TBI Today: Quantitative Diffusion Tensor Imaging for Assessment of Mild Traumatic Brain Injury
Quantitative diffusion tensor imaging permits detection and characterization of microstructural effects of traumatic axonal injury in mild traumatic brain injury.
Limits of Standard Neuroimaging for Detection of TBI Pathology
TBI is a major public health problem worldwide. TBI is classified as mild, moderate, or severe on the basis of acute clinical severity and the absence or presence of visible imaging abnormalities at the time of injury. The most severe effects of TBI, including death and severe disability, arise from moderate or severe TBI, including penetrating TBI. Closed-head mild TBI (mTBI also commonly referred to as “concussion”), by comparison, accounts for the majority of TBI cases worldwide, likely in excess of 80% of cases.1 Although many individuals with mTBI appear to recover fully, it is increasingly recognized that persistence of symptoms and dysfunction may be the rule, even in people who do not have imaging abnormalities or loss of consciousness at the time of initial clinical assessment. A recent report from the large Transforming Research and Clinical Knowledge in Traumatic Brain Injury (TRACK-TBI) study, for example, reported evidence of dysfunction at 6 months in >50% of participants who presented without CT abnormalities.2 Notwithstanding the less severe morbidity and the absence of mortality in mTBI compared with severe TBI, the fact that mTBI-related dysfunction affects millions of individuals along with growing evidence that mTBI confers risk for later-life neurodegeneration3 suggest that the greatest population-level effect of TBI arises from mTBI.
A key feature differentiating mTBI from more severe TBI is the insensitivity of CT and structural MRI to the injury. The normal appearance of the brain on standard imaging in mTBI might suggest the absence of brain mTBI pathology. Earlier “functional” explanations for mTBI effects reflected an attempt to resolve this inconsistency. However, extensive research has established that mTBI symptoms and dysfunction arise from traumatically induced evolving brain pathology, which is precipitated by a molecular and cellular neurometabolic cascade.4 Functional outcome depends on the extent to which these mechanisms persist and lead to permanent pathologic effects, such as loss of myelin and secondary axotomy, termed traumatic axonal injury (TAI). TAI diminishes the capacity for the brain to process information across distributed networks. Advanced imaging techniques may detect some of the pathologic effects of this neurometabolic cascade.
Diffusion as a Window into Tissue Microstructure: Foundations
Diffusion-weighted MRI (DWI) for measurement of the magnitude of water self-diffusion in living brain tissue was developed in the mid-1980s and transformed the detection of acute injury, such as stroke, by the 1990s. DTI is a refinement of DWI that permits measurement of not only the magnitude of diffusion, but also its direction. DTI-based determination of the direction of motion of H2O molecules in the living brain—a remarkable achievement—in turn facilitates the characterization of the microstructure of white matter, making it well-suited to detection of TAI in vivo. To understand DTI-based detection of mTBI pathology, foundational knowledge in the following 3 areas is necessary:
1) the nature of water diffusion in normal white matter
2) the way DTI detects and characterizes water diffusion
3) the effects of mTBI-induced changes in tissue microstructure on water diffusion
Human tissue is largely composed of water. At a macroscopic level, a beaker of distilled water and a slice of human brain tissue each appears static. At a molecular scale, however, things are anything but stationary. In the case of the beaker of water, H2O molecules are in constant motion. The only determinant of the direction of motion of a given H2O molecule is its collision with other H2O molecules. As a result, over a period of time, a given H2O molecule will cover an unpredictable path through the fluid, which is termed a random walk or Brownian motion.
If we were to survey all of the H2O molecules in the beaker over a period of time, each would take a different path. Tissue differs from pure water in that molecules other than H2O comprise ~20% of tissue volume and create molecular and cellular structures such as membranes that are at least partially impermeable to H2O. As a result, a sample of tissue will contain many roadblocks to the free movement (ie, diffusion) of H2O. White matter fibers and tracts are composed of many parallel axons. Each axon is a set of concentric tubes (axolemma and layers of myelin), which prevent movement of H2O across the long axis of the axon bundle. At the same time, the extracellular space does not contain similar barriers to H2O movement along the length of the axon bundle. As a result, the net effect of normal white matter structure is “restriction” of H2O movement within the extracellular space to the direction parallel to the length of the axon bundle. This is termed anisotropic diffusion. Think of anisotropic diffusion restriction as a TSA security line, where roped-off lanes restrict movement of passengers to the prescribed path.
The magnetic resonance (MR) signal is a measurement of the magnetization of hydrogen protons (1H). Because most 1H in human tissue occurs as H2O, the MR signal is effectively a measurement arising from tissue water. MR images optimized to detect diffusion (DWI and DTI) show a decrement in the MR signal proportionate to the net displacement of H2O during the MR scan. The signal decrement is used to compute the “speed” of diffusion, termed the apparent diffusion coefficient. In DWI, as used to detect acute stroke, the MR image is sensitive to average diffusion in all directions, but cannot provide information about the direction of diffusion through tissue. DTI expands on DWI by combining information from a series of diffusion-weighted images (no less than 6, but typically ≥25), each sensitive to diffusion along a single linear dimension. Combining these images, the direction of diffusion within a small volume of tissue (a voxel in the DTI scan) can be determined, and parameters that describe the spectrum of diffusion direction for all H2O molecules in the voxel (ie, the volume of tissue represented by the voxel in the DTI scan) can be computed. Think of the individual diffusion images as snapshots of a portion of the total diffusion, which can be combined to reveal the full picture.
Application of Quantitative DTI to Detect TAI
Across studies of DTI in TBI, fractional anisotropy (FA) is by far the most widely reported measure, with mean diffusivity the next most common.5 FA summarizes the uniformity of diffusion direction for all H2O molecules within a voxel. FA is reported on a scale of 0 to 1, where 0 represents completely random direction of diffusion, as would occur in pure water with no tissue structure. In white matter, parallel axon bundles limit the range of diffusion direction. As a result, the range of diffusion directions is limited, and overall direction is much more uniform, represented as higher FA.6 TAI leads to loss of barriers (eg, myelin and axolemma) to diffusion and a more random array of diffusion directions, expressed as lower FA. Inflammation and glial proliferation can also alter FA. Mean diffusivity represents the direction-independent speed of diffusion, analogous to the apparent diffusion coefficient in DWI. With loss of tissue structure due to TAI, mean diffusivity may increase. However, axonal swelling and inflammation can lead to less free movement of H2O and a decline of mean diffusivity.7
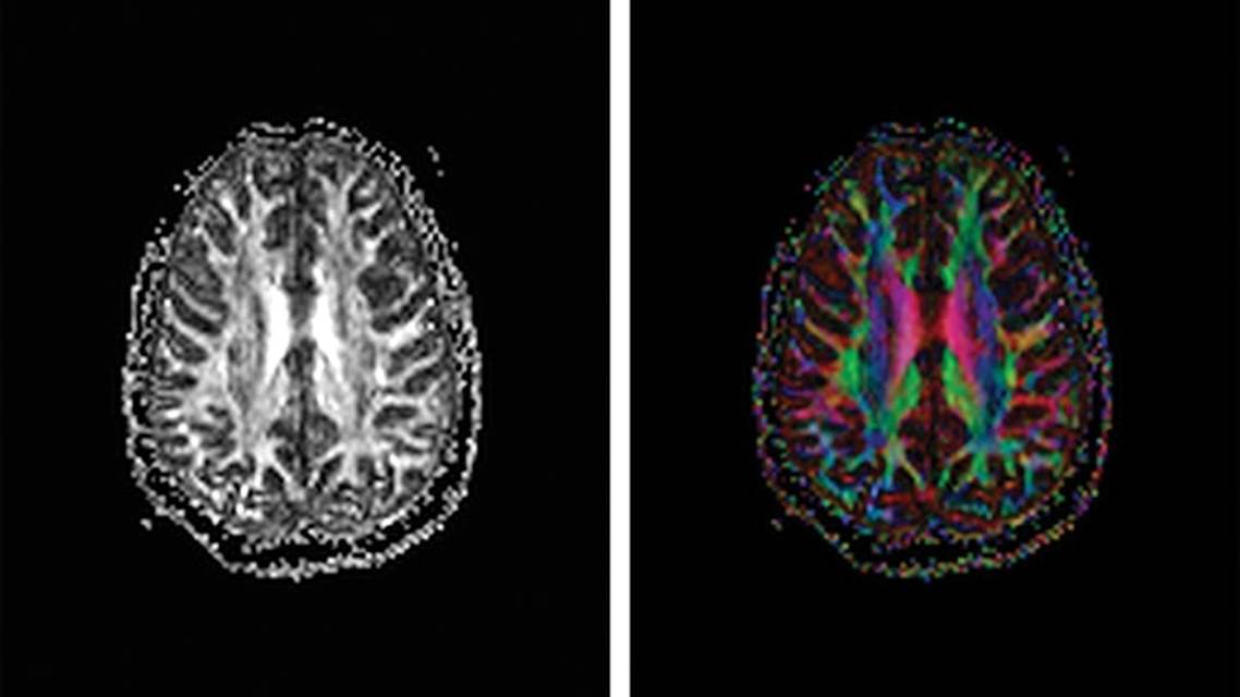
DTI acquisition encompasses a series of MR images, each representing a slice through the brain and each uniquely sensitized to diffusion along a linear direction through the 3-dimensional brain volume. DTI parameters, such as FA, are computed for each voxel in each slice. The parameter computed for each voxel can be used to create an “FA image,” where the grayscale value at each voxel represents the magnitude of FA, ranging from 0 to 1 (Figure 1A). Color FA images use a color scale to show the dominant direction of diffusion (ie, reflecting the direction parallel to the orientation of the axon bundles and tracts), and use the intensity of the color to reflect the magnitude of FA (from 0 to 1)(Figure 1B).6 However, due to the inherent spatial variation in tissue microstructure and consequent variation in FA, visual inspection of FA images can miss important abnormalities. This is a common feature of advanced neuroimaging modalities, such as perfusion imaging and functional MRI. As with these modalities, detection and characterization of abnormal FA require quantification.


Several approaches are available to extract FA values, including region of interest (ROI)–based techniques, where brain regions are circumscribed either by drawing a region on the image or by applying a standard template to segregate the brain into anatomic regions. DTI tractography can also be used to specify ROIs conforming to white matter tracts, such as the corticospinal tract or the superior longitudinal fasciculus. Once the regions are defined, the average FA is computed for each region. To determine whether FA is abnormal within the ROI, the measured FA must be compared with those from a control group. This is analogous to testing of laboratory samples, where the range of normal must be defined and then used to infer whether the measurement from the individual deviates from normal. In the use of DTI, however, each region requires a unique test that compares the individual’s FA measurement with measurements from the same brain location in a group of healthy individuals. Whether an abnormality is present is determined by the degree of deviation from the control group. It is important to recognize that ROI-based approaches, including tractography-based approaches, specify in advance the portions of the brain that will be assessed. If the injury is present at locations other than those measured, a false-negative result is possible.7
Voxelwise analysis, an alternative approach that does not require a priori specification of ROIs, entails separately comparing FA from each voxel in the individual’s FA volume with the same voxel location in a group of healthy individuals. Before making this comparison, the individual and comparison group images must be precisely aligned, such that voxels represent the same brain location across all individuals. The initial comparison is subject to a strict criterion for abnormality, typically at least 2 or 3 standard deviations (SDs) below the control mean. Individual voxels meeting this criterion are accepted as abnormal only where they form clusters of contiguous voxels representing a volume of white matter. Several approaches to conducting the voxelwise analysis have been reported that address its technical complexity and requirements.8
As a quantitative technique, determination of abnormality for an FA measurement from an ROI is based on a statistical criterion or cutoff value. Because a typical DTI analysis entails testing for significance at multiple locations, the cutoff value must account for the potential for the multiple tests to lead to false-positive findings. Whereas other clinical assessments, such as cognitive and laboratory tests, may use cutoffs of 1.5 to 2.0 SD, more rigorous criteria for abnormality are necessary when testing multiple ROIs. One approach to this problem is to apply a stricter criterion, such as 3 SD. Another approach is to require that abnormality be present at multiple locations before deeming the overall result abnormal. For example, in one study,9 with testing of 12 ROIs using a criterion of 2 SD for abnormality, some control individuals showed abnormality at the individual’s ROI, but it was uncommon for this to occur at 2 ROIs, and controls did not express abnormality at >2 ROIs. Voxelwise analyses use clustering methods to robustly address the issue of testing multiple regions. The choice of cutoff values entails balancing sensitivity and specificity, with stricter criteria potentially identifying no abnormality in individuals who have TBI. In the study9 mentioned previously, for example, only a minority of people with TBI met criteria for abnormality on DTI.
An additional consideration in the analysis of DTI results is the source of the healthy group used for comparison. Collection of normative data using the same MRI scanner and parameters as used for the individual’s scan combined with strict attention to image quality and consistency as well as meticulous image processing methods will ensure robust and reproducible results. On the other hand, the need for unique normative samples at each imaging location creates limitations on implementation of and access to quantitative DTI. Methods have been developed to harmonize DTI measurements across imaging sites and to account for variation in scan acquisition.10 Covariates affecting DTI metrics, principally age and sex, must be accounted for, preferably by statistical adjustment for these factors, as matching could introduce bias.
Use, Interpretation, and Limitations
Whichever approach is used for quantification, the output of the DTI analysis provides an index of the individual’s microstructure and identifies locations where it deviates from normal. Multiple studies have shown that low FA is associated with mTBI and is detectable in some, but not all individuals5,7; sensitivity of DTI is not absolute. Moreover, interpretation of the DTI findings requires more than the imaging result alone. Ascribing abnormalities to TBI requires history of a previous injury and consideration of other potentially confounding medical conditions, such as demyelinating disease and cerebrovascular disease. Whereas mTBI is characterized by absence of visible abnormalities on conventional MRI scans, other disorders affecting white matter may manifest DTI abnormalities, but commonly with characteristic visible abnormalities.
Ready to Claim Your Credits?
You have attempts to pass this post-test. Take your time and review carefully before submitting.
Good luck!
Recommended
- Alzheimer Disease & Dementias
Capacity Determination and Advance Care Planning
Michael Rubin, MD, MA; Anne Lai Howard, JDMichael Rubin, MD, MA; Anne Lai Howard, JD - Alzheimer Disease & Dementias
Medical Aid in Dying: An Overview for Neurologists
Christina L. Vaughan, MD, MHS; Nicole Sucre, PsyDChristina L. Vaughan, MD, MHS; Nicole Sucre, PsyD






