was cloned and sequenced in 1991. A molecular database has collected over 1200 pathogenic and nonpathogenic mutations.a To complicate matters, there is no strict correlation between genotype (a mutation) and phenotype (clinical effects), which makes discovery of a new mutation challenging to interpret if it has not been previously shown to be pathogenic. Regardless, detection of LOPD in recent years has been helped in no small part with the inclusion of the GAA gene in next-generation gene sequencing (NGS) panels that perform several million sequencing events simultaneously and can thereby analyze hundreds of different genes implicated in multiple diseases with a single test. Using NGS panels identified 10 individuals in a cohort of 275 with a limb-girdle phenotype with or without hyperCKemia.22
A limitation of using NGS panels in place of GAA activity to diagnose LOPD is not knowing if detected sequences are pathogenic or normal variants—termed variants of unknown significance (VUS). Additionally, NGS may identify a single heterozygous mutation but Pompe is a recessive disease requiring biallelic involvement. Current NGS technology is somewhat limited in the detection of deletions and duplications within genes. Bioinformatic identification can be performed but it is of reduced sensitivity with deletions of less than 3 exons.23
Whole exome sequencing (WES) has been effective for detection of pathogenic variants in the GAA gene, although a study of confirmed cases of LOPD found that 14 of 93 had 1 variant missed and 2 of 93 had both variants missed.24 Testing with WES has many of the same limitations as with NGS. Detection of GAA variants deemed pathogenic or possibly pathogenic should be confirmed by enzyme testing.
Treatment
The importance of diagnosis is no longer academic and has been keenly heightened with the advent of ERT. In 2006, alglucosidase alfa was approved for all Pompe disease in the US and Europe on the strength of open-label studies for treating infantile-onset Pompe disease. Subsequent studies demonstrated improved walking distance and stabilization of pulmonary function over an 18-month time period in people with LOPD.25 Longitudinal study data from 189 participants for a median 5 years showed ERT reduced risk of eventually needing to use a wheelchair to function.8 The same study, however, did not show that ERT reduced the need for respiratory support, although other limited data suggests there may be some respiratory function improvement with ERT.26 The disease-modifying effects of ERT are encouraging, but there are some drawbacks to using recombinant human GAA (rhGAA). High antibody titers to rhGAA have been demonstrated in people receiving ERT, which can counteract treatment effects, although this is not clearly established in LOPD cases. High antiGAA titers are more common in children treated for infantile Pompe disease because they are a higher proportion of individuals in this group who do not produce any endogenous GAA (CRIM–). Development of antiGAA does occur in all groups treated with rhGAA, however, and is among the factors suggested as causing the varied response to ERT.27
Novel Approaches to Enzyme Replacement Therapy
Limited delivery of rhGAA to lysozymes in skeletal muscles has been suggested as a reason why benefits for the respiratory muscles have been modest in LOPD. As a result, there are additional clinical trials for novel enzyme agents. Reveglucosidase alfa is a GAA analogue tagged with insulin-like growth factor 2 (IGF-2) with demonstrated safety and efficacy in improving respiratory muscle strength, lung function, and walking endurance in participants not previously treated with rhGAA.28 The reveglucosidase alfa program is no longer being pursued by the manufacturer, however, which may be related to IGF-2 induced hypoglycemic events.
The PROPEL studyb is phase 3 randomized double-blind clinical trial of AT-GAA, in which where GAA is bound to a chaperone molecule to improve stability. Data from the phase 2 study were encouraging and showed some benefits over long-term ERT, although it should be noted that there was no placebo-treated group in the phase 2 study of AT-GAA.
Gene Therapy
Gene therapy is in the early phases of clinical trials. In contrast to ERT, which requires 4- to 6-hour infusions as often as weekly, gene therapy is delivered with a 1-time infusion to deliver a stable gene into tissues, which can then manufacture endogenous GAA.29 Adeno-associated virus has established stable GAA secretion from the liver and shown to remove the majority of accumulated glycogen from skeletal muscles and cardiac tissue. There are 2 open-label phase 1/2 clinical trials investigating safety and efficacy of AAV-driven gene therapy in liver tissues that are recruiting adult participants, although the RESOLUTE trial has indefinitely suspended enrollment because of the COVID-19 pandemic.c,d A third open-label trial is investigating gene therapy with muscle as the targeted tissue.e
Conclusion
Advances in diagnosis and treatment of Pompe disease continue. Although ERT is established as an effective treatment, there are still drawbacks and additional treatment options, including gene therapy are being avidly pursued. The availability and potential of these new exciting treatments underscores the reason to maintain a high degree of suspicion for Pompe disease in the differential for weakness and respiratory difficulties.
Ready to Claim Your Credits?
You have attempts to pass this post-test. Take your time and review carefully before submitting.
Good luck!
Recommended
- Neuromuscular
Neuromuscular Notes: Spinal Muscular Atrophy
Melissa K. Cook, MD; Column Editor: William S. David, MD, PhDMelissa K. Cook, MD; Column Editor: William S. David, MD, PhD






