Case Report: Cerebral Aneurysm Rerupture
Clinical Presentation
Mr Johnson is age 59 and presented to our institution with the “worst headache of his life,” and no other significant past medical history. His neurologic examination revealed no focal abnormalities.
Diagnostic Studies
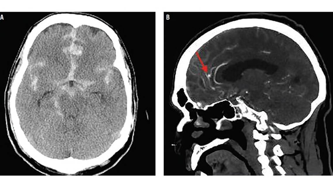
Laboratory test results, including platelet count and coagulation studies were within normal range. Mr Johnson’s head CT demonstrated a Hunt Hess grade 2, modified Fisher 3 subarachnoid hemorrhage (SAH) (Figure 1A). A head CT-angiogram (CTA) demonstrated a 5-mm left pericallosal artery aneurysm (Figure 1B).

Treatment
Antifibrinolytic therapy with aminocaproic acid was initiated, and Mr Johnson was scheduled for a catheter cerebral angiogram the following morning. Catheter angiography, including 3D spin revealed normal caliber anterior and posterior circulation vasculature, with no evidence for aneurysm, suggesting aneurysmal thrombosis had occurred (Figure 2).

Follow-up Care
Mr Johnson was monitored for vasospasm and hydrocephalus during recovery in the neurology intensive care unit (neuroICU). He had a follow-up catheter angiogram 7 days later that demonstrated recanalization of the pericallosal artery aneurysm (Figure 3). Mr Johnson was taken to the operating room for open surgical aneurysmal clipping. Intraoperative visualization of the aneurysm confirmed the presence of persistent partial saccular thrombosis prior to permanent microsurgical clip obliteration.

Outcome
Postoperative care and recovery for Mr Johnson was uneventful, and he remained neurologically intact on follow-up 3 months after hospital discharge.
Discussion
Cerebral aneurysms are balloon-like dilations of intracranial artery walls that develop from long-standing hemodynamic and inflammatory stress with consequent endothelial remodeling.1-5 Every cerebral aneurysm is unique and must be individually assessed before making treatment decisions. Cerebral aneurysms are broadly categorized by size (small <10 mm, large 10-25 mm, giant >25 mm), anatomic location, and morphology. The majority of small unruptured intracranial aneurysms follow a benign clinical course, although the unlikely occurrence of aneurysmal rupture and SAH carry significant risks of morbidity and mortality. Up to 15% of patients may die prior to reaching medical care and 30% of survivors can have significant disability.6-11
Spontaneous aneurysmal thrombosis is rare, mostly occurring in large fusiform or giant aneurysms.12-14 A survey of the available literature suggests complete spontaneous thrombosis of small nonruptured cerebral aneurysm is extremely uncommon, whereas that of ruptured aneurysms of similar size is estimated to be 1% to 2%.15

The risk of aneurysmal rerupture is highest within the first 48 hours of SAH with mortality of 50% to 85%.8,16-18 Treatment of ruptured intracranial aneurysm requires expedient obliteration by microsurgical or endovascular techniques. Medical therapy with antifibrinolytic drugs has proven to be a reasonable adjunct for presurgical stabilization of individuals with aneurysmal SAH. The theory supporting its use is to reduce the risk of early aneurysmal rerupture prior to definitive aneurysm occlusion.

Mechanistically, antifibrinolytic therapy reduces the risk of recurrent hemorrhage by promoting a localized perilesional prothrombotic state. Epsilon-aminocaproic acid (EACA) does this by reducing conversion of plasminogen to plasmin, which prevents fibrin degradation and reduces hemorrhage expansion.19 Several studies have assessed the clinical utility of antifibrinolytic therapy in reducing recurrence of cerebral aneurysmal rupture. Early reports suggested excellent results with little or no aneurysm rebleeding.20-22 Other studies have yielded equivocal results reporting uncertain benefit of antifibrinolytic therapy.23-26

Little is known regarding the risk of aneurysmal thrombosis in the setting of antifibrinolytic therapy. A previous report suggested an increased risk of deep venous thrombosis with antifibrinolytic therapy but did not clarify the issue of possible arterial aneurysm thrombosis.27 We have presented here an example case of this to emphasize that recanalization and presumably also aneurysm rerupture are possible. Antifibrinolytic therapy–induced cerebral aneurysm thrombosis may obscure unstable aneurysms and thus delay their diagnosis and definitive treatment. This phenomenon is rare and little recognized but is an important consideration when antifibrinolytic therapy is initiated in the setting of SAH.
Ready to Claim Your Credits?
You have attempts to pass this post-test. Take your time and review carefully before submitting.
Good luck!
Recommended
- Imaging & Testing
Neuroimaging: Clinical Impact of Imaging Findings
Laszlo Mechtler, MD, FAAN, FEAN, FASN, FAHSLaszlo Mechtler, MD, FAAN, FEAN, FASN, FAHS






