The Immune Stroke Spectrum: Navigating Inflammatory Cerebrovascular Disorders
This review provides a concise overview of commonly encountered inflammatory cerebrovascular disorders, highlighting their clinical features, diagnostic challenges, and treatment strategies, and emphasizing that despite their complexity, early recognition and systematic management often lead to favorable outcomes.
Inflammatory cerebrovascular disorders encompass a wide spectrum of conditions in which inflammation targets the blood vessels of the brain, leading to ischemic or hemorrhagic stroke presentations. These disorders range from primary central nervous system vasculitis (PCNSV) and amyloid-related inflammation to vascular involvement from systemic autoimmune diseases, infections, paraneoplastic causes, or rare multisystem syndromes.
For clinicians, the diagnosis and treatment of these disorders can appear daunting given their complexity, overlap in presentation, and sometimes dramatic course. However, inflammatory cerebrovascular disorders are treatable, and outcomes can be favorable when the diagnosis is considered early and managed systematically. This review provides a practical framework for recognizing, evaluating, and treating the most clinically relevant inflammatory cerebrovascular disorders, with the goal of helping clinicians approach these conditions with greater confidence.
Primary Central Nervous System Vasculitis
PCNSV is a rare, idiopathic vasculitis confined to the brain, spinal cord, and leptomeninges, without systemic involvement.1 PCNSV encompasses large- to medium-vessel (LV) and small-vessel (SV) subtypes and shows a bimodal age distribution, affecting both children and adults, most commonly in the fourth to sixth decades of life. Clinical manifestations include progressive headaches, subacute encephalopathy, focal neurologic deficits, and seizures, as well as additional features, such as vertigo, ataxia, psychiatric or visual symptoms, or, less often, spinal cord involvement.1
Diagnosis relies on clinical, laboratory, and imaging findings, with brain biopsy providing definitive confirmation. A probable diagnosis can be made in the presence of characteristic features, cerebrospinal fluid (CSF) abnormalities, and supportive vessel wall MRI scan results, provided that secondary causes are excluded.2-4 CSF tests show an inflammatory profile in >75% of cases, with lymphocytic pleocytosis and elevated protein levels. Imaging results depend on subtype. Vessel contour imaging (eg, on magnetic resonance angiography [MRA] or CT angiography) often reveals vessel irregularities in LV PCNSV (Figure 1); MRI brain with contrast and digital subtraction angiography are more informative for the diagnosis of SV disease. MRI scans may show ischemic infarcts in both LV and SV subtypes, whereas leptomeningeal enhancement, hemorrhagic infarcts, and rare mass-like enhancing parenchymal lesions are predominantly seen in the SV subtype.3 Advanced vessel wall MRI (3T/7T) increasingly aids in distinguishing inflammatory from noninflammatory vasculopathies, particularly in LV cases; its role in SV disease is limited (Figure 1).

Figure 1. Brain images from an individual aged mid-30s with large vessel subtype primary central nervous system vasculitis. Diffusion-weighted MRI shows an acute right basal ganglia infarct and subacute left basal ganglia infarct (A). Magnetic resonance angiography shows diffuse large vessel vasculopathy of the bilateral middle cerebral arteries (B). Vessel wall magnetic resonance angiography shows an axial contrast-enhanced T1 space image of the right middle cerebral artery, revealing concentric vessel wall thickening and enhancement suggestive of vessel wall inflammation (C).
Systemic workup, including inflammatory serologies, CT scans, and positron emission tomography (PET) scans, can help rule out secondary causes. Histopathologic examination demonstrates granulomatous, lymphocytic, or necrotizing patterns.4 Treatment follows induction with high-dose intravenous (IV) corticosteroids and cyclophosphamide, followed by oral tapering of steroids over 4 to 6 months of therapy before transitioning to maintenance immunosuppression (eg, azathioprine, mycophenolate mofetil, methotrexate). Cyclophosphamide remains the standard induction agent; rituximab and tocilizumab are used in refractory cases.1,2
When PCNVS is recognized early and treated appropriately, outcomes are often favorable; however, PCNSV remains a diagnosis of exclusion, and the diagnosis should only be made once systemic vasculitis, infection, or malignancy have been reasonably ruled out. Advances in understanding the underlying etiology, development of reliable biomarkers for early and accurate detection, and multicenter randomized clinical trials are essential to refine diagnostic precision and establish more targeted therapies for PCNSV.
Secondary Central Nervous System Vasculitis
Secondary central nervous system (CNS) vasculitis refers to vascular inflammation of the brain, spinal cord, or leptomeninges that occurs in the context of an underlying systemic disease, infection, or malignancy. Clinical presentation is often similar to that of PCNSV, with additional systemic signs.
CNS-Confined Secondary Causes Infectious Vasculitis
Infectious vasculitis of the CNS is most commonly attributable to varicella-zoster virus (VZV) or neuroborreliosis, or may occur secondary to bacterial meningitis. HIV and tuberculosis are also common causes among certain susceptible populations.5 Affected individuals usually present similar to those with PCNSV, with headaches, seizures, and focal neurologic deficits. Additional systemic symptoms, such as fever, rash, endocarditis, myalgias, flu-like symptoms, or hepatitis, are common. These signs should raise suspicion for an underlying infectious etiology.
Infectious causes of vasculitis often demonstrate more disseminated radiographic involvement, with multifocal infarcts that are not confined to a single vascular territory, and vessel contour imaging typically shows more diffuse involvement. However, certain infections (eg, VZV vasculitis) may present as a focal or multifocal entity, usually involving large vessel branching points, such as the internal carotid artery terminus, middle cerebral artery bifurcation, or vertebrobasilar junction.6
Vessel wall imaging, when available, shows concentric smooth enhancement of vessel walls suggesting inflammation (Figure 2). Analysis of CSF tests may show pleocytosis with elevated protein levels.7 CSF testing, including glucose, cultures, antibody testing, and polymerase chain reaction, can help identify the culprit pathogen. Treatment is targeted to the underlying pathogen with antimicrobial therapies, in combination with antiplatelets and corticosteroids in selected cases (eg, viral meningitis).5

Figure 2. Magnetic resonance angiography images from an individual aged mid-40s with varicella-zoster virus vasculitis affecting the right internal carotid artery (A). Axial (B) and sagittal (C) sections of the right internal carotid artery terminus on vessel wall magnetic resonance angiography show concentric vessel wall thickening and enhancement suggestive of vessel wall inflammation.
Intravascular Lymphoma
Intravascular lymphoma is a rare but important mimic of secondary CNS vasculitis. This entity is characterized by invasion and proliferation of B cells within the blood vessel lumina, with a tendency to affect small arteries, and is a CNS subtype of diffuse large B-cell lymphoma. Neurologic complications are seen in >50% of individuals, often resembling acute stroke.8 Accompanying weight loss and fever are also common. Concomitant skin involvement may be seen.9
MRI reveals multifocal infarcts or enhancing lesions. Vessel imaging may show stenotic distal small vessels.9 Brain biopsy is imperative in diagnosis, showing intravascular lymphomatous proliferation without amyloid deposition or granuloma formation.8 Biopsy helps with differentiation from other causes (eg, PCNSV, neurosarcoidosis-associated vasculitis), guiding the physician to the correct treatment path, which includes chemotherapy combined with corticosteroids.
Systemic Immune-Mediated Causes With CNS Involvement
Several systemic vasculitides and inflammatory conditions may cause secondary CNS vasculitis. The following entities are more commonly encountered in clinical practice.
Giant Cell Arteritis
Giant cell arteritis (GCA) is a large vessel vasculitis occurring in individuals age >50 years, predominantly affecting women. Headaches, temporal artery tenderness, polymyalgia rheumatica symptoms, anorexia, and weight loss are the most common clinical presentations.10 Ocular involvement may lead to permanent blindness. Fewer than 5% of GCA cases involve the CNS. Intracranial GCA most commonly affects the internal carotid arteries, followed by vertebral arteries, posterior cerebral arteries, middle cerebral arteries, and anterior cerebral arteries, with one study reporting a 20% stroke incidence with intracranial involvement of GCA.11 GCA may also present as a postinfectious immune-mediated vasculitis after VZV vasculitis.12
Vessel wall MRA demonstrates vessel wall thickening and smooth concentric enhancement. Brain MRI may show infarcts in the territory involved. CT aortography and PET-CT scans are especially helpful in assessing aortic involvement. Temporal artery biopsy confirms granulomatous arteritis. High-dose corticosteroids are the mainstay of therapy, with concomitant tocilizumab (an interleukin-6 inhibitor) or upadacitinib (Rinvoq; AbbVie, North Chicago, IL) (a selective Janus Kinase inhibitor) to prevent relapse of GCA.13,14
Anti-Neutrophil Cytoplasmic Antibody–Associated Vasculitis
Anti-neutrophil cytoplasmic antibody–associated vasculitis primarily affects small vessels of the ear, nose, throat, lungs, and kidneys, but CNS involvement occurs in up to 15% of cases, manifesting as ischemic stroke, cerebral hemorrhage, hypertrophic pachymeningitis, or hypophysitis.15 Individuals may present with headaches, seizures, or focal deficits, and MRI often reveals multifocal small-vessel infarcts with or without hemorrhage and pachymeningeal thickening. CSF typically shows mild lymphocytic pleocytosis and elevated protein levels. Vascular contour imaging results are usually normal.16
Induction therapy for CNS involvement includes corticosteroids with cyclophosphamide or rituximab; severe systemic disease may warrant plasmapheresis. Maintenance options include azathioprine, methotrexate, mycophenolate mofetil, or rituximab.
Other Distinct Inflammatory Cerebrovascular Syndromes With Multisystem Involvement Susac Syndrome
Susac syndrome is a rare autoimmune microangiopathy targeting the small endothelial vessels of the brain, retina, and inner ear. The hallmark triad comprises encephalopathy, sensorineural hearing loss, and branch retinal artery occlusions, although presentation is often incomplete, with only two-thirds of individuals presenting with the full triad. Susac syndrome predominantly affects women in the third to fourth decades of life, but can occur in men, and outside that age range. Humoral mechanisms, including anti–endothelial cell antibodies, underlie the postulated pathophysiology of this syndrome.17
The European Susac Consortium criteria integrate clinical, neuroimaging, ophthalmologic, and audiometric features.18 Encephalopathy and headache are the most frequent early symptoms associated with Susac syndrome, progressing to cognitive decline, memory loss, psychiatric disturbances, and executive dysfunction. Visual complaints are common at onset, and fluorescein angiography testing confirms retinal vasculitis or branch retinal artery occlusions. Audiometry demonstrates sensorineural hearing loss, typically due to infarction of the cochlear apex.17
Characteristic MRI findings include “snowball” corpus callosum lesions on T2 fluid-attenuated inversion recovery imaging; additional sites include centrum semiovale, lobar and deep white matter, and deep gray nuclei. Brain MRI scans may also show acute small vessel infarcts, enhancing gray or white matter lesions, and subcortical T2 hyperintensities (Figure 3).19 CT angiography and MRA scans usually have normal results, given the exclusively small vessel pathology associated with Susac syndrome. CSF often reveals mild protein elevation or pleocytosis, and biopsy demonstrates endothelial necrosis with perivascular lymphocytic infiltration.

Figure 3. MRI brain images from an individual aged mid-40s with Susac syndrome. Diffusion-weighted imaging shows scattered punctate supratentorial infarcts (A, B). Sagittal T2-weighted fluid-attenuated inversion recovery imaging shows the pathognomonic “snowball” lesions in the corpus callosum due to endotheliopathy of the commissural bridging vessels(C).
Management of Susac syndrome depends on disease severity, but generally requires early, aggressive immunosuppression. Because Susac syndrome is antibody mediated, therapies targeting humoral immunity, such as IV immunoglobulin therapy and rituximab (an anti-CD20 monoclonal antibody), form the treatment backbone. More severe or refractory cases may require treatment with cyclophosphamide, calcineurin inhibitors, or more intensified IV immunoglobulin regimens. Long-term maintenance is often necessary, given the aggressive and relapsing nature of the disease.19
Neurosarcoidosis
Neurosarcoidosis is a granulomatous inflammatory disorder with protean manifestations, one of which is CNS vasculitis. This complication occurs in ~5% to 10% of individuals with neurosarcoidosis. Small vessels are most often affected, especially pontine perforators and lenticulostriates, although leptomeningeal involvement is frequent. Common symptoms associated with neurosarcoidosis include cranial neuropathies, seizures, and headache. Encephalopathy and focal neurologic deficits from cerebral infarcts in the context of systemic sarcoidosis strongly suggest vasculitic involvement.20,21
The 2018 Neurosarcoidosis Consortium Consensus Group framework integrates clinical, MRI, and CSF findings.21 MRI scans typically show ischemic infarcts, parenchymal enhancement, and leptomeningeal involvement. Large-vessel imaging usually has normal results, but small- or medium-vessel stenoses, irregularities, or microaneurysms can occur, mimicking SV-subtype PCNSV. CSF frequently demonstrates lymphocytic pleocytosis and elevated protein levels, with or without hypoglycorrhachia. CSF angiotensin-converting enzyme lacks diagnostic sensitivity. Definitive diagnosis requires histopathologic examination which shows noncaseating granulomas and granulomatous perivascular inflammation.
Treatment begins with glucocorticoids, but most individuals require steroid-sparing therapy. Anti–TNF-α agents (eg, infliximab, adalimumab) are most effective, with azathioprine or mycophenolate commonly used for maintenance therapy.22
Amyloid-Related Inflammatory Angiopathies
Amyloid-β (Aβ) deposition in cortical and leptomeningeal vessels due to impaired clearance can provoke an inflammatory response collectively termed amyloid-related inflammatory angiopathies. These include amyloid Aβ–related angiitis (ABRA) and cerebral amyloid angiopathy–related inflammation (CAA-RI).
Amyloid Aβ–Related Angiitis
ABRA represents true CNS vasculitis, characterized by transmural granulomatous inflammation around Aβ deposits, leading to vessel wall destruction, small vessel occlusion, infarcts, and hemorrhage from vascular fragility. Individuals typically present with progressive cognitive or behavioral changes, headaches, seizures, and focal deficits. Compared with CAA-RI, ABRA often progresses more rapidly.23 MRI scans reveal asymmetric, patchy, or confluent subcortical T2 hyperintensities, often with lobar hemorrhage, infarcts, and extensive contrast enhancement.24 CSF tests show inflammatory changes, including elevated protein levels and lymphocytic pleocytosis. Brain biopsy confirms the diagnosis, demonstrating transmural granulomatous inflammation with lymphocytes, macrophages, giant cells, and vessel wall destruction, which are features that distinguish ABRA from CAA-RI.25 Management of individuals with ABRA parallels that of PCNSV, with induction using high-dose corticosteroids plus cyclophosphamide, followed by maintenance therapy with steroid-sparing agents (eg, azathioprine, mycophenolate).

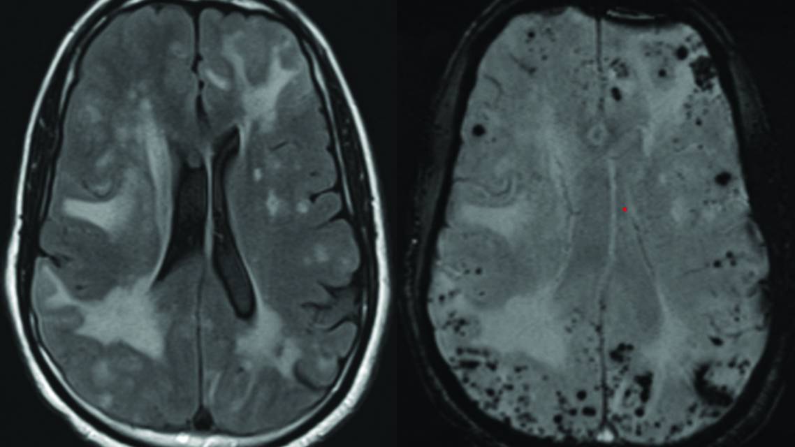
Figure 4. MRI brain images from an individual aged mid-70s with active cerebral amyloid angiopathy–related inflammation. Axial T2-weighted fluid-attenuated inversion recovery image shows diffuse pattern of vasogenic edema (A). Susceptibility-weighted imaging shows diffuse cerebral microbleeds in areas of asymmetric vasogenic edema meeting radiographic criteria for cerebral amyloid angiopathy–related inflammation (B).
Cerebral Amyloid Angiopathy–Related Inflammation
CAA-RI, which typically affects adult women with cerebral amyloid angiopathy in their sixth to seventh decade of life, is underrecognized and underdiagnosed.26 Clinical manifestations include headaches, subacute cognitive decline, seizures, and focal deficits. Inflammation is largely perivascular, driven by lymphocytes and microglia, without substantial vessel wall destruction.27 MRI shows asymmetric vasogenic edema with associated lobar microbleeds and occasionally superficial sulcal siderosis (Figure 4). Leptomeningeal enhancement and infarcts, when present, are usually mild. CSF tests show elevated protein levels in most individuals, and, less commonly, may reveal mild pleocytosis. A biopsy confirms perivascular T-cell–mediated inflammation around Aβ-laden vessels.25 Treatment of individuals with CAA-RI begins with corticosteroids; steroid-sparing agents (eg, cyclophosphamide, mycophenolate, azathioprine) are reserved for relapsing or high-risk cases. Monitoring patients with serial MRI scans and clinical assessment is essential. Early recognition and timely immunotherapy often lead to favorable outcomes.

Conclusion
Inflammatory cerebrovascular disorders represent a broad and complex spectrum of disorders with clinical, diagnostic, and pathologic overlap. Management must be individualized according to the underlying pathophysiology and tailored to individual response. Given the risk of recurrent ischemic events, adjunctive antiplatelet therapy should be considered as part of a comprehensive secondary stroke prevention strategy in immune-mediated inflammatory vasculitides. Moreover, treatment of the underlying inflammatory process may involve steroids and immunomodulators in conditions such as PCNSV, ABRA, CAA-RI, Susac syndrome, neurosarcoidosis, and GCA, or chemotherapy or antimicrobials in cases of secondary vasculitis from neoplasia or infection, respectively. Prognosis varies widely, from highly steroid-responsive disorders, such as CAA-RI, to potentially devastating conditions, such as ABRA or untreated Susac syndrome.
Despite their complexity and diagnostic challenges, inflammatory cerebrovascular disorders are treatable, and most have a favorable prognosis when recognized and treated early. Optimal patient outcomes depend on early recognition, accurate classification, and a systematic, multidisciplinary approach that often includes specialists in vascular neurology, neuroimmunology, rheumatology, neuro-oncology, and infectious disease. Although intimidating to clinicians, these disorders are not uniformly catastrophic; timely diagnosis and intervention can prevent irreversible damage and greatly improve patient outcomes.
Ready to Claim Your Credits?
You have attempts to pass this post-test. Take your time and review carefully before submitting.
Good luck!
Recommended
- Stroke
Blood Pressure Targets After Stroke: How Low Is Too Low?
Hatem Tolba, MD; Filza Sikandar, MBBSHatem Tolba, MD; Filza Sikandar, MBBS






