Prognostic Factors in Multiple Sclerosis
Multiple sclerosis (MS) is a chronic, inflammatory, predominantly demyelinating condition of the central nervous system (CNS) that has a wide range of presentations, disease courses, and treatment responses. Owing to the clinical heterogeneity of MS, an awareness of key features that have predictive value to identify those with a higher likelihood of having highly active disease and developing rapid disability accumulation is crucial to optimizing clinical outcomes over time. With the broad and continually increasing armamentarium of MS disease-modifying treatments (DMTs), there is an opportunity to tailor treatment decisions on an individual level to optimize clinical outcomes.
In this review, we discuss potential prognostic factors in MS, including demographics, clinical characteristics, MRI measures, and laboratory tests that may have utility in clinical practice to predict conversion of clinically isolated syndrome (CIS) and radiologically isolated syndrome (RIS) to MS (Table 1) and disease activity and disability accumulation (Table 2).


Demographic and Clinical Characteristics
Age at MS onset is known to impact MS disease course, and increasing age at onset correlates with decreased time to onset of specific disability milestones (eg, Expanded Disability Status Scale [EDSS] scores of 4.0, 6.0 and 7.0).1 Although lower age at onset is associated with a longer time to onset of disability milestone, individuals who present with MS earlier in life often acquire significant disability at an earlier age compared with individuals with onset later in life.1 Among people with CIS, lower age of onset was associated with an increased risk of conversion to clinically definite MS (CDMS).2 Similarly, among people with RIS, lower age at diagnosis was independently associated with a higher risk of developing a first clinical event consistent with MS at 5 and 10 years of follow-up.3,4
Numerous studies have suggested that male sex negatively influences long-term disability outcomes and is associated with a shorter time to disability accrual in MS.1,5-7 This association may be dependent on disease subtype, considering a study evaluating both relapsing-remitting MS (RRMS) and primary progressive MS (PPMS) found median times from disease onset to EDSS score of 6.0 were 18 and 22.7 years for male and female individuals, respectively but not significantly different between male and female persons with PPMS.6 Conversely, another study demonstrated in multivariate analyses that sex was not a significant predictor of disability.8
Although epidemiologic studies show female persons are more likely to develop MS, meta-analysis of 9 studies (n=1,116) in people with CIS over approximately 4 years showed no statistically significant increase in female persons for conversion to CDMS (odds ration [OR], 1.2; 95% CI, 0.98 to 1.46).9 Moreover, a large cohort study among people with CIS showed that both sexes studied had similar risks of developing CDMS and disability progression.2 Conversely, among people with RIS followed for 5 years, male sex was independently associated with a nearly twofold elevated risk of developing an initial clinical event.3 Subsequent 10-year follow-up of these individuals, however, showed that male sex was no longer a significant predictor of developing CDMS.4
In a US-based study, Black and Hispanic/Latinx people with MS had more rapid disability accumulation than white people with MS, even after adjusting for age, gender, and insurance type.10 In a study from Toronto, Ontario, Canada, people with MS of Middle Eastern or North African ancestry had disease phenotypes that were different compared with an age- and sex-matched group of people with MS of Northern European ancestry. Those of Middle Eastern or North African ancestry had greater disability progression over time, despite evidence of inflammatory disease activity, based on clinical relapses and MRI lesions, that was similar to individuals of Northern European ancestry.11 Another study found that white people with MS were only half as likely as the rest of the population studied (ie, those of African or Asian ancestry, Hispanic/Latinx people, and others) to have an early clinical event within the first year of MS disease onset.12
A large cohort study of 8,983 people with MS showed having cardiovascular comorbidities at MS onset or diagnosis significantly correlated with more rapid disability accumulation.13 In addition, the presence of 1 or more vascular comorbidities (eg, diabetes, hypertension, heart disease, peripheral vascular disease, or hypercholesterolemia) at any point in the disease course independently increased the risk of early gait disability (EDSS 4.0) and needing unilateral (EDSS 6.0) or bilateral (EDSS 6.5) assistance to walk by 58%, 54%, and 38%, respectively.13 Another cohort study showed that a 1-point increase in Framingham risk score was associated with a 31% elevated relapse risk, 19% increased risk of reaching EDSS score of 6.0, and 62% higher risk of DMT escalation over a 5-year follow-up period.14 Obesity at age 11 to 20 years has been shown to increase the risk of developing MS.15 Finally, psychiatric comorbidities in people with MS, including depression, anxiety, and bipolar disorder, independently correlate with higher disability over a 10-year follow-up period.16
Several studies have identified a link between smoking and increased risk of disability progression in MS. A meta-analysis of 8 studies that including various subtypes of MS and CIS (n=4,030), with follow-up periods ranging from 2 to 5.2 years, showed that smoking increases EDSS score by 0.15 points.17
Disease-Related Clinical Features
Higher relapse activity in the initial few years of MS is associated with an elevated risk of reaching disability milestones (ie, EDSS scores 3.0, 6.0, or 8.0) or having secondary progression.6.,18,19 Relapses during the first year of treatment are predictive of disability progression within the next 3 years; the likelihood increases twofold with 1 relapse and threefold with 2 or more relapses in the first year.20
The interval between relapses and recovery from relapses has also been shown to be relevant to clinical outcomes. A study showed an interval of fewer than 2 years between a first and second relapse was associated with an 80% increased risk of reaching an EDSS score of 3.0.19 Another showed that MS with short (0-2 years) or intermediate (3-4 years) interattack periods had a significantly shorter time from disease onset to reaching an EDSS score of 6.0 compared with longer interattack intervals (≥6 years) at 18.2, 21.0, and 25.9 years, respectively.18 Poor recovery after the first attack was also independently associated with increased risk of progression to EDSS scores of 3.0 and 6.0 by a factor of 13.2 and 5.3, respectively, even after adjusting for a wide range of potential confounders, including relapse frequency and the interval between relapses.19
Relapse topology has prognostic value in MS. Initial relapses characterized by involvement of pyramidal, cerebellar, sphincter, or cognitive domains are associated with poor outcomes. The risks of developing EDSS 6.0 (median time 12 years from onset) and secondary progression (median time 11 years from onset) nearly triple when the initial relapse involves the pyramidal or cerebellar systems.19 Over almost 10 years of follow up from onset, the risks of reaching an EDSS of 4.0 or 6.0 are increased by nearly 70% and 100% in those with sphincteric symptoms at onset.21 Among those with cognitive impairment at MS onset, the risk of acquiring global disability based on an increase in EDSS was higher than in those without cognitive impairment at 8 years.22 Finally, a multifocal presentation at onset is linked to an elevated risk of poor clinical outcomes with a 1.6 and 2.2 times higher risk of reaching EDSS scores of 4.0 and 6.0, respectively, over nearly 10 years from onset.21
The topology of the clinical presentation may also have prognostic relevance in CIS. Individuals with CIS presenting with optic neuritis at onset have a 40% and 50% lower risk of converting to CDMS and reaching an EDSS score of 3.0, respectively. Furthermore, when adjusted for other relevant variables, optic neuritis was not significantly associated with conversion to CDMS, and was only marginally significant for risk of an EDSS of 3.0. (adjusted hazard ratio [HR] 0.6, 95% CI 0.4-1.0).2
People with PPMS have an earlier median time to acquiring disability milestones compared to those with RRMS.7 In natural history studies, median time to EDSS score 6.0 in PPMS is 10 years compared with almost 22 years in RRMS.6,21,23 The rate of disability progression is strongly associated with overall disability accumulation in the long term. Multivariate analyses showed that baseline EDSS scores and change in EDSS scores from baseline to 2 years are associated with an increased risk of EDSS of 6.0 or more after 8 years.24 In addition, a shorter time to reaching moderate disability in a single neurologic domain (ie, EDSS 3.0) independently predicts a shorter time to severe global disability with EDSS scores of 6.0, 8.0, and 10.0.18
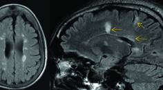
MRI Features
Numerous MRI measures have prognostic value in MS, including the number of T2-hyperintense lesions at baseline—among the most important factors influencing development of disability milestones. In people with CIS/MS who have 0, 1 to 3, 4 to 9, and 10 or more T2 lesions at baseline, the proportions with EDSS 6.0 or more 20 years later were 6%, 18%, 35%, and 45%, demonstrating the relevance of baseline MRI lesion load.25 A large 6-year study of persons with MS who presented with optic neuritis found correlations with subsequent disability accumulation with, in decreasing order of importance, new T2 lesions, new gadolinium-enhancing (Gd+) lesions, baseline enhancing lesions, baseline T2 lesion number, and baseline T2-lesion volume.26,27 A 7-year cohort study of people with CIS showed baseline MRI lesion load was among the most important predictors of developing MS and disability progression. In this study, the presence of 1 to 3, 4 to 9, and more than 10 T2 lesions independently correlated with 5.1-, 7.5-, and 11.3-times increased risk of developing CDMS. Having 10 or more T2 lesions was associated with a nearly threefold elevated risk of disability progression.2
The development of new T2 lesions on serial MRI is widely used as a marker of treatment response because studies have shown the prognostic value of T2 lesion development while using DMTs. Developing new lesions beyond a certain threshold is associated with disability progression over time. This has led to the development of treatment algorithms that are used in clinical practice, including the modified Rio score, the Canadian MS Working Group Treatment Optimization Recommendations, and many others.28,29 These scoring systems incorporate clinical features (relapses) and MRI findings to aid clinical decision-making in RRMS.
Gd+ lesions also have prognostic value. Meta-analysis of 31 randomized controlled trials comprising 18,901 cases of MS found having Gd+ or new/enlarging MRI lesions within 6 to 9 months of initiating treatment correlated with relapses within 12 to 24 months.30 Among those with CIS, a baseline MRI with 2 or more Gd+ lesions independently increased the risk of secondary progressive MS by a factor of 3.2 after 15 years of follow-up.31 The presence of Gd+ lesions may have predictive value in RIS as well. Although Gd+ lesions at baseline do not appear to predict RIS converting to MS over 5 to10 years of follow up, the presence of Gd+ lesions on a follow-up MRI seemed to elevate the risk of clinical evolution by 80% in a univariate analysis at 10-year follow up.3,4
Having infratentorial lesions at baseline is associated with future disability accumulation in CIS or RIS. In a small study of 42 people with CIS followed for 8.7 years, having 2 or more infratentorial lesions at baseline increased the risk of an EDSS score of 3.0 approximately sixfold.32 A larger study of 246 people with CIS observed for 8 years revealed that those with infratentorial lesions within 3 months of onset had a 3.3-times higher risk of conversion to CDMS and a 2.4-times higher likelihood of reaching EDSS score 3.0.33 Similarly, in RIS, there may also be prognostic value of baseline infratentorial lesions. Although an initial 5-year follow-up study did not show predictive value of an infratentorial lesion in developing an initial demyelinating event, a 10-year follow-up study showed baseline infratentorial lesions are predictive of conversion to MS.3,4
A higher number of spinal cord lesions at baseline has been associated with a higher risk of relapse over approximately 3 years.34 In those with CIS, baseline spinal cord lesions and new spinal cord lesions at 1 year independently elevate the risk of developing MS by 4.7 and 5.7 times after 15 years, respectively.31 The presence of cervical or thoracic cord lesions raises the risk of a first clinical event by threefold according to a 5-year cohort study of RIS,3 and the prognostic value persisted in a 10-year follow-up study.4
T1-hypointense lesions or T1-black holes are identifiable on conventional MRI and known to be associated with higher disability in MS.35 A meta-analysis that pooled 27 studies comprising 1,919 cases showed a moderate correlation between T1 hypointense lesion volume and EDSS score.35 T1 lesion volume, however, can be difficult to ascertain in clinical practice. Development of T1 lesions on subsequent MRI has not been definitively validated as useful in clinical practice; therefore, this measure is not used routinely.26
Whole brain atrophy or atrophy of smaller structures affected by MS in the CNS (eg, brain substructures and spinal cord) are associated with clinical disability in numerous studies.36,37 Whole-brain atrophy is associated with cognitive impairment and mood disturbance,22 and spinal cord cross-sectional area and gray matter atrophy correlate with clinical disability.38,39 Whole-brain atrophy has also been widely used in phase 3 clinical trials, and there is a clear association with clinical disability and treatment effect.36 Despite their clinical relevance and use in clinical trials, however, no quantitative measures of atrophy are widely used in clinical practice because of several obstacles, including the need for specific MRI sequences, time and technical expertise needed to utilize volume quantification software, and lack of clear guidelines for use in clinical practice, among other challenges.40
Laboratory Measures
The only laboratory measure widely available and with clearly demonstrated prognostic value at this time for MS is cerebrospinal fluid (CSF)-specific oligoclonal band (OCB) testing. A meta-analysis of 4 studies comprising 1,918 cases showed the presence of CSF-specific OCBs increased risk of reaching clinical disability landmarks (ie, EDSS 4.0 or 6.0 or an increase in EDSS) by nearly twofold.41
The presence of CSF-specific OCBs in CIS independently elevated the risk of conversion to CDMS by 30% and the risk of disability accumulation twofold.2 In addition, in RIS, the 10-year risk of developing an initial clinical event was 1.7 times higher in those with more than 2 unique OCB or greater than a 0.7 IgG index in the CSF after adjusting for other factors.4
Neurofilament light chain (NfL) is a neuronal cytoskeletal protein that can be measured in the CSF or blood and indicates neuronal injury when elevated. In MS, elevated NfL likely reflects neuroaxonal damage driven by inflammation, and emerging studies suggest this may have prognostic value.42 In clinical trials and longitudinal cohorts, serum NFfL correlated with relapses, Gd+ lesions, disability progression, and short-term treatment response.43-45 Longer term correlations are less established, although a number of studies support serum NfL as a weak predictor of longer-term disability accumulation.46,47 Serum NFL is not yet used in clinical practice owing to a number of obstacles, including access to testing, cost, and lack of validated clinical algorithms for use in individuals. Considering the emerging data, however, it seems likely that NfL measurements may be integrated with clinical and other paraclinical measures in the near future for use in clinical practice.
Conclusions
In the past few decades, there has been a substantial paradigm shift regarding treatment approaches in MS that is likely a result of increased understanding of the pathophysiology and disease course of MS and accumulating evidence of the importance of early treatment and rapid treatment optimization.28,29 The need for personalized medicine has become all the more apparent with the ever-increasing range of treatment options with markedly different risk-benefit profiles. A knowledge of prognostic factors in MS, which range from demographic, clinical, imaging based, and laboratory based, is essential for practitioners. Understanding how to apply these factors in clinical practice is necessary to enable a more refined therapeutic approach. Prognosis for individual patients will likely require integrating these factors, as well as clinical judgment to make optimal treatment decisions, which will ultimately improve clinical outcomes in MS.
Ready to Claim Your Credits?
You have attempts to pass this post-test. Take your time and review carefully before submitting.
Good luck!
Recommended
- MS & Immune Disorders
Kappa Free Light Chain Index in the Diagnosis of Multiple Sclerosis
Jeffrey Dunn, MDJeffrey Dunn, MD - MS & Immune Disorders
Radiologic Biomarkers in Multiple Sclerosis: Improving Detection and Diagnosis
Aisha Elfasi, MD; Valeria Fagundo, MDAisha Elfasi, MD; Valeria Fagundo, MD - MS & Immune Disorders
Paraclinical Optic Nerve Tests in Multiple Sclerosis
Gregory P. Van Stavern, MDGregory P. Van Stavern, MD






