Challenge Case Report: A Woman With a Large Dural-Based Lesion
Case Presentation
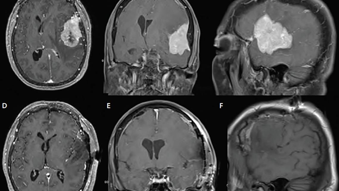
Clinical Presentation and Imaging
An Hispanic woman, age 52, presented with persistent dizziness and the inability to “bring out certain words.” She had been having difficulty speaking for a number of months. Recently, she began to notice some clumsiness in her right hand and occasional weakness in her right leg. Her neurologic examination showed severe expressive aphasia and mild right hemiparesis. Brain MRI showed a dural-based left frontotemporal convexity lesion measuring 5.7 cm x 3.2 cm x 5.1 cm, diving into the left Sylvian fissure (Figure 1).

Treatment and Outcome
Our patient underwent uneventful gross total resection of the lesion, which, during surgery, was confirmed to arise from the dura and invade overlaying bone, the latter of which was removed with margins. Lesion pathology was consistent with World Health Organization (WHO) grade II atypical meningioma (Figure 2). The patient’s weakness resolved and her aphasia improved. She has been referred for a clinical trial for higher-grade meningiomas and was randomized to observation. She will continue to be followed clinically and radiographically.

Challenge Questions
(Scroll to the bottom of the article for Answers and Discussion)
1. The incidence of meningioma:
a. Increases with age and is more predominant in women
b. Increases in age and is higher in men compared to women
c. Is unaffected by a prior history of cranial radiation
d. Is lower in African Americans compared to Caucasians
2. Simpson grade 1 resection described in the case indicates:
a. A gross total resection with dura and bone
b. A gross total resection
c. A subtotal resection
d. A biopsy
3. The following defines the meningioma as at least grade 2:
a. Meningothelial whorls
b. Calcification
c. Bone invasion
d. Brain invasion
4. The following systemic therapy is approved by the FDA for the treatment of meningioma:
a. Bevacizumab
b. Sunitinib
c. Hydroxyurea
d. None of the above
A Woman With a Large Dural-Based Lesion


Discussion
Epidemiology and Etiology
Meningioma incidence increases substantially with age and is the most common primary CNS tumor in patients > age 35. Menigioma is very uncommon in children (0.14/100,000 in those age 0-19 years) compared to the elderly (37.75/100,000 in those age 75-84). There is a somewhat higher incidence in African Americans compared with Caucasians.1 Cranial radiation is a risk factor for meningioma development. Recently, a specific genetic abnormality, an NF2 gene rearrangement, was found in almost half of patients with radiation-induced meningiomas.2
Grading Extent of Resection
The Simpson grading system wass developed to standardize descriptions of resection extent and predict recurrence risk.3 The Simpson grades are still used clinically and in the literature and, as originally described, include all pathologic grades; percentages below reflect this. Simpson grades 1-3 apply to macroscopic gross total resections. Grade 1 includes removal of all dural attachments and any abnormal bone (9% recurrence risk in 10 years). Grade 2 includes coagulation of dural attachments (19% risk of recurrence in 10 years). Grade 3 involves gross total removal of tumor without coagulation of dural attachments (29% risk in 10 years). Grade 4 is a subtotal resection (44% in 10 years). Grade 5 is simple decompression and biopsy. The influence of Simpson grades may be diminished in the contemporary era.4
Histopathology
Meningothelial whorls are a common histologic feature of meningiomas across all grades. Calcifications are quite common in meningiomas and usually reflect slower or no growth and grade 1 nature; as such, calcifications might be a favorable finding. Although bone invasion does not alter grading of meningiomas, in the most recent update to the WHO Central Nervous System Tumor Classification, brain invasion qualifies a meningioma as at least a grade 2 (Table).5
Treatment
Surgery and radiation have long been the mainstays of meningioma treatment. The role of postoperative radiation for completely resected grade II meningiomas is being explored in the NRG BN003 phase 3 clinical trial.a
Although numerous systemic therapies have been investigated for the meningioma treatment, none has demonstrated a substantial benefit yet.6,7 More recently, specific genetic mutations have been reported in subsets of meningiomas.2,8 In particular, mutations of genes coding for smoothened (SMO), a G-protein coupled receptor; the Akt protein kinase; and tumor suppressor NF2, have garnered particular interest as they appear to describe mutually exclusive molecularly defined subsets of meningioma that correlate with neuroanatomic localization. Some of these and other targets are being actively investigated as potential therapeutic targets in clinical trials of systemic therapies for meningiomas.b,c Future systemic therapies may be incorporated into treatment algorithms for some subtypes of meningiomas.
1. Ostrum QT, Gittleman H, Liao P, et al. The CBTRUS statistical report: primary brain and other central nervous system tumors diagnosed in the United States in 2010-2014. Neuro Oncol. 2017;19(suppl 5):v1-v88.
2. Agnihotri S, Suppiah S, Tonge PD, et al. Therapeutic radiation for childhood cancer drives structural aberrations of NF2 in meningiomas. Nat Commun. 2017;8(1):186.
3. Simpson D. The recurrence of intracranial meningiomas after surgical treatment. J Neurol Neurosurg Psych. 1957;20(1):22-39.
4. Oya S, Kawai K, Nakatomi H, Saito M. Significance of Simpson grading system in modern meningioma surgery: integration of the grade with MIB-1 labeling index as a key to predict the recurrence of WHO grade I meningiomas. J Neurosurg. 2012;117(1):121-128.
5. Louis DN, Perry A, Reifenberger G, et al. The 2016 World Health Organization Classification of Tumors of the Central Nervous System. Acta Neuropathol. 2016;131(6):803-820.
6. Shaikh N, Dixit K, Raizer J. Recent advances in managing/understanding meningioma. F1000Res. 2018;7:F1000.
7. Buerki R, Horbinski CM, Kruser T, et al. An overview of meningiomas. Future Oncol. 2018;14(21):2161-2177.
8. Brastianos PK, Horowitz PM, Santagata S, et al. Genomic sequencing of meningiomas identifies oncogenic SMO and AKT1 mutations. Nat Genet. 2013;45:285-289.
a Observation or radiation therapy in treating patients with newly diagnosed grade II meningioma that has been completely removed by surgery (NCT03180268)
b Vistusertib (AZD2014) for recurrent grade II-III meningiomas (NCT03071874)
c Vismodegib and FAK inhibitor GSK2256098 in treating patients with progressive meningiomas (NCT02523014)
Ready to Claim Your Credits?
You have attempts to pass this post-test. Take your time and review carefully before submitting.
Good luck!
Recommended
- Imaging & Testing
MRI Clues to Intracranial Infection: Differentiating Bacterial, Viral, Fungal, and Parasitic CNS Disease
Márk Kozák, MD; Máté Sik, MDMárk Kozák, MD; Máté Sik, MD - Imaging & Testing
Neuroimaging: Clinical Impact of Imaging Findings
Laszlo Mechtler, MD, FAAN, FEAN, FASN, FAHSLaszlo Mechtler, MD, FAAN, FEAN, FASN, FAHS - Imaging & Testing
Neuroimaging After Brain Radiotherapy and Radiosurgery
Venkatesh Shankar Madhugiri, MBBS, MCh, FACS; Neil D. Almeida, MDVenkatesh Shankar Madhugiri, MBBS, MCh, FACS; Neil D. Almeida, MD






