Ischemic Complications from a Facial Lipofilling Procedure
Case Presentation
FG, aged mid 40s, underwent autologous fat injection/lipofilling to bilateral cheeks, nasolabial folds, chin, and mandibular angle at an aesthetic and dermatology clinic. Ten hours post-procedure, FG presented to the emergency department with acute left-sided hemiparesis and loss of consciousness. FG’s past medical history was unremarkable, and there was no evidence of habitual drug use. Upon arrival, FG appeared lethargic, with incomprehensible speech. FG localized to painful stimuli with the right hand. The injection sites on the right side of FG’s face appeared mottled. Vital signs were stable. The right pupil was dilated and nonresponsive to light with the eyes in midposition. The left limbs were plegic, and the plantar reflex on the left side was upward. Within a few hours, FG developed complete right ptosis, with the right eye deviating laterally and downward.
Diagnostic Process
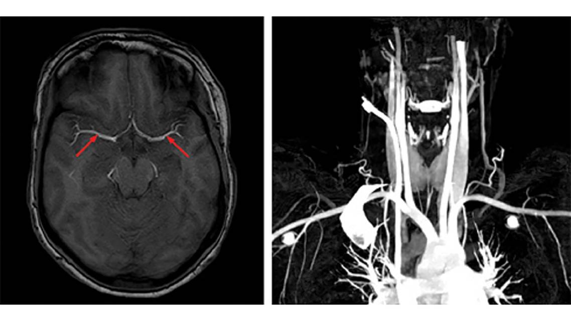
FG’s routine blood tests returned normal results, and electrocardiogram and transthoracic echocardiogram tests showed no abnormalities. Brain CT scan showed no pathologic findings. But the following brain MRI revealed ischemic infarction in the right frontal lobe, predominantly affecting the territory of the right anterior cerebral artery (ACA), the head of the caudate nucleus, and the corpus callosum (Figure 1). Additional imaging, including brain and neck CT angiography (Figure 2), revealed no large vessel occlusions (including in the internal carotid artery [ICA] and middle cerebral artery [MCA]). Therefore, no further interventions were deemed necessary. Medical treatment with anticoagulant was initiated despite a lack of approved indications with this type of presentation.


Examination of the right eye revealed complete obstruction of both retinal veins and arteries, an edematous disc with a blurred margin, and opacification of the retina in the macular region. Examination of the left eye did not show any abnormalities. A comprehensive evaluation by an ear, nose, and throat (ENT) specialist revealed no evidence of necrosis on the facial skin. Based on these findings, no additional interventions or follow-up were deemed necessary from an ENT perspective.
Management and Follow-up
FG was admitted to the intensive care unit and received prompt treatment with heparin at a rate of 1100 units per hour for a duration of 7 days. The goal of this treatment was to mitigate the risk of propagation of arterial occlusion. Following the completion of anticoagulant therapy, FG was placed on an antiplatelet regimen consisting of 80 mg aspirin daily. A follow-up MRI several days after the completion of heparin therapy revealed evidence of microhemorrhage in ischemic regions.
Four days after hospitalization, FG developed necrosis on the right forehead and right side of the anterior scalp (Figure 3). A dermatology consultation was sought, and the dermatologist prescribed a treatment plan that included daily debridement and topical antibiotics.

After 2 weeks of hospitalization, FG regained consciousness, but left hemiplegia remained, and the right eye was blind, accompanied by complete third nerve palsy. During the hospital stay, FG underwent extensive rehabilitation, including physical therapy, occupational therapy, and speech therapy. FG was managed by a multidisciplinary team consisting of neurologists, ophthalmologists, dermatologists, vascular surgeons, and ENT specialists. After 35 days, there were no changes in FG’s condition, and FG was discharged on a daily dose of aspirin (80 mg) to be taken for the next 3 months. At the 6-month follow-up visit, FG’s right eye remained blind. There was partial improvement in muscle strength on the left side, and FG’s skin showed substantial improvement.
Discussion
Autologous fat injection/lipofilling has gained popularity as a cosmetic procedure that adds volume and contour to the face by means of transferring fat from another part of the body to the face.1 Despite its reported safety, cases of serious vascular complications, such as ocular and cerebral ischemia, have occurred. Injecting fillers or fat into specific areas, such as the glabella or temporal or nasolabial fold, can lead to cerebral or ocular complications attributable to the underlying vasculature.2 These areas contain terminal branches of the ophthalmic artery, including the supratrochlear, supraorbital, dorsal nasal, anterior ethmoidal, and lacrimal arteries (ie, the internal carotid system),2,3 and, in this case, FG’s anastomosis with the branches of the facial artery (ie, the external carotid artery system). Direct injection of small particles into a terminal branch of the ophthalmic artery or an anastomotic branch between the external and internal carotid artery system can result in ischemia caused by retrograde migration of emboli, leading to occlusion of the ophthalmic artery or intracranial vessels.4 The force applied during injection should surpass the systolic blood pressure to propel the formed embolus.3 The middle cerebral artery is the most commonly affected cerebral vessel, followed by the ACA.5 In our case, it is likely that accidental injection of fat into the nasolabial fold resulted in an embolism in the ophthalmic artery, which then propagated into the ICA and ACA, causing ocular, retinal, and frontal ischemia. Skin ischemia also may occur because of occlusion of facial artery branches.
Early diagnosis and prompt treatment of fat embolism stroke are essential to minimize the risk of long-term complications. Diagnosing fat embolism stroke attributable to facial fat injection involves a combination of clinical assessment and radiologic imaging. Imaging tests such as CT and MRI can be ordered to confirm the diagnosis. CT angiography or magnetic resonance angiography can help identify the specific blood vessels affected by the embolism.
Fat embolism stroke is a rare type of stroke caused by the obstruction of blood vessels in the brain by fat globules. Optimal treatment for fat embolism stroke remains uncertain. No specific medication or procedure can dissolve fat emboli. Therefore, the primary goal of treatment is to prevent further embolization and manage the symptoms. Initial treatment options may include oxygen therapy, supportive care, and corticosteroids to decrease inflammation.
The effects of antiplatelets or anticoagulants in fat embolism stroke are not well-established. Although it has been proposed that fat embolism can lead to endothelial damage, activation of the coagulation system, and in situ thrombosis, the exact mechanisms underlying fat embolism–related thrombosis are not well understood. The use of antiplatelet or anticoagulant therapies may be considered in preventing further clot formation and promoting blood flow, but this would depend on various factors, such as the individual’s medical history and the extent of the embolism. The use of these treatments in fat embolism stroke must be considered carefully, as they may increase the risk of bleeding complications in some individuals.6
Thrombolytic therapy with tissue plasminogen activator (tPA) is ineffective in dissolving fat emboli, because fat emboli is not composed of fibrin. However, some case reports have suggested that thrombolytic therapy may be used in combination with heparin to prevent further embolization.7,8 The use of thrombolysis in fat embolism stroke is controversial, and the risks and benefits of this therapy should be evaluated carefully on a case-by-case basis.
Surgical interventions, such as embolectomy or decompressive craniectomy, may be considered in cases of large-vessel occlusion or increased intracranial pressure.9,10 Patients experiencing malignant edema in acute ischemic stroke are recommended to undergo decompressive craniectomy, a procedure demonstrated to lower mortality rates and enhance neurologic outcomes.9
The management of fat embolism stroke is challenging and varies based on factors such as the individual’s clinical presentation, emboli size and location, and coexisting medical conditions. Therefore, a multidisciplinary approach involving neurologists, neurosurgeons, and other specialists may be necessary to provide optimal care for individuals with fat embolism stroke.11,12
In the presented case, we administered anticoagulant therapy. The prognosis for cases such as this one depends on various factors, including anatomic variation and size of the occluded vessels. Mild symptoms with a good prognosis are often seen in cases where small vessels are occluded, whereas occlusion of larger and more important vessels can result in symptomatic cerebral and ocular infarction.13 Our patient presented with lethargy, right eye blindness, left-sided hemiplegia, and skin mottling. The patient’s level of consciousness improved gradually during the hospital stay, and the skin mottling also improved. Two months after the incident, neurologic and ophthalmologic examinations revealed ocular and retinal ischemia as well as hemiplegia.
The 6-month follow-up visit revealed persistent right eye blindness and right third nerve palsy, with partial improvement in muscle strength on the left side. Given that the stroke mainly affected the territory of the ACA, improvement in hemiparesis was anticipated. However, the involvement of the ophthalmic artery trunk resulted in a poor prognosis for any improvement in visual function. This conclusion was supported by funduscopic evidence of ischemic events in all branches of the ophthalmic artery as well as the complete third nerve palsy caused by interruption of the blood supply to the terminal portion of the third cranial nerve.
Summary
This case study highlights the potential risks and complications associated with cosmetic procedures that involve the injection of fat into the face. Whereas lipofilling can be a safe and effective cosmetic treatment when performed by a skilled and experienced practitioner, it can also lead to serious complications, such as ocular and cerebral ischemia. To minimize the risk of complications from facial fat injection, several measures should be taken. First, individuals should be selected carefully, and the procedure should be performed using appropriate injection techniques. Moreover, it is crucial to have a thorough understanding of the vascular anatomy in the area, including the risk of ischemic complications, and to monitor individuals closely for any signs of complications. If complications occur, prompt diagnosis and treatment can be critical to prevent permanent damage and improve outcomes.
Ready to Claim Your Credits?
You have attempts to pass this post-test. Take your time and review carefully before submitting.
Good luck!
Recommended
- Imaging & Testing
Neuroimaging: Clinical Impact of Imaging Findings
Laszlo Mechtler, MD, FAAN, FEAN, FASN, FAHSLaszlo Mechtler, MD, FAAN, FEAN, FASN, FAHS - Alzheimer Disease & Dementias
Special Report: 2025 Neurology FDA Drug & Device Approvals & Clearances






