Direct Neural Invasion: A Proposed Mechanism for Neurologic Symptoms Associated with Chronic Lymphocytic Leukemia with No Mass Lesions
A high index of suspicion is required in patients with chronic lymphocytic leukemia presenting with otherwise unexplained neurologic symptoms, even in the absence of classic imaging findings.
Case Presentation
ZE, aged late 50s, who had an 8-year history of chronic lymphocytic leukemia (CLL), initially presented with 1 month of acute-onset horizontal binocular diplopia (worse on right lateral gaze) and headaches (worse with lying down). ZE disclosed a 45-pound unintentional weight loss over the past year, 3 months of right-sided hearing loss and right-sided pulsatile tinnitus, 1.5 months of intermittent black floaters in the left eye, 2 weeks of dysphagia to solids, and 2 weeks of a “deepening voice”.
Examination results were notable for a visual acuity of 20/40 bilaterally, trace left afferent pupillary defect, bilateral abduction deficits, right-sided hearing impairment to finger rub, and mild dysphonia. Full color vision was present (per Ishihara plates testing), and visual fields were full. Optical coherence tomography revealed substantial retinal nerve fiber layer (RNFL) thickening bilaterally (381 μm on the right and 526 μm on the left). A dilated funduscopic examination revealed bilateral grade 5 papilledema, cotton-wool spots, and peripapillary intraretinal hemorrhages (Figure 1).

Figure 1. Retinal nerve fiber layer (RNFL) thickness maps for the right (A) and left (B) eyes. Thickness increased bilaterally in the temporal, superior, nasal, and inferior quadrants. The average RNFL thickness was 381 µm in the right eye and 526 µm in the left eye. RNFL deviation maps for the right (C) and left (D) eyes. Disc center coordinates are 0.03, −0.15 mm in the right eye and 0.03, 0.03 mm in the left eye. Horizontal, vertical, and circular tomography in the right (E) and left (F) eyes. Bilateral neuroretinal rim thickness and RNFL thickness histograms (G). Bilateral grade 5 papilledema with scattered intraretinal peripapillary hemorrhages, right (H) and left (I) eyes.
Diagnostic Process
Initial laboratory results were notable for a white blood cell (WBC) count of 74.9 K/mm3, absolute lymphocyte count of 73.6 K/mm3, and lactate dehydrogenase level of 562 U/L. An initial lumbar puncture showed elevated opening pressure of 36 cm H2O with mildly elevated protein level (54 mg/dL), 0 red blood cells, and elevated nucleated cell levels (15–26; 100% lymphocytes). Cerebrospinal fluid (CSF) flow cytometry showed 6% CD5+, CD19+, and CD20+ CLL cells.
Headaches resolved on day 1 after lumbar puncture and initiation of acetazolamide 1 g twice daily. Intracranial pressure (ICP) improved to 14 cm H2O on day 4 with persistent lymphocytic pleocytosis. Broad infectious workup indicated negative results, including CSF bacterial, fungal, and mycobacterial cultures; CSF gram stain and acid-fast gram stain; herpes simplex and varicella-zoster virus polymerase chain reaction; and venereal disease research laboratory, human immunodeficiency virus, cryptococcal antigen, West Nile virus immunoglobulin G and M, rapid plasma reagin, and T-SPOT testing. Rheumatologic workup results were unremarkable including negative serum protein electrophoresis/immunofixation, extractable nuclear antigen, cyclic citrullinated peptide, myeloperoxidase, and proteinase 3; positive antinuclear antibodies (titer 1:320) and rheumatoid factor (44 U/mL); indeterminate antineutrophil cytoplasmic antibodies; and thyroid-stimulating hormone within normal limits (2.0 mcIU/L).
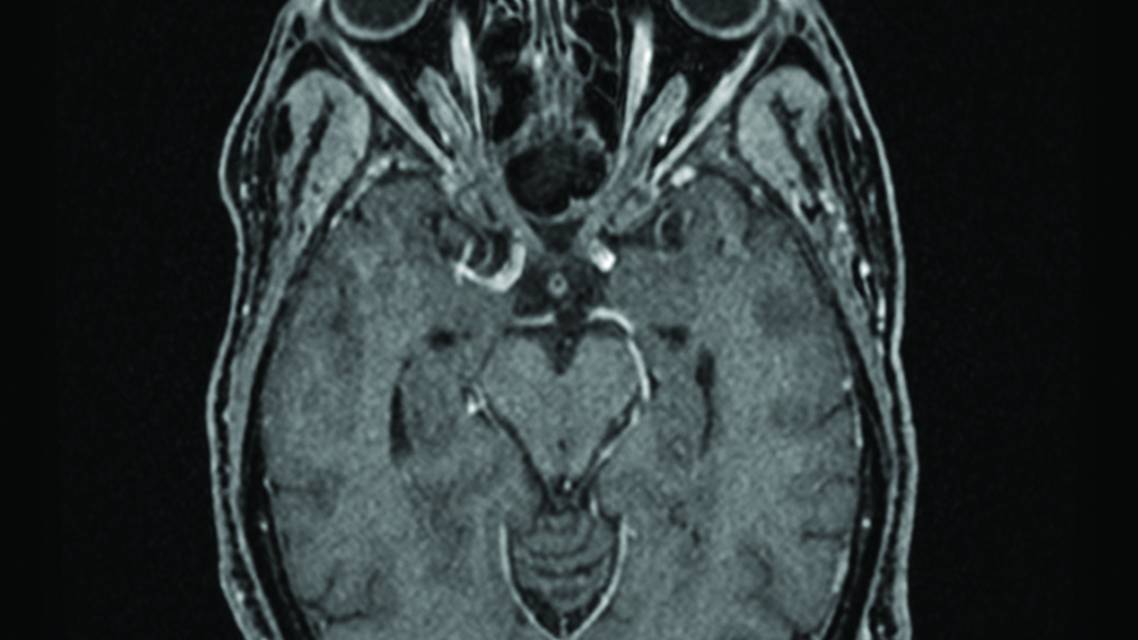
Brain MRI and magnetic resonance venography with and without contrast showed no acute intracranial findings, normal ventricles, no frank leptomeningeal disease, and no venous sinus thrombosis. Although initially read as having no areas of abnormal contrast enhancement, subsequent review of imaging studies at a multidisciplinary case conference revealed subtle asymmetry in cranial nerves II and VIII, concerning for direct nerve involvement (Figure 2, A and B). Total spine MRI was not obtained due to no concerning symptoms for spinal cord or cauda equina involvement, although in hindsight this would be standard evaluation given concerns for leptomeningeal disease.
Bone marrow biopsy on day 5 showed CLL extensively involving hypercellular marrow with no evidence of transformation. Fluorescent in situ hybridization showed deletion monosomy of chromosome 11q (16%), trisomy 12 (37.5%), deletion of TP53 on chromosome 17p (75%), and loss of a portion of chromosome 17 (7.5%).
Case Resolution
The broad workup was negative for a potential infectious or inflammatory cause but confirmed the presence of CLL. In the context of bone marrow involvement, rapidly rising WBCs, and persistence of CLL cells in the CSF, the patients’ symptoms were determined to be most likely related to central nervous system (CNS) involvement associated with CLL. Allopurinol 300 mg daily, dexamethasone 8 mg twice daily, and rituximab were started. There was subsequent improvement in adenopathy and WBC counts (to 64.5 K/mm3 on day 7 from the day 5 high of 94.6 K/mm3). Over the next week, resolution of the double vision and hearing loss followed. ZE was discharged on day 12 on dexamethasone 4 mg twice daily and acetazolamide 1.5 g twice daily, both of which were stopped over the following week given continuing symptomatic improvement. ZE received a second dose of rituximab on an outpatient basis before starting ibrutinib 840 mg daily as a maintenance medication.
Four months after discharge, ZE had complete resolution of all symptoms. Laboratory studies at that time showed a WBC count of 13.9 K/mm3, absolute lymphocyte count of 9.6, radiographic resolution of the previous MRI findings (Figure 2, C–E), and resolution of papilledema. Optical coherence tomography 5 months after discharge demonstrated interval resolution of RNFL thickening (left average RNFL thickness 91 µm, right average RNFL thickness 89 µm) with mild thinning of the ganglion cell layer. This improvement was stable at further follow-up 8 months after discharge.

Figure 2. Subtle asymmetric enhancement within the internal auditory canals involving the cranial nerve VII/VIII complexes on postcontrast volumetric interpolated breath-hold examination sequence MRI (A). Asymmetric enhancement of the optic nerves on postcontrast volumetric interpolated breath-hold examination sequence MRI (B). Interval MRI resolution of contrast enhancement involving the optic nerves (C, D) and internal auditory canals (E).
Discussion
CLL is among the most common subtypes of leukemia with >20,000 new diagnoses in the United States every year.1 CLL commonly presents with asymptomatic lymphocytosis and, in a minority (10%) of individuals, with fevers, night sweats, and weight loss.2 Lymphadenopathy and hepatosplenomegaly are commonly seen at diagnosis. CLL is characterized by proliferation of clonal mature WBCs, with diagnosis confirmed by flow cytometry. CLL is routinely approached with watchful waiting, with treatment reserved for development of progressive lymphocytosis, autoimmune anemia or thrombocytopenia, evidence of bone marrow failure, or other severe symptoms.2 CNS involvement in CLL is a poorly researched phenomenon due to the rarity of this complication.3 Further difficulties in diagnosing CNS involvement arise from the fact that CNS manifestations of CLL vary widely between cases. Some reported manifestations include syndrome of inappropriate antidiuretic hormone secretion (SIADH), encephalopathy, headache, weakness, vision loss, and cranial nerve palsies.4 Previous studies have not found any correlation between age, sex, Rai stage at onset, or presenting neurologic symptoms and likelihood of CNS involvement in CLL, giving little clue to clinicians to help with identification.5 To further complicate attempts at diagnosis, symptomatic CNS involvement of CLL is extremely uncommon, reportedly occurring in <1% of cases.6 In addition, cases with elevated ICP are typically associated with hyperleukocytosis, radiographically apparent mass lesions, or overt leptomeningeal disease.
This case illustrates the difficulties in diagnosing this manifestation of CLL and wide variations in how the disease can present. This report documents a novel case of neurologic manifestations of CLL with no associated hyperleukocytosis, mass lesion, or radiographically apparent leptomeningeal disease. Instead, subtle enhancement of bilateral cranial nerves on MRI suggests direct nerve invasion of CLL cells as an alternative mechanism for the multiple cranial neuropathies. Similarly, direct leukemic invasion of optic nerves may contribute to optic disc edema. However, elevated ICP and headache improvement with large volume lumbar puncture both suggest an additional component of leptomeningeal dissemination. With no structural causes seen on imaging and an unremarkable infectious and rheumatologic workup, ZE’s elevated ICP lacked any other obvious etiology. Idiopathic intracranial hypertension was considered, but would not account for the cranial nerve VIII enhancement or the considerable improvement in disc edema after withdrawal of acetazolamide. Leukostasis is unlikely given ZE’s low CSF WBC count and serum WBC level (<100,000). A likely reason for this elevated ICP is the presence of radiographically occult leptomeningeal disease with CSF outflow obstruction due to arachnoid granulation involvement.
CNS presentations of CLL are uncommon and varied. This case highlights the need for a high index of suspicion in patients with CLL presenting with otherwise unexplained neurologic symptoms, even in the absence of classic imaging findings.
Ready to Claim Your Credits?
You have attempts to pass this post-test. Take your time and review carefully before submitting.
Good luck!
Recommended
- Imaging & Testing
Neuroimaging After Brain Radiotherapy and Radiosurgery
Venkatesh Shankar Madhugiri, MBBS, MCh, FACS; Neil D. Almeida, MDVenkatesh Shankar Madhugiri, MBBS, MCh, FACS; Neil D. Almeida, MD - Imaging & Testing
Artificial Intelligence in Clinical Neurology: Opportunities, Limitations, and the Path Forward
Aysha Jadran, MD; Saqib A. Chaudhry, MDAysha Jadran, MD; Saqib A. Chaudhry, MD






