Neuro-Ophthalmology Notions: The Optic Nerve as Topographic Marker in the 2024 McDonald Diagnostic Criteria for Multiple Sclerosis
Neuro-ophthalmic evaluations assist in early diagnosis of multiple sclerosis.
Multiple sclerosis (MS) is a complex demyelinating disease of the central nervous system with varied presentations. MS is characterized by multifocal demyelinating lesions disseminated in time and space, as agreed upon by an international panel originally led by Ian McDonald (and hence eponymously known as the McDonald criteria). Initially introduced in 2001, and revised in 2005, 2010, 2017, and 2024, the McDonald criteria have progressively evolved in an effort to improve diagnostic accuracy and facilitate earlier treatment.1,2 The 2024 revisions include the optic nerve as the fifth topographic marker for dissemination in space (DIS), reflecting advancements in neuroimaging and neuro-ophthalmic technology.3-6 This narrative review explores the clinical implications of the optic nerve as a formal topographic marker within the updated criteria, emphasizing the diagnostic utility of optic nerve examination results.3-5
The 2024 McDonald Criteria: Addition of the Optic Nerve as a Diagnostic Topographic Marker
The major change in the 2024 McDonald criteria is the inclusion of the optic nerve as a diagnostic topographic marker, acknowledging its significance in MS pathophysiology. Advanced imaging modalities, such as high-resolution MRI of the orbit, and neuro-ophthalmic tools (eg, visual evoked potentials [VEPs], optical coherence tomography [OCT], and low contrast visual acuity [LCVA] measures) enhance the detection of optic neuritis (ON), a common initial manifestation of MS.3-6 Findings from the Optic Neuritis Treatment Trial (ONTT) underscore the association between ON and MS, with up to 50% of people developing MS within 15 years of their first ON episode.7 The inclusion of the optic nerve as a DIS marker not only aids earlier diagnosis but also provides an opportunity to evaluate subclinical disease activity. Moreover, the acknowledgment of the clinical significance of ON fosters a more comprehensive diagnostic approach. Neuroimaging with MRI, and neuro-ophthalmic testing using VEP, OCT, and LCVA, are important diagnostic modalities to aid a comprehensive neurologic evaluation of the visual pathway (Table).

Optic Neuritis in MS
ON is the initial manifestation in 25% of people with MS. The most characteristic symptoms of ON include vision loss, pain (particularly with eye movement), and dyschromatopsia. The presence of objective vision loss, as well as a relative afferent pupillary defect, are the most typical findings associated with ON.7 ON is not MS-specific and can be caused by other conditions, such as neuromyelitis optica spectrum disorder (NMOSD) or myelin oligodendrocyte glycoprotein antibody disease (MOGAD).8
ON in MS typically involves short-segment lesions in the optic nerve without chiasmal involvement, the absence of perineural inflammation, and non–longitudinally extensive lesions.8,9 To ensure an accurate diagnosis, evaluation of patients should include testing for aquaporin-4 and myelin oligodendrocyte glycoprotein antibodies to exclude NMOSD and MOGAD.3,4,8,9
The ONTT demonstrated that people with ON and demyelinating brain lesions have a significantly higher risk of developing MS, even when visual acuity recovers.7 Residual deficits, such as dyschromatopsia and visual field defects, often persist, highlighting the long-term impact on visual function.7,10 Subclinical ON occurs in 10% to 30% of individuals, underscoring the need for sensitive diagnostic tools to identify and monitor disease progression.10 The inclusion of the optic nerve as the fifth topographic marker for DIS opens new opportunities for advanced testing modalities, potentially enabling earlier and more accurate diagnosis of MS, especially in previously overlooked cases.
Magnetic Resonance Imaging
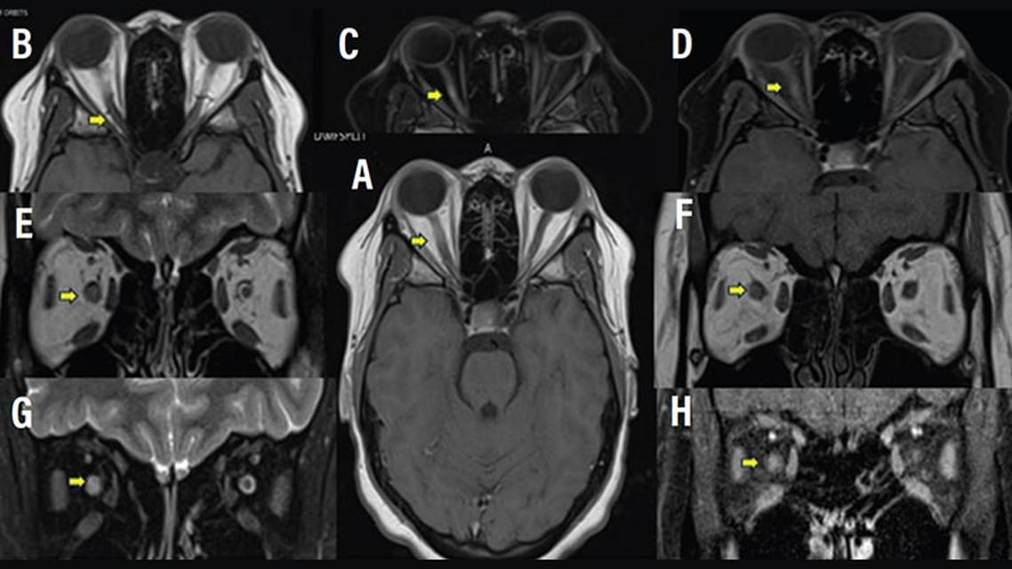
MRI remains a cornerstone in the diagnosis and management of MS. Based on the ONTT, people with ON but no brain lesions have a 16% risk of progression to MS compared with 51% in those with increasing brain lesions within 5 years.7 Although optic nerve imaging was once considered secondary, advances in high-resolution, fat-suppressed orbital MRI have led to enhanced lesion detection, even in early ON stages, increasing the specificity for diagnosis.8,11 These dedicated orbital images demonstrate characteristic gadolinium-enhanced lesions on postcontrast T1-weighted imaging or increased signal in T2-weighted spin-echo neuroimaging within the optic nerve with patterns for ON in MS that differentiate it from other conditions (eg, NMOSD, MOGAD).8,11 MS-associated ON frequently shows ≥1 focal short, non–longitudinally extensive segments of hyperintense signal on T2-weighted images, which indicates anterior optic nerve inflammation and edema, typically sparing the posterior nerve, chiasm, and perineural tissue. These findings differentiate MS from NMOSD and MOGAD. Figure 1 includes an overview of features of ON in MS.1-5,9,12 Findings associated with acute ON tend to resolve over time. As such, orbital MRI may not detect asymptomatic optic nerve lesions, which limits the utility of MRI for the evaluation of DIS in the outpatient setting and highlights the need for alternative testing.8,11,13

Visual Evoked Potentials
VEPs are noninvasive electrophysiologic tests that evaluate function of the afferent visual pathway by assessing optic nerve conduction. Vidal-Jordana et al4 analyzed 151 participants from a clinically isolated syndrome cohort and found that the addition of VEPs adds to accuracy (72.5% vs 67.5%) and sensitivity (75.8% vs 69.7%) of results without compromising specificity. VEPs are particularly helpful when structural imaging results appear normal, with delayed P100 wave latency serving as a hallmark of optic nerve dysfunction.4 VEPs can track changes in optic nerve conduction over time, which provide insights into disease progression or recovery. Despite limitations, when combined with other neuro-ophthalmic findings, VEPs enhance diagnostic accuracy (particularly in the subacute setting) by correlating function with structure, such as those detected with neuro-ophthalmic imaging (eg, OCT).
Optical Coherence Tomography
OCT has emerged as an important tool for assessing optic nerve involvement and assists with the diagnosis and monitoring of the optic nerve and ON in individuals with MS. OCT is a noninvasive, widely available technique that provides high-resolution, cross-sectional images of the retina and enables measurement of retinal nerve fiber layer (RNFL) thickness and ganglion cell–inner plexiform layer integrity, which are crucial biomarkers for neuroaxonal damage and neurodegeneration, even in individuals without a clinical history of ON.5,14,15 In a prospective observational study of 267 participants for whom information to assess DIS criteria as well as OCT results were available, the addition of optic nerve evaluation increased accuracy (81.2% vs 65.6%) and sensitivity (84.2% vs 77.9%) of the results without affecting specificity (52.2%).5
OCT also plays an important role in monitoring disease progression in MS by detecting structural changes in the optic nerve (see Figure 2). The OCT report of an individual with MS ON shows elevation of RNFL and thinning of the ganglion cell layer compared with the contralateral eye. These findings correlate with MRI lesion burden and clinical disability, highlighting the role of OCT in both diagnosis and monitoring of disease progression.14,15 In addition, OCT can capture evidence of edema on optic nerves in acute cases that may not otherwise be seen in a neurologic examination (Figure 2). Studies have shown that even small changes in RNFL thickness (as little as 4 μm) are important indicators of MS progression, underscoring the value of OCT for longitudinal monitoring.

LCVA Testing
LCVA testing is a sensitive and valuable tool for assessing visual function in people with MS. Unlike standard high-contrast visual acuity tests, LCVA evaluates the ability to discern low-contrast targets, which are often impaired in MS-related ON. Studies have demonstrated that LCVA correlates strongly with OCT findings, highlighting its role as a functional marker of optic nerve damage.12 LCVA testing provides important information for early diagnosis and monitoring of MS disease progression through the detection of subtle visual deficits that may not be apparent on standard visual acuity tests.12 Incorporating LCVA testing into routine evaluations of people with MS enhances the diagnostic sensitivity for optic nerve involvement and aligns with the 2024 McDonald criteria emphasis on comprehensive neuro-ophthalmic assessment.
Integration of Optic Nerve Assessment in McDonald Criteria and Clinical Practice
The incorporation of the optic nerve as the fifth topographic marker and as a criterion for DIS in the 2024 revision of the McDonald criteria addresses a gap in MS diagnosis and recognizes the importance of including ON in the diagnostic landscape for individuals with MS. The role of advanced diagnostic modalities in enhancing diagnostic precision and enabling prompt treatment is integral, allowing neurologists to diagnose MS in people with atypical or subclinical presentations, and to monitor disease progression, thus optimizing treatment strategies, through a comprehensive understanding of the multisystem effects of MS.
The 2024 McDonald criteria present an exciting opportunity to refine the diagnostic process for MS, particularly with the inclusion of the optic nerve as a diagnostic topographic marker. Shifting away from traditional protocols, such as relying solely on brain MRI to assess the optic nerve and orbital structures, may seem challenging at first, but opens the door to more accurate and comprehensive evaluations. Dedicated high-resolution, fat-suppressed MRI of the orbit with and without contrast offers enhanced sensitivity that enables physicians to detect subtle patterns of T2 hyperintensities and enhancements that might otherwise be overlooked. Becoming familiar with orbital imaging can improve patient care by empowering neurologists to better differentiate MS from conditions such as NMOSD and MOGAD.
ON, which is a clinical diagnosis, may be misdiagnosed or overdiagnosed. This raises concerns about unnecessary treatment and anxiety. Collaboration among ophthalmologists, neuro-ophthalmologists, and neuroimmunologists can provide valuable insights and help mitigate these challenges. The revised McDonald criteria also emphasize the importance of laboratory investigations for conditions such as NMOSD and MOGAD, ensuring that alternative diagnoses are carefully excluded. Emerging technologies (eg, OCT angiography, artificial intelligence) hold the potential to further enhance diagnostic precision and deepen our understanding of MS, offering a glimpse into the future of personalized care.
Conclusion
The 2024 McDonald criteria mark a step forward in MS diagnosis by recognizing the importance of optic nerve evaluation. Advanced imaging modalities, such as MRI, VEP, OCT, and LCVA testing, provide comprehensive tools for identifying ON, tracking disease progression, and improving clinical management. The 2024 revisions to the McDonald criteria offer the potential for earlier intervention, better outcomes, and a deeper understanding of MS as a complex condition.
Ready to Claim Your Credits?
You have attempts to pass this post-test. Take your time and review carefully before submitting.
Good luck!
Recommended
- MS & Immune Disorders
Clinical Neuroinflammatory Mimics of Multiple Sclerosis
Derrick Robertson, MD; Abigail Demers, BSDerrick Robertson, MD; Abigail Demers, BS - MS & Immune Disorders
Radiologic Biomarkers in Multiple Sclerosis: Improving Detection and Diagnosis
Aisha Elfasi, MD; Valeria Fagundo, MDAisha Elfasi, MD; Valeria Fagundo, MD - MS & Immune Disorders
Radiologic Differential Diagnosis of Multiple Sclerosis
Jared V. Goodman, MD, PhD; Apisit Kaewsanit, MDJared V. Goodman, MD, PhD; Apisit Kaewsanit, MD






