Radiologic Biomarkers in Multiple Sclerosis: Improving Detection and Diagnosis
Imaging biomarkers, including cortical lesions, the central vein sign, and paramagnetic rim lesions, allow for more timely and accurate diagnosis of multiple sclerosis.
Advances in imaging techniques have revolutionized the diagnosis, management, and surveillance of multiple sclerosis (MS). CT was the first imaging modality used for visualization of MS lesions, providing rudimentary insight into the burden of demyelinating disease within the brain.1 The introduction of MRI scans enabled a much more detailed evaluation of the central nervous system and extent of MS involvement, revealing many more lesions than were visible with CT scans.2 Since its adoption, MRI has become integral to the diagnosis, management, and monitoring of MS.
The Poser criteria (1983) were the first to include imaging modalities in the diagnosis of MS, but only along with the clinical context of a demyelinating attack.3 Further studies into the use of MRI allowed for more specific detection of demyelinating lesions as well as identification of region involvement suggestive of progression to clinically definite MS.4-6
In 2001, the McDonald diagnostic criteria were introduced, establishing MRI scans for the identification of brain and spinal cord involvement as central to the diagnosis of MS.7 The criteria allowed dissemination in space (DIS) and dissemination in time (DIT) to be fulfilled using imaging findings, including lesions in different locations and evidence of active inflammation (eg, contrast-enhancing lesions), enabling earlier and more accurate diagnosis.7 Subsequent revisions of the McDonald criteria have expanded upon this concept. In the most recent update (2024), the addition of the optic nerve to the locations of involvement has further emphasized the role of imaging modalities in MS diagnosis.8 In this review article, we focus on radiologic biomarkers outlined in the 2024 McDonald criteria updates.
Brain Imaging
Optimal MRI sequencing for MS lesion detection uses multiple sequences, including T1-weighted pregadolinium and postgadolinium contrast imaging, T2-weighted imaging, and T2/fluid-attenuated inversion recovery, all in 3-dimensional format with thin slices (≤3 mm).9,10 Use of 3T scanners is preferred to use of 1.5T scanners because of their higher resolution, definition, and clarity of lesions, but either can provide insight into lesion burden.6,9,10
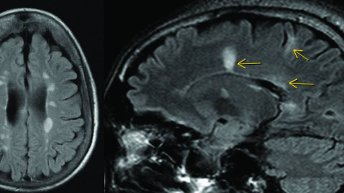
MS lesions have typical features that help differentiate demyelinating lesions from white matter lesions secondary to other causes, including morphology, size, and location. MS lesions tend to be round and ovoid and at least 3 mm in the long axis, often with an asymmetric distribution pattern.11 Classic locations for MS lesions (Figure 1) are juxtacortical/cortical, periventricular, and infratentorial, which serve as 3 of the 5 locations for MS lesions in the McDonald diagnostic criteria. Increased lesion burden, lesion volume, and brain atrophy (whole brain and central) are associated with increased disability as well as worsening of quality of life measures such as cognition, emotional health, and fatigue.12,13

Figure 1. Lesions with a classic multiple sclerosis appearance involving the periventricular and juxtacortical locations on axial (A) and sagittal (B) T2/fluid-attenuated inversion recovery sequences.
Cortical Lesions
Cortical lesions (CLs) have become a recent focus of research due to improved radiologic abilities to detect these abnormalities on MRI. CLs have been demonstrated to occur more commonly in people with MS than in people with other conditions, which can help distinguish MS or clinically isolated syndrome (CIS) from mimics. CLs are associated with high specificity (≥90%) but low sensitivity for MS or CIS diagnosis.11,14,15 CL burden is also greater in individuals with secondary progressive or primary progressive MS compared with relapsing-remitting MS or CIS.14 Increased CL burden has been suggested to correlate with increased disability in people with MS, but this is not consistent between studies.14-17
The Central Vein Sign
Recent studies have demonstrated that MRI scan results can be used to promote more accurate recognition of demyelinating lesions and increase the accuracy of MS diagnosis.18 The central vein sign (CVS) refers to a thin vein or dot seen in the center of demyelinating lesions on MRI, representing perivenular inflammation (Figure 2).18 Studies have demonstrated that the CVS is most often seen in MS lesions, reflecting a characteristic appearance of MS-related demyelination.18 The CVS is most commonly observed in periventricular lesions, but this radiologic biomarker may also be seen in deep white matter, juxtacortical, and infratentorial lesions.18 Visualization of the CVS is best accomplished on T2-weighted contrasted images, but use of gradient echo and susceptibility-weighted imaging sequences can help increase the detection rates of the CVS.18,19

Figure 2. Central vein sign (CVS) observed in a periventricular white matter lesion. Image courtesy of F. Gabriela Karolidis, DO.
Several studies have documented the prevalence of CVS-positive lesions in people with MS and CIS, allowing for differentiation between MS or CIS and other disorders.14,15,20 A “40% cutoff rule,” meaning that ≥40% of lesions in an MRI being CVS-positive is highly suggestive of MS, has been proposed.18 More recently, Borrelli et al15 demonstrated that >41% of lesions being CVS-positive provided 97% sensitivity and 96% specificity in differentiating MS from non-MS. The inclusion of the CVS in the 2024 McDonald diagnostic criteria using the “Select-6” criterion, in which the presence of at least 6 CVS-positive lesions can support a diagnosis of MS in certain situations, supports the utility of this radiologic biomarker in earlier detection and diagnosis of MS.8 Based on these findings, the Central Vein Sign: a Diagnostic Biomarker in Multiple Sclerosis (CAVS-MS) study (NCT04495556) is underway to assess the utility of the CVS in the diagnosis of MS, with a focus on accuracy of diagnosis in participants with typical or atypical presentations, and should provide insight into the applicability of the CVS in clinical practice.19
Paramagnetic Rim Lesions
Paramagnetic rim lesions (PRLs) are another new radiologic biomarker for the diagnosis and monitoring of individuals with MS. PRLs represent active inflammation surrounding a chronic lesion and support the notion of chronic “smoldering” inflammation (or chronic active lesions) in MS.21 PRLs can be visualized on 1.5T or 3T MRI using T2-weighted, susceptibility-weighted, and phase sequences, in which they appear as a hypointense rim around a lesion (Figure 3).21,22

Figure 3. Example of multiple sclerosis lesions on 3D FLAIR (left), 3D-EPI magnitude (center), and phase (right) images. (A) and (B) are clear examples of lesions with presence (rim+) and absence (rim-) of a paramagnetic rim, respectively. In (C) there are 2 more subtle rim+ lesions. (D) is an example of a rim- lesion that has a rim+ like intensity artifact.29
PRL detection can improve the accuracy of MS diagnosis and help distinguish MS from non-MS lesions, although PRLs are less sensitive than the CVS: identification of ≥1 PRL has 93% specificity and 52% sensitivity for MS diagnosis.23 PRLs may also aid in earlier diagnosis, as individuals with ≥1 PRL are more likely to have MS than other conditions, with 86% eventually being diagnosed with MS.24 In addition, PRLs may provide insight into MS-related disability, as an increased number of PRLs on MRI are associated with more severe disability.21,23 PRLs are associated with increased odds of future relapse and change in Expanded Disability Status Scale scores over time, regardless of relapse activity.25 Recent studies tracking PRLs over time indicate that PRL disappearance is associated with reduced confirmed disability progression in people with MS.26
Combination of the CVS, PRLs, and CLs
With the addition of the CVS and PRLs to the 2024 McDonald diagnostic criteria, a combination of these radiologic biomarkers with CLs is now used to increase MS diagnostic accuracy. A study by Borrelli et al15 showed that the number of CVS-positive lesions is more accurate than the presence of PRLs and CLs for MS diagnosis.In addition, a study by Cagol et al14 demonstrated that a combination of CVS and CL detection has higher diagnostic accuracy than either finding alone. Similarly, detection of all 3 biomarkers (the CVS + PRLs + CLs) has demonstrated greater diagnostic accuracy when compared with the CVS alone.15
Optic Nerve Imaging
Based on the 2024 McDonald criteria updates, the optic nerve is now recognized as a fifth location within the central nervous system for demonstrating DIS.8,27 This assessment can be supported by MRI scans, visual evoked potential (VEP) tests, and optical coherence tomography (OCT) scans.8,27 For the purposes of this review, we focus on evaluation of the optic nerve using MRI scans.
MRI sequences, including T2-weighted (and fat-suppressed), short tau inversion recovery, and contrast-enhanced T1-weighted imaging, allow detection of optic nerve signal changes or contrast enhancement suggestive of optic neuritis (ON) (Figure 4).10 Because ON has multiple etiologies, MRI scans of the optic nerve can help differentiate atypical from typical features in people with MS, especially when used in conjunction with patient history, clinical examination, and ancillary tests (eg, VEP tests and OCT scans).8 ON typical of MS tends to appear on optic nerve MRI as isolated short lesions of the optic nerve (as opposed to longitudinal lesions) without chiasmal involvement. Optic nerve lesions with these characteristics may be used to fulfill DIS criteria.8

Figure 4. T2–fluid-attenuated inversion recovery hyperintense signal and atrophy of the left optic nerve, suggestive of left optic neuropathy (eg, historical left optic neuritis in multiple sclerosis).
Spinal Cord Imaging
Spinal cord MRI is essential in the evaluation of possible MS, but poses some challenges due to susceptibility to artifacts and potential missed pathology due to smaller lesion sizes.6,10 Recommended MRI scans to evaluate for active or chronic lesions include T2, short tau inversion recovery (STIR), and pre- and postcontrast T1 images.6,10 In contrast to brain imaging, use of a 3T MRI scanner has not been shown to outperform 1.5T scanner use in spinal cord imaging.10
Because few other neurologic diagnoses are associated with discrete spinal cord lesions, accurate detection of these lesions is vital for diagnosing MS.10 MS lesions in the spinal cord often appear as short-segment, eccentric lesions spanning <2.5 vertebral levels (Figure 5). Due to difficulty of spinal cord imaging, there are no widely recognized radiologic biomarkers specific to spinal cord lesions. A small study demonstrated feasibility of CVS detection in cervical cord lesions; however, these findings need to be replicated in larger studies.28

Figure 5. Multiple sclerosis lesions in the cervical spinal cord. Two cervical spinal cord lesions are visible on the sagittal T2-weighted image (A). The same 2 lesions are seen on sagittal short tau inversion recovery imaging, which may facilitate easier lesion detection than standard T2 sequences (B).
Conclusions
Radiologic biomarkers have improved the accuracy of lesion detection, allowing more reliable and earlier diagnosis of MS. MRI is vital to MS diagnosis because regimented imaging protocols and techniques increase the likelihood of lesion identification. More recently, the advent of newer imaging findings, such as CLs, the CVS, and PRLs, has further supported the likelihood of an MS diagnosis, and provided insight into disease progression, QoL, and disability. More research is needed to identify spinal cord and optic nerve radiologic biomarkers that can help distinguish MS lesions from those related to other processes.
Ready to Claim Your Credits?
You have attempts to pass this post-test. Take your time and review carefully before submitting.
Good luck!
Recommended
- MS & Immune Disorders
Clinical Neuroinflammatory Mimics of Multiple Sclerosis
Derrick Robertson, MD; Abigail Demers, BSDerrick Robertson, MD; Abigail Demers, BS - MS & Immune Disorders
Radiologic Differential Diagnosis of Multiple Sclerosis
Jared V. Goodman, MD, PhD; Apisit Kaewsanit, MDJared V. Goodman, MD, PhD; Apisit Kaewsanit, MD - MS & Immune Disorders
Paraclinical Optic Nerve Tests in Multiple Sclerosis
Gregory P. Van Stavern, MDGregory P. Van Stavern, MD






