Stroke Snapshot: Carotid Artery Webs—Epidemiology and Pathophysiology
Carotid artery webs—nonatheromatous, shelf-like projections arising from the tunica intima of the posterior carotid wall—are suspected to be a cause of otherwise cryptogenic strokes.
Carotid artery webs (CAWs) are a suspected cause of otherwise cryptogenic (ie, stroke of unknown cause) ischemic strokes. They are of particular interest to vascular neurologists because strokes attributed to CAWs are often severe, involving occlusions of large vessels, and CAW-associated strokes may be more prevalent in young people, who are less likely to have typical vascular risk factors.1 When untreated, CAWs may increase the risk of recurrent strokes.2,3
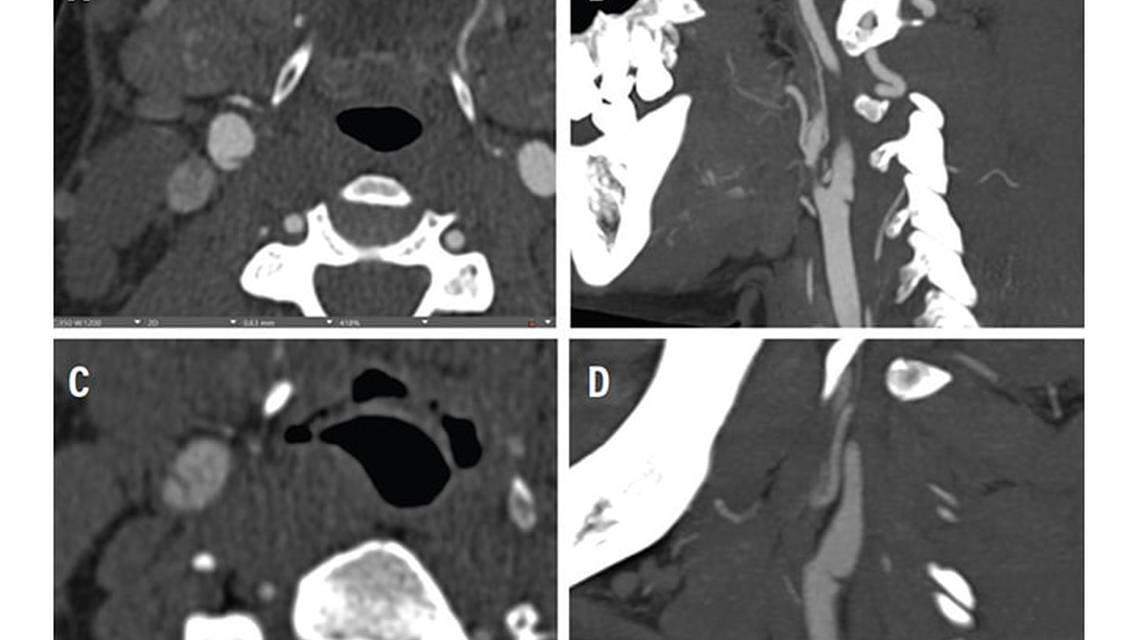
CAWs present as nonatheromatous, shelf-like projections affecting the posterolateral wall of the cervical internal carotid artery (Figure 1).4 The pathophysiology of CAWs was first described in 1968 as a cause of recurrent left hemispheric ischemia in an otherwise healthy young individual.5 Subsequent cases were described using different monikers, including “atypical fibromuscular dysplasia”, “septa”, and “diaphragms”,6 with the term “carotid artery web” increasing in prevalence since around 2014.

Our understanding of CAWs, including their development, epidemiology, association with stroke, and treatment options, continues to evolve. Current data suggest that CAWs may occur more often in female individuals;7 some data suggest that webs may be more common in individuals of African descent,8 but this finding may be due to publication bias.
The optimal treatment approach for secondary stroke prevention in people with suspected symptomatic CAWs is uncertain. Studies have generally reported a high risk of recurrent strokes with antithrombotic management alone.9 Some data suggest benefit from carotid revascularization procedures. Research about the treatment of CAWs is ongoing.10-12 In this review article, we summarize the current knowledge about CAWs, and discuss their pathology and pathophysiology, imaging features, and management options.
Pathology and Pathophysiology
CAWs are thought to be a type of focal intimal fibromuscular dysplasia—distinct from typical medial fibromuscular dysplasia, which causes a “string of beads” appearance—without calcifications or atherosclerosis.4 Histologic analysis of the first described CAWs revealed abundant subintimal and medial fibrosis and fibrous tissue interspersed with muscle cells throughout the media, with no fibrous or inflammatory reaction in the adventitia.5 Subsequent evaluations have found hyperplasia in the intimal layer1,2 accompanied by fibrosis and myxoid degeneration.1 In some cases the membrane protrudes into the lumen to fomr a valve-like structure.13 Overall, webs are believed to represent focal hyperplasia of the tunica intima, although their development remains poorly understood.
The pathophysiology of stroke in CAWs is likely related to recirculation of blood distal to the web because of disruption of normal laminar flow and an increased risk of platelet aggregation.4 CAWs rarely cause hemodynamically significant stenosis, typically defined as stenosis >50%,14 but multiple studies have reported pooling and stagnation of contrast immediately distal to the CAW on diagnostic angiography.11,15 Furthermore, thrombus can be visualized on the CAW in some cases.1,16 These data support the hypothesis that CAWs result from laminar flow disruption leading to stasis, thrombosis, and subsequent cerebral embolism.
Association of CAWs with Ischemic Stoke
Although research on the association between CAWs and strokes has been performed in small cohorts and is susceptible to bias, cross-sectional cohort and case-control studies using blinded imaging reviewers have identified ipsilateral CAWs in 10% to 20% of individuals with cryptogenic stroke.17,18 One cohort with symptomatic CAWs that was followed longitudinally had a recurrence rate of 32%, although that included transient ischemic attacks and recurrences over a year from the index event.11 These findings suggest CAWs are an important but potentially overlooked risk factor for stroke and may be associated with a high rate of stroke recurrence. Whether endovascular stenting of CAWs reduces the risk of recurrent stroke remains unproven, but is an area of ongoing research and clinical interest.12,19 There appears to be an association between CAWs and risk of ischemic stroke, but because CAWs are suspected to be a rare cause of stroke, this association is inherently challenging to study.
Neuroimaging of CAWs
Because CAWs are not universally recognized, and only rarely cause hemodynamically significant stenosis, reading radiologists may not specifically comment on the presence or absence of a CAW. Thus, a neurologist or other team member may be the first to identify a CAW as a potential stroke etiology.
Digital Subtraction Angiography
Digital subtraction angiography (DSA) is the standard in vascular imaging, providing clear, real-time views of blood flow and vessel wall dynamics, which are crucial for identifying CAWs (Figure 2).12 However, the invasiveness of DSA, and the specialized equipment required limit its use to more complex cases.

Computed Tomography Angiography
CT angiography (CTA) is a preferred method of CAW detection because of its noninvasive nature and detailed imaging. CAWs appear on CTA as thin defects along the posterior side of the carotid bulb, showing up as septa or filling defects on scans.1 CTA delivers high-resolution images quickly, but is not as definitive as DSA, and involves the use of ionizing radiation and iodine-based contrast.
Magnetic Resonance Angiography
Magnetic resonance angiography provides detailed images without the use of ionizing radiation, and allows examination of the surrounding vessel wall and identification of potential vasculopathy.20 However, the lower spatial resolution compared with CTA and DSA decreases sensitivity.
Carotid Ultrasound
Carotid ultrasound shows CAWs as bright structures intruding into the artery, altering the flow patterns seen with Doppler imaging. This method is noninvasive and cost-effective, but distinguishing CAWs from other vascular anomalies (eg, dissections, plaques) is difficult, and webs are better identified on axial or conventional angiography.21,22
Because CAWs can be subtle and may not appear on diagnostic imaging, proper identification of a CAW warrants a thorough review of the proximal carotid artery utilizing multiple modalities. CAWs need to remain on the differential diagnosis of cryptogenic stroke, as they may be overlooked.
Treatment
The rationale for surgical or medical management with antithrombotic agents is based on the pathophysiology of CAW-associated stroke. Focal shelf-like fibrous thickening secondary to fibrous dysplasia projecting intraluminally causes turbulent flow above or below the stenotic lesion. Turbulent flow causes thrombi formation either from platelet activation due to dyslaminar flow or stasis of blood leading to activation of the coagulation cascade. The thrombi lead to artery–artery embolization intracranially or local occlusion of the internal carotid artery.12,13
CAW management is divided into 2 categories: medical or surgical intervention. There are no evidence-based guidelines or algorithms for the management of CAWs; therefore, each case is managed individually. Treatment considerations may be influenced by morphologic features of the CAW, individual risk factors, and neurovascular anatomy. Current guidelines are limited by lack of evidence; recent stroke guidelines recommend antiplatelet therapy and indicate that carotid artery stenting (CAS) or carotid endarterectomy (CEA) may be considered.23
Antithrombotic agents for CAW attempt to reduce thrombus formation both below and above the lesion; however, the efficacy of antiplatelet and anticoagulation use is uncertain. Some case reports have suggested low stroke recurrence rates with anticoagulation treatment, but systematic literature reviews have not confirmed this. One such review found 12-month recurrent stroke rates of 54% in individuals treated with antiplatelet medications and 75% in those treated with anticoagulants, although small sample sizes limited direct comparison.24 A more recent systematic review did not show a significant difference in recurrent stroke rates between antiplatelet (29%) and anticoagulation therapies (19%), or between the use of antithrombotics versus no antithrombotics, though the small sample size in some of these study groups limits comparison between these groups.12
Carotid revascularization by CAS or CEA is a treatment option that may be offered to individuals with suspected symptomatic CAWs. Stenting is a minimally invasive catheter-based endovascular procedure in which a neurointerventionalist transverses the web and deploys a stent across it. CEA, an open surgical procedure that entails surgically removing the dysplastic carotid lesion, is another effective treatment option for stroke prevention. Prospective studies, case series, and registry data have demonstrated both options to be highly effective in reducing the recurrent stroke rate in symptomatic CAW. Although no randomized clinical trials have compared the efficacy of either treatment, systemic reviews have compared them with each other. Two meta-analyses found no recurrent ischemic strokes after either CEA or CAS for CAWs. Periprocedural complications were noted to be very low in both treatment arms, possibly because individuals being treated for suspected CAW-associated stroke tended to be younger and healthier than individuals undergoing carotid revascularization for atherosclerotic stenosis.12,24
Data are limited regarding the management of asymptomatic or incidentally identified CAWs. One multiple-choice survey completed by 74 neurologists and radiologists showed that single or dual antiplatelet therapy was the favored treatment for asymptomatic CAWs. Respondents also preferred antiplatelet therapy for individuals with CAW and a single stroke, but endorsed surgical interventions for webs suspected to cause recurrent strokes.25
Ongoing studies are needed to clarify the optimal treatment of CAWs. Although additional research is needed, current data suggest a high stroke recurrence risk of suspected symptomatic CAWs that are only treated with medical management. Surgical intervention with CAS or CEA should be discussed with patients who have otherwise cryptogenic strokes downstream from a CAW.
Take-Home Points
- CAWs are non-atheromatous shelf-like filling projections arising from the tunica intima of the posterior carotid wall.
- CAWs are suspected to be a cause of otherwise cryptogenic strokes and may be especially relevant in large vessel strokes in younger individuals.
- Identification of CAWs is challenging because non-stenotic webs may not be recognized by neurologists or radiologists.
Ready to Claim Your Credits?
You have attempts to pass this post-test. Take your time and review carefully before submitting.
Good luck!
Recommended
- MS & Immune Disorders
CADASIL Misdiagnosed as Multiple Sclerosis
Anthony Wong, BS; Jacquelyn Johnson, MS, CGCAnthony Wong, BS; Jacquelyn Johnson, MS, CGC






